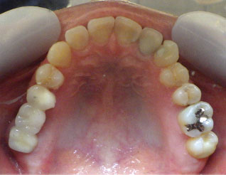
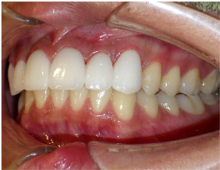
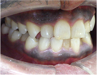
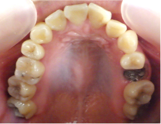
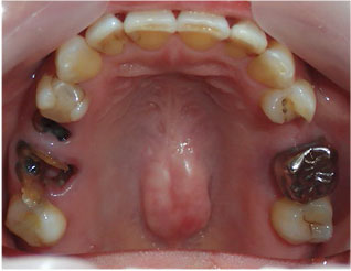
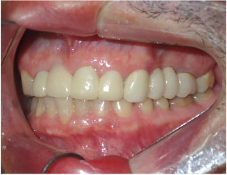
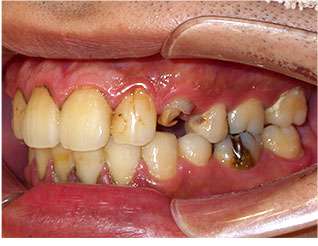
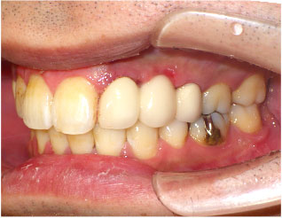
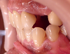
治療1回目から見た目は改善、少回数でOK!ブリッジ ビフォーアフター症例写真を更新中!
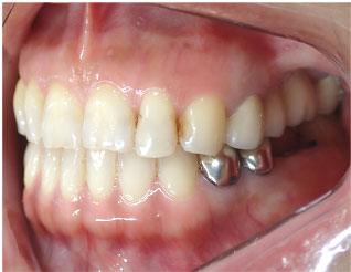
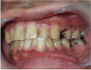
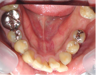
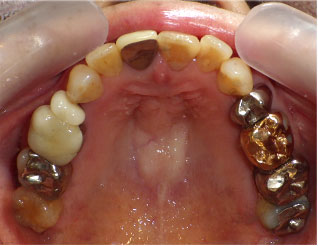
- ブリッジ 症例写真 B-0113FZC8本 女性モニターの方です。

Before

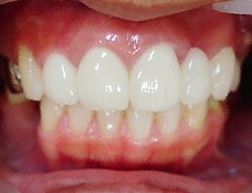
After詳細はコチラ
フルジルコニアによるブリッジ治療の症例
- 施術内容
- No. B-0113
年齢
施術 FZC8本 - コメント
この方は古い差し歯の黄ばみを治したいとご来院されました。 奥歯に欠損もありましたので、前歯はジルコニアセラミック、奥はジルコニアブリッジで治しました。 1回の治療で前歯も奥歯も同時進行で治療します。 1回目の治療時に仮歯を入れますので、すぐに見た目が気にならなくなります。 治療回数は5回でした。
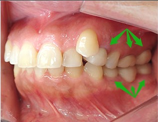
- ブリッジ 症例写真 B-0112FZC3本 女性モニターの方です。

Before

After詳細はコチラ
フルジルコニアによるブリッジ治療の症例
- 施術内容
- No. B-0112
年齢
施術 FZC3本 - コメント
この方は奥歯が虫歯で根だけになってしまっていました。 この歯は抜歯し、ブリッジで治しました。 当院では強度が高く色がきれいなジルコニアブリッジで治しております。 歯型を取らずに、口腔内スキャナーでジルコニアブリッジを作成しますので、精度の高いブリッジを入れることが可能です。 治療回数は3回でした。
- ブリッジ 症例写真 B-0111フルジルコニア7本 女性モニターの方です。

Before

After詳細はコチラ
フルジルコニアによるブリッジ治療の症例
- 施術内容
- No. B-0111
年齢
施術 フルジルコニア7本 - コメント
この方は奥歯に虫歯と歯の欠損がありました。 上下ともブリッジで治療しました。 当院では上下のブリッジ治療を同時進行で行いますので、通院回数が少なく済みます。 また、1回目の治療時に仮歯を入れますので、すぐに見た目が気にならなくなります。 治療回数は5回でした。
- ブリッジ 症例写真 B-0110オールセラミッククラウン4本 男性モニターの方です。

Before

After詳細はコチラ
オールセラミッククラウン法によるブリッジ治療の症例
- 施術内容
- No. B-0110
年齢
施術 オールセラミッククラウン4本 - コメント
この方はご来院時には前歯や奥歯に欠損部分がありました。 当院では1回目の治療時に仮歯を入れますので、すぐに見た目が気にならなくなります。 上下の歯の治療を同時進行で治療しますので、通院回数は保険診療よりも少なく済みます。
- ブリッジ 症例写真 B-0109スタンダードジルコニア3本 女性モニターの方です。

Before

After詳細はコチラ
セラミック法によるブリッジ治療の症例
- 施術内容
- No. B-0109
年齢
施術 スタンダードジルコニア3本 - コメント
この方は虫歯で1本抜歯しなくてはいけない状態でした。 抜歯したときに仮はを入れますので、治療期間中の見た目は気になりません。 治療回数は3回でした。
- ブリッジ 症例写真 B-0108FZC4本 女性モニターの方です。

Before

After詳細はコチラ
ジルコニアによるブリッジ治療の症例
- 施術内容
- No. B-0108
年齢
施術 FZC4本 - コメント
この方は犬歯が1本虫歯で折れてしまった状態でした。 抜歯しなくてはいけない状態でしたが、抜歯と同時にブリッジの仮歯を入れますので 治療期間中の見た目は気になりません。 治療回数は4回でした。
- ブリッジ 症例写真 B-0107オールセラミッククラウン8本 女性モニターの方です。

Before

After詳細はコチラ
オールセラミッククラウン法によるブリッジ治療の症例
- 施術内容
- No. B-0107
年齢
施術 オールセラミッククラウン8本 - コメント
この方は奥歯に欠損がありました。 欠損部分の両隣の歯を用いてセラミックのブリッジを入れました。 1回目の治療時に仮歯を入れますのですぐに歯が無い状態ではなくなります。 治療回数は3回でした。
- ブリッジ 症例写真 B-0106スタンダードジルコニア5本 女性モニターの方です。

Before

After詳細はコチラ
セラミック法によるブリッジ治療の症例
- 施術内容
- No. B-0106
年齢
施術 スタンダードジルコニア5本 - コメント
この方は奥歯に大きな虫歯がありました。 上の虫歯は抜歯して、ブリッジで治しました。 下の奥歯は2本連続して抜歯ですのでスマイルデンチャーという部分入れ歯での治療をしました。 治療回数は5回でした。
- ブリッジ 症例写真 B-0105カスタムジルコニア9本 女性モニターの方です。

Before

After詳細はコチラ
カスタムジルコニアによるブリッジ治療の症例
- 施術内容
- No. B-0105
年齢
施術 カスタムジルコニア9本 - コメント
この方は奥歯に重度の虫歯がありました。 大きな虫歯は根だけになっており、抜歯をしました。 抜歯した歯の両隣の歯を用いてブリッジで治しました。 上顎の左右奥歯を同時に治しました。 治療回数は6回でした。
- ブリッジ 症例写真 6005631スタンダードジルコニア6本 男性モニターの方です。

Before

After詳細はコチラ
セラミック法によるブリッジ治療の症例
- 施術内容
- No. 6005631
年齢
施術 スタンダードジルコニア6本 - コメント
この方は奥歯に大きな虫歯がありました。 抜歯が必要な大きな虫歯でしたがブリッジで治しました。 1回目の治療時に仮歯を入れますので歯が無い期間はありません。 上下奥歯に大きな虫歯がありましたがすべてまとめて治療しました。 治療回数は5回でした。
- ブリッジ 症例写真 B-0103オールセラミッククラウン8本 男性モニターの方です。

Before

After詳細はコチラ
オールセラミッククラウン法によるブリッジ治療の症例
- 施術内容
- No. B-0103
年齢
施術 オールセラミッククラウン8本 - コメント
この方は小臼歯に欠損がありました。 また、虫歯治療痕が変色していたり、虫歯になっている歯もありました。 歯並びを整えて白くしたいとというご希望もありましたので セラミック法で歯並びを治し、欠損部分はブリッジで治しました。 セラミックの色は患者様のお好みの白さでお作り致しました。 治療回数は6回でした。
- ブリッジ 症例写真 B-0102スタンダードジルコニア3本 女性モニターの方です。

Before

After詳細はコチラ
セラミック法によるブリッジ治療の症例
- 施術内容
- No. B-0102
年齢
施術 スタンダードジルコニア3本 - コメント
この方は5番目の歯が虫歯で抜歯になりました。
抜歯となる歯の両隣の歯を用いてブリッジで治しました。
1回目の治療時に仮歯を入れますのですぐに歯が無い部分は無くなります。
治療回数は5回でした。
- ブリッジ 症例写真 B-0101スタンダードジルコニア4本 女性モニターの方です。

Before

After詳細はコチラ
セラミック法によるブリッジ治療の症例
- 施術内容
- No. B-0101
年齢
施術 スタンダードジルコニア4本 - コメント
この方は大きな虫歯があり、抜歯となりました。
両隣の歯を用いてブリッジで治しました。
1回目の治療時に仮歯を入れますのですぐに歯が無い部分は無くなります。
治療回数は5回でした。
- ブリッジ 症例写真 B-0100フルジルコニア6本 女性モニターの方です。

Before

After詳細はコチラ
によるブリッジ治療の症例
- 施術内容
- No. B-0100
年齢
施術 フルジルコニア6本 - コメント
この方は奥歯の銀歯を白くして、欠損部分の治療を希望しご来院されました。
欠損部分はカスタムジルコニアのブリッジ治療しました。
また、笑うと見えていた銀の詰め物も白い詰めものに治しました。
- ブリッジ 症例写真 B-0099スタンダードジルコニア4本 男性モニターの方です。

Before

After詳細はコチラ
セラミック法によるブリッジ治療の症例
- 施術内容
- No. B-0099
年齢
施術 スタンダードジルコニア4本 - コメント
この方は小臼歯が虫歯で欠けていました。 虫歯が進行していましたので抜歯となりました。 1回目の治療時に抜歯と同時にブリッジの仮歯を入れますので すぐに見た目が気にならなくなります。 治療回数は4回でした。
- ブリッジ 症例写真 B-0098スタンダードジルコニア11本 女性モニターの方です。

Before

After詳細はコチラ
セラミック法によるブリッジ治療の症例
- 施術内容
- No. B-0098
年齢
施術 スタンダードジルコニア11本 - コメント
この方は奥歯に重度の虫歯や欠損がありました。
虫歯を抜歯し残っている歯を支えにしてブリッジを入れました。
向かって右側の歯は下の歯が伸びてきてしまって、歯茎に噛みこむ状態でした。
この部分は部分入れ歯での治療になりますが、患者様はブリッジだけの治療を希望されました。
当院では患者様の希望される部分だけの治療も可能です。
- ブリッジ 症例写真 B-0097スタンダードジルコニア4本 女性モニターの方です。

Before

After詳細はコチラ
セラミック法によるブリッジ治療の症例
- 施術内容
- No. B-0097
年齢
施術 スタンダードジルコニア4本 - コメント
この方は犬歯が虫歯で欠けてしまったとの事でした。
根がかなり虫歯で溶けていましたので抜歯となりました。
当院では抜歯と同時に仮歯を入れますので歯が無い期間はありません。
最終的にセラミックのブリッジを入れて治療終了です。
回数は4回でした。
- ブリッジ 症例写真 B-0096スタンダードジルコニア4本 女性モニターの方です。

Before

After詳細はコチラ
セラミック法によるブリッジ治療の症例
- 施術内容
- No. B-0096
年齢
施術 スタンダードジルコニア4本 - コメント
この方は奥歯に重度の虫歯がありました。
この虫歯はかなり根の奥まで進行した虫歯でしたので抜歯となりました。
抜歯と同時にブリッジの仮歯を入れますので歯が無い期間はありません。
抜歯部位が治ったら歯型を取ってセラミックのブリッジを入れました。
治療回数は3回でした。
- ブリッジ 症例写真 B-0095オールセラミッククラウン6本 女性モニターの方です。

Before

After詳細はコチラ
オールセラミッククラウン法によるブリッジ治療の症例
- 施術内容
- No. B-0095
年齢
施術 オールセラミッククラウン6本 - コメント
この方は前歯の差し歯が外れてしまったとご来院されました。 幸い、虫歯治療をして根を残す事が出来ましたので セラミックのブリッジで治しました。 奥歯にも虫歯はありますが、今回は前歯だけの治療をご希望されました。 1回目の治療時に仮歯を入れますのですぐに見た目が気にならなくなります。
- ブリッジ 症例写真 B-0094スタンダードジルコニア6本 女性モニターの方です。

Before

After詳細はコチラ
セラミック法によるブリッジ治療の症例
- 施術内容
- No. B-0094
年齢
施術 スタンダードジルコニア6本 - コメント
この方は歯並びもかなり悪く、虫歯も重度でした。
抜歯する歯もありましたがブリッジで治す事が出来ました。
1回目の治療時に仮歯を入れますのですぐに歯が入りますし、虫歯で欠けたりしている部分も無くなります。
当院のセラミック法でしたら歯並びも重度虫歯も一緒に治療が可能です。
- ブリッジ 症例写真 B-0093スタンダードジルコニア9本、スタンダードジルコニア7本 男性モニターの方です。

Before

After詳細はコチラ
セラミック法によるブリッジ治療の症例
- 施術内容
- No. B-0093
年齢
施術 スタンダードジルコニア9本、スタンダードジルコニア7本 - コメント
この方は前歯の歯並びと奥歯の虫歯、欠損の治療を希望されました。
前歯の歯並びはセラミック法で治療しました。
奥歯の欠損はブリッジで治療しました。
また、下の前歯も歯周病で1本抜歯になりましたのでその部分もブリッジ治療しています。
当院ではこの様にいろいろな歯のお悩みがあっても同時進行で治療する事が可能です。
- ブリッジ 症例写真 B-0092スタンダードジルコニア3本 男性モニターの方です。

Before

After詳細はコチラ
セラミック法によるブリッジ治療の症例
- 施術内容
- No. B-0092
年齢
施術 スタンダードジルコニア3本 - コメント
この方は、治療途中で放置してしまった上の6番目の歯が虫歯で抜歯しなくてはいけない状態でした。
また、下の歯の奥歯も虫歯で黒く大穴が開いてしまっています。
1回の治療時に抜歯して仮歯をいれました。
下の歯は神経まで虫歯が達していましたので根の治療をしました。
抜歯部分が治癒したら、白いセラミックのブリッジを入れました。
治療回数は5回でした。
- ブリッジ 症例写真 B-0091スタンダードジルコニア4本 女性モニターの方です。

Before

After詳細はコチラ
セラミック法によるブリッジ治療の症例
- 施術内容
- No. B-0091
年齢
施術 スタンダードジルコニア4本 - コメント
この方は奥歯に大きな虫歯がありました。左右共に虫歯あるのですが
ご予算の関係で、お痛みのある右側だけの治療を行いました。
右上の銀歯は中でかなり虫歯が進んでしまっていましたので抜歯をしました。
1回目の治療時に仮歯を入れますので歯が無い期間はありません。
治療回数は5回でした。
当院はこの様にご予算に応じて気になる部分だけの治療が可能です。
- ブリッジ 症例写真 B-0090スタンダードジルコニア4本 男性モニターの方です。

Before

After詳細はコチラ
セラミック法によるブリッジ治療の症例
- 施術内容
- No. B-0090
年齢
施術 スタンダードジルコニア4本 - コメント
この方は向かって右側の大きな虫歯を治したいとご来院されました。
歯肉の下にボロボロになった根が残っている状態でしたので
抜歯をして両隣の歯とブリッジをして治しました。
抜歯と同時に仮歯を入れますのですぐに見たが気にならなくなります。
治療回数は5回でした。
- ブリッジ 症例写真 B-0089スタンダードジルコニア3本 女性モニターの方です。

Before

After詳細はコチラ
セラミック法によるブリッジ治療の症例
- 施術内容
- No. B-0089
年齢
施術 スタンダードジルコニア3本 - コメント
この方は向かって左側の奥歯1本が重度の虫歯で抜歯となりました。
抜歯後は白いセラミックのブリッジで治しました。
当院では抜歯と同時に仮歯を入れますので歯が無い期間はございません。
治療回数は4回でした。
- ブリッジ 症例写真 B-0088スタンダードジルコニア4本 男性モニターの方です。

Before

After詳細はコチラ
セラミック法によるブリッジ治療の症例
- 施術内容
- No. B-0088
年齢
施術 スタンダードジルコニア4本 - コメント
この方は奥歯に重度の虫歯があったため、抜歯しブリッジ治療を行いました。
1回目の治療時に抜歯と同時に仮歯を入れますのですぐにかみ合わせる事が出来る様になります。
4本とも同時に治療しました。
- ブリッジ 症例写真 B-0087スタンダードジルコニア4本 女性モニターの方です。

Before

After詳細はコチラ
セラミック法によるブリッジ治療の症例
- 施術内容
- No. B-0087
年齢
施術 スタンダードジルコニア4本 - コメント
この方は奥歯が1本欠損した状態でしたのでブリッジで治しました。
1回目の治療時に仮歯を入れますので歯が無い部分はすぐになくなります。
治療回数は3回でした。
- ブリッジ 症例写真 B-0086スタンダードジルコニア7本 男性モニターの方です。

Before

After詳細はコチラ
セラミック法によるブリッジ治療の症例
- 施術内容
- No. B-0086
年齢
施術 スタンダードジルコニア7本 - コメント
この方は全体的に虫歯があったり、すでに歯が無い部分がありました。
欠損部分はブリッジで治療しました。
当院では1回目の治療時に仮歯を入れますのですぐに見た目が気にならなくなります。
- ブリッジ 症例写真 B-0085スタンダードジルコニア4本 女性モニターの方です。

Before

After詳細はコチラ
セラミック法によるブリッジ治療の症例
- 施術内容
- No. B-0085
年齢
施術 スタンダードジルコニア4本 - コメント
この方は奥歯に虫歯が多数あり、欠損もありました。
欠損部分はブリッジで治しました。
当院では沢山の虫歯があっても同時進行で治すので少ない回数で治療が可能です。
- ブリッジ 症例写真 B-0084スタンダードジルコニア6本 女性モニターの方です。

Before

After詳細はコチラ
セラミック法によるブリッジ治療の症例
- 施術内容
- No. B-0084
年齢
施術 スタンダードジルコニア6本 - コメント
この方は奥歯に欠損や虫歯がありました。
欠損部分は両隣の歯を用いてブリッジで治しました。
当院では白いセラミックのブリッジで治療しますので、見た目が気にならなくなります。
治療回数は4回でした。
- ブリッジ 症例写真 B-0083スタンダードジルコニア6本 男性モニターの方です。

Before

After詳細はコチラ
セラミック法によるブリッジ治療の症例
- 施術内容
- No. B-0083
年齢
施術 スタンダードジルコニア6本 - コメント
この方は奥歯に重度の虫歯がありました。
抜歯となりましたが、両隣の歯を用いてブリッジで治しました。
抜歯と同時に仮歯を入れますので、歯が無い期間はありません。
治療回数は4回でした。
- ブリッジ 症例写真 B-0082スタンダードジルコニア3本 男性モニターの方です。

Before

After詳細はコチラ
セラミック法によるブリッジ治療の症例
- 施術内容
- No. B-0082
年齢
施術 スタンダードジルコニア3本 - コメント
この方は下の前歯が1本折れてしまった状態でした。
虫歯が進行していて抜歯しなくてはいけない状態でしたが、両隣の歯を用いてブリッ
ジでなおしました。
1回目の治療時に仮歯を入れますのですぐ見た目が気にならなくなります。
治療回数は4回でした。
- ブリッジ 症例写真 B-0081スタンダードジルコニア7本 女性モニターの方です。

Before

After詳細はコチラ
セラミック法によるブリッジ治療の症例
- 施術内容
- No. B-0081
年齢
施術 スタンダードジルコニア7本 - コメント
この方は奥歯に大きな虫歯がありました。 かなり進行しているむし歯ですので抜歯となりました。 この様な場合の治療方法はブリッジ、インプラント、部分入れ歯の3種類の治療が適 応になります。 それぞれのメリットデメリットをご説明した所、ブリッジでの治療を選択されました 上下の虫歯を同時に抜歯し、同時にブリッジの仮歯を入れますので すぐに見た目が気にならなくなります。 最終的なセラミックのブリッジが入るまでは5回でした。
- ブリッジ 症例写真 B-0080スタンダードジルコニア3本 女性モニターの方です。

Before

After詳細はコチラ
セラミック法によるブリッジ治療の症例
- 施術内容
- No. B-0080
年齢
施術 スタンダードジルコニア3本 - コメント
この方は前歯1本が虫歯で折れてしまい当院にご来院されました。
1回目の治療時に仮歯を入れますのですぐに見た目が改善します。
折れた歯は抜歯し、両隣の歯を用いてブリッジという方法で治しました。
- ブリッジ 症例写真 B-0079スタンダードジルコニア1本 女性モニターの方です。

Before

After詳細はコチラ
セラミック法によるブリッジ治療の症例
- 施術内容
- No. B-0079
年齢
施術 スタンダードジルコニア1本 - コメント
この方は虫歯が進行してしまい、奥歯を抜歯しなくてはいけない状態でした。
抜歯した両隣の歯を用いてブリッジという方法で治しました。
また、銀歯や前歯の虫歯治療も同時に行いました。
- ブリッジ 症例写真 B-0078スタンダードジルコニア6本 男性モニターの方です。

Before

After詳細はコチラ
セラミック法によるブリッジ治療の症例
- 施術内容
- No. B-0078
年齢
施術 スタンダードジルコニア6本 - コメント
この方は
虫歯で欠損している部分をブリッジで治しました。
下の歯の銀歯の部分も虫歯がありましたので
白いセラミックの歯を被せて治しています。
当院では何か所も治療が必要な部位があってもまとめて治療する事が出来ます。
- ブリッジ 症例写真 B-0077オールセラミッククラウン6本 男性モニターの方です。

Before

After詳細はコチラ
オールセラミッククラウン法によるブリッジ治療の症例
- 施術内容
- No. B-0077
年齢
施術 オールセラミッククラウン6本 - コメント
この方は奥歯に大きな虫歯がありました。
大きな虫歯は抜歯になりましたが
両隣の歯を用いてブリッジで治しました。
1回目の治療時に抜歯と同時に仮歯をいれますので
歯が無い期間はありません。
他の歯にも虫歯がありましたが全て同時進行で治療しました。
- ブリッジ 症例写真 B-0076スタンダードジルコニア5本 女性モニターの方です。

Before

After詳細はコチラ
セラミック法によるブリッジ治療の症例
- 施術内容
- No. B-0076
年齢
施術 スタンダードジルコニア5本 - コメント
この方は前歯が1本虫歯で欠けてしまっていました。
この虫歯の歯は根の奥深くまで虫歯が進行しており
抜歯となりました。
抜歯と同時に仮歯を入れますので、歯が無い期間はありません。
治療回数は5回でした。
- ブリッジ 症例写真 B-0075スタンダードジルコニア3本 男性モニターの方です。

Before

After詳細はコチラ
セラミック法によるブリッジ治療の症例
- 施術内容
- No. B-0075
年齢
施術 スタンダードジルコニア3本 - コメント
この方は差し歯が外れた状態でご来院されました。
根の状態が悪く、抜歯となりましたが
両隣の歯を用いてブリッジで治しました。
1回目の治療時に仮歯を入れますので、治療中も
見た目が気になる期間はありません。
- ブリッジ 症例写真 B-0074オールセラミッククラウン1本 スタンダードジルコニア8本 女性モニターの方です。

Before

After詳細はコチラ
オールセラミッククラウン法、セラミック法によるブリッジ治療の症例
- 施術内容
- No. B-0074
年齢
施術 オールセラミッククラウン1本 スタンダードジルコニア8本 - コメント
この方は向かって左側の上下の歯に大きな虫歯がありました。 その大きな虫歯は抜歯となりましたが、両隣の歯も虫歯でしたので 虫歯治療をしながらブリッジ治療を行いました。 上下の虫歯は同時進行で治療しますので少ない回数で治療が可能です。 治療回数は5回でした。
- ブリッジ 症例写真 B-0073スタンダードジルコニア8本 男性モニターの方です。

Before

After詳細はコチラ
セラミック法によるブリッジ治療の症例
- 施術内容
- No. B-0073
年齢
施術 スタンダードジルコニア8本 - コメント
この方は前歯の差し歯が外れ欠けている部分や
奥歯の大きな虫歯治療を希望しご来院されました。
奥歯の大きな虫歯は抜歯し、ブリッジで治しました。
この方の様に、いろいろな部分の治療が必要でもまとめて治療できますので
保健診療よりも少ない回数で終わる事が可能です。
- ブリッジ 症例写真 B-0072スタンダードジルコニア4本 男性モニターの方です。

Before

After詳細はコチラ
セラミック法によるブリッジ治療の症例
- 施術内容
- No. B-0072
年齢
施術 スタンダードジルコニア4本 - コメント
この方は、奥歯に大きな虫歯があり、抜歯しなくてはいけない状況でした。
抜歯後は、両隣の歯を用いてブリッジという方法で治しました。
治療回数は4回でした。
- ブリッジ 症例写真 B-0071スタンダードジルコニア5本 男性モニターの方です。

Before

After詳細はコチラ
セラミック法によるブリッジ治療の症例
- 施術内容
- No. B-0071
年齢
施術 スタンダードジルコニア5本 - コメント
この方は下の奥歯に大きな虫歯がありました。
この虫歯は根の奥まで進行した虫歯でしたので抜歯となりました。
欠損部分は両隣の歯を用いてブリッジという方法で治しました。
抜歯と同時に仮歯を入れますので、歯が抜けたままの期間はありません。
治療回数は4回でした。
- ブリッジ 症例写真 B-0070スタンダードジルコニア6本 女性モニターの方です。

Before

After詳細はコチラ
セラミック法によるブリッジ治療の症例
- 施術内容
- No. B-0070
年齢
施術 スタンダードジルコニア6本 - コメント
この方は奥歯に大きな虫歯がありました。
虫歯は大きく、抜歯しなくてはいけない状態でした。
抜歯した部分はブリッジで治しました。
1回目の治療時に仮歯を入れますのですぐに歯が無い状態ではなくなります。
笑っても気になりません。
左右の奥歯をブリッジ治療しましたが、同時進行で治療しますので
少ない回数で治療可能です。
治療回数は5回でした。
- ブリッジ 症例写真 B-0069スタンダードジルコニア8本 男性モニターの方です。

Before

After詳細はコチラ
セラミック法によるブリッジ治療の症例
- 施術内容
- No. B-0069
年齢
施術 スタンダードジルコニア8本 - コメント
この方は前歯と奥歯に虫歯がありました。
奥歯の虫歯は抜歯しなくてはいけない歯もありました。
抜歯した部分はブリッジで治しました。
当院ではこの方の様に前歯も奥歯も虫歯でも同時進行で治療可能です。
- ブリッジ 症例写真 B-0068スタンダードジルコニア6本 女性モニターの方です。

Before

After詳細はコチラ
セラミック法によるブリッジ治療の症例
- 施術内容
- No. B-0068
年齢
施術 スタンダードジルコニア6本 - コメント
この方は奥歯に重度の虫歯がありました。
重度の虫歯は抜歯し、両隣の歯を用いてブリッジで治しました。
6本ともまとめて治療しましたので5回の治療で終わりました。
- ブリッジ 症例写真 B-0067スタンダードジルコニア3本 女性モニターの方です。

Before

After詳細はコチラ
セラミック法によるブリッジ治療の症例
- 施術内容
- No. B-0067
年齢
施術 スタンダードジルコニア3本 - コメント
この方は元々奥歯にブリッジが入っていましたが
支えにしている歯が虫歯になってしまっていました。
虫歯を取り、神経の治療をした後
白いセラミックのブリッジを被せて治しました。
- ブリッジ 症例写真 B-0066スタンダードジルコニア5本 女性モニターの方です。

Before

After詳細はコチラ
セラミック法によるブリッジ治療の症例
- 施術内容
- No. B-0066
年齢
施術 スタンダードジルコニア5本 - コメント
この方は下の歯の欠損部分の治療を希望されてご来院しました。
なるべく短期間での治療が出来る方法が良いとの事でしたので、
ブリッジで治しました。
1回目の治療時に仮歯を入れますのですぐに欠損が無くなります。
最終的にセラミックのブリッジを被せています。
治療回数は4回でした。
- ブリッジ 症例写真 B-0065スタンダードジルコニア5本 男性モニターの方です。

Before

After詳細はコチラ
セラミック法によるブリッジ治療の症例
- 施術内容
- No. B-0065
年齢
施術 スタンダードジルコニア5本 - コメント
この方は前歯から奥歯にかけて虫歯が多数ありました。
奥歯は抜歯が必要な部位もありました。
この様な状態でも抜歯した両隣の歯を用いてブリッジを入れて治す事が出来ます。
1回目の治療時に仮歯を入れますのですぐに虫歯の黒ずみや欠損が無くなり、見た目が気にならなくなります。
治療後は見違える様にきれいになりました。
- ブリッジ 症例写真 B-0064スタンダードジルコニア21本 女性モニターの方です。

Before

After詳細はコチラ
セラミック法によるブリッジ治療の症例
- 施術内容
- No. B-0064
年齢
施術 スタンダードジルコニア21本 - コメント
この方は前歯から奥歯にかけて欠損や虫歯が在りました。前歯の差し歯も取れたままになった部分もありました。
また、歯を白くしたいというご希望もありました。
当院では前歯から奥歯にかけての治療を同時進行で行います。
保険診療での治療に比べて少ない回数で治療が可能です。
また、1回目の治療時に仮歯を入れますのですぐに欠損が無くなり、治療中の見た目も気になりません。
- ブリッジ 症例写真 B-0063スタンダードジルコニア9本 男性モニターの方です。

Before

After詳細はコチラ
セラミック法によるブリッジ治療の症例
- 施術内容
- No. B-0063
年齢
施術 スタンダードジルコニア9本 - コメント
この方は奥歯の重度の虫歯を抜歯した後
ブリッジで治療しました。
抜歯と同時に仮歯のブリッジを入れますので
欠損部分はすぐになくなり、見た目や機能を回復できます。
ブリッジの歯の色は患者様のお好みの白さにすることが可能です。
- ブリッジ 症例写真 B-0062スタンダードジルコニア3本 女性モニターの方です。

Before

After詳細はコチラ
セラミック法によるブリッジ治療の症例
- 施術内容
- No. B-0062
年齢
施術 スタンダードジルコニア3本 - コメント
この方は前歯が1本抜けた状態でご来院されました。
この様な欠損の場合はブリッジ治療かインプラント治療が可能です。
患者様は短期間に治せる、より低価格での治療をご希望されたため、ブリッジを選択されました。
1回目の治療時に仮歯を入れますのですぐに歯が無い状態は解消されます。
治療回数は4回でした。
- ブリッジ 症例写真 B-0061スタンダードジルコニア9本 男性モニターの方です。

Before

After詳細はコチラ
セラミック法によるブリッジ治療の症例
- 施術内容
- No. B-0061
年齢
施術 スタンダードジルコニア9本 - コメント
この方は奥歯の虫歯、欠損部分を治療したいとご来院されました。
上下左右の奥歯をブリッジで治しました。
治療前に入っているような銀歯とは違い、
セラミックのブリッジはとても自然で、笑っても全くきになりません。
- ブリッジ 症例写真 B-0060スタンダードジルコニア7本 女性モニターの方です。

Before

After詳細はコチラ
セラミック法によるブリッジ治療の症例
- 施術内容
- No. B-0060
年齢
施術 スタンダードジルコニア7本 - コメント
この方は奥歯に重度の虫歯がありました。
重度の虫歯は抜歯し、両隣の歯を用いてブリッジ治療しました。
他にも虫歯の歯はありますが、ご予算の関係上
気になる部分だけの治療を行いました。
治療回数は5回でした。
- ブリッジ 症例写真 B-0059スタンダードジルコニア7本 女性モニターの方です。

Before

After詳細はコチラ
セラミック法によるブリッジ治療の症例
- 施術内容
- No. B-0059
年齢
施術 スタンダードジルコニア7本 - コメント
この方は上の奥歯に抜歯適応の大きな虫歯がありました。
抜歯後はブリッジで治療しました。
抜歯と同時に仮歯を入れますので歯が無い期間はありません。
治療回数は4回でした。
- ブリッジ 症例写真 B-0058オールセラミッククラウン2本、スタンダードジルコニア7本 女性モニターの方です。

Before

After詳細はコチラ
オールセラミッククラウン法、セラミック法によるブリッジ治療の症例
- 施術内容
- No. B-0058
年齢
施術 オールセラミッククラウン2本、スタンダードジルコニア7本 - コメント
この方は奥歯に抜歯の適応になる大きな虫歯がありました。
抜歯後は両隣の歯を用いてブリッジで治しました。
奥歯は保険診療ですと銀歯のブリッジになってしまいます。
銀歯のブリッジは大きいので、笑ったり、会話する際に目立ってしまいます。
当院では白いセラミックのブリッジですので
自然で全く目立ちません。
- ブリッジ 症例写真 B-0057スタンダードジルコニア6本 女性モニターの方です。

Before

After詳細はコチラ
セラミック法によるブリッジ治療の症例
- 施術内容
- No. B-0057
年齢
施術 スタンダードジルコニア6本 - コメント
この方は奥歯に抜歯の適応になる重度の虫歯がありました。
抜歯後は両隣の歯を用いてブリッジで治しました。
抜歯と同時に仮歯のブリッジを入れますので
食事しにくいというような時期はありません。
治療回数は5回でした。
- ブリッジ 症例写真 B-0056スタンダードジルコニア7本 女性モニターの方です。

Before

After詳細はコチラ
セラミック法によるブリッジ治療の症例
- 施術内容
- No. B-0056
年齢
施術 スタンダードジルコニア7本 - コメント
この方は上下の奥歯に抜歯しなくてはいけない程進行した虫歯がありました。
抜歯して両隣の歯を用いてブリッジにしました。
両隣の歯も虫歯がありましたので、同時に虫歯治療も行いました。
1回目の治療時に抜歯をし、すぐに仮歯を入れます。
ですから治療期間中に食事しにくいようなことはございません。
保険診療の場合はこの状態ですと銀歯になって、目立ちますが
当院では白いセラミックのブリッジで治療しますので
お口を開いても、どこが治療した歯かわかりません。
- ブリッジ 症例写真 B-0055スタンダードジルコニア10本 女性モニターの方です。

Before

After詳細はコチラ
セラミック法によるブリッジ治療の症例
- 施術内容
- No. B-0055
年齢
施術 スタンダードジルコニア10本 - コメント
この方は奥歯が虫歯で欠損している部分がありました。
また、銀のブリッジが入っている部分も虫歯になってしまっていました。
この様な状態の場合はかみ合わせが悪くならない様に左右の治療を分けて行います。
当院はかみ合わせの事も考慮した治療を行っております。
- ブリッジ 症例写真 B-0054スタンダードジルコニア20本 男性モニターの方です。

Before

After詳細はコチラ
セラミック法によるブリッジ治療の症例
- 施術内容
- No. B-0054
年齢
施術 スタンダードジルコニア20本 - コメント
この方はご来院時にすでに何本もの歯が欠損していました。
欠損部分の両隣にご自身の歯がありますのでブリッジで治療する事としました。
奥歯も前歯も欠損が多く、食事をしにくい状態でしたが
治療後は奥歯もかみ合わせられる様になりましたので、食事がしやすくなりました。
- ブリッジ 症例写真 B-0053スタンダードジルコニア10本 男性モニターの方です。

Before

After詳細はコチラ
セラミック法によるブリッジ治療の症例
- 施術内容
- No. B-0053
年齢
施術 スタンダードジルコニア10本 - コメント
この方は奥歯が虫歯で欠損していたり、かなり重度の虫歯がありました。
重度の虫歯は抜歯となってしまいましたので、ブリッジで治しました。
- ブリッジ 症例写真 B-0052スタンダードジルコニア11本 女性モニターの方です。

Before

After詳細はコチラ
セラミック法によるブリッジ治療の症例
- 施術内容
- No. B-0052
年齢
施術 スタンダードジルコニア11本 - コメント
この方は虫歯治療と歯並び治療を希望されました。
セラミック法はこの方の様に、虫歯があっても歯並び治療を同時進行で行えます。
奥歯は重度の虫歯でしたので抜歯してブリッジで治しました。
- ブリッジ 症例写真 B-0052スタンダードジルコニア8本 男性モニターの方です。

Before

After詳細はコチラ
セラミック法によるブリッジ治療の症例
- 施術内容
- No. B-0052
年齢
施術 スタンダードジルコニア8本 - コメント
この方は見える部分の歯が欠損していしまっているので
その部分だけを治したいとの事でした。
他の部分にも虫歯はありますが、今回は気になる部分のみの治療を行いました。
- ブリッジ 症例写真 B-0052スタンダードジルコニア13本 男性モニターの方です。

Before

After詳細はコチラ
セラミック法によるブリッジ治療の症例
- 施術内容
- No. B-0052
年齢
施術 スタンダードジルコニア13本 - コメント
この方は下の前歯が2本、先天欠如しています。さらに奥歯は虫歯ですでに亡くなってしまった部分や
大きな虫歯がありました。
この様な場合でも、ご自身の歯が残せればブリッジで治す事が可能です。
1回目の治療時に全部の歯の仮歯を入れますのですぐにすきっ歯ではなくなります。
奥歯はかみ合わせが不安定にならない様に左右分けて治療しました。
- ブリッジ 症例写真 B-0051オールセラミッククラウン17本 女性モニターの方です。

Before

After詳細はコチラ
オールセラミッククラウン法によるブリッジ治療の症例
- 施術内容
- No. B-0051
年齢
施術 オールセラミッククラウン17本 - コメント
この方は奥歯が欠損したままの状態で
前歯もかみ合わない状態でした。
笑っても歯が見えないのが気になるというお悩みもありました。
セラミック法は前歯も奥歯も一気に治す事が可能です。
ブリッジはフルジルコニアという強度の高いオールセラミックブリッジです。
治療後は銀歯も見えなくなり、若々しいお口元になりました。
- ブリッジ 症例写真 B-0050スタンダードジルコニア6本 男性モニターの方です。

Before

After詳細はコチラ
セラミック法によるブリッジ治療の症例
- 施術内容
- No. B-0050
年齢
施術 スタンダードジルコニア6本 - コメント
この方は小臼歯部の差し歯が外れて、虫歯がかなり進んでいました。
残念ながら抜歯になりましたが、ブリッジで治す事が出来ました。
治療前は歯石がたくさんついていましたがデンタルエステをする事できれいな歯茎になりました。
- ブリッジ 症例写真 B-0049スタンダードジルコニア15 男性モニターの方です。

Before

After詳細はコチラ
セラミック法によるブリッジ治療の症例
- 施術内容
- No. B-0049
年齢
施術 スタンダードジルコニア15 - コメント
この方は前歯と、奥歯が虫歯で溶けてしまっていました。
欠損の両隣に歯がある場合は歯を失ってもブリッジ治療が可能です。
下の歯の奥歯など、入れ歯になる部分は
保険の歯科医院で治療するという事でした。
この方の様に、目立つ部分は当院できれいに治して
他の歯は保険診療で治すという事も可能です。
- ブリッジ 症例写真 B-0048スタンダードジルコニア4本 女性モニターの方です。

Before

After詳細はコチラ
セラミック法によるブリッジ治療の症例
- 施術内容
- No. B-0048
年齢
施術 スタンダードジルコニア4本 - コメント
この方は2番目の前歯の差し歯が外れてしまったとの事で
ご来院されました。
差し歯が取れた歯は根が破折していましたので抜歯となりました。
1回目の治療時に抜歯し、すぐに仮歯をいれますので
治療期間中の見た目は気になりません。
また、向かって右の前歯が出ているので
ブリッジ治療と同時に歯並びも整えました。
- ブリッジ 症例写真 B-0047スタンダードジルコニア9本 男性モニターの方です。

Before

After詳細はコチラ
セラミック法によるブリッジ治療の症例
- 施術内容
- No. B-0047
年齢
施術 スタンダードジルコニア9本 - コメント
この方は前歯や奥歯が所々重度の虫歯でした。
すでに歯が無い部分や抜歯となった部分はブリッジで治しました。
治療後は前歯も奥歯も歯が入って、食事がしやすくなりました。
- ブリッジ 症例写真 B-0046スタンダードジルコニア11本 女性モニターの方です。

Before

After詳細はコチラ
セラミック法によるブリッジ治療の症例
- 施術内容
- No. B-0046
年齢
施術 スタンダードジルコニア11本 - コメント
この方は奥歯に大きな虫歯が何本かありました。
すでに虫歯で溶けてしまっている歯もありました。
根だけしか無い部分は抜歯し、ブリッジで治しています。
1回目の治療時に抜歯し、それと同時に仮歯をいれますので
見た目がすぐに気にならなくなります。
- ブリッジ 症例写真 B-0045スタンダードジルコニア1本 男性モニターの方です。

Before

After詳細はコチラ
セラミック法によるブリッジ治療の症例
- 施術内容
- No. B-0045
年齢
施術 スタンダードジルコニア1本 - コメント
この方は前歯の差し歯が外れてしまったとの事でご来院されました。
根が折れてしまっていましたので
抜歯となりました。抜歯と同時に仮歯を入れますので治療期間中の見た目は気になりません。
反対側の側切歯の虫歯治療後の変色も気になるとの事でしたので
前歯4本をセラミックにしました。
- ブリッジ 症例写真 B-0044スタンダードジルコニア5本 女性モニターの方です。

Before

After詳細はコチラ
セラミック法によるブリッジ治療の症例
- 施術内容
- No. B-0044
年齢
施術 スタンダードジルコニア5本 - コメント
この方は下の奥歯がすでに無い状態であったり、
上の歯が虫歯治療途中の状態でした。
当院では何か所も治療部位があっても同時に治しますので
治療回数が少なく済みます。
当院ではセラミックの白いブリッジや被せ物で治療しておりますので
治療後の見た目もきれいです。
- ブリッジ 症例写真 B-0043スタンダードジルコニア8本 男性モニターの方です。

Before

After詳細はコチラ
セラミック法によるブリッジ治療の症例
- 施術内容
- No. B-0043
年齢
施術 スタンダードジルコニア8本 - コメント
この方は下の歯が抜けたままになっていたり、上は虫歯が酷く抜歯になる歯がありました。
この様な状態でもブリッジ治療で歯を作る事が可能です。
1回目の治療時に仮歯をいれますのですぐに咬むことが出来ます。
保険治療ですと銀歯になってしまいますが
セラミックのブリッジは白いので目立ちません。
- ブリッジ 症例写真 B-0042スタンダードジルコニア7本 女性モニターの方です。

Before

After詳細はコチラ
セラミック法によるブリッジ治療の症例
- 施術内容
- No. B-0042
年齢
施術 スタンダードジルコニア7本 - コメント
この方は奥歯に大きな虫歯の歯や、折れた歯があったために
抜歯をしました。抜歯した部分はブリッジ治療をしました。
1回で抜歯し、ブリッジの仮歯を装着します。
すぐに咬めるようになります。
白いセラミックのブリッジは見た目もきれいです。
- ブリッジ 症例写真 B-0041スタンダードジルコニア3本 男性モニターの方です。

Before

After詳細はコチラ
セラミック法によるブリッジ治療の症例
- 施術内容
- No. B-0041
年齢
施術 スタンダードジルコニア3本 - コメント
この方は差し歯が取れたまま
放置していたとの事です。
根だけになってしまった歯は残念ながら抜歯となりました。
抜歯と同時にブリッジ状態の仮歯を入れます。
ですからすぐに見た目が回復します。
- ブリッジ 症例写真 B-0040オールセラミッククラウン3本 男性モニターの方です。

Before

After詳細はコチラ
オールセラミッククラウン法によるブリッジ治療の症例
- 施術内容
- No. B-0040
年齢
施術 オールセラミッククラウン3本 - コメント
この方は前歯が無い状態でご来院されました。
差し歯が入っていたのが取れて放置していたそうです。
残念ながらこの歯は抜歯となりました。両隣の歯を用いてブリッジという方法で治しました。
歯が無い状態でも1回目の治療時に仮歯をいれますのですぐに見た目が回復します。
- ブリッジ 症例写真 B-0039オールセラミッククラウン7本 女性モニターの方です。

Before

After詳細はコチラ
オールセラミッククラウン法によるブリッジ治療の症例
- 施術内容
- No. B-0039
年齢
施術 オールセラミッククラウン7本 - コメント
この方は奥歯がご覧のような重度の虫歯でした。
幸い、抜歯する程ではなかったのでブリッジで治しました。
虫歯を取り、根の治療を行い、根に土台を立てて最終的に
白いセラミックのブリッジを被せて治療終了しました。
上下の奥歯に虫歯がありましたが、全部同時に治しました。
- ブリッジ 症例写真 B-0038スタンダードジルコニア3本 女性モニターの方です。

Before

After詳細はコチラ
セラミック法によるブリッジ治療の症例
- 施術内容
- No. B-0038
年齢
施術 スタンダードジルコニア3本 - コメント
この方は乳歯が残っており、その乳歯が虫歯になった状態でした。
乳歯にはセラミックの歯を被せて治す事は出来ませんので
抜歯となります。
両隣の歯を支えにしてブリッジをする事で歯が無い期間もなく
欠損の治療が可能です。
治療回数は4回でした。
- ブリッジ 症例写真 B-0037スタンダードジルコニア12本 男性モニターの方です。

Before

After詳細はコチラ
セラミック法によるブリッジ治療の症例
- 施術内容
- No. B-0037
年齢
施術 スタンダードジルコニア12本 - コメント
この方は重度の虫歯で抜歯しなくてはいけない歯が3本ありました。
虫歯になっている歯もありますのでブリッジという方法で12本の歯を一気に治しました。
1回目の治療で抜歯する歯をすべて抜き、12本の歯を仮歯にします。
当院の治療はまとめて治療出来ますので、通院回数が少なく済みます。
- ブリッジ 症例写真 B-0036スタンダードジルコニア13本 女性モニターの方です。

Before

After詳細はコチラ
セラミック法によるブリッジ治療の症例
- 施術内容
- No. B-0036
年齢
施術 スタンダードジルコニア13本 - コメント
この方は奥歯が虫歯で欠損しています。
また、変色した差し歯も治したいとの事でした。
1回目の治療時に仮歯をいれますのですぐに黄ばんだ歯も欠損部分も無くなります。
当院は上下の歯の治療を同時に行いますので通院回数が少なく済みます。
- ブリッジ 症例写真 B-0035スタンダードジルコニア8本 男性モニターの方です。

Before

After詳細はコチラ
セラミック法によるブリッジ治療の症例
- 施術内容
- No. B-0035
年齢
施術 スタンダードジルコニア8本 - コメント
この方は奥歯の虫歯が全体的に進行している状態でした。
治療途中になったまま放置してしまっていた歯もありました。
状態が悪く抜歯になってしまった歯もありましたが、ブリッジやインプラントで歯を作ることが出来ました。
- ブリッジ 症例写真 B-0034スタンダードジルコニア11本 男性モニターの方です。

Before

After詳細はコチラ
セラミック法によるブリッジ治療の症例
- 施術内容
- No. B-0034
年齢
施術 スタンダードジルコニア11本 - コメント
この方は、虫歯で所々歯が無くなっている様な状態でした。
根だけになっている歯は抜歯し、ブリッジという方法で治しました。
欠損あっても、両隣の歯が残っていれば入れ歯ではなくブリッジで治す事が可能です。
- ブリッジ 症例写真 B-0033スタンダードジルコニア3本 男性モニターの方です。

Before

After詳細はコチラ
セラミック法によるブリッジ治療の症例
- 施術内容
- No. B-0033
年齢
施術 スタンダードジルコニア3本 - コメント
この方は虫歯で歯が欠損している状態でした。
根だけになった虫歯の歯は抜歯となりました。
抜歯部分の両隣の歯は差し歯で虫歯もありましたので
ブリッジでの治療を行いました。
他の歯も虫歯でしたが、気になる部分だけの治療を希望されましたので
左の3本のみセラミックでなおしました。
- ブリッジ 症例写真 B-0032スタンダードジルコニア4本 男性モニターの方です。

Before

After詳細はコチラ
セラミック法によるブリッジ治療の症例
- 施術内容
- No. B-0032
年齢
施術 スタンダードジルコニア4本 - コメント
この方は前歯2本が虫歯で崩壊してしまっていました。
残念ながらこの2本は虫歯が酷すぎて抜歯となりました。
となりの歯を用いてブリッジで治しました。
1回目の治療時に仮歯を入れますのですぐに見た目が回復します。
- ブリッジ 症例写真 B-0031スタンダードジルコニア8本 女性モニターの方です。

Before

After詳細はコチラ
セラミック法によるブリッジ治療の症例
- 施術内容
- No. B-0031
年齢
施術 スタンダードジルコニア8本 - コメント
この方は小臼歯が1本虫歯で抜歯しなくてはいけない状態でした。
抜歯と同時に仮歯を入れますのですぐに歯が無い状態ではなくなります。
このブリッジ治療の回数は4回でした。
- ブリッジ 症例写真 B-0030 オールセラミッククラウン1本、スタンダードジルコニア8本 女性モニターの方です。

Before

After詳細はコチラ
オールセラミッククラウン法、セラミック法によるブリッジ治療の症例
- 施術内容
- No. B-0030
年齢
施術 オールセラミッククラウン1本、スタンダードジルコニア8本 - コメント
この方は虫歯が進行していて抜歯になる部分がありました。
抜歯しても両隣の歯を用いてブリッジで治す事ができます。
当院は1回の治療で上下とも治療しますので通院が少なく済みます。
- ブリッジ 症例写真 B-0029スタンダードジルコニア14本 女性モニターの方です。

Before

After詳細はコチラ
セラミック法によるブリッジ治療の症例
- 施術内容
- No. B-0029
年齢
施術 スタンダードジルコニア14本 - コメント
この方は虫歯で所々歯が欠損したり、重度の虫歯のために抜歯しなくてはいけない状態でした。
幸い、欠損部分の両隣の歯を用いてブリッジでの治療が可能でした。
1回目の治療時にブリッジの仮歯を入れられますので
すぐに見た目が気にならなくなります。
- ブリッジ 症例写真 B-0028セラミック法3本 女性モニターの方です。

Before

After詳細はコチラ
セラミック法によるブリッジ治療の症例
- 施術内容
- No. B-0028
年齢
施術 セラミック法3本 - コメント
この方は2番目の前歯が虫歯で折れた状態でした。
残念ながら抜歯しなくてはいけない状態でしたが
両隣の歯を支えとしてブリッジ治療が可能でした。
この歯以外の差し歯もかなり黄ばんでいましたが
部分的な治療をご希望でしたので
上の前歯3本だけの治療となりました。
- ブリッジ 症例写真 B-0027セラミック法6本 女性モニターの方です。

Before

After詳細はコチラ
セラミック法によるブリッジ治療の症例
- 施術内容
- No. B-0027
年齢
施術 セラミック法6本 - コメント
この方は重度の虫歯で奥歯を1本抜歯しました。
この方はブリッジ治療をご希望されましたので
抜歯する歯の両隣の歯を支えにしたブリッジで治しました。
反対側にも虫歯がありましたがブリッジ治療と一緒に治しました。
抜歯と同時に仮歯をいれますので歯が無い期間がありません。
- ブリッジ 症例写真 B-0026セラミック法10本 女性モニターの方です。

Before

After詳細はコチラ
セラミック法によるブリッジ治療の症例
- 施術内容
- No. B-0026
年齢
施術 セラミック法10本 - コメント
この方は奥歯が虫歯で欠損している部位がありました。
また、銀歯も目立つのできれいにしたいとの事でした。
セラミックの歯は着色や変色をしませんので長期間きれいな色が保てます。
- ブリッジ 症例写真 B-0025セラミック法6本 女性モニターの方です。

Before

After詳細はコチラ
セラミック法によるブリッジ治療の症例
- 施術内容
- No. B-0025
年齢
施術 セラミック法6本 - コメント
この方は前歯2本の差し歯が虫歯になり、外れたまま放置していた方です。
残っている歯は歯茎に埋まってしまっています。
かなり虫歯がひどいため、前歯2本は抜歯し、両隣の歯を用いてブリッジという方法で治しました。
1回目の治療時にブリッジの状態の仮歯をいれますのですぐに見た目が気にならなくなります。
- ブリッジ 症例写真 B-0024セラミック法10本、ハイブリッドセラミックインレー1本 女性モニターの方です。

Before

After詳細はコチラ
セラミック法・ハイブリッドセラミックインレーによるブリッジ治療の症例
- 施術内容
- No. B-0024
年齢
施術 セラミック法10本、ハイブリッドセラミックインレー1本 - コメント
この方は奥歯が欠損していたり、虫歯で抜かなくてはいけない歯がありました。
欠損部分の治療はブリッジやインプラント、部分入れ歯での治療法があります。
この方は費用や治療期間の点からブリッジでの治療をご希望されました。
虫歯を取ったり、根の治療をして白いセラミックのブリッジを入れました。
保険診療ですと銀歯での治療になってしまい、非常にめだってしまいますが
セラミックは白いので自然に仕上がります。
- ブリッジ 症例写真 B-0023スタンダードジルコニア10本 男性モニターの方です。

Before

After詳細はコチラ
セラミック法によるブリッジ治療の症例
- 施術内容
- No. B-0023
年齢
施術 スタンダードジルコニア10本 - コメント
奥歯に欠損があったり、虫歯で根しか残っていない状態でも
ブリッジで治せます。
当院ではたくさん虫歯があっても1回の治療でまとめて何本も治療しますので
通院回数が少なく済みます。
- ブリッジ 症例写真 B-0022スタンダードジルコニア7本 女性モニターの方です。

Before

After詳細はコチラ
セラミック法によるブリッジ治療の症例
- 施術内容
- No. B-0022
年齢
施術 スタンダードジルコニア7本 - コメント
この方は前歯の差し歯と奥歯のブリッジが脱落してしまってご来院されました。
歯根の虫歯がひどく抜歯となりましたので両隣の歯を用いてブリッジで治しました。
1回目の治療時に仮歯を入れますのですぐに見た目が回復します。
治療回数は5回でした。
- ブリッジ 症例写真 B-0021スタンダードジルコニア6本、セラミックインレー3本 女性モニターの方です。

Before

After詳細はコチラ
セラミック法・セラミックインレーによるブリッジ治療の症例
- 施術内容
- No. B-0021
年齢
施術 スタンダードジルコニア6本、セラミックインレー3本 - コメント
この方は歯が虫歯で溶けてしまい、根のかけらが残っているだけになっていました。
この方は両隣の歯を用いてブリッジにして治しました。
当院では奥歯でも白いブリッジで治療しますので笑っても目立たずきれいです。
- ブリッジ 症例写真 B-0020スタンダードジルコニア5本 女性モニターの方です。

Before

After詳細はコチラ
セラミック法によるブリッジ治療の症例
- 施術内容
- No. B-0020
年齢
施術 スタンダードジルコニア5本 - コメント
この方は上顎の小臼歯が虫歯から根の病気になり
歯茎が腫れて膿を持った状態でご来院されました。
炎症が強く、痛みもありました。
原因となっている歯は残念ながら抜歯となりましたが
両隣の歯を用いてブリッジという方法で治しました。
前歯も虫歯治療で詰め物をしていましたが境目の部分に隙間が出来て
虫歯になっていましたので一緒に治しました。
- ブリッジ 症例写真 B-0019オールセラミッククラウン法15本 女性モニターの方です。

Before

After詳細はコチラ
オールセラミッククラウン法によるブリッジ治療の症例
- 施術内容
- No. B-0019
年齢
施術 オールセラミッククラウン法15本 - コメント
この方は上の歯と下の奥歯の欠損がありました。
1回目の治療時に仮歯を入れますのですぐに抜けた部分に歯が入ります。
虫歯治療や根の治療を行い、最終的に白いセラミックのブリッジを被せました。
- ブリッジ 症例写真 B-0018セラミック法3本、ラミネートベニア2本 女性モニターの方です。

Before

After詳細はコチラ
セラミック法、ラミネートベニアによる虫歯治療の症例
- 施術内容
- No. B-0018
年齢
施術 セラミック法3本、ラミネートベニア2本 - コメント
この方は奥歯が1本虫歯で抜歯となりました。
ブリッジは虫歯で抜歯になる歯の両隣の歯を用いて欠損部分を補う治療です。
1回目の治療時に抜歯してブリッジの仮歯をいれますので歯が無くて困る期間はありません。
最終的に白いブリッジを接着して治療終了です。
白いので笑ったりしたときにも見えませんので見た目が気になりません。
- ブリッジ 症例写真 B-0017オールセラミッククラウン法5本 女性モニターの方です。

Before

After詳細はコチラ
オールセラミッククラウン法による歯並び治療の症例
- 施術内容
- No. B-0017
年齢
施術 オールセラミッククラウン法5本 - コメント
この方は1本歯を抜いたままになっていました。
歯が無い部分の両隣の歯にはすでに差し歯が入っていましたので
セラミックのブリッジで治しました。
1回目の治療時に元々入っていた差し歯を外して、ブリッジの仮歯を入れます。
ですからすぐに歯が無い状態でなくなります。
この方は前歯の差し歯も変色していましたので前歯もセラミックの歯にしました。
- ブリッジ 症例写真 B-0016セラミック法4本 男性モニターの方です。

Before

After詳細はコチラ
セラミック法によるブリッジ治療の症例
- 施術内容
- No. B-0016
年齢
施術 セラミック法4本 - コメント
この方は前歯や小臼歯部に大きな虫歯がありました。
小臼歯部の虫歯は根の奥深くまで虫歯でしたので
抜歯をしてブリッジという方法で歯を作りました。
ブリッジは入れ歯ではありませんので取り外しの必要がなく
ご自身の歯と同じように使って頂けるものです。
前歯の大きな虫歯は白い樹脂を詰める方法で治しました。
前歯の詰め物も小臼歯部の大きな虫歯治療も同時進行で行いますので
保険診療よりも少ない回数で治療が完了します。
- ブリッジ 症例写真 B-0015セラミック法8本 女性モニターの方です。

Before

After詳細はコチラ
セラミック法によるブリッジ治療の症例
- 施術内容
- No. B-0015
年齢
施術 セラミック法8本 - コメント
この方は右側の2番目の歯が抜けてしまっている状態で
仮歯を接着剤でつけていました。
歯を失った場合はブリッジやインプラント、入れ歯といった治療の選択肢があります。
この方は早急な治療をご希望しておりましたのでブリッジでの治療を行いました。
他の前歯にも虫歯がありましたのでブリッジ治療と一緒に行いました。
- ブリッジ 症例写真 B-0014オールセラミッククラウン3本 女性モニターの方です。

Before

After詳細はコチラ
オールセラミッククラウンによるブリッジ治療の症例
- 施術内容
- No. B-0014
年齢
施術 オールセラミッククラウン3本 - コメント
この方は前歯に乳歯が残ったままで、永久歯が生えてこなかった方です。
乳歯は抜歯し、ブリッジという方法で治しました。
元々歯茎のラインが不ぞろいですので、長くなっている歯もありますが
唇で隠れますので
日常生活で目立つことはありません、
- ブリッジ 症例写真 B-0013オールセラミッククラウン2本、スタンダードジルコニア9本 男性モニターの方です。

Before

After詳細はコチラ
オールセラミッククラウン法、セラミック法によるブリッジ治療の症例
- 施術内容
- No. B-0013
年齢
施術 オールセラミッククラウン2本、スタンダードジルコニア9本 - コメント
この方は前歯や奥歯が虫歯で
すでに抜けてしまっている部分もありました。
この様な状態でもブリッジで治せます。
当院はセラミックのブリッジですので
奥歯でも白い歯で治す事が可能です。
- ブリッジ 症例写真 B-0012セラミック法3本 女性モニターの方です。

Before

After詳細はコチラ
セラミック法によるブリッジ治療の症例
- 施術内容
- No. B-0012
年齢
施術 セラミック法3本 - コメント
この方は奥歯が重度の虫歯になっていました。
根の奥まで虫歯でしたので抜歯となりました。
抜歯と同時に仮歯をいれますので歯が無い期間はありません。
- ブリッジ 症例写真 B-0011オールセラミッククラウン3本 女性モニターの方です。

Before

After詳細はコチラ
オールセラミッククラウン法によるブリッジ治療の症例
- 施術内容
- No. B-0011
年齢
施術 オールセラミッククラウン3本 - コメント
この方は下の前歯が1本元々生えてこない状態でした。
両隣の歯を支えにしてブリッジという方法で治しました。
1回目の治療時に仮歯を入れますのですぐに歯が無い状態ではなくなります。
- ブリッジ 症例写真 B-0010オールセラミッククラウン3本、スタンダードジルコニア6本 女性モニターの方です。

Before

After詳細はコチラ
オールセラミッククラウン法、セラミック法によるブリッジ治療の症例
- 施術内容
- No. B-0010
年齢
施術 オールセラミッククラウン3本、スタンダードジルコニア6本 - コメント
この方は向かって左側の前歯がグラグラになってしまっていました。
抜歯して両隣の歯とブリッジをして治しました。
1回目の治療時は抜歯と同時に仮歯を入れますので
見た目が気になる期間はございません。
奥歯も抜歯していた部分をブリッジ治療しました。
前歯も奥歯も同時進行で治療しますので
少ない回数で治療可能です。
- ブリッジ 症例写真 B-0009スタンダードジルコニアクラウン法 6本 女性モニターの方です。

Before

After詳細はコチラ
スタンダードジルコニアクラウン法によるブリッジ治療
- 施術内容
- No. B-0009
年齢
施術 スタンダードジルコニアクラウン法 6本 - コメント
この方は左右の奥歯がひどい虫歯で抜歯となりました。
抜歯となった歯の両隣の歯を利用してブリッジ治療を行いました。
当院では抜歯と同時に仮のブリッジを入れますので
咬みにくくなるという事もありません。
抜歯部分の治癒は2か月ほど待ってから歯型を採ってブリッジを装着しました。
回数は5回でした。
- ブリッジ 症例写真 B-0008オールセラミッククラウン3本・デンタルエステ・ブリッジ 男性モニターの方です。

Before

After詳細はコチラ
オールセラミッククラウン法によるブリッジ治療・歯の色治療の症例写真
- 施術内容
- No. B-0008
年齢
施術 オールセラミッククラウン3本・デンタルエステ・ブリッジ - コメント
写真向かって右上1番目の歯が折れてしまっていて抜歯となりました。
そのため両隣の歯を用いて(もともとかぶせ物が入っていました)セラミックのブリッジ治療をしました。
全体的に黄ばみがありましたので、ご自身の歯はホームホワイトニングで白くしました。
セラミックのブリッジの色は白くなった歯に合わせて色を決めます。
こうする事で全体的に明るい若々しいお口元にする事が出来ます。
- ブリッジ 症例写真 B-0007ブリッジ 女性モニターの方です。

Before

After詳細はコチラ
ブリッジによる治療の症例写真
- 施術内容
- No. B-0007
年齢
施術 ブリッジ - コメント
この方は前歯にブリッジが入っている方です。
歯がない部分の歯茎がへこんでしまって、笑った時に目立ってしまっていました。
当院ではこのような骨の欠損が生じている場合、骨に人工骨を補填して審美的な治療を行います。
術後のお写真を見て頂ければわかりますが、術前にはへこんでしまっていた歯茎がきれいな形に回復しています。
- ブリッジ 症例写真 B-0006オールセラミッククラウン・セラミック法 女性モニターの方です。

Before

After詳細はコチラ
セラミック法+インプラントによる虫歯治療の症例写真
- 施術内容
- No. B-0006
年齢
施術 オールセラミッククラウン・セラミック法 - コメント
向かって右上の奥歯が欠損している部分をブリッジにしました。
この方は他院にて治療途中で放置してしまっていました。
ですから、奥歯の根の治療から行いました。
他の歯にも虫歯がありましたので
虫歯治療と並行してブリッジ治療をしました。
1回目の治療時にブリッジの部分も仮歯が入りますので
すぐにかみやすくなります。
当院ではセラミック製のブリッジを製作しています。
セラミックは歯垢が付きにくく、歯茎に優しい材質です。
また、変色しませんので長期間にわたってきれいな状態を保てます。
- ブリッジ 症例写真 B-0005スタンダードジルコニア・抜歯7本 男性モニターの方です。

Before

After詳細はコチラ
スタンダードジルコニアクラウン法による虫歯治療の症例写真
- 施術内容
- No. B-0005
年齢
施術 スタンダードジルコニア・抜歯7本 - コメント
この方はたくさん虫歯があるけれど、お仕事の都合で何回も通院できないでいるうちに、
虫歯が増えてしまったとの事でした。
虫歯のため、全部で7本の歯を抜歯しなくてはいけませんでした。
歯を喪失した場合は、ブリッジ、インプラント、入れ歯での治療方法があります。
この方の場合、抜歯になる歯の両隣に歯が残っている点と
両隣の歯も虫歯で治療が必要だった点から、ブリッジでの治療を行いました。
当院は1回で何本も同時に治療できますので、少ない回数で治療できます。
全部で21本の虫歯を9回で治療する事ができました。
- ブリッジ 症例写真 B-0004スタンダードジルコニア(A)16本・レジン充填5本・抜歯6本 男性モニターの方です。

Before

After詳細はコチラ
スタンダードジルコニアクラウン法による虫歯治療の症例写真
- 施術内容
- No. B-0004
年齢
施術 スタンダードジルコニア(A)16本・レジン充填5本・抜歯6本 - コメント
この方は虫歯が進んでしまっていて、抜歯が6本必要でした。
歯科治療恐怖症で虫歯治療に行けなかったとの事でしたので、
1回目は無痛麻酔での治療を行いました。無痛麻酔は最初の1回だけでした。
歯科医師との信頼関係が構築でき、無理なく痛みがない治療をすることで、
根の治療や歯型取りなどは無痛麻酔を使わなくても治療する事が出来ました。
抜歯となった部分の両側に歯がありましたのでブリッジでの治療をする事が出来ました。
まだお若い方ですので入れ歯は避けたいですし、両隣に残った歯も虫歯で
治療が必要でしたのでブリッジで治療を選択しました。
治療前後のお写真を比較しますと、ご自身の歯もとてもきれいになっています。
治療の際には歯石除去や歯磨き練習を行う事で、歯だけではなく歯茎もきれいになりました。
この方は根の病巣の手術が必要でしたので、通常よりも治療回数が多く全部で10回でした。
- ブリッジ 症例写真 B-0003スタンダードジルコニアクラウン法 上8本 女性モニターの方です。

Before

After詳細はコチラ
スタンダードジルコニアクラウン法による虫歯とすきっ歯治療の症例写真
- 施術内容
- No. B-0003
年齢
施術 スタンダードジルコニアクラウン法 上8本 - コメント
この方は虫歯と歯茎が下がったために歯と歯茎の間に隙間ができてしまっている状態や
ブリッジの治療をご希望されました。
まず1回目の治療時にグラグラした前から2番目の差し歯は抜歯しました。
それと同時に虫歯を取って仮歯にします。仮歯の時点で歯茎との隙間も無くなりますし、
虫歯で欠けたり変色した部分も見えなくなります。歯が無い部分にも歯が入ります。
きれいな仮歯を入れた状態で治療を進めますので治療期間中の見た目は全く気になりません。
虫歯治療、根の治療をした後セラミックの歯を被せて治療終了です。
この方の治療回数は5回でした。
- ブリッジ 症例写真 B-0002スタンダードジルコニアブリッジ法 上6本 女性モニターの方です。

Before

After詳細はコチラ
スタンダードジルコニアブリッジ法による歯周病治療の症例写真
- 施術内容
- No. B-0002
年齢
施術 スタンダードジルコニアブリッジ法 上6本 - コメント
この方は前歯2本が歯周病のためぐらぐらになってしまっていました。
歯周病がありますので全体的に歯茎が下がって歯の隙間が空き、歯茎の際が
黒ずんでいます。また差し歯も欠けてしまっている状況でした。
前歯2本は残念ながら抜歯となってしまいましたが、
その日に仮歯が入りますので見た目が気になる事はありませんでした。
全体的な歯の黄ばみもきれいにしたいという事でしたので、
ホームホワイトニングも行っています。
ホワイトニングで白くしたご自身の歯の色に合わせて
セラミックブリッジをお作りしました。
全体的に白くきれいなおくちもとになりました。
本来であれば奥歯も治療した方が良い事をご説明致しましたが、費用的な事情で当院
では気になる部分だけ治療を行いました。
この様に当院では全部の歯を治療しなくてはいけないわけでは無く、患者様のご要望
に応じた治療本数でのプランもご提案致します。
- ブリッジ 症例写真 B-0001セラミッククラウン法 男性モニターの方です。

Before

After詳細はコチラ
ブリッジ治療の症例写真
- 施術内容
- No. B-0001
年齢
施術 セラミッククラウン法 - コメント
この方は上の両側4番目の歯の虫歯治療をご希望された患者様です。
右側4番目の歯は虫歯がひどい為、抜歯となりました。
この様な場合はブリッジ、インプラント治療が選択可能です。
この患者様はブリッジでの虫歯治療を希望されました。
治療の流れはまず1回目の治療時に虫歯の歯を抜歯して、抜歯した両隣の歯(この症例の場合は犬歯と奥の5番目の歯)を支えにした仮歯を入れます。
抜歯と同時に仮歯を入れますので、歯が無い期間はありません。
抜歯部分が治癒したら歯型を取って、セラミックのブリッジをかぶせて治療終了です。
この患者様は反対側の4番目の歯や左右の下の奥歯にも虫歯や歯の無い部分がありましたので、右のブリッジ治療と同様に治療しました。
左側4番目の虫歯は内部で広がっていましたので、虫歯を全部取り、神経の治療をしてからセラミックの歯をかぶせて治しました。
回数は上下左右の治療を同時にしますので4回で終了しました。


















































































































































































































































































































































