ザ・ホワイトデンタルクリニック池袋院
池袋駅すぐの歯科医院です。重度の虫歯治療から歯並び歯列矯正、インプラント手術など審美性の高い治療を受けられます。

池袋院
池袋院のポリシー
池袋院は、常に最良のパフォーマンスを発揮できるように毎日の気づきを、何より大切にしております。どんなに小さなことでも患者様にとって不十分なことはなかったか?と省みることを惜しまず、より良くなるために日々思考を巡らせています。
スタッフひとり一人が、現状に満足することなく努力や改善に余念がない。これは池袋院の大きな誇りです。この誇りを胸に、多くの患者様から「池袋院にして本当に良かった。」と喜んでいただけるよう、日々邁進してまいります。
院長のご挨拶
こんにちは。ザ・ホワイトデンタルクリニック池袋院・院長の石川です。
わたしたち池袋院は、いつでも患者様の期待に応えられるように学びの限界を決めません。それは技術を学び続けることはもちろん、患者様のことを知り続けることも然りです。
どんなに優れた技術があっても、患者様を慮る気持ちがなければ本当に良質な歯科治療とは言えません。クリニックとして、医師として、人として、成長し続ける池袋院。これからも質を伴った歯科治療を全力で提供いたします!ぜひ、お気軽にご相談ください。
医師の紹介

池袋院院長
石川 怜奈
Rena Ishikawa
経歴
- 2018年
- 日本歯科大学 卒業
- 2018年
- 日本歯科大学付属病院 入職
- 2019年
- ザ・ホワイトデンタルクリニック 入職
診療項目一覧
- 虫歯
- 歯列矯正
- マウスピース矯正
- 出っ歯
- 受け口・切端咬合
- りんかく形成
- すきっ歯
- インプラント
- 入れ歯
- ブリッジ
- ラミネートベニア
- ガミースマイル
- セラミック
- 歯の色・ホワイトニング
- デンタルエステ
- 歯周病
- ブライダル ホワイトニング
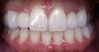
池袋院の症例写真
歯並びの症例写真
施設紹介

歯科・美容外科の総合受付となっております。

落ち着いた雰囲気の院内でゆっくりとおくつろぎください。

まずはカウンセリングにてお悩みをお伺いします。

1人1人に丁寧に治療致します。
クリニック情報
住所
〒171-0022
東京都 豊島区南池袋2丁目26-6 島倉ビル 3階
電話番号
電話受付時間: 8:30~20:00(土・日・祝もOK)
診療受付・休診日
診療時間 10:00-19:00(年中無休)
アクセス
最寄り駅 各線「池袋駅」東口より徒歩3分
JR池袋駅 南改札口からの道案内
※地下通路を通るため雨の日は濡れずに便利です。(39番出口は7:00から21:00までの使用となります)
-
南口を目指して「南改札」を出てください。

-
改札を出たら「西武口」方面に向けて左折してください。

-
そのまま直進していくと右手に「みどりの窓口」、左手に「有楽町線の改札口」が見えますので通り過ぎてください。

-
突き当たりに「西武デパート」があります。そのまま階段を上がり、「南池袋・雑司ヶ谷方面」の方面へ真っすぐ進みます。突き当りを右に曲がり、道なりに歩くと39番出口につきます。

-
39番出口を出ると、左折してください。2軒隣の島倉ビルの3Fが当院になります。

-
青地に白文字の看板が目印です。突き当りエレベーターよりお越しください。



