公開日: | 最終更新:
監修:顧問指導医: 永山 幸
土日・祝日も診療しております!
すきっ歯とは
歯と歯の間に隙間が空いている状態を言います。

会話したり笑ったときに目立ちますので、見た目を気にする方が多いです。また、息が漏れて発音がうまくできていない方もいらっしゃいます。(滑舌が悪い)
歯科検診などでは「空隙歯列」や「歯間離開」と言われます。
歯が生えてきた時から隙間がある場合や、成人になってから舌の癖や歯周病のせいですきっ歯になる事があります。
乳歯の時の症状は生理的なものですのでさほど心配はありませんし、治す必要もありません。
原因はいくつかあります。
下顎が過剰に発達している状態が多くみられます。そのため口を閉じる際に力を入れないと閉じられない状態となります。口を閉じるとへの字口になってしまい、口角が下がります。そのせいで不機嫌そうに見えてしまう事もあります。

この写真の様に2番目の歯が矮小歯の状態の方は歯が小さい分すきっ歯になる傾向があります。歯並びが良い場合はラミネートべニア法やセラミッククラウン法で治療します。

下顎が過剰に発達している状態が多くみられます。そのため口を閉じる際に力を入れないと閉じられない状態となります。口を閉じるとへの字口になってしまい、口角が下がります。そのせいで不機嫌そうに見えてしまう事もあります。

現代人は2番目の歯が先天的に欠損している場合があります。元々歯が無いとその分すきっ歯になってしまいます。その様な場合はセラミッククラウン法で無い歯の部分はブリッジをして、すきっ歯治療します。

下顎が過剰に発達している状態が多くみられます。そのため口を閉じる際に力を入れないと閉じられない状態となります。口を閉じるとへの字口になってしまい、口角が下がります。そのせいで不機嫌そうに見えてしまう事もあります。

顎のアーチが大きい場合は歯の大きさが正常でも隙間が出来てしまいます。
その様な場合はセラミッククラウン法もしくはワイヤー矯正で治療します。

下顎が過剰に発達している状態が多くみられます。そのため口を閉じる際に力を入れないと閉じられない状態となります。口を閉じるとへの字口になってしまい、口角が下がります。そのせいで不機嫌そうに見えてしまう事もあります。

食べ物や飲み物を飲み込む際に舌を前歯の裏に押し付けて飲み込む癖のある方は前歯が徐々に開いてすきっ歯の状態になってしまいます。
幼児期に指しゃぶりの癖が治らず、出っ歯になっている方や受け口の方で力を入れないと唇を閉じる事が出来ない方にこの傾向があります。
この様な場合は舌癖を治すトレーニングが必要ですが成人になるとなかなか治りません。
ですからワイヤー矯正で治療してもまた舌で押してしまい、すぐに後戻りしてまたすきっ歯になってしまいます。
セラミッククラウン法でセラミックを連結して入れる事で舌癖があっても後戻りのリスクを軽減し治療する事が可能です。

まず、歯の表面を土台状に削り、型をとります。
<歯に隙間がある場合>

◆この段階ですき間は一切なくなります。
今まで気にしていたすきまも1回目の治療で気にならなくなります。
出来上がったセラミックを接着し完了!
◆ザ・ホワイトデンタルクリニックなら、わずか2回の治療で終了です!
※歯並びが著しく悪い場合には抜歯などが必要になる事もあります。このような場合は治療回数が1~2回多くなる事もあります。

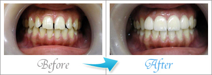
すきっ歯でお悩みのためご来院した患者様に、セラミック法で治療を行った時の症例写真です。

[No.TG-0015/上4本・下4本/20代女性モニター]
1回目の治療時には仮歯を入れて隙間をなくせます。上の歯はすきっ歯だけでなく、少し前にでていましたので、隙間をなくすと同時に歯を内側に入れ込みました。治療回数は4回でした。

[No.TG-0014/セラミッククラウン法 上8本/40代女性モニター]
この方は虫歯と歯茎が下がったために歯と歯茎の間に隙間ができてしまっている状態やブリッジの治療をご希望されました。
まず1回目の治療時にグラグラした前から2番目の差し歯は抜歯しました。それと同時に虫歯を取って仮歯にします。仮歯の時点で歯茎との隙間も無くなりますし、虫歯で欠けたり変色した部分も見えなくなります。歯が無い部分にも歯が入ります。
きれいな仮歯を入れた状態で治療を進めますので治療期間中の見た目は気になりません。
虫歯治療、根の治療をした後セラミックの歯を被せて治療終了です。この方の治療回数は5回でした。
セラミック法は治療する歯の本数で料金が決まります。また、材質によっても料金が違います。1本88,000円(税込)のもので2本治療する場合は176,000円(税込)です。(税別価格)治療費のお支払いは3〜120回まで分割可能です。
詳しく見る「部分矯正とセラミック法の併用」

3ヶ月程、部分矯正をします。月1回ご来院下さい。
キレイに揃ったセラミックを被せて終了です。

MTM(部分矯正)を併用したセラミッククラウン法による治療の症例写真

[No.TG-0012/MTM(部分矯正)・セラミック法 上前歯4本/20代男性モニター]
隙間の幅が広いのでMTM(部分矯正)を併用したセラミッククラウン法での治療を行いました。歯の幅がバランス良くなるように、矯正装置を3ヶ月程度装着して歯を少し移動させます。歯の移動が出来たら4本連結したセラミッククラウンの歯を被せて治療終了しました。
先天欠損がある方
MTM(部分矯正)を併用したセラミッククラウン法による治療の症例写真

[No.TG-0011/MTM(部分矯正)・セラミッククラウン法 /20代女性モニター]
もともと歯が小さい部分があるのと、歯がもともとない部分があるためにこの様な隙間の空いた歯並びとなっています。まず4ヶ月間、部分的なワイヤー矯正(MTM)を行い、歯の位置がバランス良くなった時点でワイヤー矯正を外して、セラミッククラウンの歯に置き換えました。
MTM(部分矯正)とオールセラミッククラウン法・セラミッククラウン法を併用した歯並び矯正治療の症例写真

[No.TG-0010/オールセラミッククラウン 12本、セラミッククラウン 5本/30代女性モニター]
この患者様は上の歯の前から2番目の歯がもともと無い方です。下の歯は歯並びが悪い上に、歯周病の影響で前歯1本が出てしまい、ぐらぐらしていたので抜歯となりました。まずは5ヶ月ほどワイヤー矯正をして部分的に歯並びや歯の幅をある程度そろえてから前歯は上下ともオールセラミッククラウンを入れて治療終了しました。
部分矯正は330,000円(税込)です。
そのほか、セラミックの料金は1本88,000円(税込)からございます。
ザ・ホワイトデンタルクリニックでの、ラミネートベニア法の治療の流れをご説明いたします。
歯の表面を1ミリ弱削ります。元々、歯が小さい矮小歯という場合は削らない事もあります。その後歯型を採ります。
歯型を採った後は隙間をなくした仮歯を貼り付けます。
この時点で隙間がなくなります。
薄いセラミックを付け爪のような感じで歯に接着して完了です。
ラミネートベニアはセラミック製ですので、くすんだり黄ばんだりなど経年劣化しにくいです。
すきっ歯治療にはセラミッククラウン法と、部分矯正法、ワイヤー矯正法があります。
セラミッククラウン法とは、歯の表裏面を削り、その上に隙間を無くした状態のセラミックの歯を被せこんで隙間を無くす治療方法です。

当院では歯1本につき88,000円(税込)から可能です。歯1本あたりに費用が発生いたしますので、治療する歯の本数分が総額となります。
例えば前歯2本であれば176,000円(税込)となります。

部分矯正とは、歯の隙間が大きいすきっ歯の方に対して3ヶ月ほど部分ワイヤー装置を装着して頂き、歯の隙間を小さくしながら歯それぞれの幅をバランスを良くする治療法で、セラミック法と併用して行います。

費用は330,000円(税込)です。

全部の歯に装置を付けてそれぞれの歯の位置を移動させながら矯正していく治療法です。
費用は1,100,000円(税込)です。
ザ・ホワイトデンタルクリニックでのすきっ歯治療費用のお支払いは現金のほか各種クレジットカードでの分割払いも可能です。
またご希望によって、3~120回までの分割払いが可能なクレジット医療ローンもご用意しておりますのでお気軽にご相談ください。

【ご利用頂けるクレジットカード】

ラミネートベニア法による治療の症例写真

[No.LV-0001/ラミネートベニア 4本/30代女性モニター]
歯並びはきれいなので歯の表面に薄いセラミックを貼り付ける「ラミネートベニア法」で治療しました。
ラミネートベニア法は歯並びが良く、虫歯の無い状態で隙間だけがあるような方にお勧めの治療法です。
取れたり、黄ばむことも少ないです。
ラミネートベニアは1本132,000円(税込)です。総額は治療する歯の本数で決まります。
例えば2本であれば264,000円(税込)です。
お支払いは3〜120回まで分割可能です。
歯に矯正器具を付けます。
ゴムやワイヤーの力を利用して徐々に歯を動かします。
調整は月1回程度です。
片顎660,000円(税込)です。