土日・祝日も診療しております!

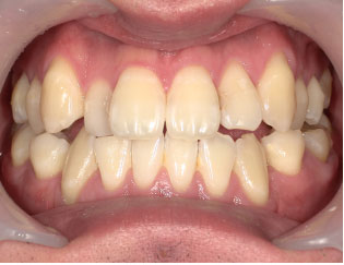
りんかく形成 症例写真

  • りんかく形成の詳細はこちら
  • りんかく形成は症状によって、様々な施術方法があります。

    この施術の情報
      施術名
      りんかく形成
      料金
      上顎切り手術 1,980,000円(税込)
      下顎切り手術 1,430,000円(税込)
      考えられるリスク
      骨格的な輪郭治療は全身麻酔での手術です。1泊入院が必要となります。腫れや内出血予防のテープ固定が3日間必要です。1週間程度はしゃべりにくさを感じます。