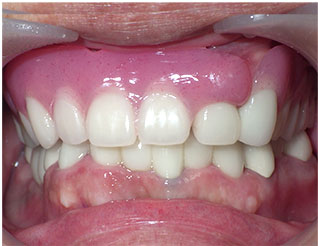
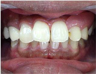
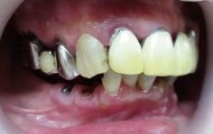
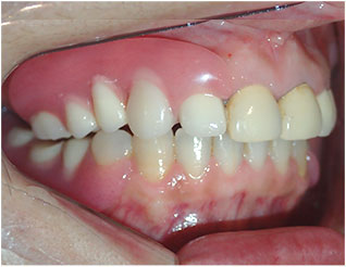
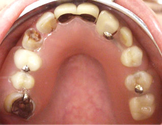
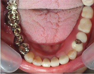
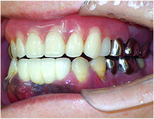
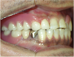
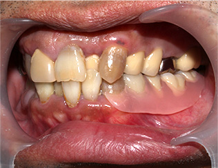
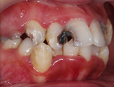
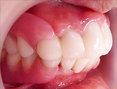
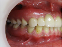
治療1回目から見た目は改善、少回数でOK!入れ歯 ビフォーアフター症例写真を更新中!
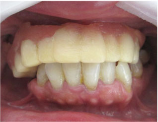
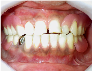
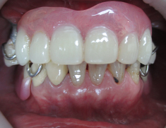
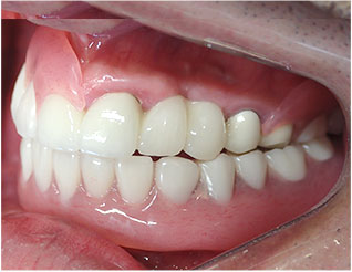
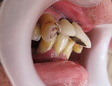
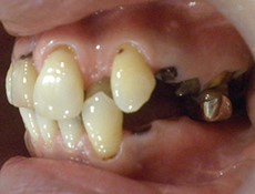
- 入れ歯 症例写真 FT-0059FZC7本 女性モニターの方です。

Before

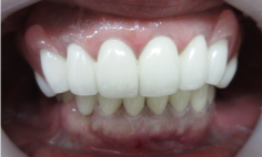
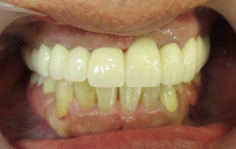
After詳細はコチラ
スマイルデンチャーによる入れ歯治療の症例
- 施術内容
- No. FT-0059
年齢
施術 FZC7本 - コメント
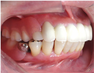
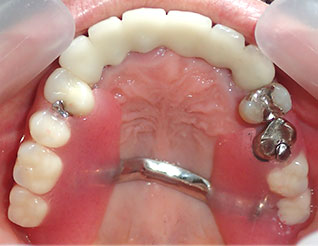
この方は上顎に欠損がありました。 根が傷んでいるために抜歯も必要でした。 歯がなくなった左右の欠損部分にスマイルデンチャーを入れました。 スマイルデンチャーは金具が表側に見えませんので 入れ歯を入れいることは気づかれません。
- 入れ歯 症例写真 FT-0058セラミック6本とスマイルデンチャー 女性モニターの方です。

Before

After詳細はコチラ
セラミック法、スマイルデンチャーによる入れ歯治療の症例
- 施術内容
- No. FT-0058
年齢
施術 セラミック6本とスマイルデンチャー - コメント
この方は極度の歯科治療恐怖症で歯科治療に行くことができませんでした。 当院では静脈内鎮静法で眠りながら治療が可能です。 歯石除去をしたのち、前歯のブリッジを入れたり、スマイルデンチャー(部分入れ 歯)を入れて治しました。 スマイルデンチャーは金具が見えないので、入れ歯という事が気づかれにくい入れ歯 です。
- 入れ歯 症例写真 FT-0057スタンダードジルコニア7本 女性モニターの方です。

Before

After詳細はコチラ
セラミック法による入れ歯治療の症例
- 施術内容
- No. FT-0057
年齢
施術 スタンダードジルコニア7本 - コメント
この方は、上下左右の奥歯が2本づつ欠損していました。 前歯の差し歯も古く変色していて、すべての歯の色がばらばらでした。 前歯はセラミックの歯を被せて治しました。 奥歯の入れ歯はスマイルデンチャーという金具が外側からは見えない部分入れ歯ですので入れ歯を入れている事が気づかれにくいです。
- 入れ歯 症例写真 FT-0056オールセラミッククラウン6本、スタンダードジルコニア9本 男性モニターの方です。

Before

After詳細はコチラ
オールセラミッククラウン法、セラミック法による入れ歯治療の症例
- 施術内容
- No. FT-0056
年齢
施術 オールセラミッククラウン6本、スタンダードジルコニア9本 - コメント
この方は上のほとんどの歯が虫歯で抜歯しなくてはいけない状態でした。 上の歯は3本だけしか残らない状態でした。残っている歯は虫歯治療し、セラミックの歯を被せました。 欠損部分は金具の見えないスマイルデンチャーとういう部分入れ歯で治しました。 下の歯は虫歯治療や抜歯をした後、ブリッジで治しました。
- 入れ歯 症例写真 FT-0055スタンダードジルコニア6本 女性モニターの方です。

Before

After詳細はコチラ
セラミック法による入れ歯治療の症例
- 施術内容
- No. FT-0055
年齢
施術 スタンダードジルコニア6本 - コメント
この方は全体的に重度の虫歯が多く、奥歯はスマイルデンチャーという部分入れ歯で治療しました。
前歯の虫歯はセラミックで治しました。
スマイルデンチャーは金具が表に見えませんので入れ歯を入れているという事が気づかれません。
- 入れ歯 症例写真 FT-0054スタンダードジルコニア6本 男性モニターの方です。

Before

After詳細はコチラ
セラミック法による入れ歯治療の症例
- 施術内容
- No. FT-0054
年齢
施術 スタンダードジルコニア6本 - コメント
この方は前歯が虫歯で折れてしまっていました。
奥歯には欠損がありました。前歯は虫歯治療をした後、セラミックの歯を被せて治しました。
下の奥歯には金具の目立たないスマイルデンチャーという部分入れ歯を入れました。
- 入れ歯 症例写真 FT-0053スタンダードジルコニア2本 女性モニターの方です。

Before

After詳細はコチラ
セラミック法による入れ歯治療の症例
- 施術内容
- No. FT-0053
年齢
施術 スタンダードジルコニア2本 - コメント
この方は奥歯が欠損している状態でした。
重度の虫歯は抜歯し、スマイルデンチャーという部分入れ歯を入れて治療しました。
スマイルデンチャーは表から金具が見えませんので入れ歯という事が気づかれません。
- 入れ歯 症例写真 FT-0052オールセラミッククラウン12本 女性モニターの方です。

Before

After詳細はコチラ
オールセラミッククラウン法による入れ歯治療の症例
- 施術内容
- No. FT-0052
年齢
施術 オールセラミッククラウン12本 - コメント
この方はご来院時にすでに欠損している歯も多く、抜歯しなくてはいけない状態の歯も混在していました。
残せる歯はブリッジでなおし、奥歯の欠損はスマイルデンチャーで治しました。スマイルデンチャーは金具が外側から見えませんので入れ歯を入れている事が気づかれない入れ歯です。
- 入れ歯 症例写真 FT-0051スタンダードジルコニア4本 男性モニターの方です。

Before

After詳細はコチラ
セラミック法による入れ歯治療の症例
- 施術内容
- No. FT-0051
年齢
施術 スタンダードジルコニア4本 - コメント
この方は重度の虫歯、欠損が多い状態でしたので
スマイルデンチャーでの治療となりました。
スマイルデンチャーは金具が見えませんので
入れ歯を入れているという事が気づかれません。
残っている歯にしっかりと引っかけられますので
入れ歯が不意に外れてしまう事もありません。
- 入れ歯 症例写真 FT-0050スタンダードジルコニア1本 女性モニターの方です。

Before

After詳細はコチラ
セラミック法による入れ歯治療の症例
- 施術内容
- No. FT-0050
年齢
施術 スタンダードジルコニア1本 - コメント
この方は下の歯の奥歯が何本も虫歯で崩壊していました。
抜歯し、スマイルデンチャーでの治療を行いました。
スマイルデンチャーは金具が見えないので
入れ歯を入れている事は気づかれにくい入れ歯です。
- 入れ歯 症例写真 FT-0049オールセラミッククラウン6本 女性モニターの方です。

Before

After詳細はコチラ
オールセラミッククラウン法による入れ歯治療の症例
- 施術内容
- No. FT-0049
年齢
施術 オールセラミッククラウン6本 - コメント
この方は上の歯が全て歯周病でぐらついていて抜歯となりました。
下の歯もぐらついた歯を抜歯し、スマイルデンチャーという金具の見えない入れ歯を入れました。
抜歯と同時に仮の入れ歯を入れますので歯が無い期間はありません。
抜歯した部分の治癒を待って、最終的なスマイルデンチャーを作成しました。
- 入れ歯 症例写真 FT-0048オールセラミッククラウン9本 女性モニターの方です。

Before

After詳細はコチラ
オールセラミッククラウン法による入れ歯治療の症例
- 施術内容
- No. FT-0048
年齢
施術 オールセラミッククラウン9本 - コメント
この方は重度の虫歯が多く、上顎は2本、下顎は8本しか残らない状態でした。
欠損が多いですので部分入れ歯での治療となりました。
当院の部分入れ歯は金具が見えませんので入れ歯という事が築かれにくいスマイルデンチャーという入れ歯です。
- 入れ歯 症例写真 FT-0047スタンダードジルコニア5本 女性モニターの方です。

Before

After詳細はコチラ
セラミック法による入れ歯治療の症例
- 施術内容
- No. FT-0047
年齢
施術 スタンダードジルコニア5本 - コメント
この方は重度の虫歯がありました。また、すでに欠損している歯もありました。
虫歯で抜歯になる部分はブリッジで治しました。
奥歯の欠損はスマイルデンチャーは金具が見えない入れ歯で治しました。
- 入れ歯 症例写真 FT-0046スタンダードジルコニア10本 女性モニターの方です。

Before

After詳細はコチラ
セラミック法による入れ歯治療の症例
- 施術内容
- No. FT-0046
年齢
施術 スタンダードジルコニア10本 - コメント
この方は前歯に虫歯や歯周病がありました。奥歯も重度の虫歯が何本もあり、抜歯しなくてはいけない状態でした。多数歯にわたって欠損しているため、奥歯はスマイルデンチャーで治療しました。 1回目の治療時に仮歯を入れますのですぐに見た目が改善します。 奥のスマイルデンチャーは金具が見えないので、人からは気づかれにくい入れ歯です。
- 入れ歯 症例写真 FT-0045スタンダードジルコニア6本 男性モニターの方です。

Before

After詳細はコチラ
セラミック法による入れ歯治療の症例
- 施術内容
- No. FT-0045
年齢
施術 スタンダードジルコニア6本 - コメント
この方は全部の歯が重度の虫歯でほとんどの歯が抜歯となりました。
残せる歯はセラミックのブリッジで治しました。
上の歯は金具の見えない部分入れ歯(スマイルデンチャー)を入れました。
下の歯は総入れ歯です。
- 入れ歯 症例写真 FT-0044スタンダードジルコニア5本 男性モニターの方です。

Before

After詳細はコチラ
セラミック法による入れ歯治療の症例
- 施術内容
- No. FT-0044
年齢
施術 スタンダードジルコニア5本 - コメント
この方は奥歯が欠損しており、治療途中で放置したままの歯もありました。
放置している歯の虫歯治療や根の治療を行った後、セラミックの歯を被せて治しました。
欠損部分は金具の見えないスマイルデンチャーという入れ歯を入れました。
- 入れ歯 症例写真 FT-0043スタンダードジルコニア7本、スマイルデンチャー2床 女性モニターの方です。

Before

After詳細はコチラ
セラミック法、スマイルデンチャーによる入れ歯治療の症例
- 施術内容
- No. FT-0043
年齢
施術 スタンダードジルコニア7本、スマイルデンチャー2床 - コメント
この方は金属のワイヤーが目立つ部分入れ歯を使用していました。
当院は金具が見えないスマイルデンチャーという部分入れ歯をお作りしております。
スマイルデンチャーは内側にわずかに金属を使用しますが
表側には見えませんので入れ歯という事が気づかれにくい部分入れ歯です。
- 入れ歯 症例写真 FT-0042スタンダードジルコニア6本、スマイルデンチャー2床 女性モニターの方です。

Before

After詳細はコチラ
セラミック法、スマイルデンチャーによる入れ歯治療の症例
- 施術内容
- No. FT-0042
年齢
施術 スタンダードジルコニア6本、スマイルデンチャー2床 - コメント
この方は、奥歯に重度の虫歯がたくさんありました。
また、すでになくなってしまっている歯もありました。
重度の虫歯は抜歯し、スマイルデンチャーという部分入れ歯で治しました。
スマイルデンチャーは外側から金具が見えませんので、入れ歯という事は気づかれません。
- 入れ歯 症例写真 FT-0041スタンダードジルコニア5本、スマイルデンチャー1床 女性モニターの方です。

Before

After詳細はコチラ
セラミック法、スマイルデンチャーによる入れ歯治療の症例
- 施術内容
- No. FT-0041
年齢
施術 スタンダードジルコニア5本、スマイルデンチャー1床 - コメント
この方は奥歯に欠損がありました。
上の歯はブリッジで治し下の歯はスマイルデンチャーで治しました。
スマイルデンチャーは表から金具が見えませんので
入れ歯という事が気づかれません。
- 入れ歯 症例写真 FT-0040スタンダードジルコニア4本、スマイルデンチャー1床 女性モニターの方です。

Before

After詳細はコチラ
セラミック法、スマイルデンチャーによる入れ歯治療の症例
- 施術内容
- No. FT-0040
年齢
施術 スタンダードジルコニア4本、スマイルデンチャー1床 - コメント
この方は、上の歯に合わない入れ歯を入れていました。
入れ歯は虫歯の上にのせられた状態になっており、かみ合わせもかなり悪くなっていました。
下の歯も虫歯で抜歯しなくてはいけない歯がある状態でした。
当院ではまず仮の入れ歯をいれて、かみ合わせの回復を行います。
また、同時に虫歯治療も行います。
虫歯治療が終わったら、最終的な入れ歯をお作りします。
上の入れ歯は金属床義歯、下の入れ歯はスマイルデンチャーをいれました。
- 入れ歯 症例写真 FT-0039オールセラミッククラウン11本、スマイルデンチャー2床 男性モニターの方です。

Before

After詳細はコチラ
オールセラミッククラウン法、スマイルデンチャーによる入れ歯治療の症例
- 施術内容
- No. FT-0039
年齢
施術 オールセラミッククラウン11本、スマイルデンチャー2床 - コメント
この方は、かなり重度の虫歯があり、すでに欠損している部分も多数ありました。
また、歯並びも治したいとの事でしたのでセラミック法で歯並び治療もしています。
当院でお作りする部分入れ歯はスマイルデンチャーといって
金具が見えませんので、入れ歯であることが気づかれません。
- 入れ歯 症例写真 FT-0039スタンダードジルコニア13本 男性モニターの方です。

Before

After詳細はコチラ
セラミック法による入れ歯治療の症例
- 施術内容
- No. FT-0039
年齢
施術 スタンダードジルコニア13本 - コメント
この方は奥歯に重度の虫歯が多く、抜歯となりました。
抜歯や虫歯治療をした後、
最終的に部分入れ歯(スマイルデンチャー)を入れました。
スマイルデンチャーは金具が見えませんので入れ歯を入れている事を気付かれません。
- 入れ歯 症例写真 FT-0038スタンダードジルコニア3本、スマイルデンチャー2床 男性モニターの方です。

Before

After詳細はコチラ
セラミック法、スマイルデンチャーによる入れ歯治療の症例
- 施術内容
- No. FT-0038
年齢
施術 スタンダードジルコニア3本、スマイルデンチャー2床 - コメント
この方は歯周病が進行しており、前歯や奥歯を何本も抜歯しなくてはいけない状態でした。
抜歯と同時に仮入れ歯を入れますので、治療期間中は歯が抜けたままの状態ではありません。
最終的に入れる部分入れ歯はスマイルデンチャーという金具が表側には見えない入れ歯です。
- 入れ歯 症例写真 FT-0037スタンダードジルコニア1本 女性モニターの方です。

Before

After詳細はコチラ
セラミック法による入れ歯治療の症例
- 施術内容
- No. FT-0037
年齢
施術 スタンダードジルコニア1本 - コメント
この方は奥歯が虫歯や歯周病で抜歯しなくてはいけない状況でした。
残せる歯は虫歯治療をした後、白いセラミックの歯を被せて治しました。
欠損が多いので奥歯はスマイルデンチャー(部分入れ歯)を入れました。
スマイルデンチャーは金具が見えませんので
入れ歯を入れている事は気づかれません。
- 入れ歯 症例写真 FT-0036スタンダードジルコニア6本、スマイルデンチャー2床 女性モニターの方です。

Before

After詳細はコチラ
セラミック法、スマイルデンチャーによる入れ歯治療の症例
- 施術内容
- No. FT-0036
年齢
施術 スタンダードジルコニア6本、スマイルデンチャー2床 - コメント
この方は欠損と虫歯が多い状態でした。
前歯はセラミックのブリッジで治し、欠損の多い奥歯は部分入れ歯(スマイルデンチャー)で治しました。
1回目の治療時に仮歯を入れますのですぐに見た目が回復します。
また、最終的な入れ歯であるスマイルデンチャーが入るまでの期間は仮の入れ歯を入れます。
何本も治療する歯があっても同時進行で治しますので
保険診療よりも少ない回数で終わります。
- 入れ歯 症例写真 FT-0035スタンダードジルコニア3本 男性モニターの方です。

Before

After詳細はコチラ
セラミック法による入れ歯治療の症例
- 施術内容
- No. FT-0035
年齢
施術 スタンダードジルコニア3本 - コメント
この方は前歯がすでに欠損してしまっていたり、歯周病でぐらぐらになった歯がたくさんありました。
まずはぐらぐらの歯を抜歯し、その日に仮の入れ歯を入れます。
上顎前歯はブリッジを入れました。
治療期間中は仮歯や仮義歯が入っていますので、見た目は気になりません。
下の歯はほとんどの歯が部分入れ歯(スマイルデンチャー)ですが
金具が見えないので入れ歯ということは気づかれないでしょう。
- 入れ歯 症例写真 FT-0034スタンダードジルコニア10本、SD2床 女性モニターの方です。

Before

After詳細はコチラ
セラミック法、スマイルデンチャーによる入れ歯治療の症例
- 施術内容
- No. FT-0034
年齢
施術 スタンダードジルコニア10本、SD2床 - コメント
この方は前歯が折れてしまっていたり、銀歯の中が虫歯で抜歯しなくてはいけない歯がありました。
また、すでに歯が欠損している部分もありました。
虫歯を治療し、セラミックの歯をかぶせた後
上下の歯の欠損部分にスマイルデンチャーを入れました。
治療後は別人の様なお口元になりました。
- 入れ歯 症例写真 FT-0033オールセラミッククラウン4本 男性モニターの方です。

Before

After詳細はコチラ
オールセラミッククラウン法による入れ歯治療の症例
- 施術内容
- No. FT-0033
年齢
施術 オールセラミッククラウン4本 - コメント
この方は重度の虫歯が多く、部分入れ歯での治療を行いました。
当院はスマイルデンチャーという部分入れ歯を作成しております。
これは金具が見えませんので、入れ歯という事が気づかれない入れ歯です。
- 入れ歯 症例写真 FT-0032スタンダードジルコニア1本、スマイルデンチャー1床 男性モニターの方です。

Before

After詳細はコチラ
セラミック法、スマイルデンチャーによる入れ歯治療の症例
- 施術内容
- No. FT-0032
年齢
施術 スタンダードジルコニア1本、スマイルデンチャー1床 - コメント
この方は、上の歯が1本しかない状態でした。
合わない入れ歯を入れていたせいで、歯茎が盛り上がる
フラビーガムという状態になってしまっていました。
残っている歯にセラミックの歯を入れました。
そしてその歯にスマイルデンチャーという入れ歯を入れました。
スマイルデンチャーは金具が見えませんので
入れ歯を入れている事は気づかれません。
- 入れ歯 症例写真 FT-0031オールセラミッククラウン4本、スマイルデンチャー2床 女性モニターの方です。

Before

After詳細はコチラ
オールセラミッククラウン法、スマイルデンチャーによる入れ歯治療の症例
- 施術内容
- No. FT-0031
年齢
施術 オールセラミッククラウン4本、スマイルデンチャー2床 - コメント
この方は歯周病で上前歯がグラグラの状態でした。
前歯6本は抜歯となりました。
当院では前歯の抜歯と同時に仮の入れ歯をいれますので
見た目が気になる時期はありません。
歯茎が治癒したらスマイルデンチャーという金具の見えない入れ歯を入れます。
歯茎と同じような色の入れ歯で歯に引っ掛けますので
入れ歯を入れている事は人に気付かれません。
- 入れ歯 症例写真 FT-0030スタンダードジルコニア17本 男性モニターの方です。

Before

After詳細はコチラ
セラミック法による入れ歯治療の症例
- 施術内容
- No. FT-0030
年齢
施術 スタンダードジルコニア17本 - コメント
この方は全体的に重度の虫歯が多く
奥歯が連続して欠損してしまっている状況でした。
たくさん虫歯があり、さらに多数歯が欠損する場合は
部分入れ歯での治療がお勧めしております。
当院は金具が見えないスマイルデンチャーという部分入れ歯ですので
人から入れ歯だと気づかれません。
- 入れ歯 症例写真 FT-0029スタンダードジルコニア6本、スマイルデンチャー1床 男性モニターの方です。

Before

After詳細はコチラ
セラミック法、スマイルデンチャーによる入れ歯治療の症例
- 施術内容
- No. FT-0029
年齢
施術 スタンダードジルコニア6本、スマイルデンチャー1床 - コメント
この方は下の前歯が歯周病で抜けていたり、グラグラしている部分がありました。
この欠損部には金具の見えないスマイルデンチャーという部分入れ歯を入れて治しました。
かなり以前に治療した銀歯や差し歯の部分も虫歯でしたので
セラミック法で治しました。
- 入れ歯 症例写真 FT-0028スタンダードジルコニア5本、スマイルデンチャー1床 女性モニターの方です。

Before

After詳細はコチラ
セラミック法、スマイルデンチャーによる入れ歯治療の症例
- 施術内容
- No. FT-0028
年齢
施術 スタンダードジルコニア5本、スマイルデンチャー1床 - コメント
この方は奥歯が虫歯で何本か抜歯しなくてはいけない状況でした。
当院の入れ歯はスマイルデンチャーという金具の見えない部分入れ歯です。
見えない部分には金属構造はありますが
人と会話するときには金具は見えません。
- 入れ歯 症例写真 FT-0027オールセラミッククラン12本、スマイルデンチャー2床 女性モニターの方です。

Before

After詳細はコチラ
オールセラミッククラウン法、スマイルデンチャーによる入れ歯治療の症例
- 施術内容
- No. FT-0027
年齢
施術 オールセラミッククラン12本、スマイルデンチャー2床 - コメント
この方は奥歯が欠損している状態でご来院されました。
前歯なども古い差し歯の下が虫歯になっていたりして
見た目に支障が出ていました。
前歯はセラミックの歯を被せて治しました。
欠損部分はスマイルデンチャーで治しました。
スマイルデンチャーは金具が外側から見えませんので
入れ歯という事が気づかれません。
- 入れ歯 症例写真 FT-0026オールセラミッククラウン2本、スタンダードジルコニア3本、スマイルデンチャー2床 男性モニターの方です。

Before

After詳細はコチラ
オールセラミッククラウン法、セラミック法、スマイルデンチャーによる入れ歯治療の症例
- 施術内容
- No. FT-0026
年齢
施術 オールセラミッククラウン2本、スタンダードジルコニア3本、スマイルデンチャー2床 - コメント
この方は虫歯で何本も抜歯しなくてはいけない状態でした。
何本も連続して歯が無くなってしまう場合は入れ歯での治療となります。
当院では金具が見えないスマイルデンチャーという部分入れ歯で治します。
目立ちませんので、入れ歯という事は気づかれません。
- 入れ歯 症例写真 FT-0025スタンダードジルコニア5本、スマイルデンチャー1床 女性モニターの方です。

Before

After詳細はコチラ
セラミック法、スマイルデンチャーによる入れ歯治療の症例
- 施術内容
- No. FT-0025
年齢
施術 スタンダードジルコニア5本、スマイルデンチャー1床 - コメント
この方は前歯の差し歯が虫歯で痛んでしまっていて
抜歯しなくてはいけない状態でした。
下の歯にはもともと金属のある部分入れ歯が入っていました。
当院では金属が見えないスマイルデンチャーという部分入れ歯を作っています。
スマイルデンチャーは裏側に沈下防止用のストッパーがついていますが
表からは見えません。
- 入れ歯 症例写真 FT-0024スタンダードジルコニア5本、スマイルデンチャー2床 男性モニターの方です。

Before

After詳細はコチラ
セラミック法、スマイルデンチャーによる入れ歯治療の症例
- 施術内容
- No. FT-0024
年齢
施術 スタンダードジルコニア5本、スマイルデンチャー2床 - コメント
この方は虫歯でたくさんの歯が欠損してしまいました。
虫歯治療で残せる部分はセラミック法で治療し、欠損部分はスマイルデンチャーを入れました。
スマイルデンチャーは金具が見えないので入れ歯という事が気づかれにくい入れ歯です。
治療後は別人の様なお口元になりました。
- 入れ歯 症例写真 FT-0023スタンダードジルコニア2本 男性モニターの方です。

Before

After詳細はコチラ
セラミック法による入れ歯治療の症例
- 施術内容
- No. FT-0023
年齢
施術 スタンダードジルコニア2本 - コメント
この方は上の奥歯が無い状態でした。
当院では金具の見えないスマイルデンチャーという入れ歯で治療しております。
笑ったり会話する際に目立ちませんので入れ歯を入れているという事は
気づかれません。
- 入れ歯 症例写真 FT-0022オールセラミッククラウン1本、スタンダードジルコニア11本、スマイルデンチャー1床 女性モニターの方です。

Before

After詳細はコチラ
オールセラミッククラウン法、セラミック法、スマイルデンチャーによる入れ歯治療の症例
- 施術内容
- No. FT-0022
年齢
施術 オールセラミッククラウン1本、スタンダードジルコニア11本、スマイルデンチャー1床 - コメント
この方はひどい虫歯が多く、奥歯はほとんど抜歯となりました。
多数歯が欠損しますと部分入れ歯となります。
当院の部分入れ歯(スマイルデンチャー)は金具が見えませんので、見た目が気になりません。
- 入れ歯 症例写真 FT-0021スタンダードジルコニア6本・スマイルデンチャー1床 男性モニターの方です。

Before

After詳細はコチラ
セラミック法・スマイルデンチャーによる入れ歯治療の症例
- 施術内容
- No. FT-0021
年齢
施術 スタンダードジルコニア6本・スマイルデンチャー1床 - コメント
この方は奥歯が欠損していました。
当院の入れ歯は金具のないスマイルデンチャーという入れ歯です。
ご覧のように目立ちませんので入れ歯を入れているという事は人に気づかれません。
- 入れ歯 症例写真 FT-0020スタンダードジルコニア24本、スマイルデンチャー1床 男性モニターの方です。

Before

After詳細はコチラ
セラミック法、スマイルデンチャーによる入れ歯治療の症例
- 施術内容
- No. FT-0020
年齢
施術 スタンダードジルコニア24本、スマイルデンチャー1床 - コメント
この方は虫歯がひどく、下の奥歯は全部抜歯しなくてはけない状態でした。
部分入れ歯(スマイルデンチャー)での治療をしましたが
見える部分に金具を使用しませんので治療後のお口元は入れ歯とはわからない状態です。
この方の場合、入れ歯の裏側は金属にしましたので
裏は薄く生活のしやすい部分入れ歯になりました。
- 入れ歯 症例写真 FT-0019スタンダードジルコニア5本、スマイルデンチャー2床 男性モニターの方です。

Before

After詳細はコチラ
セラミック法、スマイルデンチャーによる入れ歯治療の症例
- 施術内容
- No. FT-0019
年齢
施術 スタンダードジルコニア5本、スマイルデンチャー2床 - コメント
この方は、奥歯の欠損が多く、前歯もかなり虫歯がひどい状態でした。
前歯は虫歯治療をしてからセラミックの歯を被せました。
奥歯はスマイルデンチャーという入れ歯を入れました。
スマイルデンチャーは金具が見えませんので、普通に会話したりするときに入れ歯をしている事は気づかれにくいのがメリットです。
- 入れ歯 症例写真 FT-0018スタンダードジルコニア5本、スマイルデンチャー1床 男性モニターの方です。

Before

After詳細はコチラ
セラミック法、スマイルデンチャーによる入れ歯治療の症例
- 施術内容
- No. FT-0018
年齢
施術 スタンダードジルコニア5本、スマイルデンチャー1床 - コメント
この方は奥歯が欠損していたり
虫歯が進行しすぎていて抜歯となりました。
当院では金具が表から見えないスマイルデンチャーという入れ歯で治します。
この方の場合は入れ歯を薄くして、使用感を良くするために歯の裏側は金属にしています。
スマイルデンチャーは入れ歯を薄くして、目立たたない入れ歯にする事が可能です。
- 入れ歯 症例写真 FT-0017オールセラミッククラウン法6本、スマイルデンチャー2床 女性モニターの方です。

Before

After詳細はコチラ
オールセラミッククラウン法、スマイルデンチャーによる入れ歯治療の症例
- 施術内容
- No. FT-0017
年齢
施術 オールセラミッククラウン法6本、スマイルデンチャー2床 - コメント
この方は奥歯の欠損や虫歯の治療を希望されご来院されました。
3本以上連続して歯が欠損している場合は入れ歯もしくはインプラント治療です。
この方は部分入れ歯での治療をしました。
当院では金具の見えないスマイルデンチャーという部分入れ歯で治療しています。
- 入れ歯 症例写真 FT-0016セラミック法6本、スマイルデンチャー1床 男性モニターの方です。

Before

After詳細はコチラ
セラミック法、スマイルデンチャーによる入れ歯治療の症例
- 施術内容
- No. FT-0016
年齢
施術 セラミック法6本、スマイルデンチャー1床 - コメント
この方は上の歯に重度の虫歯が多い状態でした。
前歯の虫歯はセラミック法で治療する事ができましたが
奥歯は抜歯しなくてはいけない歯が多く、スマイルデンチャーという入れ歯での治療となりました。
スマイルデンチャーは金具が目立ちませんので
見た目が気になりません。
- 入れ歯 症例写真 FT-0015オールセラミッククラウン3本、セラミック法16本、スマイルデンチャー2床 女性モニターの方です。

Before

After詳細はコチラ
オールセラミッククラウン法、セラミック法、スマイルデンチャーによる入れ歯治療の症例
- 施術内容
- No. FT-0015
年齢
施術 オールセラミッククラウン3本、セラミック法16本、スマイルデンチャー2床 - コメント
この方は虫歯が多数あり、奥歯の数本は抜歯しないといけない状態でした。
歯の欠損が連続して2本以上の場合は部分入れ歯がお勧めです。
当院では金具が表側からは見えないスマイルデンチャーをお作りしています。
- 入れ歯 症例写真 FT-0014オールセラミッククラウン6本、セラミック法4本、スマイルデンチャー1床 男性モニターの方です。

Before

After詳細はコチラ
オールセラミッククラウン法、セラミック法、スマイルデンチャーによる入れ歯治療の症例
- 施術内容
- No. FT-0014
年齢
施術 オールセラミッククラウン6本、セラミック法4本、スマイルデンチャー1床 - コメント
この方は奥歯の虫歯がひどく、抜歯になりました。
歯が無い部分が多い場合は部分入れ歯で治します。
当院のスマイルデンチャーは金具が見えませんので
入れ歯を入れている事が人からわかりません。
- 入れ歯 症例写真 FT-0013オールセラミッククラウン法6本・セラミック法4本・スマイルデンチャー1床 女性モニターの方です。

Before

After詳細はコチラ
オールセラミッククラウン法、セラミック法、スマイルデンチャーによる入れ歯治療の症例
- 施術内容
- No. FT-0013
年齢
施術 オールセラミッククラウン法6本・セラミック法4本・スマイルデンチャー1床 - コメント
この方は全体的に虫歯があり、奥歯は欠損が抜歯する歯が多く
入れ歯になりました。
当院は金具のない入れ歯ですので入れ歯を入れている事がばれにくい入れ歯です。
この入れ歯はスマイルデンチャーといいます。
前歯はセラミックの歯で虫歯治療しました。
- 入れ歯 症例写真 FT-0012セラミック法12本、スマイルデンチャー1床 女性モニターの方です。

Before

After詳細はコチラ
セラミック法、スマイルデンチャーによる入れ歯治療の症例
- 施術内容
- No. FT-0012
年齢
施術 セラミック法12本、スマイルデンチャー1床 - コメント
この方は前歯の差し歯の変色や奥歯の虫歯
歯が無くなってしまった部分がありました。
前歯や虫歯はセラミックの歯で治療し、
奥歯は金具のない入れ歯(スマイルデンチャー)で治療しました。
金具が無いので部分入れ歯を入れているという事が人から気づかれません。
- 入れ歯 症例写真 FT-0012セラミック法12本、スマイルデンチャー1床 男性モニターの方です。

Before

After詳細はコチラ
セラミック法、スマイルデンチャーによる入れ歯治療の症例
- 施術内容
- No. FT-0012
年齢
施術 セラミック法12本、スマイルデンチャー1床 - コメント
この方は下の奥歯が重度でしたので
抜歯となりました。
欠損が多くなる部分は部分入れ歯での治療となります。
当院は金具が目立たないスマイルデンチャーという入れ歯での治療をしております。
- 入れ歯 症例写真 FT-0011スマイルデンチャー 男性モニターの方です。

Before

After詳細はコチラ
スマイルデンチャー
- 施術内容
- No. FT-0011
年齢
施術 スマイルデンチャー - コメント
この方は奥歯の虫歯が進みすぎて抜歯となりました。
たくさんある虫歯治療をして、最終的には
金具の見えないスマイルデンチャーという入れ歯を入れました。
見て頂くとわかるように金具が無いので入れ歯を入れている事がわかりにくいのがスマイルデンチャーの特徴です。
奥歯のかみ合わせを回復する事ができましたので食事もスムーズにできるようになりました。
- 入れ歯 症例写真 FT-0010スマイルデンチャー 女性モニターの方です。

Before

After詳細はコチラ
スマイルデンチャー
- 施術内容
- No. FT-0010
年齢
施術 スマイルデンチャー - コメント
この方は奥歯が虫歯で抜歯となったために
部分入れ歯での治療となりました。
当院のスマイルデンチャーは金具が見えませんので入れ歯を入れている事が
誰にも気づかれません。
入れ歯でも若々しい口元でいられます。
- 入れ歯 症例写真 FT-0009スマイルデンチャー 女性モニターの方です。

Before

After詳細はコチラ
スマイルデンチャーの症例写真
- 施術内容
- No. FT-0009
年齢
施術 スマイルデンチャー - コメント
この方は上下の奥歯が何年もない状態でした。
抜歯に至った理由は虫歯という事でした。
歯が連続して何本もなくなった場合はインプラントもしくは入れ歯での治療がございます。
この方はなるべく低価格での治療をご希望されましたので入れ歯での治療を行いました。
当院では写真を見てわかるように金具のない見た目の良い入れ歯を作っています。
この入れ歯はスマイルデンチャーと言います。
かみ合わせの部分から見るとごくわずかに金属の沈下防止フックが付いています。
これがないと入れ歯が粘膜に食い込んでしまいますので、この小さな金属は必要です。
ただ、ほどんど見えませんので見た目に支障はありません。
- 入れ歯 症例写真 FT-0008スマイルデンチャー 女性モニターの方です。

Before

After詳細はコチラ
スマイルデンチャーの症例写真
- 施術内容
- No. FT-0008
年齢
施術 スマイルデンチャー - コメント
この方は笑った時に入れ歯の金具が目立つという点と前歯の隙間の治療、歯の色が気になるという事でご来院されました。
当院ではスマイルデンチャーという金具が見えない入れ歯をお作りしています。
術後のお写真を見て頂けばわかるように、歯に引っ掛ける部分が歯肉色ですので
非常に目立ちません。
隙間や歯の変色に関してはセラミック法で治しました。
- 入れ歯 症例写真 FT-0007スマイルデンチャー 女性モニターの方です。

Before

After詳細はコチラ
スマイルデンチャーの症例写真
- 施術内容
- No. FT-0007
年齢
施術 スマイルデンチャー - コメント
この方は上の歯にインプラントが入っていましたが
歯周病によりグラグラしてしまっていました。
金属の留め金の入っている入れ歯でしたので
入れ歯が目立って見た目に支障が出ています。
当院ではグラグラのインプラントを除去して
上の顎は総入れ歯、下の顎にはスマイルデンチャーを作成しました。
スマイルデンチャーは金属の留め金が見えませんので
入れ歯という事がわかりません。
- 入れ歯 症例写真 FT-0006スマイルデンチャー 男性モニターの方です。

Before

After詳細はコチラ
スマイルデンチャーの症例写真
- 施術内容
- No. FT-0006
年齢
施術 スマイルデンチャー - コメント
この方は奥歯の欠損が何本かあります。
保険診療ですと前歯の方に金具のかかる入れ歯しかできません。
当院では金具の見えないスマイルデンチャーという入れ歯での治療をしています。
この症例写真の様にスマイルデンチャーは一見どこが入れ歯なのかわからないくらいの仕上がりです。
歯茎と同じような色の留め具で入れ歯が落ちないように固定します。
- 入れ歯 症例写真 FT-0005スマイルデンチャー 男性モニターの方です。

Before

After詳細はコチラ
スマイルデンチャーの症例写真
- 施術内容
- No. FT-0005
年齢
施術 スマイルデンチャー - コメント
この方は奥歯が3本欠損していました。
3本以上連続して欠損してしまうと入れ歯での治療になります。
前歯の虫歯はセラミック法で治療しました。
セラミックの歯を歯に付けた後、スマイルデンチャーという見た目が良い入れ歯を入れました。
お写真を見て頂ければわかりますが、よく見ないとどこが入れ歯かわかりません。
通常の生活で笑ったり、会話する分には入れ歯と気づかれる事はまずないでしょう。
- 入れ歯 症例写真 FT-0004スマイルデンチャー(下顎) 男性モニターの方です。

Before

After詳細はコチラ
スマイルデンチャーの症例写真
- 施術内容
- No. FT-0004
年齢
施術 スマイルデンチャー(下顎) - コメント
下顎の奥歯が虫歯でなくなってしまった方です。
下顎奥歯以外にも虫歯で治療しなくてはいけない部分がたくさんある方でした。
個々の歯の虫歯治療が終了して、セラミックの歯をかぶせた後にスマイルデンチャーを製作しました。
わずかに見える銀色の部分は入れ歯が沈み込んで、歯肉に食い込むのを防止する装置です。
正面や横のお写真を見ると金具がありませんので、入れ歯が目立ちません。
入れ歯の金具が目立って嫌、という方にスマイルデンチャーはとてもおすすめです。
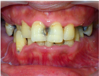
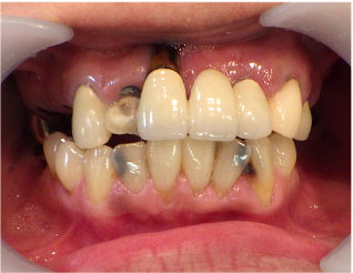
- 入れ歯 症例写真 FT-0003セラミック 15本・スマイルデンチャー 女性モニターの方です。

Before

After詳細はコチラ
セラミック法・スマイルデンチャーの症例写真
- 施術内容
- No. FT-0003
年齢
施術 セラミック 15本・スマイルデンチャー - コメント
この方は前歯の変色や奥歯の欠損を治療希望されていました。
下の歯の虫歯がひどすぎた部分は抜歯になりました。
上、下の虫歯治療中は仮歯が入っていますので、
見た目が気になることはありません。
上の歯は奥歯まで全部の歯治しています。
もともと上の歯に入れ歯が入っていましたが、ブリッジでの治療を行ったため上の入れ歯はしなくてよくなりました。
下の歯の奥歯はスマイルデンチャーという入れ歯をしています。
スマイルデンチャーは金具がありませんので見た目がきれいで人から入れ歯とは気づかれません。
- 入れ歯 症例写真 FT-0002スマイルデンチャー 女性モニターの方です。

Before

After詳細はコチラ
入れ歯治療の症例写真
- 施術内容
- No. FT-0002
年齢
施術 スマイルデンチャー - コメント
この方は上顎の奥歯が全部ない状態でした。
金具のついた入れ歯ですと、犬歯部分に金属のワイヤーが見えてしまいます。
そのため、スマイルデンチャーという金具のない入れ歯を入れる事になりました。
スマイルデンチャーは歯肉色の留め金なので、入れ歯を入れている事は人からは気づかれません。
前歯もセラミックの歯にする事でとてもきれいなお口元になりました。
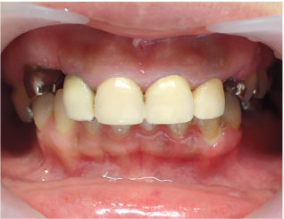
- 入れ歯 症例写真 FT-0001インプラント法・スマイルデンチャー 女性モニターの方です。

Before

After詳細はコチラ
インプラント法・スマイルデンチャーによる多数歯欠損治療の症例写真
- 施術内容
- No. FT-0001
年齢
施術 インプラント法・スマイルデンチャー - コメント
入れ歯でお悩みの方です。
この方は残っている状態の悪い歯を何本か抜歯して、上はインプラント、下はスマイルデンチャーで治療しました。上のインプラントは歯を固定するタイプのインプラントです。
完全に歯を固定しているので入れ歯の様に取り外す必要もありません。
下のスマイルデンチャーは入れ歯の留め金が無いので見た目が良く、入れ歯を入れている事を気付かれない最新の入れ歯です。




















































































































































































































































































































