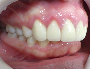
治療1回目から見た目は改善、少回数でOK!ガミースマイル ビフォーアフター症例写真を更新中!
- ガミースマイル 症例写真 G-0022オールセラミッククラウン6本 女性モニターの方です。

Before

After詳細はコチラ
オールセラミッククラウン法によるガミースマイル治療の症例
- 施術内容
- No. G-0022
年齢
施術 オールセラミッククラウン6本 - コメント
-
この方は前歯が短いため、歯茎の見える面積が広くなってしまっていました。 また、歯並びも悪いのでガミースマイルと一緒に治したいとの事でした。 この様な場合はセラミック法と歯冠長延長術を併用したガミースマイル治療がお勧めです。 歯を上方に長くする事で歯茎が見える面積が減りますのでガミースマイルが気にならなくなります。
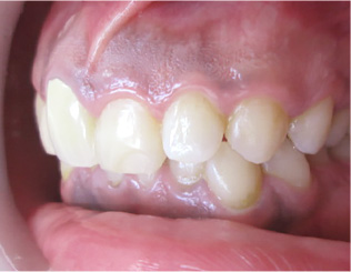
- ガミースマイル 症例写真 G-0021スタンダードジルコニア6本 女性モニターの方です。

Before

After詳細はコチラ
セラミック法によるガミースマイル治療の症例
- 施術内容
- No. G-0021
年齢
施術 スタンダードジルコニア6本 - コメント
-
この方は差し歯の変色とガミースマイルが気になるとご来院されました。 この方は歯が短いせいで、歯茎が目立ってしまっていましたので 歯冠長延長術とセラミック法の治療をお勧めしました。 1回目の治療時に仮歯を入れますのですぐに歯の色は気にならなくなります。 セラミックが入った後は、歯が白くなり歯茎も目立たなくなりました。
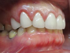
- ガミースマイル 症例写真 G-0020オールセラミッククラウン6本 女性モニターの方です。

Before

After詳細はコチラ
オールセラミッククラウン法によるガミースマイル治療の症例
- 施術内容
- No. G-0020
年齢
施術 オールセラミッククラウン6本 - コメント
-
この方は歯が短く、歯の生えている位置も下部のため、 ガミースマイルになってしまっていました。 歯の大きさ形も不ぞろいでしたので セラミック法と歯冠長延長術の併用で治療しました。 この治療ガミースマイルが確実に改善し、後戻りが一切ありません。 また、手術前にどのような歯茎の見え方になるかわかりますので 再手術が必要になることもございません。 これは当院独自の治療法です。 5回の治療でガミースマイルと歯並びを同時に治す事が出来ました。
- ガミースマイル 症例写真 G-0019スタンダードジルコニア6本 男性モニターの方です。

Before

After詳細はコチラ
セラミック法によるガミースマイル治療の症例
- 施術内容
- No. G-0019
年齢
施術 スタンダードジルコニア6本 - コメント
-
この方は前歯の歯並びとガミースマイル治療を希望しご来院されました。
歯冠長延長術とセラミック法を併用したガミースマイル治療を行いました。
笑った時に見える歯茎の面積を小さくする事で、ガミースマイルを改善します。
当院の歯冠長延長術は後戻りや治療後に歯茎が腫れるといったトラブルがありません。
歯槽骨(歯茎を支える骨)と歯肉の位置関係を考慮した当院独自の手術法を行っております。
- ガミースマイル 症例写真 G-0018オールセラミッククラウン6本 女性モニターの方です。

Before

After詳細はコチラ
オールセラミッククラウン法によるガミースマイル治療の症例
- 施術内容
- No. G-0018
年齢
施術 オールセラミッククラウン6本 - コメント
-
この方はガミースマイルが気になるとの事でご来院されました。
歯が短く、歯がねじれている部分がありましたので
セラミック法と歯冠長延長術を併用した治療をお勧め致しました。
笑った時に奥の歯茎まで見える方でしたので
前歯と小臼歯部の全部で10本の歯冠長延長術を行いました。
セラミックの歯は出来るだけ白くしたいというご希望でしたので
白めのセラミックをお作り致しました。
治療回数は5回でした。
- ガミースマイル 症例写真 G-0017オールセラミッククラウン4本、スタンダードジルコニア1本 女性モニターの方です。

Before

After詳細はコチラ
オールセラミッククラウン法、セラミック法によるガミースマイル治療の症例
- 施術内容
- No. G-0017
年齢
施術 オールセラミッククラウン4本、スタンダードジルコニア1本 - コメント
-
この方は笑うと歯茎が目立つのが気になるとの事でした。
歯茎のラインを上にあげる処置(歯冠長延長術)をおこない、黄ばんだ差し歯もセラ
ミックの白い歯にしました。
治療後は笑っても歯茎が目立たなくなり、満足して頂けました。
- ガミースマイル 症例写真 G-0016オールセラミッククラウン6本 女性モニターの方です。

Before

After詳細はコチラ
オールセラミッククラウン法によるガミースマイル治療の症例
- 施術内容
- No. G-0016
年齢
施術 オールセラミッククラウン6本 - コメント
-
この方は前歯2本が変色している点と、ガミースマイルを治したいとご来院されました。
歯冠長延長術という治療で歯茎のラインを上にあげて、笑った時に見える歯茎の面積を減らしました。
最終的にセラミックの歯を被せて、歯の色や形を整えました。
当院の歯冠長延長術は歯槽骨のラインまでしっかり変えますので
後戻りをしません。
- ガミースマイル 症例写真 G-0015オールセラミッククラウン4本 女性モニターの方です。

Before

After詳細はコチラ
オールセラミッククラウン法によるガミースマイル治療の症例
- 施術内容
- No. G-0015
年齢
施術 オールセラミッククラウン4本 - コメント
-
この方は前歯がガタガタしていて、歯が短い状態でした。
そのため、歯茎が目立っていました。
歯茎のラインを上げる治療(歯冠長延長術)とセラミック法でガミースマイル、歯並び治療を行いました。
- ガミースマイル 症例写真 G-0014スタンダードジルコニア6本 女性モニターの方です。

Before

After詳細はコチラ
セラミック法によるガミースマイル治療の症例
- 施術内容
- No. G-0014
年齢
施術 スタンダードジルコニア6本 - コメント
-
この方は歯が小さく、笑った時に歯茎がたくさん見える状態でした。
歯冠長延長術とセラミック法を併用する事で
歯を上方に大きくし、歯茎を目立たなくすることが出来ます。
- ガミースマイル 症例写真 G-0013スタンダードジルコニア10本 女性モニターの方です。

Before

After詳細はコチラ
セラミック法によるガミースマイル治療の症例
- 施術内容
- No. G-0013
年齢
施術 スタンダードジルコニア10本 - コメント
-
この方は、歯が短いためにガミースマイルになってしまっていました。
この様な場合、当院では歯冠長延長術という治療をします。
歯肉のラインを上方にあげて歯を大きくする事で
歯茎が見えにくくなります。
この方は差し歯が変色していたり、虫歯もありましたので
ガミースマイルと一緒に歯の色もきれいにすることが出来ました。
- ガミースマイル 症例写真 G-0012オールセラミッククラウン6本 女性モニターの方です。

Before

After詳細はコチラ
オールセラミッククラウン法によるガミースマイルの症例
- 施術内容
- No. G-0012
年齢
施術 オールセラミッククラウン6本 - コメント
-
この方は歯が小さくガミースマイルになっていました。
歯冠長延長術という歯肉ラインを上にあげる治療と
セラミックの歯を被せる治療を併用して
ガミースマイルを改善しました。
- ガミースマイル 症例写真 G-0011セラミック法6本・レングスニング 男性モニターの方です。

Before

After詳細はコチラ
セラミック法・レングスニングによるガミースマイル治療の症例
- 施術内容
- No. G-0011
年齢
施術 セラミック法6本・レングスニング - コメント
-
この方は前歯の歯茎のラインが不ぞろいで笑った時に
歯茎が目立つ状態でした。
この様な場合は歯冠長延長術という治療を行い、歯茎のラインを上にあげます。
そして歯並びもセラミック法できれいに揃えます。
セラミック法と歯冠長延長術の併用でガミースマイルと歯並びを同時に治す事ができます。
- ガミースマイル 症例写真 G-0010オールセラミッククラウン法6本、歯冠長延長術 女性モニターの方です。

Before

After詳細はコチラ
オールセラミッククラウン法・歯冠長延長術によるガミースマイル治療の症例
- 施術内容
- No. G-0010
年齢
施術 オールセラミッククラウン法6本、歯冠長延長術 - コメント
-
この方は、歯並びが悪いのと、歯茎や骨が盛り上がってしまっていました。
この様な場合は歯並びを治すためのセラミック法と
ガミースマイルを治すための歯冠長延長術を併用した治療が最適です。
歯を支える骨(歯槽骨)の厚みもけずって膨らみを取りました。
そうすることですっきりした歯茎になりました。
- ガミースマイル 症例写真 G-0009セラミック法+歯冠長延長術 女性モニターの方です。

Before

After詳細はコチラ
歯冠長延長術とセラミッククラウン法によるガミースマイル治療の症例写真
- 施術内容
- No. G-0009
年齢
施術 セラミック法+歯冠長延長術 - コメント
-
この方は前歯が短いために笑うと歯茎が目立っていました。
この様な方の場合はセラミック法と歯冠長延長術の併用がお勧めです。
セラミック法は歯並びも治す事ができます。
最終的には歯茎が目立たなくなりました。
- ガミースマイル 症例写真 G-0008セラミック法+歯冠長延長術 女性モニターの方です。

Before

After詳細はコチラ
歯冠長延長術とセラミッククラウン法によるガミースマイル治療の症例写真
- 施術内容
- No. G-0008
年齢
施術 セラミック法+歯冠長延長術 - コメント
-
この方は歯が短く低い位置にあるのが原因でガミースマイルになってしまっています。
ですから歯を上方向に上げる「歯冠長延長術」を行いました。
1回目の治療時に仮歯を入れて、歯茎のラインをデザインします。
デザインした歯茎ラインでご納得いただけた時点で歯冠長延長術を行います。
当院ではまずどの程度の位置まで歯肉ラインを上げるか、患者様のご希望に応じてデザインします。
ですから、患者様の満足度の高い治療となっています。
後戻りもありません。
- ガミースマイル 症例写真 G-0007歯冠長延長術、セラミッククラウン法 4本 女性モニターの方です。

Before

After詳細はコチラ
歯冠長延長術とセラミッククラウン法によるガミースマイル治療の症例写真
- 施術内容
- No. G-0007
年齢
施術 歯冠長延長術、セラミッククラウン法 4本 - コメント
-
この方は前歯2本の差し歯が長いという点と、
笑うと歯茎がたくさん見える「ガミースマイル」を改善したいとご来院されました。
前歯4本の歯冠長延長術を行って、笑った時に見える歯茎の面積を減らしました。
全く見えなくなることはありませんが、術前よりも見える量が激減しています。
- ガミースマイル 症例写真 G-0006歯冠長延長術、セラミック法 男性モニターの方です。

Before

After詳細はコチラ
歯冠長延長術とセラミック法によるガミースマイル治療の症例写真
- 施術内容
- No. G-0006
年齢
施術 歯冠長延長術、セラミック法 - コメント
-
この方は歯が短いために、笑った時に歯茎が目立つ状態でした。
そのため歯を上方に大きくして、歯茎の見える面積を減らす治療(歯冠長延長術)をしました。
歯磨きもできていない上に歯茎も腫れた状態でしたので、治療の度に歯磨き練習を行いました。
治療後はきれいな引き締まった歯茎になりました。
- ガミースマイル 症例写真 G-0005歯冠長延長術とセラミック法 女性モニターの方です。

Before

After詳細はコチラ
歯冠長延長術とセラミック法によるガミースマイル治療の症例写真
- 施術内容
- No. G-0005
年齢
施術 歯冠長延長術とセラミック法 - コメント
-
この方は前歯4本が小さく、下のほうに生えてしまっているため歯茎が目立ちます。
歯を上に長くする治療(歯冠長延長術)を行い、小さい歯を上に長くしたセラミックを被せて治しました。
セラミック法はこのように小さい歯を大きくすることもできるのです。
- ガミースマイル 症例写真 G-0004歯冠長延長術とセラミック法 女性モニターの方です。

Before

After詳細はコチラ
歯冠長延長術とセラミック法によるガミースマイル治療の症例写真
- 施術内容
- No. G-0004
年齢
施術 歯冠長延長術とセラミック法 - コメント
-
この方は歯の大きさが小さいためにガミースマイルになっていました。
奥歯も治療が必要でしたし、前歯も虫歯があったりします。
この方は歯冠長延長術とセラミック法の併用法でガミースマイルを治しました。
歯の長さは上方に約3mm上がっています。
奥歯にはスマイルデンチャーという金具のない入れ歯を入れています。
- ガミースマイル 症例写真 G-0003歯冠長延長術 男性モニターの方です。

Before

After詳細はコチラ
歯冠長延長術によるガミースマイル治療の症例写真
術前

治療1回目(仮歯)

術後
- 施術内容
- No. G-0003
年齢
施術 歯冠長延長術 - コメント
-
歯並びとガミースマイル(笑った時に歯茎が出てしまうこと)でお悩みの患者様でしたが、
歯冠長延長術によって歯茎の見える面積が狭くなっただけでなく、歯並びもキレイに改善されました。
ザ・ホワイトデンタルクリニックの歯冠長延長術なら治療1回目からガミースマイルではなくなります。
写真中央は、治療1回目で仮歯を入れた時のもので、歯茎の上に仮歯を被せています。
この仮歯を使って歯茎の見える面積や歯の形、色など、患者様のご要望を伺いながら
丁寧にデザインして行きます。治療初日にして術後のイメージをしっかり持って頂けます。
- ガミースマイル 症例写真 G-0002粘膜切除術 女性モニターの方です。

Before

After詳細はコチラ
粘膜切除術によるガミースマイル治療の症例写真
- 施術内容
- No. G-0002
年齢
施術 粘膜切除術 - コメント
-
笑う時に歯茎が出てしまう「ガミースマイル」のお悩みで来院された患者様です。
粘膜切除術という施術で自然で魅力的な口元になりました。
- ガミースマイル 症例写真 G-0001歯冠長延長術・セラミッククラウン法 女性モニターの方です。

Before

After詳細はコチラ
歯冠長延長術とセラミッククラウン法によるガミースマイル治療の症例写真
- 施術内容
- No. G-0001
年齢
施術 歯冠長延長術・セラミッククラウン法 - コメント
-
こちらもガミースマイルのお悩みで来院された患者様です。
この患者様は歯並びも気にされていたので、歯冠長延長術と歯並び治療(セラミッククラウン法)も同時に行いました。
歯並びも大きく改善され、より素敵な口元になりました。












































































