治療1回目から見た目は改善、少回数でOK!マウスピース矯正 ビフォーアフター症例写真を更新中!
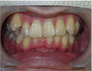
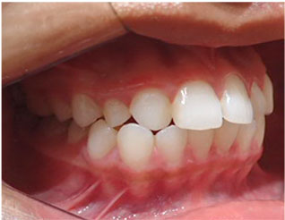
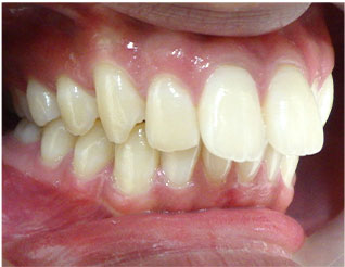
- マウスピース矯正 症例写真 MP-0023インビザラインGo 男性モニターの方です。

Before

After詳細はコチラ
インビザラインGoによるマウスピース矯正治療の症例
- 施術内容
- No. MP-0023
年齢
施術 インビザラインGo - コメント
-
この方は前歯だけのマウスピース矯正(インビザラインGo)で歯並び治療をしました。 すきっ歯と前歯2本が前に出ていた状態が改善しました。
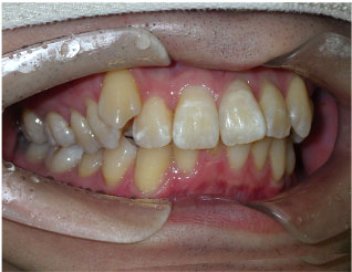
- マウスピース矯正 症例写真 MP-0022インビザラインGo 女性モニターの方です。

Before

After詳細はコチラ
インビザラインGoによるマウスピース矯正治療の症例
- 施術内容
- No. MP-0022
年齢
施術 インビザラインGo - コメント
-
この方はインビザラインGoというマウスピース矯正を行いました。 インビザラインGoは前歯の歯並びだけを治すマウスピース矯正です。
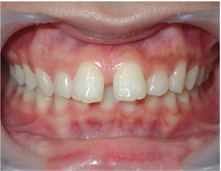
- マウスピース矯正 症例写真 MP-0021インビザライン 男性モニターの方です。

Before

After詳細はコチラ
インビザラインによるマウスピース矯正治療の症例
- 施術内容
- No. MP-0021
年齢
施術 インビザライン - コメント
-
この方はすきっ歯と出っ歯が気になるとの事でご来院されました。
インビザライン矯正というマウスピース矯正で歯並び治療を行いました。
マウスピースの枚数は29枚でした。
期間は1年3か月でした。
- マウスピース矯正 症例写真 MP-0020クリアコレクト 女性モニターの方です。

Before

After詳細はコチラ
クリアコレクトによるマウスピース矯正治療の症例
- 施術内容
- No. MP-0020
年齢
施術 クリアコレクト - コメント
-
この方は上下の歯並びが全体的に悪い状態でした。
クリアコレクト矯正というマウスピース矯正で治しました。
期間は2年でした。
- マウスピース矯正 症例写真 MP-0019クリアコレクト 男性モニターの方です。

Before

After詳細はコチラ
クリアコレクトによるマウスピース矯正治療の症例
- 施術内容
- No. MP-0019
年齢
施術 クリアコレクト - コメント
-
この方はクリアコレクトというマウスピース矯正で歯並び治療しました。 かなり外側に生えていた八重歯や引っ込んでいた下の前歯もきれいに整いました。 マウスピースは16枚、期間は8か月でした。
- マウスピース矯正 症例写真 MP-0018インビザラインGo 男性モニターの方です。

Before

After詳細はコチラ
インビザラインGoによるマウスピース矯正治療の症例
- 施術内容
- No. MP-0018
年齢
施術 インビザラインGo - コメント
-
この方は上下前歯のがたつきを治したいとご来院されました。
前歯だけの歯並び治療の出来るインビザラインGoで歯並び治療を行いました。
期間は8か月でした。
- マウスピース矯正 症例写真 MP-0017クリアコレクト 女性モニターの方です。

Before

After詳細はコチラ
クリアコレクトによるマウスピース矯正治療の症例
- 施術内容
- No. MP-0017
年齢
施術 クリアコレクト - コメント
-
この方はクリアコレクトというマウスピースで歯並び治療しました。
マウスピースの売僧は20枚でした。
期間は10か月です。
かなりがたがたしていた下の歯の前歯もきれいに整いました。
- マウスピース矯正 症例写真 MP-0016インビザラインGO 女性モニターの方です。

Before

After詳細はコチラ
インビザラインGOによるマウスピース矯正治療の症例
- 施術内容
- No. MP-0016
年齢
施術 インビザラインGO - コメント
-
この方は前歯がかなりすきっ歯の状態でした。 この様な場合は前歯だけ矯正できるインビザラインGoがお勧めです。 マウスピース矯正の枚数は16枚でした。 期間は8か月でした。
- マウスピース矯正 症例写真 MP-0015ピュアライン 男性モニターの方です。

Before

After詳細はコチラ
ピュアラインによるマウスピース矯正治療の症例
- 施術内容
- No. MP-0015
年齢
施術 ピュアライン - コメント
-
この方はピュアライン矯正で前歯の歯並び治療を行いました。
ピュアライン矯正は前歯のちょっとした歯列不正を矯正するのに適したマウスピース矯正です。
前歯が1本かなり飛び出していましたが
術後はきれいにそろった歯並びになりました。
- マウスピース矯正 症例写真 MP-0014ピュアライン 女性モニターの方です。

Before

After詳細はコチラ
ピュアラインによるマウスピース矯正治療の症例
- 施術内容
- No. MP-0014
年齢
施術 ピュアライン - コメント
-
この方は上下前歯のがたつきを直したいとの事でご来院されました。
奥歯のかみ合わせは問題ありませんので前歯だけの歯並びを整える
ピュアライン矯正という方法で歯並び治療しました。
- マウスピース矯正 症例写真 MP-0013ピュアライン 男性モニターの方です。

Before

After詳細はコチラ
ピュアラインによるマウスピース矯正治療の症例
- 施術内容
- No. MP-0013
年齢
施術 ピュアライン - コメント
-
この方は下の歯並びが少し悪い状態でした。
軽度の歯列不正でしたので、ピュアライン矯正で歯並び治療をしました。
治療期間は1年でした。
- マウスピース矯正 症例写真 MP-0012クリアコレクト 男性モニターの方です。

Before

After詳細はコチラ
クリアコレクトによるマウスピース矯正治療の症例
- 施術内容
- No. MP-0012
年齢
施術 クリアコレクト - コメント
-
この方はマウスピース矯正ですきっ歯の治療を行いました。
下の歯に隙間があり、軽度の受け口の状態でした。
治療期間は1年9か月でした。
- マウスピース矯正 症例写真 MP-0011クリアコレクト 女性モニターの方です。

Before

After詳細はコチラ
クリアコレクトによるマウスピース矯正治療の症例
- 施術内容
- No. MP-0011
年齢
施術 クリアコレクト - コメント
-
この方は上の歯のアーチがゆがんでしまっている状態でした。
クリアコレクトというマウスピース矯正で治しました。
治療期間は1年4か月でした。
- マウスピース矯正 症例写真 MP-0010クリアコレクト 女性モニターの方です。

Before

After詳細はコチラ
クリアコレクトによるマウスピース矯正治療の症例
- 施術内容
- No. MP-0010
年齢
施術 クリアコレクト - コメント
-
この方はクリアコレクトというマウスピース矯正で歯並び治療を行いました。
マウスピース矯正は目立たず歯並びが治せますし、ワイヤー矯正よりもはるかに食事がしやすく
治療している事が人には気づかれにくいのが特徴です。
治療期間は1年2か月でした。
- マウスピース矯正 症例写真 MP-0009クリアコレクト 男性モニターの方です。

Before

After詳細はコチラ
クリアコレクトによるマウスピース矯正治療の症例
- 施術内容
- No. MP-0009
年齢
施術 クリアコレクト - コメント
-
この方は前歯がすきっ歯で下の前歯の歯並びが凸凹としていました。
クリアコレクトというマウスピース矯正を行いました。
期間は8か月で終了しました。
- マウスピース矯正 症例写真 MP-0008ピュアライン 男性モニターの方です。

Before

After詳細はコチラ
ピュアラインによるマウスピース矯正治療の症例
- 施術内容
- No. MP-0008
年齢
施術 ピュアライン - コメント
-
この方は下顎前歯部の歯列不正を矯正したいとの事でした。
当院のピュアライン矯正で歯並び治療を行いました。
マウスピース矯正は目立たず歯並び治療が出来ます。
ワイヤー矯正と違って食事もしやすく、より快適に歯列矯正をすることが可能です。
- マウスピース矯正 症例写真 MP-0007クリアコレクト 女性モニターの方です。

Before

After詳細はコチラ
クリアコレクトによるマウスピース矯正治療の症例
- 施術内容
- No. MP-0007
年齢
施術 クリアコレクト - コメント
-
この方は前歯の歯並びがガタガタしている点と、嚙み合わせが深く、下の歯が見えない状態でした。
マウスピースを1か月に2個使用しました。
期間は約1年半でした。
- マウスピース矯正 症例写真 MP-0006インビザライン矯正での歯並び治療 女性モニターの方です。

Before

After詳細はコチラ
マウスピース矯正の症例写真
- 施術内容
- No. MP-0006
年齢
施術 インビザライン矯正での歯並び治療 - コメント
-
この方はインビザライン矯正で歯並び治療しました。
マウスピース矯正は月1回から2か月に1回のご来院で治療します。
期間は約2年半でした。
- マウスピース矯正 症例写真 MP-0005マウスピース矯正での歯並び治療 男性モニターの方です。

Before

After詳細はコチラ
マウスピース矯正の症例写真
- 施術内容
- No. MP-0005
年齢
施術 マウスピース矯正での歯並び治療 - コメント
-
この方はマウスピース矯正で歯並び治療をしました。
クリアコレクト矯正という種類のマウスピース矯正です。
マウスピース矯正は取り外せますので、より少ないストレスで歯列矯正が可能です。
- マウスピース矯正 症例写真 MP-0004マウスピース矯正での歯並び治療 女性モニターの方です。

Before

After詳細はコチラ
マウスピース矯正の症例写真
- 施術内容
- No. MP-0004
年齢
施術 マウスピース矯正での歯並び治療 - コメント
-
この方はインビザライン矯正で歯並び治療しました。
上前歯2本の少しのずれと
下前歯の凸凹がきれいになりました。
マウスピースは15個使用しました。
期間は5か月でした。
- マウスピース矯正 症例写真 MP-0003マウスピース矯正でのすきっ歯治療 女性モニターの方です。

Before

After詳細はコチラ
マウスピース矯正の症例写真
- 施術内容
- No. MP-0003
年齢
施術 マウスピース矯正でのすきっ歯治療 - コメント
-
この方は前歯のすきっ歯をマウスピース矯正で治療しました。
隙間がある場合のマウスピース矯正は割と短期間で終わります。
この方は6か月で完了しました。
- マウスピース矯正 症例写真 MP-0002マウスピース矯正での出っ歯治療 女性モニターの方です。

Before

After詳細はコチラ
マウスピース矯正の症例写真
- 施術内容
- No. MP-0002
年齢
施術 マウスピース矯正での出っ歯治療 - コメント
-
この方は咬み合わせが深く、前歯が斜めに傾いていました。
歯と歯の間を少し削りスペースを確保しながらマウスピース矯正を行いました。
治療期間は1年でした。
- マウスピース矯正 症例写真 MP-0001マウスピース矯正での歯並び治療 女性モニターの方です。

Before

After詳細はコチラ
マウスピース矯正の症例写真
- 施術内容
- No. MP-0001
年齢
施術 マウスピース矯正での歯並び治療 - コメント
-
この方は前歯と犬歯の歯並びが悪いので矯正を希望されました。
下の歯は歯並びが良いので上の歯だけマウスピース矯正を行いました。
治療期間は8か月でした。
























































































































