土日・祝日も診療しております!

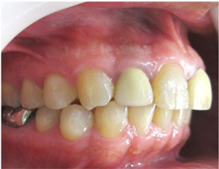
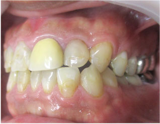
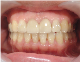
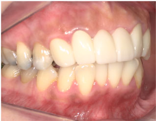
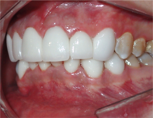
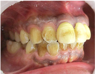
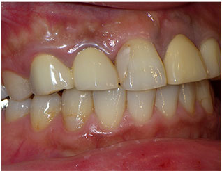
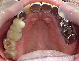
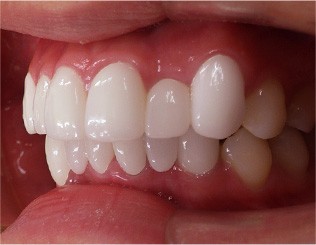
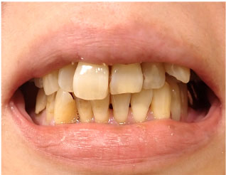
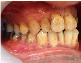
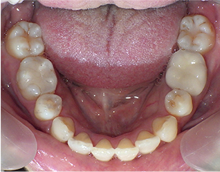
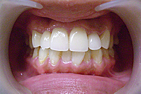
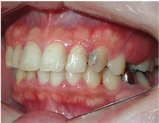
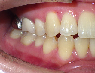
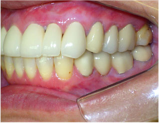
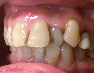
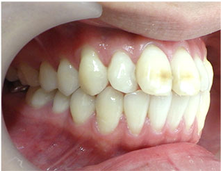
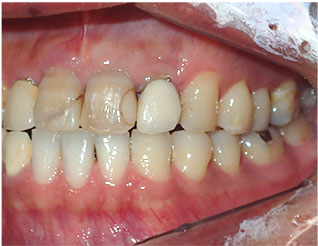
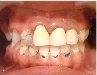
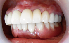
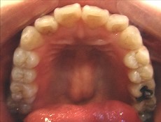
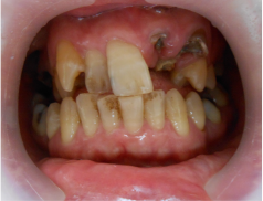
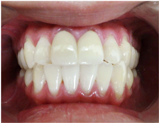
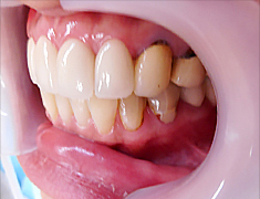
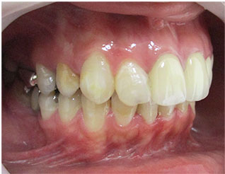
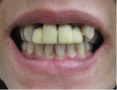
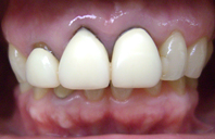
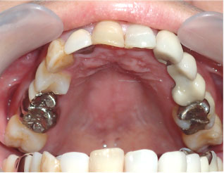
歯の色 症例写真

  • ホワイトニングの詳細はこちら
  • この施術の情報
      施術名
      歯の色・ホワイトニング
      料金
      ホームホワイトニング
      全部の歯で33,000 セラミック法は1本88,000円(税込)〜治療総額は治療本数や材質によって決まります。
      考えられるリスク
      正しい歯磨きを続けないと再び着色が生じます。定期検診にご来院頂きクリーニングして頂くことを推奨します。