土日・祝日も診療しております!

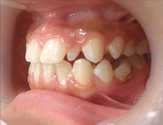
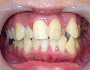
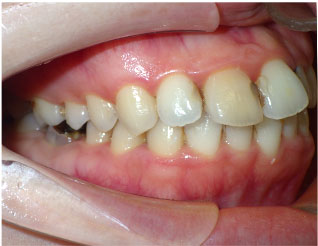
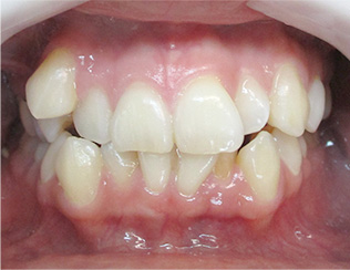
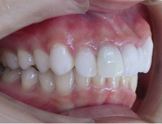
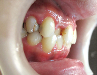
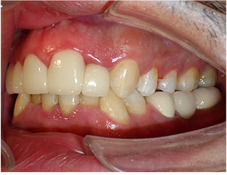
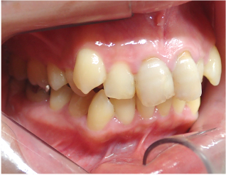
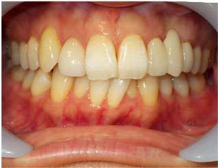
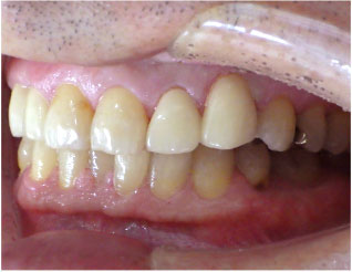
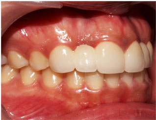
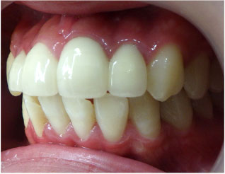
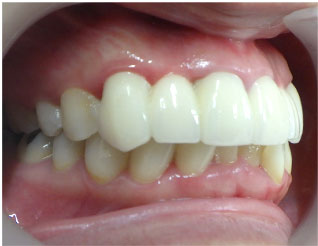
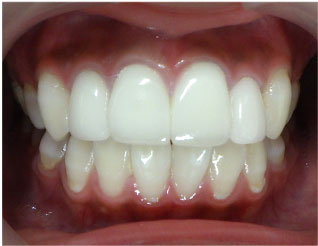
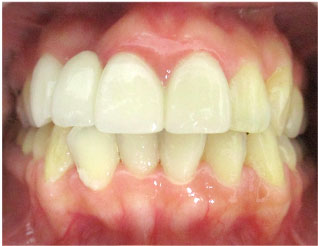
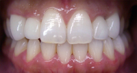
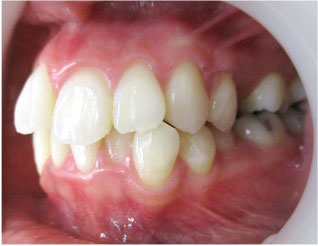
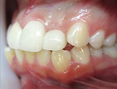
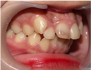
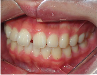
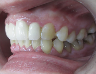
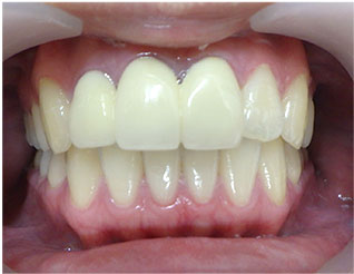
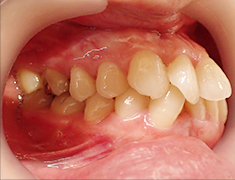
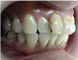
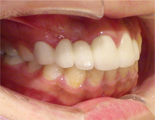
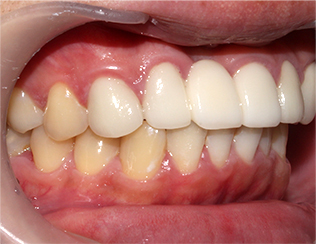
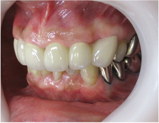
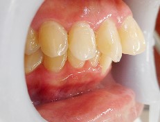
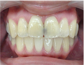
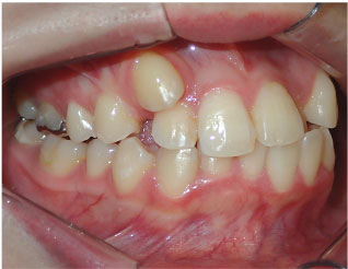
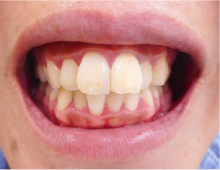
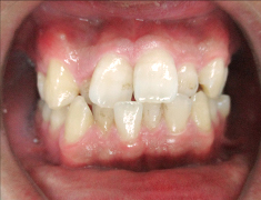
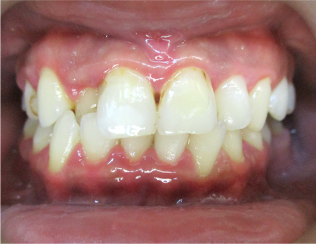
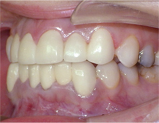
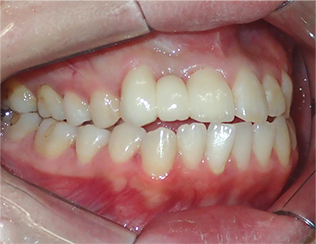
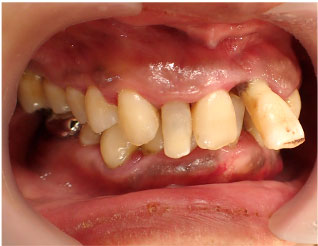
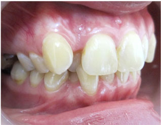
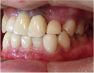
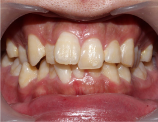
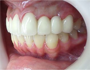
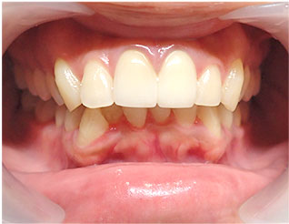
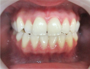
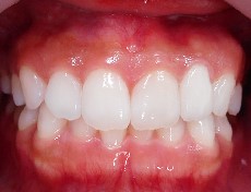
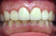
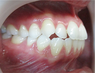
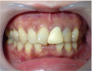
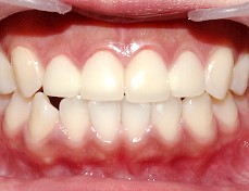
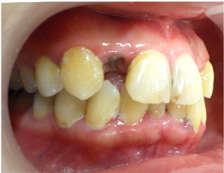
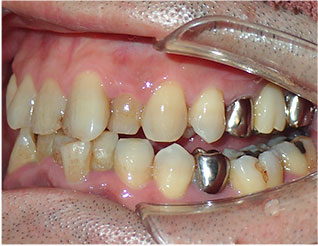
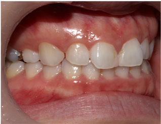
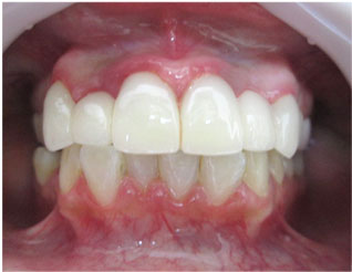
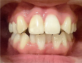
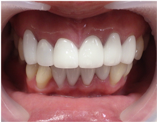
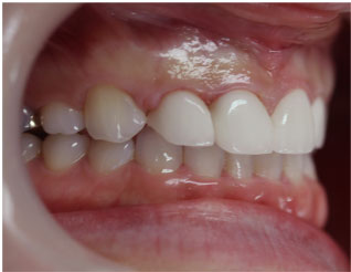
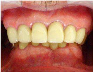
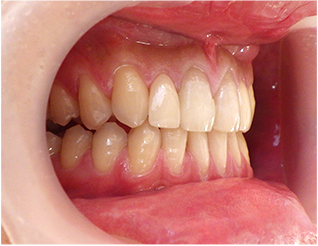
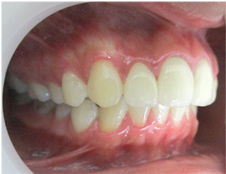
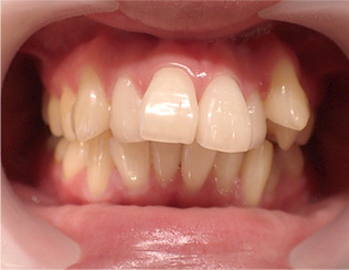
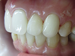
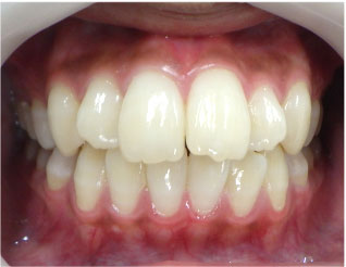
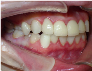
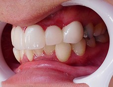
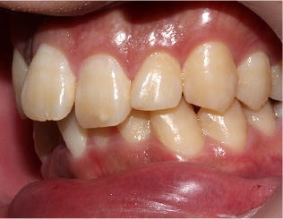
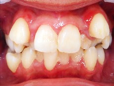
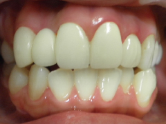
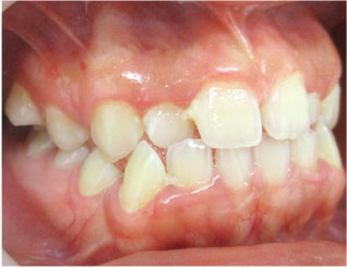
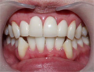
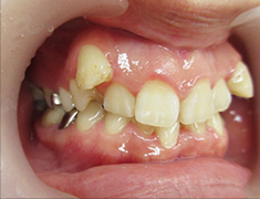
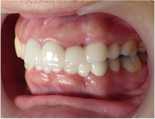
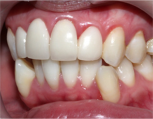
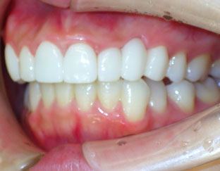
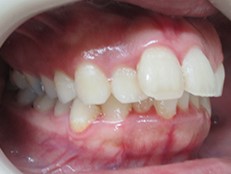
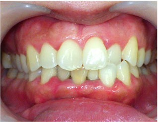
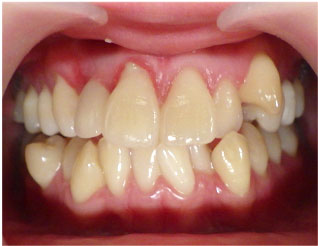
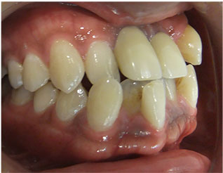
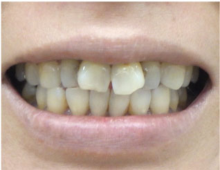
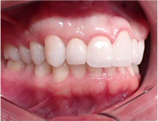
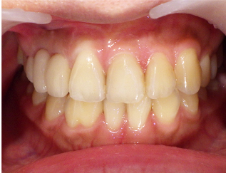
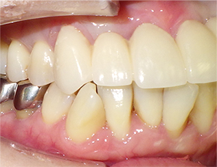
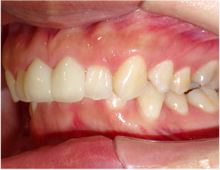
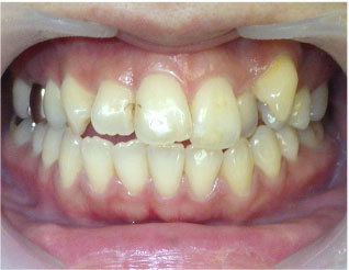
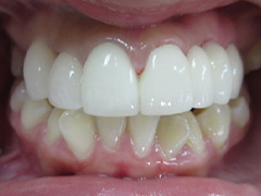
歯並び 症例写真

この施術の情報
    施術名
    歯並び治療
    料金
    1本88,000円~(税込)治療総額は治療本数や材質によって決まります。
    考えられるリスク
    歯並び治療後は正しい歯磨きを行ってください。歯磨きを怠ると虫歯や歯周病を発症してしまいます。予防のために定期検診にご来院下さい。