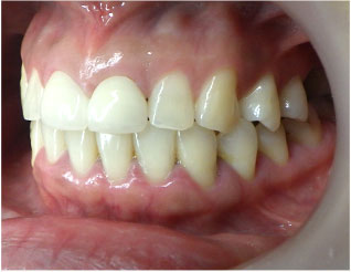
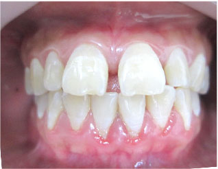
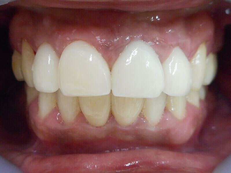
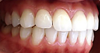
すきっ歯 症例写真
治療1回目から見た目は改善、少回数でOK!
すきっ歯 ビフォーアフター症例写真を更新中!
-
-
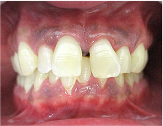
症例写真
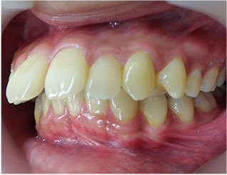
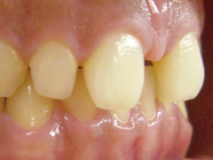
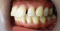
[オールセラミッククラウン2本] - この方は前歯2本が大きく、隙間が開いていました。
詳細はコチラ
-
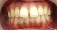
オールセラミッククラウン法によるすきっ歯治療の症例
[No.TG-0098 / オールセラミッククラウン2本 / モニター] -
この方は前歯2本が大きく、隙間が開いていました。 セラミック法は1回目の治療時に仮歯を入れますのですぐに見た目が気にならなくなります。 歯も短く小さくできます。 治療回数は3回でした。
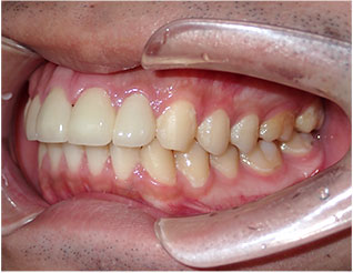
症例写真
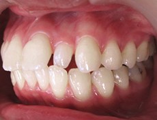
[オールセラミッククラウン6本]- この方は元々、前歯が2本欠損していたため隙間が目立っていました。
詳細はコチラ
オールセラミッククラウン法によるすきっ歯治療の症例
[No.TG-0097 / オールセラミッククラウン6本 / モニター]この方は元々、前歯が2本欠損していたため隙間が目立っていました。 下の歯の歯並びが悪い状態ですが、セラミック法は気になる部分だけの治療できれいに治す事が可能です。 治療回数は3回でした。
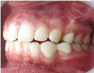
症例写真
[スタンダードジルコニア2本]- この方は前歯2本の隙間が気になるとの事でした 1回目の治療時に仮歯を入れますのですぐに隙
詳細はコチラ
セラミック法によるすきっ歯治療の症例
[No.TG-0096 / スタンダードジルコニア2本 / モニター]


この方は前歯2本の隙間が気になるとの事でした 1回目の治療時に仮歯を入れますのですぐに隙間がなくなります。 治療回数は3回でした。
症例写真
[オールセラミッククラウン4本]- この方は前歯が小さく、隙間が目立っていました。
詳細はコチラ
オールセラミッククラウン法によるすきっ歯治療の症例
[No.TG-0095 / オールセラミッククラウン4本 / モニター]この方は前歯が小さく、隙間が目立っていました。 セラミック法は1回目の治療時に仮歯をお入れしますのですぐに隙間がなくなります。 治療回数は4回でした。
症例写真
[オールセラミッククラウン4本]- この方は前歯がすきっ歯でした。
詳細はコチラ
オールセラミッククラウン法によるすきっ歯治療の症例
[No.TG-0094 / オールセラミッククラウン4本 / モニター]この方は前歯がすきっ歯でした。 白い詰め物で隙間を埋めていますが、変色もしており治療をやり直したいとの事でした。 詰め物は申したくないという事で長期間安定した状態を保てるセラミック治療を希望されました。 前歯4本のセラミック治療を行いました。
症例写真
[スタンダードジルコニア2本]- この方は前歯の隙間が目立っていました。
詳細はコチラ
セラミック法によるすきっ歯治療の症例
[No.TG-0093 / スタンダードジルコニア2本 / モニター]この方は前歯の隙間が目立っていました。
セラミック法で前歯2本だけセラミック法ですきっ歯治療しました。
1回目の治療時に仮歯を入れますのですぐに隙間がなくなります。
治療回数は3回でした。
症例写真
[オールセラミッククラウン4本]- この方は前歯の隙間とねじれを治したいとご来院されました。
詳細はコチラ
オールセラミッククラウン法によるすきっ歯治療の症例
[No.TG-0092 / オールセラミッククラウン4本 / モニター]この方は前歯の隙間とねじれを治したいとご来院されました。
1回目の治療時に仮歯を入れますのですぐに隙間がなくなり、歯並びも整います。
当院は仮歯を用いて患者様のお好みの歯の長さや出ぐあいをデザインした後セラミック製作を致します。
治療回数は4回でした。
症例写真
[オールセラミッククラウン2本]- この方は前歯2本に隙間がありました。
詳細はコチラ
オールセラミッククラウン法によるすきっ歯治療の症例
[No.TG-0091 / オールセラミッククラウン2本 / モニター]この方は前歯2本に隙間がありました。
セラミック法で前歯2本治療しました。1回目の治療時に仮歯を入れますのですぐに隙間がなくなります。
治療回数は3回でした。
症例写真
[オールセラミッククラウン5本]- この方は前歯のすきっ歯、歯並び治療を希望しご来院されました。
詳細はコチラ
オールセラミッククラウン法によるすきっ歯治療の症例
[No.TG-0090 / オールセラミッククラウン5本 / モニター]この方は前歯のすきっ歯、歯並び治療を希望しご来院されました。
1回目の治療時に仮歯を入れますのですぐに隙間がなくなり歯並び整います。
仮歯を用いて患者様の希望される歯の長さや形をデザインします。
セラミックの歯の色もご自身の歯に合わせて作ります。
症例写真
[オールセラミッククラウン6本]- この方は下の歯の前歯が2本先天的に欠損しているせいで すきっ歯の状態でした。
詳細はコチラ
オールセラミッククラウン法によるすきっ歯治療の症例
[No.TG-0089 / オールセラミッククラウン6本 / モニター]この方は下の歯の前歯が2本先天的に欠損しているせいで
すきっ歯の状態でした。前歯2本を部分矯正して歯の位置を整えた後、ブリッジで歯を補いました。
症例写真
[スタンダードジルコニア8本]- この方は先天欠損歯があるために歯の隙間が何か所かある状態でした。
詳細はコチラ
セラミック法によるすきっ歯治療の症例
[No.TG-0088 / スタンダードジルコニア8本 / モニター]この方は先天欠損歯があるために歯の隙間が何か所かある状態でした。
この様な場合はブリッジという方法で歯を補います。
1回目の治療時に仮歯を入れますのですぐに見た目が気にならなくなります。
治療回数は5回でした。
症例写真
[スタンダードジルコニア7本]- この方は前歯2本の間に隙間がありました。
詳細はコチラ
セラミック法によるすきっ歯治療の症例
[No.TG-0087 / スタンダードジルコニア7本 / モニター]この方は前歯2本の間に隙間がありました。
また、黒ずんだ虫歯もある状態でした。
セラミック法で前歯4本のすきっ歯、虫歯治療を行いました。
1回目の治療時に仮歯を入れますのですぐに隙間がなくなります。
治療回数は4回でした。
症例写真
[オールセラミッククラウン4本、スタンダードジルコニア2本]- この方は前歯が全体的にすきっ歯でした。
詳細はコチラ
オールセラミッククラウン法、セラミック法によるすきっ歯治療の症例
[No.TG-0086 / オールセラミッククラウン4本、スタンダードジルコニア2本 / モニター]この方は前歯が全体的にすきっ歯でした。
セラミック法ですきっ歯治療しました。
1回目の治療時に仮歯を入れますので
すぐにすきっ歯ではなくなります。
セラミック法は後戻りをしません。
治療回数は4回でした。
症例写真
[スタンダードジルコニア4本]- この方は上の前歯がすきっ歯の状態でした。
詳細はコチラ
セラミック法によるすきっ歯治療の症例
[No.TG-0085 / スタンダードジルコニア4本 / モニター]この方は上の前歯がすきっ歯の状態でした。
虫歯や過去の治療部分の変色がありましたが
セラミック法で全部同時に治しました。
症例写真
[オールセラミッククラウン4本]- この方は前歯4本がすきっ歯でした。
詳細はコチラ
オールセラミッククラウン法によるすきっ歯治療の症例
[No.TG-0084 / オールセラミッククラウン4本 / モニター]この方は前歯4本がすきっ歯でした。
セラミック法は1回目の治療時に仮歯を入れますのですぐに隙間がなくなります。
セラミック法での治療は後戻りしません。
治療回数は3回でした。
症例写真
[オールセラミッククラウン2本]- この方は前歯2本のすきっ歯治療をしました。
詳細はコチラ
オールセラミッククラウン法によるすきっ歯治療の症例
[No.TG-0083 / オールセラミッククラウン2本 / モニター]この方は前歯2本のすきっ歯治療をしました。
セラミック法で2本だけ治療しました。1回目の治療時に仮歯を入れますのですぐに隙
間がなくなります。
治療回数は4回でした。
症例写真
[オールセラミッククラウン4本]- この方は前歯が出ていて、隙間が目立っていました。
詳細はコチラ
オールセラミッククラウン法によるすきっ歯治療の症例
[No.TG-0082 / オールセラミッククラウン4本 / モニター]この方は前歯が出ていて、隙間が目立っていました。
セラミック法は1回目の治療時に仮歯を入れますのですぐに歯が引っ込み、隙間がな
くなります。
治療回数は5回でした。
症例写真
[スタンダードジルコニア2本]- この方はセラミック法ですきっ歯治療しました。
詳細はコチラ
セラミック法によるすきっ歯治療の症例
[No.TG-0081 / スタンダードジルコニア2本 / モニター]この方はセラミック法ですきっ歯治療しました。
1回目の治療時に仮歯を入れますのですぐに隙間がなくなります。
治療回数は3回でした。
症例写真
[スタンダードジルコニア4本]- この方は前歯2本の間に隙間がある点と、歯が小さいのが気になるとご来院されました。
詳細はコチラ
セラミック法によるすきっ歯治療の症例
[No.TG-0081 / スタンダードジルコニア4本 / モニター]この方は前歯2本の間に隙間がある点と、歯が小さいのが気になるとご来院されました。
歯の大きさに関しては歯肉切除を行い、歯の大きさのバランスを整えました。
セラミック法は1回目の治療時に仮歯を入れますのですぐに隙間がなくなります。
治療回数は5回でした。
症例写真
[オールセラミッククラウン5本]- この方は先天欠損があるためにすきっ歯になっていました。
詳細はコチラ
オールセラミッククラウン法によるすきっ歯治療の症例
[No.TG-0081 / オールセラミッククラウン5本 / モニター]この方は先天欠損があるためにすきっ歯になっていました。また、側切歯(前から数えて2番目の歯)も先天的に小さい歯でしたので、歯の大きさを整えました。
1回目の治療時に仮歯を入れますのですぐに隙間がなくなり、歯の大きさも整います。
治療回数は4回でした。
症例写真
[オールセラミッククラウン2本]- この方は前歯がすきっ歯の状態でした。
詳細はコチラ
オールセラミッククラウン法によるすきっ歯治療の症例
[No.TG-0080 / オールセラミッククラウン2本 / モニター]この方は前歯がすきっ歯の状態でした。
歯のすり減りもあり、歯並びや歯の形が不ぞろいになっていました。
セラミック法は1回目の治療時に仮歯を入れますのですぐに隙間がなくなり、形が整います。
治療回数は4回でした。
症例写真
[スタンダードジルコニア2本]- この方は前歯2本の間に隙間がありました。
詳細はコチラ
セラミック法によるすきっ歯治療の症例
[No.TG-0079 / スタンダードジルコニア2本 / モニター]この方は前歯2本の間に隙間がありました。
セラミック法は1回目の治療時には隙間がなくなります。
治療回数は3回でした。
症例写真
[オールセラミッククラウン2本]- この方は前歯2本の間に隙間がありました。
詳細はコチラ
オールセラミッククラウン法によるすきっ歯治療の症例
[No.TG-0078 / オールセラミッククラウン2本 / モニター]この方は前歯2本の間に隙間がありました。
歯も長かったので
セラミックの歯は治療前よりも小さくしました。
1回目の治療時に仮歯を入れますのですぐに隙間はなくなります。
治療回数は4回でした。
症例写真
[スタンダードジルコニア4本]- この方は前歯4本の間に大きな隙間がありました。
詳細はコチラ
セラミック法によるすきっ歯治療の症例
[No.TG-0077 / スタンダードジルコニア4本 / モニター]この方は前歯4本の間に大きな隙間がありました。
セラミック法で隙間をなくすと同時に
出ている歯を少し内側に入れ込みました。
セラミック法は1回目の治療時に隙間がなくなります。
治療回数は4回でした。
症例写真
[スタンダードジルコニア4本]- この方は前歯が出ていて、すきっ歯になっていました。
詳細はコチラ
セラミック法によるすきっ歯治療の症例
[No.TG-0076 / スタンダードジルコニア4本 / モニター]この方は前歯が出ていて、すきっ歯になっていました。
セラミック法はすきっ歯も出っ歯も同時に治療可能です。
1回目の治療時に仮歯を入れますのすぐに隙間がなくなり、
出ている部分が引っ込みます。
治療回数は5回でした。
症例写真
[オールセラミッククラウン4本]- この方は前歯4本の隙間が気になるとの事でした。
詳細はコチラ
オールセラミッククラウン法によるすきっ歯治療の症例
[No.TG-0075 / オールセラミッククラウン4本 / モニター]この方は前歯4本の隙間が気になるとの事でした。
セラミック法は1回目の治療時に仮歯を入れますのすぐに隙間がなくなります。
最終的に入れるセラミックの歯は患者様の歯の色に合わせて作成致します。
治療回数は3回でした。
症例写真
[スタンダードジルコニア4本]- この方は前歯4本がすきっ歯の状態でした。
詳細はコチラ
セラミック法によるすきっ歯治療の症例
[No.TG-0074 / スタンダードジルコニア4本 / モニター]この方は前歯4本がすきっ歯の状態でした。
また、歯が大きいのも気になるとの事でした。
セラミック法は1回目の治療時に仮歯を入れますのですぐに隙間がなくなり、
歯の大きさも小さくできます。
セラミックの歯を入れるまでの治療回数は4回でした。
症例写真
[スタンダードジルコニア2本]- この方は前歯2本がすきっ歯で外側に開いた状態でした。
詳細はコチラ
セラミック法によるすきっ歯治療の症例
[No.TG-0073 / スタンダードジルコニア2本 / モニター]この方は前歯2本がすきっ歯で外側に開いた状態でした。
セラミック法は1回目の治療時に仮歯を入れますのですぐに隙間がなくなります。
また、歯の長さが長かったのでセラミックの歯は少し短くして
他の歯とのバランスを整えました。
治療回数は5回でした。
症例写真
[オールセラミッククラウン8本]- この方は前歯2本の間に隙間がありました。
詳細はコチラ
オールセラミッククラウン法によるすきっ歯治療の症例
[No.TG-0072 / オールセラミッククラウン8本 / モニター]この方は前歯2本の間に隙間がありました。 また、下の歯の犬歯が外に向いていましたので 上の歯のすきっ歯治療と下の歯の歯並び治療を同時に行いました。 1回目の治療時に仮歯を入れますのですぐに歯並びが整い 隙間もなくなります。 治療回数は4回でした。
症例写真
[オールセラミッククラウン4本]- この方は前歯の間に隙間があり、少し歯並びが悪い状態でした。
詳細はコチラ
オールセラミッククラウン法によるすきっ歯治療の症例
[No.TG-0071 / オールセラミッククラウン4本 / モニター]この方は前歯の間に隙間があり、少し歯並びが悪い状態でした。
セラミック法は1回目の治療時に仮歯を入れますのですぐにすきっ歯ではなくなります。
治療回数は4回でした。
症例写真
[オールセラミッククラウン4本]- この方は下の歯がすきっ歯の状態でした。
詳細はコチラ
オールセラミッククラウン法によるすきっ歯治療の症例
[No.TG-0070 / オールセラミッククラウン4本 / モニター]この方は下の歯がすきっ歯の状態でした。
セラミック法は1回目の治療時に仮歯を入れますのですぐに隙間がなくなります。
治療回数は4回でした。
症例写真
[オールセラミッククラウン3本]- この方は前歯が先天欠損している部分があり、 側切歯が矮小歯という細い歯ですのですきっ歯に
詳細はコチラ
オールセラミッククラウン法によるすきっ歯治療の症例
[No.TG-0069 / オールセラミッククラウン3本 / モニター]この方は前歯が先天欠損している部分があり、
側切歯が矮小歯という細い歯ですのですきっ歯になってしまっていました。
この様な場合はセラミックの歯を被せる治療で歯の形を回復し、隙間をなくす治療がお勧めです。
1回目の治療時に仮歯を入れますのですぐに隙間がなくなります。
治療回数は4回でした。
症例写真
[オールセラミッククラウン7本]- この方は、前歯が矮小歯という細い歯の状態で、さらに 乳歯も残っていました。
詳細はコチラ
オールセラミッククラウン法によるすきっ歯治療の症例
[No.TG-0068 / オールセラミッククラウン7本 / モニター]この方は、前歯が矮小歯という細い歯の状態で、さらに
乳歯も残っていました。
裏側から犬歯が生えてきてしまっている状態でもありました。
裏側の犬歯と乳歯を抜歯してセラミックのブリッジで治しました。
1回目の治療時に仮歯を入れますのですぐにすきっ歯ではなくなります。
治療回数は4回でした。
症例写真
[オールセラミッククラウン6本]- この方は、前歯の隙間をなくしたいとの事でご来院されました。
詳細はコチラ
オールセラミッククラウン法によるすきっ歯治療の症例
[No.TG-0067 / オールセラミッククラウン6本 / モニター]この方は、前歯の隙間をなくしたいとの事でご来院されました。
少し出っ歯でもありましたので、隙間をなくして歯を内側に入れ込みました。
セラミック法は1回目の治療時に仮歯を入れますのですぐに隙間がなくなります。
治療回数は4回でした。
症例写真
[スタンダードジルコニア4本]- この方は前歯2本が外側に開いて隙間が大きい状態でした。
詳細はコチラ
セラミック法によるすきっ歯治療の症例
[No.TG-0066 / スタンダードジルコニア4本 / モニター]この方は前歯2本が外側に開いて隙間が大きい状態でした。
セラミック法で前歯4本の歯並び、すきっ歯治療を行いました。
セラミックの色はご自身の歯より白めですが、これはご本人のご希望です。
この様に患者様のお好みの白さのセラミックにすることも可能です。
治療回数は4回でした。
症例写真
[スタンダードジルコニア5本]- この方は4番目の歯が無いためにすきっ歯の状態でした。
詳細はコチラ
セラミック法によるすきっ歯治療の症例
[No.TG-0065 / スタンダードジルコニア5本 / モニター]この方は4番目の歯が無いためにすきっ歯の状態でした。
セラミック法は1回目の治療時に仮歯をいれますので
すぐに隙間がなくなります。
3回の治療で終了しました。
症例写真
[オールセラミッククラウン6本、スタンダードジルコニア1本]- この方は前歯に大きな隙間がありました。
詳細はコチラ
オールセラミッククラウン法、セラミック法による歯並び治療の症例
[No.TG-0064 / オールセラミッククラウン6本、スタンダードジルコニア1本 / モニター]この方は前歯に大きな隙間がありました。
セラミック法は1回目の治療時に仮歯をいれますのですぐに隙間がなくなります。
セラミックの歯が入り、治療が完了するまでの回数は4回でした。
症例写真
[スタンダードジルコニア6本]- この方は前歯の隙間が気になってご来院されました。
詳細はコチラ
セラミック法によるすきっ歯治療の症例
[No.TG-0063 / スタンダードジルコニア6本 / モニター]この方は前歯の隙間が気になってご来院されました。
左右2番目の前歯(側切歯)が先天欠損している状態でしたので
それを補うようなセラミックのブリッジを入れて、すきっ歯治療しました。
症例写真
[スタンダードジルコニア4本]- この方は加齢とともに歯茎が下がってきてしまったとの事でした。
詳細はコチラ
セラミック法によるすきっ歯治療の症例
[No.TG-0062 / スタンダードジルコニア4本 / モニター]この方は加齢とともに歯茎が下がってきてしまったとの事でした。 また、前歯がだんだん動いて、隙間が出来て出っ歯になってきたそうです。 当院ではセラミック法で治しますので 隙間も出っ歯も、歯茎の隙間もすべて同時に治す事が可能です。 治療後は若々しいお口元になりました。
症例写真
[オールセラミッククラウン10本]- この方は上下前歯がすきっ歯の状態でした。
詳細はコチラ
オールセラミッククラウン法によるすきっ歯治療の症例
[No.TG-0061 / オールセラミッククラウン10本 / モニター]この方は上下前歯がすきっ歯の状態でした。
セラミック法は1回目の治療時に仮歯をいれますのですぐに隙間がなくなります。
歯の色や形は患者様のお好みの色、形でお作り致します。
症例写真
[スタンダードジルコニア4本]- この方は前歯2本の間に隙間がありました。
詳細はコチラ
セラミック法によるすきっ歯治療の症例
[No.TG-0060 / スタンダードジルコニア4本 / モニター]この方は前歯2本の間に隙間がありました。
また、出っ歯の状態でもありましたので
すきっ歯治療と出っ歯治療を同時に行いました。
セラミック法はこの様にすきっ歯も出っ歯も治療可能です。
症例写真
[スタンダードジルコニア5本]- この方は元々隙間があったそうですが 年齢とともに前歯の隙間が徐々に開いてきてしまった
詳細はコチラ
セラミック法によるすきっ歯治療の症例
[No.TG-0059 / スタンダードジルコニア5本 / モニター]この方は元々隙間があったそうですが 年齢とともに前歯の隙間が徐々に開いてきてしまったそうです。 この様な場合はセラミックの歯を連結して装着する事で 再度隙間があいてしまう事がなくなります。 セラミックの歯は変色や着色しませんのできれいな状態が保てます。
症例写真
[スタンダードジルコニア4本]- この方は前歯4本がすきっ歯の状態でした。
詳細はコチラ
セラミック法によるすきっ歯治療の症例
[No.TG-0058 / スタンダードジルコニア4本 / モニター]この方は前歯4本がすきっ歯の状態でした。
セラミック法は1回目の治療時に仮歯をいれますのですぐに隙間がなくなります。
歯の形も細かったので、通常の大きさにしたセラミックの形をデザインしました。
セラミック法はまた隙間があいたり、後戻りがありません。
症例写真
[オールセラミッククラウン2本]- この方は前歯2本が少しねじれて隙間があいている状態でした。
詳細はコチラ
オールセラミッククラウン法によるすきっ歯治療の症例
[No.TG-0057 / オールセラミッククラウン2本 / モニター]この方は前歯2本が少しねじれて隙間があいている状態でした。
セラミック法は1回目の治療時に仮歯を入れますのですぐに隙間がなくなります。
治療回数は4回でした。
症例写真
[オールセラミッククラウン4本]- この方は2番目の歯が細く小さいために前歯が全体的にすきっ歯の状態でした。
詳細はコチラ
オールセラミッククラウン法によるすきっ歯治療の症例
[No.TG-0056 / オールセラミッククラウン4本 / モニター]この方は2番目の歯が細く小さいために前歯が全体的にすきっ歯の状態でした。
セラミック法は歯の大きさも揃える事が可能です。
1回目の治療時に仮歯を入れますのですぐに隙間がなくなります。
治療回数は3回でした。
症例写真
[オールセラミッククラウン4本]- この方は前歯4本がすきっ歯でした。
詳細はコチラ
オールセラミッククラウン法によるすきっ歯治療の症例
[No.TG-0055 / オールセラミッククラウン4本 / モニター]この方は前歯4本がすきっ歯でした。
セラミック法は気になる歯だけの治療です。
治療は4回で終了しました。
症例写真
[スタンダードジルコニア5本]- この方はかなり隙間が大きい状態でした。
詳細はコチラ
セラミック法による すきっ歯治療の症例
[No.TG-0054 / スタンダードジルコニア5本 / モニター]この方はかなり隙間が大きい状態でした。
セラミック法はこの様な隙間でも1回目の治療時に隙間を一切なくすことが可能です。
症例写真
[スタンダードジルコニア2本]- この方は前歯2本がすきっ歯の状態でした。
詳細はコチラ
セラミック法によるすきっ歯治療の症例
[No.TG-0053 / スタンダードジルコニア2本 / モニター]この方は前歯2本がすきっ歯の状態でした。
1回目の治療時に仮歯を入れますのですぐに隙間がなくなります。
治療回数は3回でした。
症例写真
[オールセラミッククラウン4本]- この方は前歯4本に隙間がありました。
詳細はコチラ
オールセラミッククラウン法によるすきっ歯治療の症例
[No.TG-0052 / オールセラミッククラウン4本 / モニター]この方は前歯4本に隙間がありました。
セラミック法ですきっ歯治療しました。
1回目の治療時には隙間がなくなります。
症例写真
[下顎骨切り、中抜き、頬骨削り、オールセラミッククラウン6本]- この方は受け口ですきっ歯でした。
詳細はコチラ
下顎骨切り、中抜き、頬骨削り、オールセラミッククラウン法によるすきっ歯治療の症例
[No.TG-0051 / 下顎骨切り、中抜き、頬骨削り、オールセラミッククラウン6本 / モニター]この方は受け口ですきっ歯でした。
受け口は下顎骨切り手術で治し、すきっ歯をセラミック法で治しました。
術後は別人の様な口元になりました。
症例写真
[スタンダードジルコニア10本]- この方は前歯の歯並びが悪く、隙間も目立ってしまっていました。
詳細はコチラ
セラミック法による歯治療の症例
[No.TG-0050 / スタンダードジルコニア10本 / モニター]この方は前歯の歯並びが悪く、隙間も目立ってしまっていました。
歯周病もあってぐらついている前歯もありました。
ぐらつきが大きい歯は抜歯してブリッジという方法で治しました。
1回目の治療時に仮歯を入れますのですぐに見た目が整います。
症例写真
[オールセラミッククラウン4本]- この方は前歯が小さく、すきっ歯になってしまっていました。
詳細はコチラ
オールセラミッククラウン法によるすきっ歯治療の症例
[No.TG-0049 / オールセラミッククラウン4本 / モニター]この方は前歯が小さく、すきっ歯になってしまっていました。
この様な場合は歯の表面をほんの僅か削ってセラミックの歯を被せる事で
歯を大きくします。
その際に隙間がなくなります。
1回目の治療時に仮歯を入れますのですぐに隙間がなくなります。
症例写真
[オールセラミッククラウン6本]- この方は前歯隙間と歯の大きさを治したいとの事でした。
詳細はコチラ
オールセラミッククラウン法によるすきっ歯治療の症例
[No.TG-0048 / オールセラミッククラウン6本 / モニター]この方は前歯隙間と歯の大きさを治したいとの事でした。
元々歯が短く、歯茎が目立っていました。
歯冠長延長術という歯茎を切る手術をする事で
歯を上方に長くします。
歯も長くなり、歯茎が見える面積が減りますので歯茎を目立たなくできます。
セラミック法はこの様に、すきっ歯だけでなく歯の長さも治療できます。
症例写真
[スタンダードジルコニア4本]- この方は元々すきっ歯であったことに加えて 歯周病でさらに隙間が広がってしまったとの事です
詳細はコチラ
セラミック法によるすきっ歯治療の症例
[No.TG-0047 / スタンダードジルコニア4本 / モニター]この方は元々すきっ歯であったことに加えて
歯周病でさらに隙間が広がってしまったとの事です。
当院のセラミック法は1回目の治療時に仮歯をいれますので
すぐに隙間がなくなります。
また、セラミックを連結する事で
隙間が再度開いてくることもありません。
症例写真
[スタンダードジルコニア6本]- この方は前歯4本の間に隙間がある状態でした。
詳細はコチラ
セラミック法によるすきっ歯治療の症例
[No.TG-0046 / スタンダードジルコニア6本 / モニター]この方は前歯4本の間に隙間がある状態でした。
下の歯にも隙間はありますが、気になる上の歯だけの治療を希望されました。
セラミック法でしたら、歯の隙間は1回目の治療時にはなくなります。
治療回数は3回でした。
症例写真
[スタンダードジルコニア6本]- この方は前歯が全体的にすきっ歯の状態でした。
詳細はコチラ
セラミック法によるすきっ歯治療の症例
[No.TG-0045 / スタンダードジルコニア6本 / モニター]この方は前歯が全体的にすきっ歯の状態でした。
セラミック法は1回目の治療時に隙間がなくなります。
また、治療後に後戻りをする事もありません。
症例写真
[スタンダードジルコニア4本]- この方は前歯の間に隙間がありました。
詳細はコチラ
セラミック法によるすきっ歯治療の症例
[No.TG-0044 / スタンダードジルコニア4本 / モニター]この方は前歯の間に隙間がありました。
セラミック法は1回目の治療時に仮歯を入れますのですぐにすきっ歯ではなくなります。
また、セラミック法は後戻りがありませんので
再度隙間があいてくることはありません。
症例写真
[オールセラミッククラウン6本]- この方は前歯全体的に隙間が目立ってしまっていました。
詳細はコチラ
オールセラミッククラウン法によるすきっ歯治療の症例
[No.TG-0043 / オールセラミッククラウン6本 / モニター]この方は前歯全体的に隙間が目立ってしまっていました。
セラミック法でしたら1回目の治療で一切隙間がなくなります。
治療後は別人の様な口元になりました。
3回で治療終了しました。
症例写真
[オールセラミッククラウン6本]- この方は前歯2本の間の隙間や歯が長いのを短くしたいという事でご来院されました。
詳細はコチラ
オールセラミッククラウン法によるすきっ歯治療の症例
[No.TG-0042 / オールセラミッククラウン6本 / モニター]この方は前歯2本の間の隙間や歯が長いのを短くしたいという事でご来院されました。
下の歯も虫歯で1本無い状態でした。
セラミック法は上前歯の隙間をなくし、短くすると同時に
下の歯のブリッジ治療も並行して行えます。
治療回数は5回で完了しました。
症例写真
[スタンダードジルコニア2本]- この方は前歯2本の間に隙間があり、目立っていました。
詳細はコチラ
セラミック法によるすきっ歯治療の症例
[No.TG-0041 / スタンダードジルコニア2本 / モニター]この方は前歯2本の間に隙間があり、目立っていました。
セラミック法は1回目の治療時に仮歯をいれますのですぐに隙間がなくなります。
4回の治療で終了しました。
症例写真
[スタンダードジルコニア6本、レングスニング]- この方は2番目の前歯とその横の歯の間に隙間がある点と、 前歯が大きく目立つのを治したいと
詳細はコチラ
セラミック法・レングスニングによるすきっ歯治療の症例
[No.TG-0040 / スタンダードジルコニア6本、レングスニング / モニター]この方は2番目の前歯とその横の歯の間に隙間がある点と、
前歯が大きく目立つのを治したいという事でした。
セラミック法は歯の長さを短くすることが出来ます。
1回目の治療時に仮歯を入れますのですぐに隙間がなくなります。
また、歯の大きさも小さくすることが出来ます。
症例写真
[スタンダードジルコニア6本]- この方は前歯の隙間と差し歯の変色が気になるとの事でご来院されました。
詳細はコチラ
セラミック法によるすきっ歯治療の症例
[No.TG-0039 / スタンダードジルコニア6本 / モニター]この方は前歯の隙間と差し歯の変色が気になるとの事でご来院されました。
1回目の治療時に仮歯を入れますのですぐに隙間がなくなります。
また、差し歯も外して仮歯にします。
出っ歯気味でしたので、セラミックは治療前よりも引っ込めました。
症例写真
[オールセラミッククラウン2本]- この方は前歯2本に隙間があり、歯並びも少し悪い状態でした。
詳細はコチラ
オールセラミッククラウン法によるすきっ歯治療の症例
[No.TG-0038 / オールセラミッククラウン2本 / モニター]この方は前歯2本に隙間があり、歯並びも少し悪い状態でした。
前歯2本だけ治す事できれいなお口元になりました。
症例写真
[セラミック法2本・ラミネートベニア法2本]- この方は2番目の前歯が矮小歯という先天的に歯が細い状態でした。
詳細はコチラ
セラミック法・ラミネートベニア法によるすきっ歯治療の症例
[No.TG-0037 / セラミック法2本・ラミネートベニア法2本 / モニター]この方は2番目の前歯が矮小歯という先天的に歯が細い状態でした。
セラミック法でしたら小さい歯を正常な大きさにできます。
すきっ歯も歯の形も同時に治す事が可能です。
症例写真
[セラミック法4本]- この方は歯の隙間を早急に治したいとの事でした。
詳細はコチラ
セラミック法によるすきっ歯治療の症例
[No.TG-0036 / セラミック法4本 / モニター]この方は歯の隙間を早急に治したいとの事でした。
1回目の治療時に仮歯を入れますのですぐに隙間がなくなります。
セラミック法での治療と並行して歯の色もホワイトニングで白くしました。
治療回数は4回でした。
症例写真
[セラミック法4本]- この方は前歯に隙間があり、出っ歯になっていましたが セラミック法で隙間を閉じて、歯をひっ
詳細はコチラ
セラミック法によるすきっ歯治療の症例
[No.TG-0035 / セラミック法4本 / モニター]この方は前歯に隙間があり、出っ歯になっていましたが
セラミック法で隙間を閉じて、歯をひっこめることが出来ました。
セラミック法は1回目の治療時に仮歯を入れますのですぐに隙間がなくなります。
症例写真
[セラミック法5本]- 下の歯の隙間が気になるとの事でご来院されました。
詳細はコチラ
セラミック法によるすきっ歯治療の症例
[No.TG-0034 / セラミック法5本 / モニター]下の歯の隙間が気になるとの事でご来院されました。
下の前歯2本がねじれて隙間が空いています。
セラミック法は1回目の治療時に仮歯を入れますのですぐに隙間がなくなります。
症例写真
[セラミック法6本]- この方は前歯6本に隙間が空いた状態でした。
詳細はコチラ
セラミック法によるすきっ歯治療の症例
[No.TG-0033 / セラミック法6本 / モニター]この方は前歯6本に隙間が空いた状態でした。
元々歯の大きさが小さいためにすきっ歯になっていました。
セラミック法はまず1回目の治療時に仮歯をいれますので
その日に隙間が一切なくなります。
3回目の治療時にセラミックを被せて治療終了です。
症例写真
[セラミック法4本]- この方は上顎前歯の隙間が目立つ状態でした。
詳細はコチラ
セラミック法によるすきっ歯治療の症例
[No.TG-0032 / セラミック法4本 / モニター]この方は上顎前歯の隙間が目立つ状態でした。
セラミック法は1回目の治療時に仮歯を入れますので
すぐに隙間がなくなります。
すきっ歯以外の歯はホワイトニングをして白くしました。
白くなった歯に合わせてセラミックの歯をお作り致しました。
症例写真
[オールセラミッククラウン2本]- この方は前歯2本の間の隙間を治したいとご来院されました。
詳細はコチラ
オールセラミッククラウン法によるすきっ歯治療の症例
[No.TG-0031 / オールセラミッククラウン2本 / モニター]この方は前歯2本の間の隙間を治したいとご来院されました。
ご自身の歯はホワイトニングで白くしてから
その色に合わせたセラミックの歯を入れる事で
明るいお口元になりました。
症例写真
[オールセラミッククラウン4本]- この方は歯茎が下がって差し歯の境目が見えてしまっていました。
詳細はコチラ
オールセラミッククラウン法によるすきっ歯治療の症例
[No.TG-0030 / オールセラミッククラウン4本 / モニター]この方は歯茎が下がって差し歯の境目が見えてしまっていました。
セラミック法は歯と歯茎の隙間と歯と歯の隙間を同時に改善する事が可能です。
症例写真
[オールセラミッククラウン4本]- この方は前歯が2本生えてこなかったせいですきっ歯になってしまっていました。
詳細はコチラ
オールセラミッククラウン法によるすきっ歯治療の症例
[No.TG-0029 / オールセラミッククラウン4本 / モニター]この方は前歯が2本生えてこなかったせいですきっ歯になってしまっていました。
1回目の治療時に仮歯を入れますのでその時点で隙間はなくなります。
もちろん同時に虫歯も除去します。
セラミック法なら少ない回数で虫歯もすきっ歯も治せます。
症例写真
[セラミック法2本]- この方は前歯の横の歯が左右ともすきっ歯の状態でした。
詳細はコチラ
セラミック法によるすきっ歯治療の症例
[No.TG-0028 / セラミック法2本 / モニター]この方は前歯の横の歯が左右ともすきっ歯の状態でした。
歯の形が細いために隙間ができてしまっていました。
この様な場合は細い歯にセラミックの歯をかぶせて歯の形を整えます。
治療後はとても自然なお口元になりました。
症例写真
[オールセラミッククラウン12本、歯冠長延長術]- この方は前歯の隙間が気になるとの事でした。
詳細はコチラ
オールセラミッククラウン法、歯冠長延長術によるすきっ歯治療の症例
[No.TG-0027 / オールセラミッククラウン12本、歯冠長延長術 / モニター]この方は前歯の隙間が気になるとの事でした。
1回目の治療時に仮歯をいれますのですぐに隙間がなくなります。
歯の色も黄ばんできましたのでお好みの白さのセラミックをお作り致しました。
症例写真
[セラミック法5本]- この方は前歯が出ていてすきっ歯でした。
詳細はコチラ
スタンダードジルコニアクラウン法によるすきっ歯治療の症例
[No.TG-0026 / セラミック法5本 / モニター]この方は前歯が出ていてすきっ歯でした。
セラミック法は1回目で隙間をなくし、歯並びを整えた仮歯を装着しますのですぐに見た目が気にならなくなります。
セラミックの歯を被せて治療終了まで5回でした。
症例写真
[オールセラミッククラウン4本]- この方は前歯の隙間や入れ歯の見た目を治したいという事でご来院されました。
詳細はコチラ
オールセラミッククラウン法によるすきっ歯治療の症例
[No.TG-0025 / オールセラミッククラウン4本 / モニター]この方は前歯の隙間や入れ歯の見た目を治したいという事でご来院されました。
右側の前歯は神経が死んでいて黒ずんでしまっていました。
1回目の治療時に仮歯を入れますのですぐに隙間がなくなり、歯の色もそろいます。
前歯4本セラミックを入れる事で清潔なお口元になりました。
奥の入れ歯もスマイルデンチャーという金具のない入れ歯を入れましたので
入れ歯という事がばれません。
症例写真
[オールセラミッククラウン4本]- この方は前歯の隙間、虫歯治療痕の変色や歯の大きさの不ぞろいなど様々なお悩みがありました。
詳細はコチラ
オールセラミッククラウン法によるすきっ歯治療の症例
[No.TG-0024 / オールセラミッククラウン4本 / モニター]この方は前歯の隙間、虫歯治療痕の変色や歯の大きさの不ぞろいなど様々なお悩みがありました。
前歯の隣の歯が先天的に小さいために中心部分に隙間が空いてしまっています。
当院ではセラミックの歯をかぶせることで隙間をなくしたり、歯の大きさの不ぞろいを治します。
セラミックの色もご自身のお好みの白さにできます。
治療回数は5回でした。
症例写真
[セラミック法12本]- この方は上下の前歯が全体的にすきっ歯になってしまっていました。
詳細はコチラ
セラミック法によるすきっ歯治療の症例
[No.TG-0023 / セラミック法12本 / モニター]この方は上下の前歯が全体的にすきっ歯になってしまっていました。
歯の大きさも小さい部分があってアンバランスでした。
セラミック法は歯の大きさをそろえて隙間をなくします。
1回目の治療時には一切隙間がなくなります。
治療後の口元は歯が白く、隙間もなくなりきれいになりました。
症例写真
[オールセラミッククラウン 6本]- この方は2番目の歯が元々生えてこない(先天欠損)の方です。
詳細はコチラ
オールセラミッククラウンによるすきっ歯治療の症例写真
[No.TG-0022 / オールセラミッククラウン 6本 / モニター]この方は2番目の歯が元々生えてこない(先天欠損)の方です。
そのため前歯全体に隙間が目立ちます。
急に人前に出なくてはいけなくなり、急ぎで隙間を治したいとの事でした。
当院では1回目の治療時に仮歯を入れますのですぐに隙間が一切なくなります。
オールセラミッククラウンは透明感が高いですので
ご自身の歯と同じ様な質感で治す事が出来ます。
症例写真
[オールセラミッククラウン4本]- この方は前歯4本の隙間と差し歯の変色の治療を希望されました。
詳細はコチラ
オールセラミッククラウンによるすきっ歯治療の症例写真
[No.TG-0021 / オールセラミッククラウン4本 / モニター]この方は前歯4本の隙間と差し歯の変色の治療を希望されました。
当院では1回目の治療時に仮歯を入れますのですぐに隙間がなくなります。
この方は歯並び自体はきれいですので、治療回数は3回で終了しました。
症例写真
[オールセラミッククラウン6本]- この方は生まれつき歯の本数が少ないためにすきっ歯になってしまっています。
詳細はコチラ
オールセラミッククラウン法によるすきっ歯治療の症例
[No.TG-0020 / オールセラミッククラウン6本 / モニター]この方は生まれつき歯の本数が少ないためにすきっ歯になってしまっています。
また、まだ乳歯が残っている状態でした。
残っている乳歯は根が半分溶けていたために抜歯しました。
1回目の治療時に仮歯を入れますので隙間はすぐになくせます。
治療終了までは5回でした。
症例写真
[スタンダードジルコニア 4本]- この方は前歯のすきっ歯と歯の大きさを治したいという事でご来院されました。
詳細はコチラ
によるすきっ歯治療の症例
[No.TG-0019 / スタンダードジルコニア 4本 / モニター]この方は前歯のすきっ歯と歯の大きさを治したいという事でご来院されました。
前歯2本とその隣の歯の大きさがアンバランスですので
大きさをバランスよくするために、前歯4本の治療をしました。
1回目の治療時に仮歯を入れますのでその時点で隙間がなくなり、歯の大きさも整います。
治療終了まで4回でした。
症例写真
[セラミッククラウン 4本]- この方は前歯の横の歯が細いためにすきっ歯になっている方です。
詳細はコチラ
すきっ歯治療の症例写真
[No.TG-0018 / セラミッククラウン 4本 / モニター]この方は前歯の横の歯が細いためにすきっ歯になっている方です。
前歯4本をセラミック法にて治療しました。
1回目の治療時に仮歯を入れますのでその際に隙間がなくなります。
歯の長さなど仮歯を用いてデザインしますので
お好みの歯の形や長さにする事が可能です。
治療回数は4回でした。
症例写真
[セラミック法]- この方はすきっぱ治療を希望されてご来院されました。
詳細はコチラ
すきっ歯治療の症例写真
[No.TG-0017 / セラミック法 / モニター]この方はすきっぱ治療を希望されてご来院されました。
前歯の隙間だけでなく、向かって右の前歯の横の歯(側切歯)も先天的に小さい状態(矮小歯)です。
小さい歯は通常の大きさにしたセラミックの歯をかぶせて大きさを整えました。
また、向かって左側の側切歯と小臼歯は先天欠如の(もともと生えてきていない)状態です。
ですから左側の犬歯は欠損部分にダミーの歯を入れたセラミックブリッジを入れて隙間をなくしました。
1回目の治療時に仮歯を入れますのですぐに隙間がなくなります。
治療回数は5回でした。
症例写真
[セラミック法]- この方は多数の虫歯や歯の欠損があった方です。
詳細はコチラ
すきっ歯治療の症例写真
[No.TG-0016 / セラミック法 / モニター]この方は多数の虫歯や歯の欠損があった方です。
虫歯治療と並行して、前歯のすきっ歯も治したいというご希望がありましたのでセラミック法で隙間をなくしました。
1回目の治療時に仮歯を入れますので、すぐに隙間がなくなります。
当院ではこのように虫歯やすきっ歯など、いくつかの治療箇所があっても
同時進行で見た目と機能を回復させることが可能です。
症例写真
[上セラミック4本・下セラミック4本]- この方は上下の歯の隙間治療を希望されていました。
詳細はコチラ
すきっ歯治療の症例写真
[No.TG-0015 / 上セラミック4本・下セラミック4本 / モニター]この方は上下の歯の隙間治療を希望されていました。
1回目の治療時には仮歯を入れて隙間をなくせます。
上の歯はすきっ歯だけでなく、少し前に出ていましたので、隙間をなくすと同時に歯を内側に入れ込みました。
治療回数は4回でした。
症例写真
[スタンダードジルコニアクラウン法 上8本]- この方は虫歯と歯茎が下がったために歯と歯茎の間に隙間ができてしまっている状態やブリッジの治
詳細はコチラ
スタンダードジルコニアクラウン法によるすきっ歯治療の症例写真
[No.TG-0014 / スタンダードジルコニアクラウン法 上8本 / モニター]この方は虫歯と歯茎が下がったために歯と歯茎の間に隙間ができてしまっている状態やブリッジの治療をご希望されました。
まず1回目の治療時にグラグラした前から2番目の差し歯は抜歯しました。それと同時に虫歯を取って仮歯にします。仮歯の時点で歯茎との隙間も無くなりますし、虫歯で欠けたり変色した部分も見えなくなります。歯が無い部分にも歯が入ります。
きれいな仮歯を入れた状態で治療を進めますので治療期間中の見た目は全く気になりません。
虫歯治療、根の治療をした後セラミックの歯を被せて治療終了です。
この方の治療回数は5回でした。
症例写真
[オールセラミッククラウン法 上6本]- この方は前歯の隙間と出っ歯治療を希望されてご来院されました。
詳細はコチラ
オールセラミッククラウン法によるすきっ歯・出っ歯治療の症例写真
[No.TG-0013 / オールセラミッククラウン法 上6本 / モニター]この方は前歯の隙間と出っ歯治療を希望されてご来院されました。
セラミック法は出っ歯もすきっ歯も同時に治せます。
1回目の治療時には仮歯を入れますのでその時点で隙間が無くなり、
出っ歯でも無くなります。
治療回数は5回でした。
症例写真
[MTM(部分矯正)・セラミック法 上前歯4本]- この方は前歯のすきっ歯治療を希望されている患者様です。
詳細はコチラ
MTM(部分矯正)を併用したセラミッククラウン法によるすきっ歯治療の症例写真
[No.TG-0012 / MTM(部分矯正)・セラミック法 上前歯4本 / モニター]この方は前歯のすきっ歯治療を希望されている患者様です。
隙間の幅が広いのでMTM(部分矯正)を併用したセラミッククラウン法での治療を行いました。
最終的にかぶせるセラミッククラウンの歯の幅がバランス良くなるように、
矯正装置を3か月程度装着して歯を少し移動させます。
歯の移動が出来たらセラミッククラウンの歯を被せて治療終了しました。
この方の場合は後々再度隙間が開かない様にセラミッククラウンの歯は4本連結した形です。
連結していても見た目は1本づつに見えるようなデザインでセラミッククラウンの歯を作っています。
かみ合わせの状態や歯ぎしりや食いしばりの癖がある方はすきっ歯が再発する事がありますので、
セラミッククラウンを連結した方が良い場合があります。
当院では患者様のかみ合わせなどによってセラミッククラウンのデザインをするようにしています。
回数は5回です。
症例写真
[MTM(部分矯正)・セラミッククラウン法]- この方はもともと歯が小さい部分があるのと、歯がもともとない部分があるために この
詳細はコチラ
MTM(部分矯正)を併用したセラミッククラウン法によるすきっ歯治療の症例写真
[No.TG-0011 / MTM(部分矯正)・セラミッククラウン法 / モニター]



この方はもともと歯が小さい部分があるのと、歯がもともとない部分があるために
この様な隙間の空いた歯並びとなっています。
この状態のままセラミッククラウン法をしても不自然ですので、
まず4か月間、部分的なワイヤー矯正(MTM)を行いました。
歯の位置がバランス良くなった時点でワイヤー矯正を外して、セラミッククラウンの歯に置き換えました。
この方法は再度隙間が空いてくることもありませんし、
矯正後の煩わしい固定装置も必要ありません。
症例写真
[オールセラミッククラウン 12本、スタンダードジルコニアクラウン 5本]- この患者様は上の歯の前から2番目の歯がもともと無い方です。
詳細はコチラ
MTM(部分矯正)とオールセラミッククラウン法・スタンダードジルコニアクラウン法を併用した歯並び矯正治療の症例写真
[No.TG-0010 / オールセラミッククラウン 12本、スタンダードジルコニアクラウン 5本 / モニター]



この患者様は上の歯の前から2番目の歯がもともと無い方です。
そのため、上の歯はすきっ歯の状態です。
下の歯は歯並びが悪い上に、歯周病の影響で前歯1本が出てきてしまっています。
さらにその前に出た歯は歯周病が悪化してぐらぐらでしたので抜歯となりました。
また、全体的に歯の色が黄色く、ホワイトニングをしても効果が無い状態でした。
最初の状態のままセラミックでの歯並び治療をしてしまうと、すきっ歯の部分の歯の幅が小さくなってしまったり、
下の歯を抜いた部分の歯の幅が小さくなってしまったりといった事が懸念されましたので、
まずはワイヤー矯正にて部分矯正を行いました。
5ヶ月ほどワイヤー矯正をして部分的に歯並びや歯の幅をある程度そろえてから前歯は
上下ともオールセラミッククラウンを入れて治療終了しました。
奥歯などはスタンダードジルコニアクラウンで治療しています。
最終的に歯にかぶせるセラミックの色はご自身のお好みの白さにする事ができます。
この方の様に、ザ・ホワイトデンタルクリニックのセラミック法はすきっ歯、歯並び、かみ合わせ、
歯の色といったさまざまな問題があっても半年程度で治せます。
症例写真
[オールセラミッククラウン 6本]- すきっ歯と歯並びが気になってご来院された方です。
詳細はコチラ
オールセラミッククラウン法によるすきっ歯治療の症例写真
[No.TG-0009 / オールセラミッククラウン 6本 / モニター]すきっ歯と歯並びが気になってご来院された方です。元々生えてこなかった歯があるために大きな隙間もありますが、
前歯がばらばらの方向を向いてしまっているのでお口元の見栄えが悪くなってしまっています。
まずは1回目の治療時に仮歯を入れますのでその時点からすきっ歯ではなくなりますし、歯もまっすぐになります。
最終的にオールセラミックを被せて整ったお口元にする事ができました。
症例写真
[ オールセラミッククラウン 10本]- 前歯の全体的なすきっ歯治療をご希望の方です。
詳細はコチラ
オールセラミッククラウン法によるすきっ歯治療の症例写真
[No.TG-0008 / オールセラミッククラウン 10本 / モニター]前歯の全体的なすきっ歯治療をご希望の方です。かみ合わせも一部受け口ぎみでした。
セラミック法はこの様な方でも1回目の治療時にはすきっ歯ではなくせます。
また、受け口ぎみなかみ合わせも同時に治せます。すきっ歯の状態と治療後はお顔の印象も変わります。
より洗練された美しいお口元になりました。
症例写真
[オールセラミッククラウン 4本、ホームホワイトニング]- すきっ歯の治療をご希望の方です。
詳細はコチラ
オールセラミッククラウン法によるすきっ歯治療、ホームホワイトニングの症例写真
[No.TG-0007 / オールセラミッククラウン 4本、ホームホワイトニング / モニター]すきっ歯の治療をご希望の方です。
1回目の治療時にはすきっ歯ではなくなりますので、患者さんには大変驚かれます。
この方のすきっ歯治療は2回で終了しました。
歯の色も白くしたいという事でしたので、治療開始前にホームホワイトニングをして頂いて、
歯の色が白くなってからセラミックの歯を被せました。
こうする事でよりきれいな色のオールセラミッククラウンを被せられますのでよりきれいな仕上がりとなります。
症例写真
[オールセラミッククラウン 4本 ]- 前歯のすきっ歯でお悩みでご来院された患者様です。
詳細はコチラ
オールセラミッククラウン法によるすきっ歯治療の症例写真
[No.TG-0006 / オールセラミッククラウン 4本 / モニター]前歯のすきっ歯でお悩みでご来院された患者様です。前歯の隣の歯も外側に広がっています。
下の前歯もすきっ歯になっているのでお口元が老けて見えてしまっていました。
上下の前歯の隙間がなくなるだけで若々しくきれいなお口元になりました。
すきっ歯を気にしていつも手でお口元を隠していましたが、
すきっ歯治療後は人目を気にせず笑えるようになったそうです。
症例写真
[ラミネートベニア 4本]- 前歯のすきっ歯でお悩みでご来院された患者様です。
詳細はコチラ
ラミネートベニア法によるすきっ歯治療の症例写真
[No.TG-0005 / ラミネートベニア 4本 / モニター]前歯のすきっ歯でお悩みでご来院された患者様です。
歯並びはきれいなので歯の表面に薄いセラミックを貼り付ける「ラミネートベニア法」で治療しました。
ラミネートベニア法は歯並びが良く、虫歯の無い状態で隙間だけがあるような方にお勧めの治療方法です。
薄いセラミックのラミネートベニアは強固に接着しますので取れたりしてくることはまずありません。
治療は2回で終わります。すきっ歯治療後にラミネートベニアが黄ばんできたりすることもありません。
症例写真
[オールセラミッククラウン 4本]- 「すきっ歯」と「出っ歯」でお悩みのためご来院した患者様の症例写真です。
詳細はコチラ
オールセラミッククラウン法によるすきっ歯、出っ歯矯正の症例写真
[No.TG-0004 / オールセラミッククラウン 4本 / モニター]「すきっ歯」と「出っ歯」でお悩みのためご来院した患者様の症例写真です。
オールセラミッククラウン法により「すきっ歯」「出っ歯」共に明らかな改善がみられます。
症例写真
[オールセラミッククラウン 2本]- 前歯がねじれている事により、すきっ歯になってしまっている患者様です。
詳細はコチラ
オールセラミッククラウン法によるすきっ歯治療の症例写真
[No.TG-0003 / オールセラミッククラウン 2本 / モニター]前歯がねじれている事により、すきっ歯になってしまっている患者様です。
若干前歯がハの字に開いてしまっていますので、これをまっすぐにして隙間を無くしたセラミックを被せて治すと、
歯並びと同時に隙間も一緒に治せます。 歯の長さもお好みの長さにできます。
症例写真
[オールセラミッククラウン 4本+ホームホワイトニング]- すきっ歯と歯の黄ばみが気になるとご来院された患者様です。
詳細はコチラ
オールセラミッククラウン法によるすきっ歯治療、ホワイトニングの症例写真
[No.TG-0002 / オールセラミッククラウン 4本+ホームホワイトニング / モニター]すきっ歯と歯の黄ばみが気になるとご来院された患者様です。
歯並びがきれいですのでまずホームホワイトニングで歯の色を白くしてから、
その白い歯に合わせてオールセラミッククラウンを歯に被せて治しました。
ホワイトニングしてからオールセラミッククラウンで治すとより白く、明るい歯の色にする事ができます。
より歯の色にこだわる方にはオールセラミッククラウンがお勧めです。 治療回数は3回でした。
症例写真
[オールセラミッククラウン 6本]- すきっ歯と同時に歯の大きさや歯が生えている位置も気にされてご来院されました。
詳細はコチラ
オールセラミッククラウン法によるすきっ歯治療の症例写真
[No.TG-0001 / オールセラミッククラウン 6本 / モニター]すきっ歯と同時に歯の大きさや歯が生えている位置も気にされてご来院されました。
この様な方の場合は歯に被せこむタイプのセラミック法がお勧めです。
歯茎の位置の高低差を気にされていましたので前歯の部分や犬歯の歯肉を少し上に上げる処置を施しました。
この処置をする事ですきっ歯だけでなく、歯の長さのでこぼこや、歯の大きさの不ぞろいも同時に治せました。
治療回数は3回です。











































































































































































































































































































































































































































































































