症例写真

-
虫歯
こちらでは虫歯に関する写真を掲載しております!
症例写真
-

-
歯並び
こちらでは歯並びに関する写真を掲載しております!
症例写真
-

-
出っ歯
こちらでは出っ歯に関する写真を掲載しております!
症例写真
-

-
マウスピース矯正
こちらではマウスピース矯正に関する写真を掲載しております!
症例写真
-

-
受け口
こちらでは受け口に関する写真を掲載しております!
症例写真
-

-
りんかく形成
こちらではりんかく形成に関する写真を掲載しております!
症例写真
-

-
すきっ歯
こちらではすきっ歯に関する写真を掲載しております!
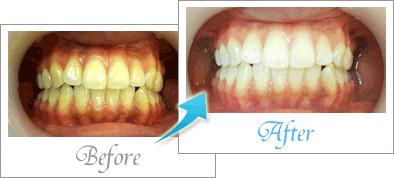
症例写真
-

-
歯の色
こちらでは歯の色に関する写真を掲載しております!
症例写真
-

-
インプラント
こちらではインプラントに関する写真を掲載しております!
症例写真

-
入れ歯
こちらでは入れ歯に関する写真を掲載しております!
症例写真

-
ブリッジ
こちらではブリッジ治療に関する写真を掲載しております!
症例写真

-
ガミースマイル
こちらではガミースマイルに関する写真を掲載しております!
症例写真

-
ラミネートベニア法
こちらではラミネートベニア法に関する写真を掲載しております!
症例写真

-
歯周病
こちらでは歯周病に関する写真を掲載しております!
症例写真






