歯の色・ホワイトニング
目次
どんな色の歯の色・歯茎でも美しく!
- 無痛治療
- 少回数
- 静脈内鎮静法
ザ・ホワイトデンタルクリニックなら、どんなに歯や歯茎の色が悪くても少ない回数で治療できます。
歯や歯茎を美しくするための方法はこちら
-
オフィスホワイトニング
黄ばみや黒ずみが強い方・元々の歯の色よりも白くしたい方にオススメ!
-
ホームホワイトニング
忙しくてなかなか時間が取れないけど、歯を白くしたい方にオススメ!
-
神経が死んでいて変色
虫歯の進行などで神経が死んでしまって、歯が変色した方にオススメ!
-
歯肉ピーリング
元々歯ぐきの色が黒かったりタバコによる歯ぐきの黒ずみが気になる方にオススメ!
-
デンタルエステ
歯の表面についたガンコな汚れでお悩みの方にオススメ!
-
ラミネートベニア
ホワイトニングでも白くならない歯を白くしたい方にオススメ!
オフィスホワイトニングの流れ
濃度の高い薬剤を使用しますので、黄ばみや黒ずみが強い方にオススメです。
-
カウンセリング後まずは歯石などを取り除きます
クリニックのスタッフが本格的に行う施術です。元々の歯の色よりも白くしたいという方にお勧めです。
まずはカウンセリングを行い、その後歯のクリーニングを行い、歯石などを取り除きます。
-
専用のジェルを塗り、レーザー照射します
歯の表面に薬剤を塗り、レーザーを照射することで、歯の内部まで成分を浸透させて色素を取り除いていきます。
◆回数を重ねるほど効果を保って頂けますので、3回は受けて頂いた方がより白さが持続します。
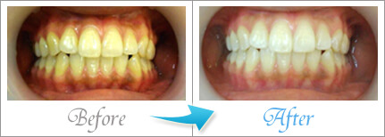
歯の黄ばみが気になる方に
- ◆症例写真をチェック!
-

歯の色でお悩みの患者様の症例写真です。気にされていた歯の黄ばみがなくなり、美しい白さになりました。
ホームホワイトニングの流れ
お家で好きな時間にできるので、忙しい方にオススメです。
-
カウンセリング後まずは歯石などを取り除き、歯型を取ります
まずはカウンセリングを行い、その後に歯のクリーニングを行って、歯石などを取り除きます。
その後、オーダーメイドのマウスピースをお作りするために、歯型をおとりします。
-
マウスピースと専用のお薬をお渡しします
マウスピースと専用のお薬(専用キット)をお渡しします。あとは、お家でご自身の都合に合わせて開始して下さい。
テレビをみながら…、本を読みながら…、くつろぎながら…など、なかなか時間が取れないという方でも、ライフスタイルに合わせてお好きな時間に歯を白くすることができます。1~2週間程で白く輝く歯になります。
真っ白な歯にしたい方に
- ◆症例写真をチェック!
-

歯の黄ばみでお悩みのためご来院した方の歯の表面をホームホワイトニング法+セラミッククラウン法で上顎7本治療した時の症例写真です。。
ご自身のライフスタイルに合わせてご自宅で手軽にできます!
ホワイトニング終了後、再び色が気になってきても好きな時にまた白くできます。白くキレイな歯をより長期間キープする事ができます!
神経が死んでしまって変色した歯も、セラミック法で生まれ変わる!
黄ばみ・黒ずみのある歯も、変色・着色しにくいセラミック歯なら本来の白さが復活!
虫歯の進行などで歯の神経が死んでしまい、内部から変色してしまった歯は、表面からのホワイトニングでは残念ながら改善することができません。
そこで変色した歯をもう一度白くきれいな歯に蘇らせる方法として、当院ではセラミック法をおすすめしています。

セラミック歯は着色・変色の心配がなく、装着した後でも色が後戻りすることは考えにくいです。
ナチュラルで透明感のある白さが大きな魅力で、審美性にも大変優れています。
従来、このような歯を白くする場合は薬剤を歯の内部から注入して1週間生活する「ウォーキング・ブリーチ法」がオーソドックスなスタイルでしたが、一定期間経過すると色の後戻りが発生してしまうため、現在では白さが長期的に安定しているセラミック歯の装着をおすすめする歯科医院が増えています。
差し歯の変色も、セラミック歯の装着で元通りの白さに!
保険診療で作った差し歯も黄ばみや黒ずみが発声しやすい材質で作られており、変色した部分を通常のホワイトニングで改善することはできません。
保険診療で作った差し歯の黄ばみ・黒ずみでお悩みの方も、このセラミック歯を装着することで自然な白さを取り戻すことが可能です。
歯肉ピーリング(黒ずんだ歯茎の施術)の流れ
元々歯ぐきの色が黒かったり、タバコによる歯ぐきの黒ずみが気になる方にオススメです!
せっかくキレイな白い歯なのに、歯茎が黒ずんでいては台無し。歯茎の黒ずみをなくして健康的な口元に!!
-
歯茎にピーリングのお薬を塗ります
まず、歯茎にピーリングのお薬を塗ります。2日程で歯肉の表面の黒ずみがはがれおちます。
(ピーリング当日は歯肉が白くなります)1週間ほどで歯ぐきがピンク色のきれいな状態となります!!
歯肉ピーリングでは、1回で歯茎が健康的なピンク色にもどります!
※歯茎の黒ずみが強い方は2回必要になる事もあります。
歯茎の黒ずみが気になる方に
- ◆症例写真をチェック!
-

歯並びのお悩みをセラミック法で整えたほか、歯茎ピーリングも行い、健康的な口元になりました。
デンタルエステとは
歯の表面についたガンコな汚れ(タバコのヤニ・茶渋 など)を細かい粒子の粉をふきつける事できれいに取り除きます。
その後、さらに歯の表面をピカピカに磨き上げます。
ラミネートベニアとは
ホワイトニングでも白くならない歯を白く・美しくする方法となります。こちらは、歯へのダメージもなく、自然に仕上げたい方にオススメです!
茶渋やコーヒー・赤ワインの色、そしてタバコのヤニなどで重度に変色した歯の場合や、青みのあるダーググレー・ダークブラウン系の歯の方の場合、効果が出にくい場合があります。
なかなか白くならないとお悩みの方も白い歯ならおまかせください!!
リスク
・歯肉ピーリング
リスク:
術直後2日程度は歯肉が真っ白になり、見た目が気になることがあります。
副作用:
塩分や辛い食事で歯肉がしみてしまう可能性があります。




