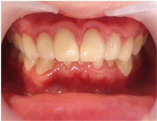
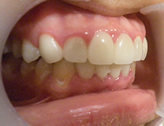
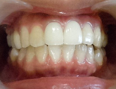
出っ歯 症例写真
治療1回目から見た目は改善、少回数でOK!
出っ歯 ビフォーアフター症例写真を更新中!
-
-
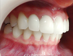
症例写真
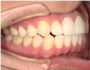
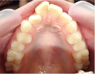
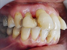
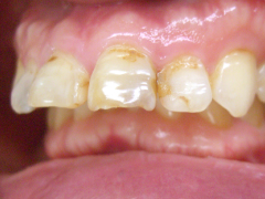
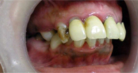
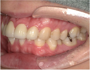
[FZC4本] - この方は前歯が出ていて、歯並びも悪い状態でした。
詳細はコチラ
-
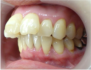
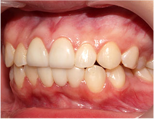
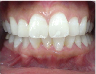
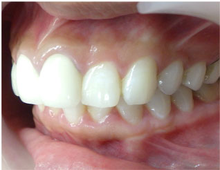
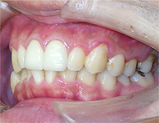
フルジルコニアによる出っ歯治療の症例
[No.O-0153 / FZC4本 / モニター] -
この方は前歯が出ていて、歯並びも悪い状態でした。 1回の治療時に仮歯を入れますので、すぐに出っ歯や歯並びが気にならなくなります。 最終的にセラミックの歯を入れるまでの回数は5回でした。
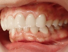
症例写真
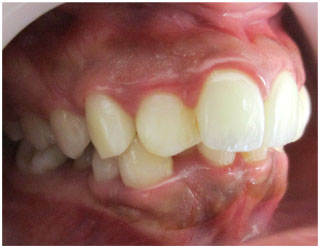
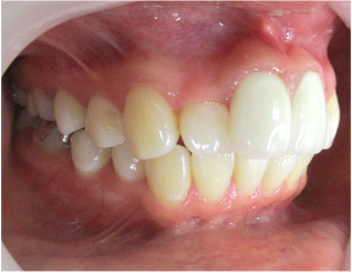
[オールセラミッククラウン2本]- この方は前歯2本が出ていました。
詳細はコチラ
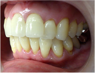
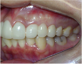
オールセラミッククラウン法による出っ歯治療の症例
[No.O-0152 / オールセラミッククラウン2本 / モニター]この方は前歯2本が出ていました。 セラミック法でこの2本の歯を引っ込めました。 1回目の治療時に仮歯を入れますので、すぐに出っ歯ではなくなります。 治療回数は4回でした。
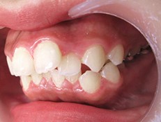
症例写真
[フルジルコア6本]- この方は前歯2本が大きく出っ歯の状態でした。
詳細はコチラ
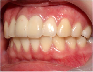
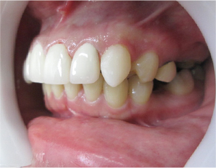
フルジルコアによる出っ歯治療の症例
[No.O-0151 / フルジルコア6本 / モニター]この方は前歯2本が大きく出っ歯の状態でした。 お顔に対して、歯が大きいため前歯6本セラミック治療で歯の大きさも小さくしました。 1回目の治療時に仮歯を入れますのですぐに出っ歯ではなくなり、歯が小さくなります。 治療回数は5回でした。
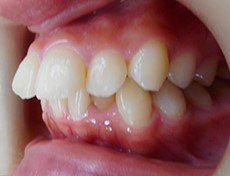
症例写真
[オールセラミッククラウン2本]- この方は前歯2本が大きく出ていました。
詳細はコチラ
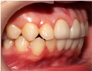
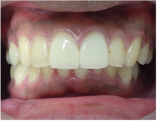
オールセラミッククラウン法による出っ歯治療の症例
[No.O-0150 / オールセラミッククラウン2本 / モニター]この方は前歯2本が大きく出ていました。 セラミック法は歯の大きさを小さくして、引っ込める事が可能です。 治療回数は4回でした。
症例写真
[オールセラミッククラウン4本]- この方は前歯4本が長く出ていました。
詳細はコチラ
オールセラミッククラウン法による出っ歯治療の症例
[No.O-0149 / オールセラミッククラウン4本 / モニター]この方は前歯4本が長く出ていました。 セラミック法はこの様な大きな歯を小さくすることが可能です。 1回目の治療時に仮歯を入れますのですぐ歯を小さく引っ込められます。 治療回数は5回でした。
症例写真
[スタンダードジルコニア4本]- この方は前歯が出ていて、歯並びも悪い状態でした。
詳細はコチラ
セラミック法による出っ歯治療の症例
[No.O-0149 / スタンダードジルコニア4本 / モニター]この方は前歯が出ていて、歯並びも悪い状態でした。 1回目の治療時に仮歯を入れますのですぐに出っ歯は改善します。 最終的にセラミックの歯を被せて治しました。 治療回数は5回でした。
症例写真
[スタンダードジルコニア6本]- この方は前歯が出ているのを治したいとご来院されました。
詳細はコチラ
セラミック法による出っ歯治療の症例
[No.O-0148 / スタンダードジルコニア6本 / モニター]この方は前歯が出ているのを治したいとご来院されました。 歯の色も白くしたいという事でした。 セラミック法で出っ歯治療を行いました。 セラミックの歯は患者様のお好みの白さにする事が可能です。 治療回数は4回でした。
症例写真
[スタンダードジルコニア2本]- この方は全体的に歯並びが悪いのですが 取り急ぎ前歯2本が出ているのを治したいという事
詳細はコチラ
セラミック法による出っ歯治療の症例
[No.O-0147 / スタンダードジルコニア2本 / モニター]この方は全体的に歯並びが悪いのですが 取り急ぎ前歯2本が出ているのを治したいという事でした。 前歯2本だけの治療ですが出来るだけ歯を引っ込めて治しました。 治療回数は4回でした。
症例写真
[スタンダードジルコニア2本]- この方は前歯2本が大きく、出っ歯の状態でした。
詳細はコチラ
セラミック法による出っ歯治療の症例
[No.O-0146 / スタンダードジルコニア2本 / モニター]この方は前歯2本が大きく、出っ歯の状態でした。
本来であれば前歯4本治療した方がよりきれいになりますが
ご予算の関係上、前歯2本だけの治療で出っ歯を治しました。
1回目の治療時に引っ込めた状態の仮歯を入れますので
すぐに出っ歯が気にならなくなります。
治療回数は5回でした。
症例写真
[オールセラミッククラウン6本]- この方は出っ歯を少ない回数で治療したいという事でしたので セラミック法で治療しました
詳細はコチラ
オールセラミッククラウン法による出っ歯治療の症例
[No.O-0145 / オールセラミッククラウン6本 / モニター]この方は出っ歯を少ない回数で治療したいという事でしたので セラミック法で治療しました。 下の歯の歯並びも悪いのですが、セラミック法は気になる部分だけの治療が可能です。 1回目の治療時に仮歯を入れますのですぐに出っ歯ではなくなります。
治療回数は5回でした。
症例写真
[オールセラミッククラウン3本]- この方は出っ歯を治したいとご来院されました。
詳細はコチラ
オールセラミッククラウン法による出っ歯治療の症例
[No.O-0144 / オールセラミッククラウン3本 / モニター]この方は出っ歯を治したいとご来院されました。
出ている前歯2本が隣の歯に重なっている部分がありましたので前歯3本をセラミック
法で治しました。
セラミック法は1回目の治療時に出っ歯ではなくなります。
治療回数は全部で4回でした。
症例写真
[スタンダードジルコニア7本]- この方は上顎前歯が大きく、出ているのを治したいとご来院されました。
詳細はコチラ
セラミック法による出っ歯治療の症例
[No.O-0143 / スタンダードジルコニア7本 / モニター]この方は上顎前歯が大きく、出ているのを治したいとご来院されました。
歯が大きい場合はセラミック法での治療がお勧めです。
セラミック法は出っ歯を治すと同時に歯も小さくできます。
セラミックの色は患者様のお好みの白さにすることが可能です。
治療回数は5回でした。
症例写真
[オールセラミッククラウン4本]- この方はかみ合わせも悪いのですが 上前歯の部分的な出っ歯治療を希望されました。
詳細はコチラ
オールセラミッククラウン法による出っ歯治療の症例
[No.O-0142 / オールセラミッククラウン4本 / モニター]この方はかみ合わせも悪いのですが
上前歯の部分的な出っ歯治療を希望されました。
セラミック法は1回目の治療時に仮歯を入れますのですぐに出っ歯ではなくなります。
治療回数は4回でした。
症例写真
[オールセラミッククラウン2本]- この方は前歯2本が大きく出ていました。
詳細はコチラ
オールセラミッククラウン法による出っ歯治療の症例
[No.O-0141 / オールセラミッククラウン2本 / モニター]この方は前歯2本が大きく出ていました。セラミック法は歯の大きさを小さくして歯を引っ込めることが可能です。治療回数は5回でした。
症例写真
[スタンダードジルコニア3本]- この方は前歯の出っ歯と小臼歯の虫歯治療をご希望されご来院しました。
詳細はコチラ
セラミック法による出っ歯治療の症例
[No.O-0140 / スタンダードジルコニア3本 / モニター]この方は前歯の出っ歯と小臼歯の虫歯治療をご希望されご来院しました。
セラミック法は出っ歯も虫歯も同時進行で治療可能です。
1回目の治療時に仮歯を入れますのですぐに出っ歯が改善しますし
虫歯も取りますので見た目が気にならなくなります。
治療回数は5回でした。
症例写真
[スタンダードジルコニア2本]- この方は前歯の出っ歯が気になるとご来院されました。
詳細はコチラ
セラミック法による出っ歯治療の症例
[No.O-0139 / スタンダードジルコニア2本 / モニター]この方は前歯の出っ歯が気になるとご来院されました。
本来であれば前歯4本治す方が良いのですが
ご予算の関係で前歯2本のみの治療となりました。
1回目の治療時に仮歯を入れますのですぐに前歯が引っ込みます。
治療回数は5回でした
症例写真
[スタンダードジルコニア6本]- この方は前歯が出ていて、歯並びも悪い状態でした。
詳細はコチラ
セラミック法による出っ歯治療の症例
[No.O-0138 / スタンダードジルコニア6本 / モニター]この方は前歯が出ていて、歯並びも悪い状態でした。
セラミック法は1回目の治療時に仮歯を入れますのですぐに歯並びが整います。
また、この方は下の歯の歯並びも良くない状態でしたが
セラミック法は患者様の一番気になっていらっしゃる上の歯だけの治療が可能です。
治療回数は5回でした。
症例写真
[オールセラミッククラウン4本]- この方はセラミック法で前歯4本の出っ歯治療を行いました。
詳細はコチラ
オールセラミッククラウン法による出っ歯治療の症例
[No.O-0137 / オールセラミッククラウン4本 / モニター]この方はセラミック法で前歯4本の出っ歯治療を行いました。
前歯4本だけの治療ですが、歯を小さくし、出ている部分を引っ込めることが出来ました。
セラミック法は1回目の治療時に仮歯を入れますのですぐに出っ歯ではなくなります。
治療回数は4回でした。
症例写真
[オールセラミッククラウン2本]- この方は前歯をひっこめたいとの事でご来院されました。
詳細はコチラ
オールセラミッククラウン法による出っ歯治療の症例
[No.O-0136 / オールセラミッククラウン2本 / モニター]この方は前歯をひっこめたいとの事でご来院されました。
セラミック法で気になる前歯2本だけの治療を希望されました。
1回目の治療時に仮歯を入れますのですぐに出っ歯は引っ込みます。
治療回数は4回でした。
症例写真
[オールセラミッククラウン2本]- この方は前歯2本を引っ込めたいとご来院されました。
詳細はコチラ
オールセラミッククラウン法による出っ歯治療の症例
[No.O-0135 / オールセラミッククラウン2本 / モニター]この方は前歯2本を引っ込めたいとご来院されました。
前歯4本の歯並びも悪いので、4本の治療をおすすめしたのですがご予算の関係で2本
だけ治療しました。
2本だけの治療でも前歯はある程度引っ込みますのでご満足いただけました。
症例写真
[スタンダードジルコニア10本]- この方は上下前歯の歯並びが悪く、出っ歯の状態でした。
詳細はコチラ
セラミック法による出っ歯治療の症例
[No.O-0134 / スタンダードジルコニア10本 / モニター]この方は上下前歯の歯並びが悪く、出っ歯の状態でした。
過去に矯正の経験があるそうですが、後戻りが著しく
今回はセラミック法での歯並び治療を希望されました。
セラミック法はワイヤー矯正と違い、後戻りがありません。
1回目の治療時に仮歯を入れますのですぐに見た目がきれいになります。
治療回数は5回でした。
症例写真
[オールセラミッククラウン4本]- この方は前歯が出っ歯の状態でした。
詳細はコチラ
オールセラミッククラウン法による出っ歯治療の症例
[No.O-0133 / オールセラミッククラウン4本 / モニター]この方は前歯が出っ歯の状態でした。
セラミック法は1回目の治療時に仮歯を入れますのですぐに出っ歯ではなくなります。
最終的にセラミックを被せる間では4回でした。
症例写真
[スタンダードジルコニア2本]- この方は前歯が長く出ているのを治したいとの事でご来院されました。
詳細はコチラ
セラミック法による出っ歯治療の症例
[No.O-0132 / スタンダードジルコニア2本 / モニター]この方は前歯が長く出ているのを治したいとの事でご来院されました。
セラミック法ですと1回目の治療時に仮歯を入れますのですぐに歯が引っ込みます。
2本だけの治療ですが前歯が目立たなくなりました。
症例写真
[オールセラミッククラウン6本、スタンダードジルコニア4本]- この方は前歯の歯並びが悪く、出っ歯でした。
詳細はコチラ
オールセラミッククラウン法、セラミック法による出っ歯治療の症例
[No.O-0131 / オールセラミッククラウン6本、スタンダードジルコニア4本 / モニター]この方は前歯の歯並びが悪く、出っ歯でした。
過去の虫歯治療痕の部分も虫歯になっていました。
セラミック法で出っ歯も歯並びも同時に治しました。
セラミック法は1回目の治療時に仮歯を入れますのですぐに出っ歯ではなくなります。
治療回数は6回でした。
症例写真
[オールセラミッククラウン1本]- この方は前歯が出ており、大きかったので セラミック法で前歯を引っ込め、歯を短く整えました
詳細はコチラ
オールセラミッククラウン法による出っ歯治療の症例
[No.O-0130 / オールセラミッククラウン1本 / モニター]この方は前歯が出ており、大きかったので
セラミック法で前歯を引っ込め、歯を短く整えました。
1回目の治療時に仮歯を入れますのですぐに出っ歯ではなくなります。
セラミックが入るまでの治療回数は4回でした。
症例写真
[スタンダードジルコニア2本]- この方は前歯2本が出っ歯の状態でした。
詳細はコチラ
セラミック法による出っ歯治療の症例
[No.O-0129 / スタンダードジルコニア2本 / モニター]この方は前歯2本が出っ歯の状態でした。
前歯2本だけの治療ですが、ご覧の様に内側に引っ込めることが出来ています。
セラミック法での治療は気になる部分だけの治療で出っ歯が治せます。
症例写真
[スタンダードジルコニア3本]- この方は前歯2本が出ているのを治したいとの事でした。
詳細はコチラ
セラミック法による出っ歯治療の症例
[No.O-0128 / スタンダードジルコニア3本 / モニター]この方は前歯2本が出ているのを治したいとの事でした。
2番目の歯との重なりもありますので前歯4本治したほうが
歯並びも整うのですが、前歯2本だけの治療をご希望されました。
1回目の治療時に仮歯を入れますのですぐに出っ歯ではなくなり、虫歯で変色した3番目の歯も治ります。
治療回数は5回でした。
症例写真
[オールセラミッククラウン2本]- この方は前歯2本が外側を向いて出ている状態でした。
詳細はコチラ
オールセラミッククラウン法による出っ歯治療の症例
[No.O-0124 / オールセラミッククラウン2本 / モニター]この方は前歯2本が外側を向いて出ている状態でした。
セラミック法は1回目の治療時に仮歯を入れる事で
歯並びも出っ歯もすぐに改善します。
本来であれば前歯4本治す方がよりきれいになりますが
前歯2本だけの治療でもここまで改善します。
治療回数は4回でした。
症例写真
[オールセラミッククラウン2本]- この方は前歯2本が大きく、出ていました。
詳細はコチラ
オールセラミッククラウン法による出っ歯治療の症例
[No.O-0127 / オールセラミッククラウン2本 / モニター]この方は前歯2本が大きく、出ていました。
この2本だけセラミック法で治療しました。
1回目の治療時に仮歯を入れますのですぐに出っ歯ではなくなります。
治療回数は5回でした。
2本だけの治療でもここまできれいになりました。
症例写真
[オールセラミッククラウン5本]- この方は上前歯2本が出ており、下の前歯の歯並びも悪い状態でした。
詳細はコチラ
オールセラミッククラウン法による出っ歯治療の症例
[No.O-0126 / オールセラミッククラウン5本 / モニター]この方は上前歯2本が出ており、下の前歯の歯並びも悪い状態でした。
上の歯2本と下の歯3本のセラミック治療を行い、歯並びと出っ歯を治しました。
治療後は前歯が引っ込みすっきりしたお口元になりました。
症例写真
[スタンダードジルコニア4本]- この方は前歯が大きく、出ており、歯のねじれもありました。
詳細はコチラ
セラミック法による出っ歯治療の症例
[No.O-0125 / スタンダードジルコニア4本 / モニター]この方は前歯が大きく、出ており、歯のねじれもありました。
セラミック法は出っ歯、歯並び、歯の大きさの治療が同時にできます。
1回目の治療時に仮歯を入れますのですぐに見た目が改善します。
最終的に被せるセラミックの歯はお好みの白さにすることが可能です。
治療回数は5回でした。
症例写真
[オールセラミッククラウン2本]- この方は出っ歯というより歯の大きさを小さくしたいとご来院されました。
詳細はコチラ
オールセラミッククラウン法による出っ歯治療の症例
[No.O-0124 / オールセラミッククラウン2本 / モニター]この方は出っ歯というより歯の大きさを小さくしたいとご来院されました。
ご自身の歯の表面を削り、小さくデザインしたセラミックの歯を被せて治しました。
1回目の治療時に仮歯を入れますのですぐに歯が小さく出来ます。
この様に、セラミック法は歯並びや出っ歯だけではなく歯の長さや大きさも変える事が可能です。
症例写真
[スタンダードジルコニア6本]- この方は、前歯が出ていて歯並びも悪い状態でした。
詳細はコチラ
セラミック法による出っ歯治療の症例
[No.O-0123 / スタンダードジルコニア6本 / モニター]この方は、前歯が出ていて歯並びも悪い状態でした。
また、小臼歯が虫歯で欠けた状態でした。
セラミック法で出っ歯、歯並び治療は虫歯治療も一緒に出来ます。
治療後は歯の大きさもコンパクトになり、すっきりしたお口元になりました。
治療回数は5回でした。
症例写真
[オールセラミッククラウン6本]- この方は前歯2本が出ており、歯並びが悪い状態でした。
詳細はコチラ
オールセラミッククラウン法による出っ歯治療の症例
[No.O-0122 / オールセラミッククラウン6本 / モニター]この方は前歯2本が出ており、歯並びが悪い状態でした。
1回目の治療時に仮歯を入れますのですぐに出っ歯ではなくなります。
セラミック法は出っ歯も歯並びも同時に治せます。
治療回数は5回でした。
症例写真
[スタンダードジルコニア7本]- この方は前歯が大きく出ていました。
詳細はコチラ
セラミック法による出っ歯治療の症例
[No.O-0121 / スタンダードジルコニア7本 / モニター]この方は前歯が大きく出ていました。
1番目の歯と2番目の歯の重なりがありましたので前歯4本をセラミック矯正しました。
セラミック矯正は歯の大きさを小さくすることが可能です。
1回目の治療時に仮歯を入れますのですぐに出っ歯ではなくなりますし
歯も小さくなります。
治療回数は5回でした。
症例写真
[スタンダードジルコニア4本]- この方は前歯2本が出ていて、長さも気になるとの事でした。
詳細はコチラ
セラミック法による出っ歯治療の症例
[No.O-0120 / スタンダードジルコニア4本 / モニター]この方は前歯2本が出ていて、長さも気になるとの事でした。
歯の色も黄ばみや茶色く変色した部分があり、
全体的に白くしたいとの事でした。
セラミック法は出っ歯だけではなく、歯を短くしたり、歯の色をお好みの白さにすることが可能です。
治療回数は5回でした。
症例写真
[オールセラミッククラウン4本]- この方は前歯2本が大きく出ていました。
詳細はコチラ
オールセラミッククラウン法による出っ歯治療の症例
[No.O-0119 / オールセラミッククラウン4本 / モニター]この方は前歯2本が大きく出ていました。
横の歯は引っ込みすぎている状態でした。
前歯4本のセラミック治療で歯並びも出っ歯も治しました。
1回目の治療時に仮歯を入れますのですぐに出っ歯ではなくなり、歯並びも整います。
治療回数は5回でした。
症例写真
[オールセラミッククラウン2本]- この方は前歯2本がかなり長かったので、短くしたセラミックの歯を被せて治しました。
詳細はコチラ
オールセラミッククラウン法による出っ歯治療の症例
[No.O-0117 / オールセラミッククラウン2本 / モニター]この方は前歯2本がかなり長かったので、短くしたセラミックの歯を被せて治しました。
1回目の治療時に短くした仮歯を入れますのですぐに歯の長さが気にならなくなります。
治療回数は4回でした。
症例写真
[スタンダードジルコニア2本]- この方は前歯2本が大きく、出っ歯の状態でした。
詳細はコチラ
セラミック法による出っ歯治療の症例
[No.O-0116 / スタンダードジルコニア2本 / モニター]この方は前歯2本が大きく、出っ歯の状態でした。
歯並びも悪いので本来であれば前歯4本治療した方がよりきれいに仕上がりますが
ご予算がないため、前歯2本だけの治療を行いました。
若干隣の歯との重なりはありますが、治療前よりもかなり良い状態にはなりました。
治療回数は5回でした。
症例写真
[スタンダードジルコニア4本]- この方は前歯が出ていて、歯並びも悪い状態でした。
詳細はコチラ
セラミック法による出っ歯治療の症例
[No.O-0115 / スタンダードジルコニア4本 / モニター]この方は前歯が出ていて、歯並びも悪い状態でした。
上の前歯4本だけの治療ですが、すっきりしたお口元になりました。
治療回数4回でした。
症例写真
[スタンダードジルコニア4本]- この方は前歯2本が大きいのが気になるとの事でした。
詳細はコチラ
セラミック法による出っ歯治療の症例
[No.O-0114 / スタンダードジルコニア4本 / モニター]この方は前歯2本が大きいのが気になるとの事でした。
全体的に歯並びが悪い状態でしたが、ご予算の関係で上下前歯2本ずつの治療のみ行いました。
最小限の治療ですが、前歯2本を小さくして引っ込める事でご満足して頂けました。
治療回数は5回でした。
症例写真
[オールセラミッククラウン6本]- この方は上の前歯が出ていて、虫歯がある状態でした。
詳細はコチラ
オールセラミッククラウン法による出っ歯治療の症例
[No.O-0114 / オールセラミッククラウン6本 / モニター]この方は上の前歯が出ていて、虫歯がある状態でした。
セラミック法は虫歯も出っ歯も同時進行で治す事が可能です。
1回目の治療時に仮歯を入れますのですぐに出っ歯ではなくなります。
治療回数は5回でした。
症例写真
[オールセラミッククラウン6本]- この方は前歯が大きく出っ歯の状態でした。
詳細はコチラ
オールセラミッククラウン法による出っ歯治療の症例
[No.O-0113 / オールセラミッククラウン6本 / モニター]この方は前歯が大きく出っ歯の状態でした。
1回目の治療時に仮歯を入れますのですぐに出っ歯ではなくなります。
セラミック法は歯を入れ込むだけでなく、歯を小さくすることも可能です。
最終的に歯に接着するセラミックはご自身のお好みの白さにすることが可能です。
セラミックが入るまでの治療回数は4回でした。
症例写真
[オールセラミッククラウン4本、スタンダードジルコニア2本]- この方は前歯が出ていて歯並びが悪い状態でした。
詳細はコチラ
オールセラミッククラウン法、セラミック法による出っ歯治療の症例
[No.O-0112 / オールセラミッククラウン4本、スタンダードジルコニア2本 / モニター]この方は前歯が出ていて歯並びが悪い状態でした。
また、歯の大きさを小さくしたいとの事でしたのでセラミックの歯は
元の歯よりも小さくデザインしました。
セラミック法は歯並びだけでなく歯の長さや大きさも変えられます。
症例写真
[スタンダードジルコニア6本]- この方は前歯の歯並びが悪く、出ているのが気になるとの事でご来院されました。
詳細はコチラ
セラミック法による出っ歯治療の症例
[No.O-0111 / スタンダードジルコニア6本 / モニター]この方は前歯の歯並びが悪く、出ているのが気になるとの事でご来院されました。
1回目の治療時に仮歯を入れますのですぐに出っ歯ではなくなり、
歯並びも整います。
セラミック法は歯並びも出っ歯も同時に治す事が可能です。
治療回数は5回でした。
症例写真
[オールセラミッククラウン4本]- この方は前歯2本が出ていて、隣の歯と重なり、歯並びも悪い状態でした。
詳細はコチラ
オールセラミッククラウン法による出っ歯治療の症例
[No.O-0110 / オールセラミッククラウン4本 / モニター]この方は前歯2本が出ていて、隣の歯と重なり、歯並びも悪い状態でした。
上の歯だけでなく下の歯並びも悪いのですが
上の前歯だけの治療をご希望されました。
セラミック法は1回目の治療時に仮歯をいれますのですぐに出っ歯ではなくなりますし、歯並びも整います。
歯の色もご自身の好きな白さにすることが可能です。
症例写真
[オールセラミッククラウン4本]- この方は上の前歯が出ているのを治したいとの事でした。
詳細はコチラ
オールセラミッククラウン法による出っ歯治療の症例
[No.O-0109 / オールセラミッククラウン4本 / モニター]この方は上の前歯が出ているのを治したいとの事でした。
上下の歯並びが悪いのですが、上の前歯4本だけの治療を希望されました。
1回目の治療時に仮歯をいれますのですぐに出っ歯ではなくなります。
症例写真
[オールセラミッククラウン2本]- この方は前歯2本が多くて出ているのを治したいという事でした。
詳細はコチラ
オールセラミッククラウン法による出っ歯治療の症例
[No.O-0108 / オールセラミッククラウン2本 / モニター]この方は前歯2本が多くて出ているのを治したいという事でした。
セラミック法は1回目に仮歯をいれますのですぐに出っ歯ではなくなります。
治療回数は5回でした。
症例写真
[スタンダードジルコニア8本]- この方は前歯が出ていて、下の前歯も歯並びが悪い状態でした。
詳細はコチラ
セラミック法による出っ歯治療の症例
[No.O-0107 / スタンダードジルコニア8本 / モニター]この方は前歯が出ていて、下の前歯も歯並びが悪い状態でした。
セラミック法で上下の前歯を同時に治しました。
1回目の治療時に仮歯をいれますのですぐに出ている歯が引っ込みます。
治療回数は5回でした。
症例写真
[スタンダードジルコニア4本]- この方は前歯がかなり出ていました。
詳細はコチラ
セラミック法による出っ歯治療の症例
[No.O-0106 / スタンダードジルコニア4本 / モニター]この方は前歯がかなり出ていました。
この様な状態でもセラミック法で出っ歯を改善する事は可能です。
1回目の治療時にかなりひっこめる事が出来ます。
治療回数は5回でした。
症例写真
[スタンダードジルコニア2本]- この方は前歯2本だけで出ている歯を引っ込めました。
詳細はコチラ
セラミック法による出っ歯治療の症例
[No.O-0105 / スタンダードジルコニア2本 / モニター]この方は前歯2本だけで出ている歯を引っ込めました。
元々の歯並びは歯が少しねじれていましたが、
セラミックの歯は引っ込めて、歯並び良く治す事が可能です。
症例写真
[オールセラミッククラウン4本]- この方は前歯2本が出ていました。
詳細はコチラ
オールセラミッククラウン法による出っ歯治療の症例
[No.O-0104 / オールセラミッククラウン4本 / モニター]この方は前歯2本が出ていました。
両隣の歯と重なっていましたので前歯4本の歯並び治療を行いました。
1回目の治療時に仮歯をいれますのですぐに出っ歯ではなくなります。
治療回数は4回でした。
症例写真
[オールセラミッククラウン4本]- この方は前歯がかなり前に出ていて、すきっ歯でした。
詳細はコチラ
オールセラミッククラウン法による出っ歯治療の症例
[No.O-0103 / オールセラミッククラウン4本 / モニター]この方は前歯がかなり前に出ていて、すきっ歯でした。
セラミック法は1回目の治療時に仮歯をいれますので
すぐに出っ歯ではなくなります。
仮歯を用いて、患者様のお好みの歯の形や長さ、傾きをデザイン致します。
治療回数は5回でした。
症例写真
[スタンダードジルコニア6本]- この方は前歯2本が長く、出ていました。
詳細はコチラ
セラミック法による出っ歯治療の症例
[No.O-0102 / スタンダードジルコニア6本 / モニター]この方は前歯2本が長く、出ていました。
治療後は歯が短くなり、引っ込めることが出来ました。
この様にセラミック法は歯を短くすることも可能です。
症例写真
[オールセラミッククラウン2本]- この方は前歯2本が長く、出ていました。
詳細はコチラ
オールセラミッククラウン法による出っ歯治療の症例
[No.O-0101 / オールセラミッククラウン2本 / モニター]この方は前歯2本が長く、出ていました。
歯の長さはセラミック法であればすぐに短くできます。
短くして、内側に入れ込んだセラミックの歯を被せる事で
整ったお口元になりました。
症例写真
[スタンダードジルコニア4本]- この方は前歯が出ていて、傾いてしまっていました。
詳細はコチラ
セラミック法による出っ歯治療の症例
[No.O-0100 / スタンダードジルコニア4本 / モニター]この方は前歯が出ていて、傾いてしまっていました。
歯もかなり長く大きい状態でした。
セラミック法で前歯4本だけ治療しました。
セラミック法は出っ歯を治すと同時に歯を小さくすることが可能です。
症例写真
[オールセラミッククラウン2本]- この方は前歯2本だけの出っ歯遅漏を希望されてご来院されました。
詳細はコチラ
オールセラミッククラウン法による出っ歯治療の症例
[No.O-0099 / オールセラミッククラウン2本 / モニター]この方は前歯2本だけの出っ歯遅漏を希望されてご来院されました。
他の歯の歯並びも悪い状態でしたが、ご予算の関係で2本だけ治療しました。
2本だけでもこのくらい改善します。
セラミック法は出来るだけ低価格に、気になる部分だけの治療が可能です。
症例写真
[オールセラミッククラウン4本]- この方は前歯2本が大きく、出ていました。
詳細はコチラ
オールセラミッククラウン法による出っ歯治療の症例
[No.O-0098 / オールセラミッククラウン4本 / モニター]この方は前歯2本が大きく、出ていました。 この2本は隣の歯と重なりもありましたので 前歯4本で治しました。 下の歯も歯並びが悪い状態でしたが セラミック法は気になる部分だけの治療が可能です。
症例写真
[オールセラミッククラウン2本]- この方は前歯2本が出ており、隙間もありました。
詳細はコチラ
オールセラミッククラウン法による出っ歯治療の症例
[No.O-0097 / オールセラミッククラウン2本 / モニター]この方は前歯2本が出ており、隙間もありました。 セラミック法はこの2本だけの治療で治す事が出来ます。 1回目の治療時に仮歯をいれますのですぐに見た目が気にならなくなります。 最終的に接着するセラミックはご自身の歯の色に合わせた白さにする事が可能です。
症例写真
[スタンダードジルコニア6本]- この方は前歯がねじれて出っ歯の状態でした。
詳細はコチラ
セラミック法による出っ歯治療の症例
[No.O-0096 / スタンダードジルコニア6本 / モニター]この方は前歯がねじれて出っ歯の状態でした。
また、歯の色もご自身の好きな白さにしたいという事でした。
セラミック法は歯並びも出っ歯も歯の色も同時に治す事が可能です。
この方は5回で治療完了しました。
症例写真
[スタンダードジルコニア2本]- この方は前歯2本が大きく、出ていました。
詳細はコチラ
セラミック法による出っ歯治療の症例
[No.O-0095 / スタンダードジルコニア2本 / モニター]この方は前歯2本が大きく、出ていました。
この方は前歯2本だけのセラミック法で治しました。
セラミック法は気になる部分だけの治療ですので
少ない回数で治せます。
この方は4回の通院で治しました。
症例写真
[オールセラミッククラウン7本]- この方は前歯が出っ歯で歯並びも悪い状態でした。
詳細はコチラ
オールセラミッククラウン法による出っ歯治療の症例
[No.O-0094 / オールセラミッククラウン7本 / モニター]この方は前歯が出っ歯で歯並びも悪い状態でした。
向かって左の八重歯は抜歯しました。
1回目の治療時に仮歯をいれますのですぐに出っ歯でなくなり
歯並びも整います。
治療回数は5回でした。
症例写真
[オールセラミッククラウン4本]- この方は前歯2本が出ていて、歯並びも悪い状態でした。
詳細はコチラ
オールセラミッククラウン法による出っ歯治療の症例
[No.O-0093 / オールセラミッククラウン4本 / モニター]この方は前歯2本が出ていて、歯並びも悪い状態でした。
八重歯もありますが、それは治したくないとの事でした。
セラミック法は気になる部分だけ治療できますのでこの方の様に
八重歯を残しつつ出っ歯を治すという事が可能です。
症例写真
[オールセラミッククラウン2本]- この方は前歯2本が大きく出ているのが気になるとの事でした。
詳細はコチラ
オールセラミッククラウン法による出っ歯治療の症例
[No.O-0092 / オールセラミッククラウン2本 / モニター]この方は前歯2本が大きく出ているのが気になるとの事でした。
セラミック法は歯を引っ込めるだけでなく、歯を短く小さくすることが可能です。
1回目の治療時に歯を小さく引っ込めることが可能です。
症例写真
[スタンダードジルコニア6本]- この方は前歯4本がかなり出た状態でした。
詳細はコチラ
セラミック法による出っ歯治療の症例
[No.O-0091 / スタンダードジルコニア6本 / モニター]この方は前歯4本がかなり出た状態でした。
セラミック法はこの様なかなり出ている状態でも1回目の治療から
引っ込めることが可能です。
1回目の治療時には仮歯を入れてひっこめます。
治療後は別人の様なお口元になりました。
症例写真
[オールセラミッククラウン2本]- この方は前歯2本だけで出っ歯治療を行いました。
詳細はコチラ
オールセラミッククラウン法による出っ歯治療の症例
[No.O-0090 / オールセラミッククラウン2本 / モニター]この方は前歯2本だけで出っ歯治療を行いました。
2本だけの治療でも前歯が目立たなくなりました。
歯の長さや形は周りの歯とのバランス、口元の印象を考慮して
デザインします。
歯の色もご自身の歯の色に合わせて作成致します。
症例写真
[オールセラミッククラウン2本]- この方は前歯2本だけをひっこめたいとの事でした。
詳細はコチラ
オールセラミッククラウン法による出っ歯治療の症例
[No.O-0089 / オールセラミッククラウン2本 / モニター]この方は前歯2本だけをひっこめたいとの事でした。
セラミック法は患者様が気になる部分だけの治療をすることが出来ます。
症例写真
[スタンダードジルコニア4本]- この方は前歯が長く大きいために出っ歯になってしまっていました。
詳細はコチラ
セラミック法による出っ歯治療の症例
[No.O-0088 / スタンダードジルコニア4本 / モニター]この方は前歯が長く大きいために出っ歯になってしまっていました。
セラミック法で歯を小さくし、引っ込めることですっきとしたお口元になりました。
セラミック法は1回目の治療時に仮歯を入れますのでその時点で歯の大きさが気にならなくなります。
症例写真
[スタンダードジルコニア4本]- この方は前歯が大きく少し出ているのを治したいとの事でした。
詳細はコチラ
セラミック法による出っ歯治療の症例
[No.O-0087 / スタンダードジルコニア4本 / モニター]この方は前歯が大きく少し出ているのを治したいとの事でした。
セラミック法は歯の長さを短くして、引っ込めることが可能です。
1回目の治療時に仮歯を入れますのですぐに歯を小さくできます。
症例写真
[スタンダードジルコニア6本]- この方は前歯がかなり前に出てしまっていました。
詳細はコチラ
セラミック法による出っ歯治療の症例
[No.O-0086 / スタンダードジルコニア6本 / モニター]この方は前歯がかなり前に出てしまっていました。
この前歯は抜歯し、両隣の歯を支えとしたブリッジで出っ歯を改善しました。
治療後の口元はまるで別人のようになりました。
症例写真
[スタンダードジルコニア4本]- この方はもともと差し歯が入っていましたが、大きく出ているのが気になるとの事でした。
詳細はコチラ
セラミック法による出っ歯治療の症例
[No.O-0085 / スタンダードジルコニア4本 / モニター]この方はもともと差し歯が入っていましたが、大きく出ているのが気になるとの事でした。
まず外して仮歯にします。仮歯を用いて歯の大きさや傾きをデザイン致します。
仮歯の形が決まったらその形をセラミックの歯に反映します。
当院のセラミックはこの様にしてデザインしますので
最終的な形が気にいらない、という事にはなりません。
症例写真
[オールセラミッククラウン4本、スタンダードジルコニア6本]- この方は前歯が出ているのが気になるとの事でした。
詳細はコチラ
オールセラミッククラウン法、セラミック法による出っ歯治療の症例
[No.O-0084 / オールセラミッククラウン4本、スタンダードジルコニア6本 / モニター]この方は前歯が出ているのが気になるとの事でした。
歯の長さも短くしたいとの事でしたのでご自身の歯よりも短い歯にしたセラミックの歯を被せました。
下の前歯も歯並びが悪かったので出っ歯治療と一緒に治しました。
症例写真
[オールセラミッククラウン2本]- この方は前歯2本だけが出ていて、ねじれている状態でした。
詳細はコチラ
オールセラミッククラウン法による出っ歯治療の症例
[No.O-0083 / オールセラミッククラウン2本 / モニター]この方は前歯2本だけが出ていて、ねじれている状態でした。
前歯2本だけの治療ですが、お口元が整って満足いただけました。
セラミック法は気になる部分だけの治療ですので4回で終了しました。
症例写真
[オールセラミッククラウン4本]- この方は前歯が長くて少し出ているのが気になるとの事でした。
詳細はコチラ
オールセラミッククラウン法による出っ歯治療の症例
[No.O-0082 / オールセラミッククラウン4本 / モニター]この方は前歯が長くて少し出ているのが気になるとの事でした。
歯を短くするにはセラミック法での治療が最適です。
前歯4本を引っ込めて、短くすることで大変ご満足いただけました。
症例写真
[スタンダードジルコニア2本]- この方は前歯が少し出ていて長いのを治したいとの事でした。
詳細はコチラ
セラミック法による出っ歯治療の症例
[No.O-0081 / スタンダードジルコニア2本 / モニター]この方は前歯が少し出ていて長いのを治したいとの事でした。
前歯2本を短くして少し引っ込めるだけで前歯が目立たなくなりました。
セラミックの歯は変色や着色がありませんので、ずっときれいな状態を保てます。
症例写真
[オールセラミッククラウン2本]- この方は前歯2本がねじれて、出ていました。
詳細はコチラ
オールセラミッククラウン法による出っ歯治療の症例
[No.O-0080 / オールセラミッククラウン2本 / モニター]この方は前歯2本がねじれて、出ていました。
2本だけの治療ですが、治療後のお口元は別人のようになりました。
セラミック法は気になる2本だけの治療が可能です。
症例写真
[オールセラミッククラウン2本]- この方は前歯2本だけが出ていました。
詳細はコチラ
オールセラミッククラウン法による出っ歯治療の症例
[No.O-0079 / オールセラミッククラウン2本 / モニター]この方は前歯2本だけが出ていました。セラミック法でこの2本だけ引っ込める治療を行いました。
1回目の治療時に仮歯をいれますのですぐに出っ歯ではなくなります。
治療回数は5回でした。
症例写真
[セラミック法4本]- この方は前歯4本が出ていて、歯並びも悪い状態でした。
詳細はコチラ
セラミック法による出っ歯治療の症例
[No.O-0078 / セラミック法4本 / モニター]この方は前歯4本が出ていて、歯並びも悪い状態でした。
セラミック法は気になる歯だけの治療です。
1回目の治療時に仮歯をいれますのですぐに歯が引っ込みます。
最終的なセラミックが入るまでは4回の治療でした。
症例写真
[オールセラミッククラウン法8本]- この方は前歯が前に出ていて下の歯並びもガタガタしていました。
詳細はコチラ
オールセラミッククラウン法による出っ歯治療の症例
[No.O-0077 / オールセラミッククラウン法8本 / モニター]この方は前歯が前に出ていて下の歯並びもガタガタしていました。
セラミック法は歯並びも出っ歯も同時に治す事が可能です。
治療後はきれいになっただけでなく口を閉じやすくなったとの事で
大変ご満足頂けました。
症例写真
[セラミック法2本]- この方は前歯2本が大きく目立っていました。
詳細はコチラ
セラミック法による出っ歯治療の症例
[No.O-0076 / セラミック法2本 / モニター]この方は前歯2本が大きく目立っていました。
この2本だけ引っ込めて、歯の長さを短くするだけでも
治療後は目立たなくなりました。
セラミック法は気になる部分だけの治療が可能です。
症例写真
[オールセラミッククラウン法4本]- この方は前歯2本が前に出ていました。
詳細はコチラ
オールセラミッククラウン法による出っ歯治療の症例
[No.O-0075 / オールセラミッククラウン法4本 / モニター]この方は前歯2本が前に出ていました。
出ている歯の隣の歯も長く、形が細いため目立っていました。
セラミック法はこの症例のように気になる部分だけの治療で出っ歯を改善する事が可能です。
症例写真
[オールセラミッククラウン法2本]- この方は前歯2本だけの治療で出っ歯を治しました。
詳細はコチラ
オールセラミッククラウン法による出っ歯治療の症例
[No.O-0074 / オールセラミッククラウン法2本 / モニター]この方は前歯2本だけの治療で出っ歯を治しました。
前歯2本が長く大きいために目立ってしまっていました。
セラミック法は歯の大きさを小さくすることが可能です。
症例写真
[スタンダードジルコニア3本]- この方は前歯2本が大きく、出ていました。
詳細はコチラ
セラミック法による出っ歯治療の症例
[No.O-0073 / スタンダードジルコニア3本 / モニター]この方は前歯2本が大きく、出ていました。
2番目の歯との重なりがあったので、前歯3本治しました。
セラミック法は歯が大きい場合でも歯を小さくすることが出来ます。
気になる部分だけの治療ですので少ない回数で終わります。
症例写真
[オールセラミッククラウン8本]- この方は前歯が出ていて、歯並びも悪い状態でした。
詳細はコチラ
オールセラミッククラウン法による出っ歯治療の症例
[No.O-0072 / オールセラミッククラウン8本 / モニター]この方は前歯が出ていて、歯並びも悪い状態でした。
1回目の治療時に歯が引っ込み、歯並びが整った仮歯を入れます。
治療回数は5回でした。
症例写真
[スタンダードジルコニア4本]- この方は前歯4本が大きく、前に出てしまっていました。
詳細はコチラ
セラミック法による出っ歯治療の症例
[No.O-0071 / スタンダードジルコニア4本 / モニター]この方は前歯4本が大きく、前に出てしまっていました。
セラミック法は歯の長さも短くしながら、引っ込めることが可能です。
1回目の治療時に仮歯を入れますのですぐに歯が短く、引っ込みます。
セラミックが入るまでは4回の通院でした。
症例写真
[セラミック法2本]- この方は前歯2本が大きく、出っ歯の状態でした。
詳細はコチラ
セラミック法による出っ歯治療の症例
[No.O-0070 / セラミック法2本 / モニター]この方は前歯2本が大きく、出っ歯の状態でした。
この出ている大きな歯を2本治療するだけでも随分印象が変わります。
セラミック法は歯を引っ込めるだけでなく、歯の大きさを小さくすることも可能です。
治療回数は4回でした。
症例写真
[スタンダードジルコニア4本]- この方は前歯が大きく長く出っ歯になっていました。
詳細はコチラ
セラミック法による出っ歯治療の症例
[No.O-0069 / スタンダードジルコニア4本 / モニター]この方は前歯が大きく長く出っ歯になっていました。
1回目の治療時に仮歯を入れますのですぐに出っ歯でなくなります。
セラミック法は出っ歯を治すと同時に歯を小さくする事が可能です。
症例写真
[オールセラミッククラウン法2本]- この方は前歯2本が長く、向かって左の歯が飛び出てしまっていました。
詳細はコチラ
オールセラミッククラウン法による出っ歯治療の症例
[No.O-0068 / オールセラミッククラウン法2本 / モニター]この方は前歯2本が長く、向かって左の歯が飛び出てしまっていました。
セラミック法は気になる前歯2本だけでも治せます。
(隣の歯との重なりがない場合)
1回目の治療時に仮歯を入れますのですぐに出ている部分もなくなります。
治療回数は4回でした。
症例写真
[セラミック法12本]- この方は前歯が著しく出っ歯でした。
詳細はコチラ
セラミック法による出っ歯治療の症例
[No.O-0067 / セラミック法12本 / モニター]この方は前歯が著しく出っ歯でした。
歯茎から出ているので、出ている前歯2本を抜歯し、骨を引っ込める処置を行いました。
その後、両隣の歯を用いてブリッジをしました。
1回目の治療時に仮歯を入れますのですぐに出っ歯ではなくなります。
症例写真
[セラミック法6本・歯槽骨整形術]- この方は前歯が歯茎から出ていました。
詳細はコチラ
セラミック法による出っ歯治療の症例
[No.O-0066 / セラミック法6本・歯槽骨整形術 / モニター]この方は前歯が歯茎から出ていました。
また、歯並びも悪い状態でした。
歯茎の骨が出ている場合はセラミック法と歯槽骨整形術を併用します。
これは出ている部分の骨を削ってひっこめる方法です。
当院ではご状態やご希望に応じた出っ歯治療をしております。
症例写真
[オールセラミッククラウン法4本]- この方は前歯2本が出ていて歯並びも悪い状態でした。
詳細はコチラ
オールセラミッククラウン法による出っ歯治療の症例
[No.O-0065 / オールセラミッククラウン法4本 / モニター]この方は前歯2本が出ていて歯並びも悪い状態でした。
前歯2本はとても長く大きいので歯のサイズも小さく整えました。
1回目の治療時に仮歯を入れますのですぐに出っ歯でなくなり、歯並びも整います。
症例写真
[オールセラミッククラウン法2本]- この方は前歯2本がすきっ歯で出っ歯の状態でした。
詳細はコチラ
オールセラミッククラウン法による出っ歯治療の症例
[No.O-0064 / オールセラミッククラウン法2本 / モニター]この方は前歯2本がすきっ歯で出っ歯の状態でした。
セラミック法で前歯2本だけ引っ込めて隙間を閉じました。
セラミック法は1回で治療時には隙間がなくなり歯が引っ込みます。
治療回数は4回でした。
症例写真
[オールセラミッククラウン法2本]- この方は前歯が出ていました。
詳細はコチラ
オールセラミッククラウン法による出っ歯治療の症例
[No.O-0063 / オールセラミッククラウン法2本 / モニター]この方は前歯が出ていました。
前歯2本だけをセラミック法で治療する事ですぐに出っ歯ではなくなりました。
症例写真
[オールセラミッククラウン法2本]- この方は前歯2本だけが出てしまっていました。
詳細はコチラ
オールセラミッククラウン法による出っ歯治療の症例
[No.O-0062 / オールセラミッククラウン法2本 / モニター]この方は前歯2本だけが出てしまっていました。
セラミック法での出っ歯治療は気になる歯だけの治療で出っ歯が治せます。
症例写真
[オールセラミッククラウン法2本]- この方は前歯2本だけをひっこめたいとの事でご来院されました。
詳細はコチラ
オールセラミッククラウン法、歯槽骨形成による出っ歯治療の症例
[No.O-0061 / オールセラミッククラウン法2本 / モニター]この方は前歯2本だけをひっこめたいとの事でご来院されました。
前歯1本は保険治療の差し歯が入っていましたが黄ばんでしまっていたので
それも出っ歯治療と一緒に治しました。
症例写真
[セラミック法6本、歯槽骨形成]- この方は永久歯が生える時期も指しゃぶりをしていたために 上の前歯がかなり出っ歯になってし
詳細はコチラ
セラミック法、歯槽骨形成による出っ歯治療の症例
[No.O-0060 / セラミック法6本、歯槽骨形成 / モニター]この方は永久歯が生える時期も指しゃぶりをしていたために
上の前歯がかなり出っ歯になってしまっていました。
ここまで出っ歯の方をセラミック法で治す場合は
出ている2本の歯を抜歯し、両隣の歯を用いてブリッジにして治します。
1回目の治療時に仮歯を入れます。その時点では出っ歯ではなくなります。
歯茎のラインも不ぞろいでしたので歯茎を切ってラインをそろえる処置も行いました。
症例写真
[オールセラミッククラウン法4本]- この方は前歯が出っ歯で歯がねじれていたり歯並びも悪かった方です。
詳細はコチラ
オールセラミッククラウン法による出っ歯治療の症例
[No.O-0059 / オールセラミッククラウン法4本 / モニター]この方は前歯が出っ歯で歯がねじれていたり歯並びも悪かった方です。
セラミック法で上の前歯4本を引っ込めました。
下の歯の歯並びも悪いのですがセラミック法でしたら部分的な治療が可能です。
症例写真
[オールセラミッククラウン法4本]- この方は前歯2本がかなり前方に向かって出てしまっていました。
詳細はコチラ
オールセラミッククラウン法による出っ歯治療の症例
[No.O-0058 / オールセラミッククラウン法4本 / モニター]この方は前歯2本がかなり前方に向かって出てしまっていました。
この状態ですと出ている歯の隣の歯も一緒に治さないと
前歯2本をひっこめる事ができません。
1回目の治療時に内側にひっこめた状態の仮歯を入れます。
仮歯を用いて患者様のご要望に応じて
最終的なセラミックの歯の長さや出具合をデザインします。
症例写真
[セラミック法6本]- この方は前歯の歯並びもねじれた状態の出っ歯でした。
詳細はコチラ
セラミック法による出っ歯治療の症例
[No.O-0057 / セラミック法6本 / モニター]この方は前歯の歯並びもねじれた状態の出っ歯でした。
歯並びも悪かったので前歯6本治療しました。
セラミック法は短期間で出っ歯も歯並びも同時に治せます。
治療回数は5回でした。
症例写真
[オールセラミッククラウン4本]- この方は出っ歯で歯並びも悪い状態でした。
詳細はコチラ
オールセラミッククラウン法による出っ歯治療の症例
[No.O-0056 / オールセラミッククラウン4本 / モニター]この方は出っ歯で歯並びも悪い状態でした。
出ている前歯4本だけの治療で出っ歯も歯並びも治す事ができました。
1回目の治療時には仮歯にするのですぐに出っ歯ではなくなります。
症例写真
[オールセラミッククラウン6本]- この方は前歯が大きく、ねじれて出ているのが気になるとの事でした、 セラミック法は歯をひっ
詳細はコチラ
オールセラミッククラウン法による出っ歯治療の症例
[No.O-0055 / オールセラミッククラウン6本 / モニター]この方は前歯が大きく、ねじれて出ているのが気になるとの事でした、
セラミック法は歯をひっこめるだけでなく歯の大きさも小さくすることが可能です。
歯の色もご自身のお好みの白さにすることが出来ます。
セラミックの歯は着色、変色をしませんのでずっときれいな状態を保てます。
症例写真
[オールセラミッククラウン4本]- この方は前歯が出てしまっていて 向かって右側の歯は抜けてしまっていました。
詳細はコチラ
オールセラミッククラウン法による出っ歯治療の症例
[No.O-0054 / オールセラミッククラウン4本 / モニター]この方は前歯が出てしまっていて
向かって右側の歯は抜けてしまっていました。
仮歯がボンドでつけられていましたが見た目に支障が出ていました。
1回目の治療時にきれいに仮歯を入れますので
すぐに前歯は引っ込みますし、見た目が改善します。
ご自身の歯はホワイトニングしてきれいな色になってから
最終的なセラミックの歯をおつくりしますので
より美しいお口元になりました。
症例写真
[セラミック法6本]- この方は前歯が歯茎から出っ歯になっていて 歯並びもかなり悪い状態でした。
詳細はコチラ
セラミック法による出っ歯治療の症例
[No.O-0053 / セラミック法6本 / モニター]この方は前歯が歯茎から出っ歯になっていて
歯並びもかなり悪い状態でした。
セラミック法でしたら1回目の治療時に仮歯を入れますのでその時点で出っ歯も歯並びも整います。
最終的にはかなり前歯をひっこめる事ができました。
症例写真
[オールセラミッククラウン4本、スタンダードジルコニア4本]- この方は前歯2本が長く、少し出ているのが気になるとの事でした。
詳細はコチラ
オールセラミッククラウン法、セラミック法による出っ歯治療の症例
[No.O-0052 / オールセラミッククラウン4本、スタンダードジルコニア4本 / モニター]この方は前歯2本が長く、少し出ているのが気になるとの事でした。
前歯2本は歯と歯の間が虫歯になっていて中で広がっています。
少し黒く見えるのは中で虫歯が広がっているからです。
この方のように穴がなくても虫歯が中で広がっている事は少なくありません。
また、前歯の隣の歯は虫歯治療部分が変色してしまっていました。
当院では仮歯を用いて患者様のお好みの歯の長さ、形をデザインし、最終的に被せるセラミックを作り上げていきます。
ですからセラミックの長さや形などお好みの状態にすることが可能です。
症例写真
[オールセラミッククラウン2本]- この方は上の前歯の出っ歯だけ治したいという希望でご来院されました。
詳細はコチラ
オールセラミッククラウン法による出っ歯治療の症例
[No.O-0051 / オールセラミッククラウン2本 / モニター]この方は上の前歯の出っ歯だけ治したいという希望でご来院されました。
八重歯がありますがそれは治療希望されませんでした。
セラミック法はこのようにご希望の歯だけ治す事が可能です。
症例写真
[オールセラミッククラウン4本]- この方は前歯が出っ歯で1本は欠けてしまっていました。
詳細はコチラ
オールセラミッククラウンによる出っ歯治療の症例
[No.O-0050 / オールセラミッククラウン4本 / モニター]この方は前歯が出っ歯で1本は欠けてしまっていました。
セラミック法でしたら出っ歯治療と同時に欠けた歯の形もきれいに治せます。
1回目の治療時には出っ歯ではなくなります。
症例写真
[セラミック法6本]- この方は前歯2本が歯茎ごと出っ歯になった状態でした。
詳細はコチラ
セラミック法による出っ歯治療の症例
[No.O-0049 / セラミック法6本 / モニター]この方は前歯2本が歯茎ごと出っ歯になった状態でした。
骨がかなり出ていますので骨を削って引っ込める処置も併用致しました。
また歯が短いのも治したいという事で歯槽骨整形術で歯を上方にあげる事で歯を長くしました。
症例写真
[オールセラミッククラウン2本]- この方は前歯2本が大きく前に出ているのを治したいとご来院されました。
詳細はコチラ
オールセラミッククラウン法による出っ歯治療の症例
[No.O-0048 / オールセラミッククラウン2本 / モニター]この方は前歯2本が大きく前に出ているのを治したいとご来院されました。
本来でしたら前歯4本治療したほうが出っ歯も歯並びもよりきれいになるのですが
ご予算の関係で2本だけの治療をご希望されました。
当院ではこの方のようにご予算に応じた治療をしております。
前歯2本が引っ込むだけでもかなりご満足いただけました。
症例写真
[セラミック法4本]- この方は前歯2本が出ているのと、すきっ歯を治したいとご来院されました。
詳細はコチラ
セラミック法による出っ歯治療の症例
[No.O-0047 / セラミック法4本 / モニター]この方は前歯2本が出ているのと、すきっ歯を治したいとご来院されました。
前歯2本は元々出っ歯でしたが、徐々に出てきて隣の歯との間に隙間ができてしまったそうです。
セラミック法は1回目の治療時に出っ歯が改善し
隙間もなくなりますのですぐに見た目が気にならなくなります。
症例写真
[オールセラミッククラウン6本]- この方は前歯を引っ込めて小さくしたいとういうご希望でした。
詳細はコチラ
オールセラミッククラウン法による出っ歯治療の症例
[No.O-0046 / オールセラミッククラウン6本 / モニター]この方は前歯を引っ込めて小さくしたいとういうご希望でした。
前歯6本をオールセラミック法で治しました。
歯の色は元の色よりも白くしたいというご希望でした。
セラミックの歯はご自身のお好みの白さにできるというメリットもあります。
症例写真
[オールセラミッククラウン2本]- この方は前歯2本だけ出ているのが気になるという事でした。
詳細はコチラ
オールセラミッククラウン法による出っ歯治療の症例
[No.O-0045 / オールセラミッククラウン2本 / モニター]この方は前歯2本だけ出ているのが気になるという事でした。
セラミック法は1回目の治療時に出っ歯が引っ込みます。
症例写真
[オールセラミッククラウン2本]- この方は出っ歯とすきっ歯の状態でした。
詳細はコチラ
オールセラミッククラウン法による出っ歯治療の症例
[No.O-0044 / オールセラミッククラウン2本 / モニター]この方は出っ歯とすきっ歯の状態でした。
セラミック法は出っ歯もすきっ歯も同時に治す事が可能です。
前歯2本だけの治療でもご満足頂けました。
症例写真
[オールセラミッククラウン2本]- この方は前歯が少し出ていて、大きいという事を気にされてご来院されました。
詳細はコチラ
オールセラミッククラウン法による出っ歯治療の症例
[No.O-0043 / オールセラミッククラウン2本 / モニター]この方は前歯が少し出ていて、大きいという事を気にされてご来院されました。
他の歯に比べて前歯2本だけ長く出ていますので短くひっこめたセラミックの歯を
被せて治しました。
症例写真
[オールセラミッククラウン4本]- この方は前歯2本がかなり出ていて、隣の歯と隙間もできてしまっていました。
詳細はコチラ
オールセラミッククラウン法による出っ歯治療の症例
[No.O-0042 / オールセラミッククラウン4本 / モニター]この方は前歯2本がかなり出ていて、隣の歯と隙間もできてしまっていました。
セラミック法で前歯4本治療しました。
治療後は唇を閉じやすくなったという事です。
症例写真
[セラミック法2本]- この方は前歯2本が大きく少し出ているのが気になるとの事でした。
詳細はコチラ
スタンダードジルコニアクラウン法による出っ歯治療の症例
[No.O-0041 / セラミック法2本 / モニター]この方は前歯2本が大きく少し出ているのが気になるとの事でした。
前歯2本だけセラミック法で短くしました。
他の歯は黄ばみがありましたのでホワイトニングを行いましたので
白く透明感のある歯になりました。
症例写真
[オールセラミッククラウン4本]- この方は上の歯が大きくて、出っ歯になっている 状態を治したいとご来院されました。
詳細はコチラ
オールセラミッククラウン法による出っ歯治療の症例
[No.O-0040 / オールセラミッククラウン4本 / モニター]この方は上の歯が大きくて、出っ歯になっている
状態を治したいとご来院されました。
下の歯並びも悪いのですがご予算の関係で
上の歯だけの治療を希望されました。
セラミック法は全部の歯を治すのではなく
ご希望された部分だけの治療が可能です。
治療後は歯の大きさも小さくなり、出っ歯も解消されました。
症例写真
[オールセラミッククラウン6本]- この方は出っ歯を短期間で治療したいとご来院された患者様です。
詳細はコチラ
オールセラミッククラウン法による出っ歯治療の症例
[No.O-0039 / オールセラミッククラウン6本 / モニター]この方は出っ歯を短期間で治療したいとご来院された患者様です。
セラミック法でしたら1回目の治療時に出っ歯でなくなります。
セラミック法は短期間で治したい方にお勧めな治療です。
症例写真
[セラミック法8本]- この方は前歯が全体的に出ていました。
詳細はコチラ
セラミック法による出っ歯治療の症例
[No.O-0038 / セラミック法8本 / モニター]この方は前歯が全体的に出ていました。
左側の前歯はぐらぐらで歯周病でしたので抜歯をしました。
抜歯と同時に仮歯を入れますので1回目の治療時に歯が引っ込みます。
治療後のお口元は術前とは比べ物にならなくらいきれいになりました。
症例写真
[セラミック法4本]- この方は前歯の出っ歯を気にされてご来院されました。
詳細はコチラ
スタンダードジルコニアクラウン法による出っ歯治療の症例
[No.O-0037 / セラミック法4本 / モニター]この方は前歯の出っ歯を気にされてご来院されました。
治療前は歯が出ているためにくちを閉じにくかったですが、
治療後は歯が引っ込んだため口が閉じられるようになりました。
症例写真
[オールセラミッククラウン4本]- この方は前歯が2本飛び出して歯並びも不揃いでした。
詳細はコチラ
オールセラミッククラウン法による出っ歯治療の症例
[No.O-0036 / オールセラミッククラウン4本 / モニター]この方は前歯が2本飛び出して歯並びも不揃いでした。
当院はまず内側に入れた仮歯を入れますのですぐに出っ歯ではなくなります。
仮歯を用いて、患者様のご要望を伺いながら最終的に被せるセラミックの出具合や長さ、形をデザインします。
治療回数は4回でした
症例写真
[セラミッククラウン法4本]- この方は前歯の歯並びが不揃いで出ているのを治したいとご来院されました。
詳細はコチラ
セラミッククラウン法による出っ歯治療の症例
[No.O-0035 / セラミッククラウン法4本 / モニター]この方は前歯の歯並びが不揃いで出ているのを治したいとご来院されました。
治療は前歯4本のみ行っております。
セラミック法は気になる部分だけの治療で出っ歯を治すことが可能です。
治療回数は4回でした。
症例写真
[セラミッククラウン法2本]- この方は前歯2本が前に出ているのを治したいとご来院されました。
詳細はコチラ
セラミッククラウン法による出っ歯治療の症例
[No.O-0034 / セラミッククラウン法2本 / モニター]この方は前歯2本が前に出ているのを治したいとご来院されました。
セラミック法は全部の歯を治すのでなく、気になる2本だけ引っ込めることが出来ます。
全体的に治療をする歯列矯正と比較すると低価格で治すことが可能です。
治療回数は4回でした。
症例写真
[セラミッククラウン法7本]- この方は出っ歯治療を希望されてご来院しました. 短期的で虫歯も一緒に治したいというご希望
詳細はコチラ
セラミッククラウン法による出っ歯治療の症例
[No.O-0033 / セラミッククラウン法7本 / モニター]この方は出っ歯治療を希望されてご来院しました.
短期的で虫歯も一緒に治したいというご希望でしたのでセラミック法での治療を行いました。
セラミック法はこの方のように虫歯治療と一緒に出っ歯も治せます。
1回目の治療時に仮歯を入れますのですぐに出っ歯ではなくなります。
症例写真
[セラミッククラウン法4本]- この方は前歯2本が大きく、前に出てしまっていました。
詳細はコチラ
セラミッククラウン法による出っ歯治療の症例
[No.O-0032 / セラミッククラウン法4本 / モニター]この方は前歯2本が大きく、前に出てしまっていました。
この2本をきれいに引っ込めるには重なっている隣の歯と下の前歯3本の治療も必要でした。
出ている上の歯に合わせて下の歯も前に傾いて出てしまっていたのです。
ですから上の歯4本、下の歯3本の治療を行いました。
1回目の治療時に仮歯を入れますのですぐに出っ歯でなくなり、歯も小さくなります。
治療回数は5回でした。
症例写真
[オールセラミッククラウン6本]- この方は歯が前に傾斜して生えているために出っ歯になってしまっていました。
詳細はコチラ
オールセラミッククラウン法による出っ歯治療の症例
[No.O-0031 / オールセラミッククラウン6本 / モニター]この方は歯が前に傾斜して生えているために出っ歯になってしまっていました。
セラミック法で出っ歯治療を行いました。
1回目の治療の際に引っ込めた状態の仮歯を入れますのでその時点で出っ歯が解消されます。
歯の隙間もありましたがきれいに治っています。
症例写真
[オールセラミッククラウン3本]- この方は前歯2本が仮歯の状態でした。
詳細はコチラ
オールセラミッククラウン法による出っ歯治療の症例
[No.O-0030 / オールセラミッククラウン3本 / モニター]この方は前歯2本が仮歯の状態でした。
1本は歯周病で抜けてしまっていましたので
ブリッジという方法で治しました。
1回目の治療時に出っ歯になった
仮歯を外してきれいな仮歯にします。
その後、個々の歯の治療をした後、
セラミックをかぶせて治療完了しました。
回数は4回でした。
症例写真
[スタンダードジルコニア4本]- この方は前歯2本がかなり前にでて生えてしまっていた方です。
詳細はコチラ
スタンダードジルコニアクラウン法による出っ歯治療
[No.O-0029 / スタンダードジルコニア4本 / モニター]
この方は前歯2本がかなり前にでて生えてしまっていた方です。
セラミック法は1回目の治療時に仮歯を入れますので、その時点で出っ歯ではなくなります。
歯の長さや形を仮歯を用いてデザインします。
お好みの長さや形をセラミックの歯に反映させる事が出来ます。
治療回数は5回でした。
症例写真
[スタンダードジルコニア4本]- この方は前歯4本が長く、出っ歯なのが気になってご来院されました。
詳細はコチラ
スタンダードジルコニアクラウン法による出っ歯治療
[No.O-0028 / スタンダードジルコニア4本 / モニター]この方は前歯4本が長く、出っ歯なのが気になってご来院されました。
セラミック法は出っ歯を引っ込めるだけではなく、歯の長さも短くすることが出来ます。
1回目の治療時には歯が引っ込み、短い歯にする事が可能です。
治療回数は4回でした。
症例写真
[オールセラミッククラウン3本]- この方は前歯2本が出ていて欠けているのを治したい、とご来院されました。
詳細はコチラ
オールセラミッククラウン法による出っ歯治療
[No.O-0027 / オールセラミッククラウン3本 / モニター]この方は前歯2本が出ていて欠けているのを治したい、とご来院されました。
治療は前歯2本とその横のねじれている歯の3本を治しました。
治療後の口元は別人の様になりました。
セラミック法での歯並び治療は1回目の治療後には出っ歯でなくなります。
気になる部分だけの治療ですので4回程度で治療が終わります。
症例写真
[オールセラミッククラウン法4本]- この方は前歯が大きく出てしまっているのを治したいとご来院されました。
詳細はコチラ
オールセラミッククラウン法による出っ歯治療
[No.O-0026 / オールセラミッククラウン法4本 / モニター]この方は前歯が大きく出てしまっているのを治したいとご来院されました。
セラミック法は歯の大きさを小さくすることもできます。
1回目の治療時に仮歯を入れますのですぐに歯が小さくなり、出っ歯でもなくなります。
セラミック法は短期間で歯並びも出っ歯も同時にきれいにする事が可能です。
症例写真
[スタンダードジルコニアクラウン法6本]- この方は歯周病のために徐々に出っ歯になってしまっている方です。
詳細はコチラ
スタンダードジルコニアクラウン法による出っ歯治療
[No.O-0025 / スタンダードジルコニアクラウン法6本 / モニター]この方は歯周病のために徐々に出っ歯になってしまっている方です。
歯周病がありましたので、治療前は歯茎が下がってしまっています。
そのせいで歯と歯茎の隙間が目立っていました。
当院のセラミック法は出っ歯も歯と歯茎の隙間も治せます。
1回目の治療時に仮歯を入れますのですぐに隙間も出っ歯も治せます。
症例写真
[オールセラミッククラウン4本]- この方は前歯が出ている状態が気になってご来院されました。
詳細はコチラ
オールセラミッククラウンによる出っ歯治療の症例
[No.O-0024 / オールセラミッククラウン4本 / モニター]この方は前歯が出ている状態が気になってご来院されました。
出っ歯の状態なうえに、歯並びも悪かったので出っ歯、歯並び治療を同時に行いました。
セラミック法は出っ歯も歯並びも一緒に治せます。
1回目の治療時には出っ歯ではなくなり、歯並びも整います。
セラミックの歯が完成して治療終了までの回数は5回でした。
症例写真
[オールセラミッククラウン4本]- この方は前歯が出っ歯のせいで、唇を閉じても歯が出てしまう状態でした。
詳細はコチラ
オールセラミッククラウン法による出っ歯治療の症例写真
[No.O-0023 / オールセラミッククラウン4本 / モニター]この方は前歯が出っ歯のせいで、唇を閉じても歯が出てしまう状態でした。 セラミック法は1回目の治療時に歯の表面を削り内側に入れ込んだ仮歯を入れます。 そのため初回で出っ歯が改善します。その後歯の形や長さをデザインし、セラミック の歯に置き換えます。
回数は4回で終了しました。
オールセラミッククラウンは透明感が高く自分の歯のような質感を再現できます。
症例写真
[オールセラミッククラウン4本]- この方は前歯が出ているのが気になるとご来院されました。
詳細はコチラ
オールセラミッククラウン法による出っ歯治療の症例写真
[No.O-0022 / オールセラミッククラウン4本 / モニター]この方は前歯が出ているのが気になるとご来院されました。 極端な出っ歯ではありませんが、歯のねじれもあり前歯が目立ってしまっていまし た。 この様に、すごく出っ歯ではないけれど短期間で少しひっこめたいという方にもセラ ミック法はおすすめです。
症例写真
[オールセラミッククラウン法 2本]- この方は前歯2本が前に傾斜しているために出っ歯になっていた方です。
詳細はコチラ
オールセラミッククラウン法による出っ歯治療の症例写真
[No.O-0020 / オールセラミッククラウン法 2本 / モニター]この方は前歯2本が前に傾斜しているために出っ歯になっていた方です。
セラミック法で内側に入れると同時に歯の長さも短くしました。
前歯2本のみの治療で治す事が出来ました。
症例写真
[オールセラミッククラウン法・ホームホワイトニング]- この方は前歯4本が出ていました。
詳細はコチラ
オールセラミッククラウン法による出っ歯治療の症例写真
[No.O-0021 / オールセラミッククラウン法・ホームホワイトニング / モニター]この方は前歯4本が出ていました。
歯の長さも長く、出っ歯が余計目立ってしまっていました。
治療期間中にホワイトニングもしていますので白くきれいなセラミックを入れることができました。
この様にセラミック法はホワイトニングと一緒にして頂くとより美しい仕上がりになります。
セラミックは治療後に変色しませんので、きれいな状態が長期間保てます。
症例写真
[オールセラミッククラウン法 上5本]- この方は上前歯2本が大きくて、前に出てしまっています。
詳細はコチラ
オールセラミッククラウン法による出っ歯治療の症例写真
[No.O-0019 / オールセラミッククラウン法 上5本 / モニター]この方は上前歯2本が大きくて、前に出てしまっています。
1回目の治療時には仮歯を入れますので、すぐに歯並びが整い出っ歯ではなくなります。
最終的には元々の歯より内側に引っ込んで、短いセラミックを被せて治療終了です。
歯並びも整って、きれいなお口元になりました。
症例写真
[オールセラミッククラウン法 上6本]- この方は前歯の隙間と出っ歯治療を希望されてご来院されました。
詳細はコチラ
オールセラミッククラウン法による出っ歯治療の症例写真
[No.O-0018 / オールセラミッククラウン法 上6本 / モニター]この方は前歯の隙間と出っ歯治療を希望されてご来院されました。
セラミック法は出っ歯もすきっ歯も同時に治せます。
1回目の治療時には仮歯を入れますのでその時点で隙間が無くなり、出っ歯でも無くなります。
治療回数は5回でした。
症例写真
[スタンダードジルコニアクラウン法 上6本]- この方は著しい出っ歯の方です。
詳細はコチラ
スタンダードジルコニアクラウン法による出っ歯治療の症例写真
[No.O-0017 / スタンダードジルコニアクラウン法 上6本 / モニター]この方は著しい出っ歯の方です。
このくらい出っ歯の場合は1番目の歯を抜歯した方が
より内側に入れ込む事ができますが
患者様のご希望で抜歯せずに出っ歯治療を行いました。
1回目の治療時に仮歯を入れますので、
その時点では出っ歯ではなくなります。
治療後の横顔では口元がかなり改善しています。
この方は歯科治療恐怖症との事でしたので、
無痛麻酔で治療をしました。
治療回数は4回でした。
症例写真
[スタンダードジルコニアクラウン上4本]- この方は出っ歯と虫歯治療を希望されてご来院した方です。
詳細はコチラ
スタンダードジルコニアクラウン法による出っ歯と虫歯治療の症例写真
[No.O-0016 / スタンダードジルコニアクラウン上4本 / モニター]この方は出っ歯と虫歯治療を希望されてご来院した方です。
前歯が虫歯で2本欠けてしまっているので、早急に仮歯を入れて見た目を回復しました。
仮歯は内側に入れ込んだ状態で作りますので、初回には出っ歯ではなくなります。
その後、根の治療を行い、土台をたててからセラミックの歯を被せて治療終了です。
この写真の様に根だけ状態になってしまっている歯でも、根の部分がある程度しっかりしていれば歯を被せる事は可能です。
治療終了までは5回でした。
症例写真
[オールセラミッククラウン 上9本 下10本]- この方は上下の出っ歯と歯並び治療を希望されてご来院されました。
詳細はコチラ
オールセラミッククラウン法による出っ歯と歯並び治療の症例写真
[No.O-0015 / オールセラミッククラウン 上9本 下10本 / モニター]この方は上下の出っ歯と歯並び治療を希望されてご来院されました。
上下前歯が出っ歯の状態でしたので、
上下とも内側に入れ込んだ状態のセラミックを被せて治しました。
セラミック法は歯並び治療と出っ歯治療を同時にする事が可能です。
1回目の治療時に仮歯を入れますので
その時点で出っ歯ではなくなりますし、歯並びも整います。
また、歯の色も黄ばみが強かったので白めの色で治しました。
治療後のお口元は治療前に比べてかなり清潔感のあるお口元となりました。
症例写真
[オールセラミッククラウン法 上6本]- この方は長年前歯が出っ歯になっている事を悩まれ、 一念発起してご来院して下さった患者様です
詳細はコチラ
オールセラミッククラウン法による出っ歯治療・歯の色治療の症例写真
[No.O-0014 / オールセラミッククラウン法 上6本 / モニター]この方は長年前歯が出っ歯になっている事を悩まれ、
一念発起してご来院して下さった患者様です。
出っ歯の状態に加え、すきっ歯にもなってしまっています。
また、歯の色の黄ばみ、虫歯治療後の変色もあります。
セラミック法は出っ歯、すきっ歯、歯の黄ばみ、治療後の変色が
全部同時に治せます。
1回目の治療時に仮歯を入れますので
その時点で出っ歯、すきっ歯ではなくなります。
この方は4回の通院で治療終了しました。
症例写真
[オールセラミッククラウン法 上6本下4本]- この方は前歯の出っ歯と変色の治療を希望されてご来院されました。
詳細はコチラ
オールセラミッククラウン法による出っ歯治療・歯の色治療の症例写真
[No.O-0013 / オールセラミッククラウン法 上6本下4本 / モニター]この方は前歯の出っ歯と変色の治療を希望されてご来院されました。
見てわかる様に治療前は前歯が全体的に出ています。
上の歯4本が出ているだけではなく、下の歯4本も前に倒れこんだ生え方でしたので
上下4本ずつの歯の治療が必要でした。
この方は68歳ですが、歯茎がとても健康できれいなピンク色をしています。
この様な方にはオールセラミッククラウンがとてもお勧めです。
オールセラミッククラウンは金属を使っていませんので、
歯茎の部分が黒ずんだりしませんし
歯の色も明るく健康的な自然な白さに仕上がります。
オールセラミッククラウンは全て1本ずつで制作しています。
(繋げて作ったりはしていません)
この方の治療回数は5回でした。
症例写真
[オールセラミッククラウン 4本]- 前歯がハの字に開いてしまっている方です。
詳細はコチラ
オールセラミッククラウン法による出っ歯矯正の症例写真
[No.O-0012 / オールセラミッククラウン 4本 / モニター]前歯がハの字に開いてしまっている方です。
この様な場合は隣の歯と重なっている部分が多いので前歯4本での歯列矯正が必要になります。
1回目の治療時には仮歯を入れますので、その時点では歯並びがきれいになります。
仮歯の際に歯の大きさなどデザインしますのでお好みの歯の長さにする事が可能です。
歯の色もご自身の歯にあわせてオールセラミッククラウンをお作りしますので、
オールセラミッククラウンの部分だけが白く浮いてしまうような事がありません。
症例写真
[オールセラミッククラウン 4本・歯槽骨整形法 ]- この方は真横からみたお写真でわかるようにかなり上の方から歯が生えてしまっている出っ歯です。
詳細はコチラ
オールセラミッククラウン法+歯槽骨整形法による出っ歯矯正の症例写真
[No.O-0011 / オールセラミッククラウン 4本・歯槽骨整形法 / モニター]







この方は真横からみたお写真でわかるようにかなり上の方から歯が生えてしまっている出っ歯です。
出っ歯の角度も著しく、これを治すためにはこの出っ歯の歯を抜く必要がありました。
歯を抜くだけではなく、骨も出っ張っているため、歯槽骨整形法という骨の出っ張りを削る治療も同時に行いました。
真ん中のお写真は仮歯を入れている状態ですが、もうすでに出っ歯の状態が改善されているのがわかります。
仮歯でお好みの歯の長さや角度を伺いながら最終的なセラミックの形をデザインしました。
治療後はかなり歯が内側に入り、出っ歯であった事など全く誰にも気付かれません。
劇的な変化に患者様にも大変満足していただけました。
症例写真
[スタンダードジルコニアクラウン法 4本]- 歯茎からでているタイプの出っ歯の方です。
詳細はコチラ
スタンダードジルコニアクラウン法による出っ歯治療の症例写真
[No.O-0010 / スタンダードジルコニアクラウン法 4本 / モニター]歯茎からでているタイプの出っ歯の方です。真横からみると上の方から生えています。
この様な出っ歯の方でもセラミック法で治療すれば短期間、少回数で出っ歯でなくなります。
1回目の治療時には出っ歯でなくす事が可能です。
症例写真
[スタンダードジルコニアクラウン 16本]- 虫歯を放置していたため奥歯もなくなり、かみ合わせが悪くなっています。
詳細はコチラ
スタンダードジルコニアクラウン法による出っ歯治療の症例写真
[No.O-0009 / スタンダードジルコニアクラウン 16本 / モニター]虫歯を放置していたため奥歯もなくなり、かみ合わせが悪くなっています。
この様に奥歯のかみ合わせが悪化すると前歯に負担が大きくなりますので、どんどん出っ歯になっていきます。
また、前歯に負担がかかることによって歯周病になり、さらに出っ歯が悪化してしまっていました。
ザ・ホワイトデンタルクリニックでは出っ歯の原因である奥歯の虫歯治療も同時に行いますので、
出っ歯治療終了後にまた元に戻ったり、悪い状況になる事はありません。
30代という年齢からしてもかなり深刻な状況でしたが、
今は健康的な若々しいお口元を取り戻し、気にせず笑顔になれました。
症例写真
[オールセラミッククラウン 4本]- 前歯が大きく、隙間もあり、さらに出っ歯になっている方です。
詳細はコチラ
オールセラミッククラウン法によるすきっ歯、出っ歯治療の症例写真
[No.O-0008 / オールセラミッククラウン 4本 / モニター]前歯が大きく、隙間もあり、さらに出っ歯になっている方です。
セラミック法はこの様な複合的な治療が必要な出っ歯、すきっ歯の方に最適です。
歯の大きさもすきっ歯も出っ歯も同時に治せるのがセラミック法の最大の利点です。
歯の長さや大きさは患者さんのお好みに応じてデザインできます。
治療前後ではまるで別人のようなお口元となりました。
症例写真
[オールセラミッククラウン 4本]- このお写真の方は前歯が少し大きく、前に出ているという事と、2番目の歯の神経が死んでいること
詳細はコチラ
オールセラミッククラウン法による歯並びと歯の変色治療の症例写真
[No.O-0007 / オールセラミッククラウン 4本 / モニター]このお写真の方は前歯が少し大きく、前に出ているという事と、
2番目の歯の神経が死んでいることにによる歯の変色の治療のためご来院された20代女性モニターさんです。
ザ・ホワイトデンタルクリニックのセラミック法は
歯並びの治療と同時に前歯の長さをご自身のお好みの長さにすることが可能です。
さらに、歯の神経が死んでいるためにおきてしまう歯の変色も治せます。
ザ・ホワイトデンタルクリニックのセラミック法は歯の色や長さ、形を患者様のお好みのデザインに出来る事です。
セラミックは治療後に変色しませんし、歯並び治療後にまた歯並びが悪くなってくることもありません。
症例写真
[上下顎骨切り手術]- 骨格的に出っ歯の輪郭の方です。
詳細はコチラ
上下顎骨切り手術による出っ歯治療の症例写真
[No.O-0006 / 上下顎骨切り手術 / モニター]骨格的に出っ歯の輪郭の方です。上下の骨が前に出ているため、骨格を内側に入れ込んで輪郭を治療しました。
出っ歯だけではなく鼻から顎にかけてのフェイスラインもきれいにする事ができます。
治療後のお顔はすっきりした横顔になっています。
お口元が全体的に突出している方にはこの上下骨きり手術がお勧めです。
症例写真
[オールセラミッククラウン 6本]- この方は出っ歯、歯並び、歯の色の治療をご希望の方です。
詳細はコチラ
オールセラミッククラウン法による出っ歯矯正とホームホワイトニングの症例写真
[No.O-0005 / オールセラミッククラウン 6本 / モニター]この方は出っ歯、歯並び、歯の色の治療をご希望の方です。
セラミック法での歯列矯正は出っ歯、歯並びの治療を短期間に同時にできますので、
同じようなお悩みの方には大変好評です。
1回目の治療時には出っ歯ではなくなりますし、歯並びも整います。
この方は2番根の前歯が内側に入っているため、犬歯が八重歯のようになってしまっていました。
出っ歯、歯並び治療と同時にホームホワイトニングで歯を白くしていますので、
より白いオールセラミッククラウンで治す事ができました。
歯の長さや色はお好みのものを作ることができるのもセラミック法のメリットと言えます。
症例写真
[ オールセラミッククラウン 4本]- 前歯2本が出っ歯になっている方です。
詳細はコチラ
オールセラミッククラウン法による出っ歯矯正の症例写真
[No.O-0004 / オールセラミッククラウン 4本 / モニター]前歯2本が出っ歯になっている方です。唇を閉じても前歯2本だけが出てしまっているような状態でしたが、
オールセラミッククラウンによる出っ歯矯正をすると抜歯をしなくてもこれだけ内側に入れ込む事ができます。
症例写真
[オールセラミッククラウン 3本]- 前歯2本が出っ歯になっている方です。
詳細はコチラ
オールセラミッククラウン法による出っ歯矯正の症例写真
[No.O-0003 / オールセラミッククラウン 3本 / モニター]前歯2本が出っ歯になっている方です。出っ歯なのは前歯2本なのですが、出っ歯だけではなく、歯のねじれがあり、
お隣の歯と重なってしまっているので全部で3本の歯列矯正必要でした。
歯の傾きだけが出ていて出っ歯になっている方はセラミック法で十分入れ込む事が可能です。
症例写真
[セラミッククラウン 4本]- この方は前歯4本が出ているため、前歯4本だけを内側に 入れ込む治療を行いました。
詳細はコチラ
セラミッククラウン法による出っ歯の症例写真
[No.O-0002 / セラミッククラウン 4本 / モニター]この方は前歯4本が出ているため、前歯4本だけを内側に 入れ込む治療を行いました。
歯のねじれもありましたが、セラミック法により、出っ歯治療と同時に歯並びも一緒に治す事が出来ました。
セラミック法はこのように部分的に短期間で治したい方にお勧めの治療法です。
症例写真
[上下顎骨切り術]- 出っ歯を気にされてご来院された20代女性モニターさんです。
詳細はコチラ
上下顎骨切り術による出っ歯治療の症例写真
[No.O-0001 / 上下顎骨切り術 / モニター]出っ歯を気にされてご来院された20代女性モニターさんです。
この方の場合は出っ歯の原因が上下顎の骨格的な突出ですので、歯だけで治しても上下ともに引っ込める事が難しい状態でした。
ですから上下の顎の骨切り手術をお勧め致しました。
骨きり手術後のお顔はお口元がひっこみすっきりしたお顔となりました。












































































































































































































































































































































































































































































































































































































































































































































































































































































