歯並び 症例写真
目次
- 前歯の部分矯正・症例セクション
- 方法1:前歯の突出と重なりの改善
- 方法2:重度の重なり(叢生)と抜歯併用ケース
- 方法3:前歯のねじれ(捻転)の即日改善
- 方法4:前歯6本の広範囲なねじれ改善
- 方法5:正中(中心)のズレと斜めの歯並び
- 方法6:すきっ歯(正中離開)と外開きの修正
- 方法7:全体的な突出(出っ歯)とガタつきの短期間治療
- 八重歯(犬歯)の矯正症例セクション
- 方法1:著しく突出した八重歯と乳歯の抜歯ケース
- 方法2:高位(高い位置)にある八重歯の抜歯・隙間埋め
- 方法3:全体的な歯並び改善と八重歯の同時治療
- 方法4:八重歯治療とホワイトニングの併用
- 方法5:受け口(反対咬合)を伴う八重歯の広範囲治療
- 方法6:抜歯を行わない八重歯の部分矯正
- 下の歯の矯正・症例セクション
- 症例写真1:下の歯の部分矯正が可能なケース
- 症例写真2:噛み合わせを考慮した上下同時矯正のケース
- 少回数治療・症例セクション
- 症例1:2番目の歯の入り込みと全体ホワイトニング
- 症例2:片側の入り込みに対するブリッジ治療
- 症例3:重度の重なり(叢生)と抜歯ブリッジ
- 症例4:非抜歯での前歯6本矯正
- 症例5:上下の重度のガタつきとねじれの即日改善
- 症例6:突出した前歯のサイズ調整と色補正
- 症例7:長く広がった前歯を小さく整える
- 症例8:ワイヤー併用による重度欠損・歯周病ケース
- 症例写真一覧
前歯の部分矯正・症例セクション
当院で行っている治療の実際の変化を、症例写真とともにご紹介しています。治療内容や仕上がりのイメージを具体的にご確認いただくことで、ご自身のお悩みやご希望に近い治療を検討する際の参考にしていただけます。
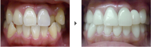
方法1:前歯の突出と重なりの改善
この方は前歯2本が前方に出て、外側に開いている状態を改善したいとご来院されました。
オールセラミッククラウン 4本

オールセラミッククラウン法による歯並び治療の症例
[前歯の突出・重なりの修正 / オールセラミッククラウン4本]
前歯2本が突出して隣の歯と重なり合っていたため、前4本をセラミック法で整えました。全体的なワイヤー矯正ではなく、気になる前歯だけをピンポイントで治療しています。1回目の治療時に仮歯へ置き換えるため、その日のうちに突出感が改善されます。
方法2:重度の重なり(叢生)と抜歯併用ケース
この方は、1番目の前歯と2番目の歯が深く重なっていることを悩まれていました。
スタンダードジルコニア4本(ブリッジ対応)

セラミック法(ブリッジ)による歯並び治療の症例
[重度の歯の重なり・抜歯併用 / スタンダードジルコニア4本]
2番目の歯が大きく内側に入り込み、完全に重なり合っていたため、この歯を抜歯してセラミックのブリッジで治療しました。このように重なりが強い場合でも、抜歯を併用することで短期間で理想的なラインに整えることが可能です。
方法3:前歯のねじれ(捻転)の即日改善
この方は、前歯が斜めにねじれて隣の歯と重なっている状態を治したいとご来院されました。
オールセラミッククラウン 2本

オールセラミッククラウン法による歯並び治療の症例
[前歯のねじれ・捻転歯の修正 / オールセラミッククラウン2本]
前歯が斜めにねじれていると、歯が大きく見えてしまう原因になります。セラミック法であれば、1回目の治療時にねじれと重なりを同時に解消し、すぐに整った見た目になります。長年悩んでいたねじれも、少ない回数で解決できるのが特徴です。
方法4:前歯6本の広範囲なねじれ改善
この方は、前歯6本すべてにねじれや重なりがあり、全体的なガタつきを気にされていました。
オールセラミッククラウン 6本

オールセラミッククラウン法による歯並び治療の症例
[広範囲のねじれ・ガタつきの修正 / オールセラミッククラウン6本]
歯の生えている位置や角度によって複雑に重なり合っている場合、前歯6本を同時に治療することでバランスの取れた美しい歯並びを作ります。1回目の治療で全ての歯を仮歯に変えるため、劇的な変化をその日のうちに実感いただけます。
方法5:正中(中心)のズレと斜めの歯並び
この方は、前歯が中心からずれて斜めに生えている状態を気にされていました。
オールセラミッククラウン 4本

オールセラミッククラウン法による歯並び治療の症例
[歯並びの傾き・正中のズレ修正 / オールセラミッククラウン4本]
ずれた前2本が隣の歯と重なっていたため、前4本をセラミック法で治療しました。歯の軸をまっすぐに整えることで、お顔の中心に合った美しいスマイルラインが完成します。
方法6:すきっ歯(正中離開)と外開きの修正
この方は、前歯が外側に開き、歯の間に隙間ができている状態を悩まれていました。
オールセラミッククラウン 2本

オールセラミッククラウン法による歯並び治療の症例
[隙間(すきっ歯)・外開きの修正 / オールセラミッククラウン2本]
セラミック法であれば、1回目の治療時に隙間を埋め、歯の向きをまっすぐに整えることができます。矯正装置を長期間つける必要がなく、たった数回の来院で隙間のない綺麗な歯並びが手に入ります。
方法7:全体的な突出(出っ歯)とガタつきの短期間治療
この方は、前歯全体が前に出ていてガタガタになっている状態を早く治したいとご来院されました。
スタンダードジルコニア6本

セラミック法による歯並び治療の症例
[重度の出っ歯・ガタつきの短期治療 / スタンダードジルコニア6本]
どんなに歯がガタガタであっても、セラミック法ならわずか5回ほどの通院で終了します。1回目の治療時に仮歯で理想の形を再現するため、治療初日からコンプレックスが解消されます。短期間で歯並びを整えたい方に最適な方法です。
八重歯(犬歯)の矯正症例セクション
八重歯(犬歯)は、歯列から外れて生えていることで見た目の印象に影響しやすい歯のひとつです。当院では、セラミック治療を用いて歯並びやバランスを整えた症例をご紹介しています。治療前後の変化をぜひご確認ください。
方法1:著しく突出した八重歯と乳歯の抜歯ケース
この方は、前方へ強く突き出た八重歯と、大人になっても残っていた乳歯を治したいとご来院されました。
スタンダードジルコニア6本

セラミック法による八重歯・歯並び治療の症例
[突出した八重歯と残存乳歯の修正 / スタンダードジルコニア6本]
八重歯(犬歯)は他の歯より後に生えてくるため、スペースがないと外側に突き出してしまいます。この症例では、突出の強い八重歯と乳歯を抜歯し、セラミック法で整えました。1回目の治療で仮歯を入れるため、唇のゆがみや突き出し感はその日のうちに改善されます。
方法2:高位(高い位置)にある八重歯の抜歯・隙間埋め
この方は、かなり高い位置から生えている八重歯と、その周りの隙間を気にされていました。
オールセラミッククラウン2本
(ブリッジ対応)

オールセラミッククラウン法による歯並び治療の症例
[高位の八重歯抜歯と隙間閉鎖 / オールセラミッククラウン2本]
八重歯が正しい位置にないと、唇の内側を傷つけて口内炎の原因になることもあります。今回は高い位置にある八重歯を抜歯し、両隣の歯にセラミックを被せて隙間を美しく埋めました。部分的な治療でも、お口元の印象は劇的に整います。
方法3:全体的な歯並び改善と八重歯の同時治療
この方は、八重歯を含む全体的な歯並びのガタつきを短期間で治したいとご希望されました。
スタンダードジルコニア12本

セラミック法による歯並び治療の症例
[全体的な歯並び矯正・八重歯抜歯併用 / スタンダードジルコニア12本]
八重歯は隣の歯と重なり合うことが多く、その部分は虫歯や歯周病のリスクが非常に高くなります。左の八重歯を抜歯し、上下全体のバランスをセラミック法で整えました。初回の治療時に仮歯が入るため、すぐに「歯並びがきれいになった」という実感を持ちながら治療を進められます。
方法4:八重歯治療とホワイトニングの併用
この方は、左上の八重歯の突出改善と、お口全体のトーンアップを希望されました。
オールセラミッククラウン4本

オールセラミッククラウン法による歯並び治療の症例
[八重歯の修正と全体ホワイトニング / オールセラミッククラウン4本]
抜歯した八重歯の両隣にセラミックを被せて歯並びを整えるとともに、周囲の歯をホワイトニングしました。セラミックの色はご希望に合わせて調整可能です。1回目で仮歯を入れるため、見た目のコンプレックスはすぐに解消され、笑顔に自信が持てるようになります。
方法5:受け口(反対咬合)を伴う八重歯の広範囲治療
この方は、受け口の影響で上の前歯が引っ込み、八重歯が目立っている状態を悩まれていました。
オールセラミッククラウン12本

オールセラミッククラウン法による歯並び・受け口治療の症例
[受け口に伴う八重歯の改善 / オールセラミッククラウン12本]
受け口により八重歯が強調されているケースでは、上下の噛み合わせから再構築する必要があります。上下12本のセラミック治療を行うことで、歯並びだけでなくお口元全体のシルエットを別人のように美しく整えました。セラミック法なら、複雑な症例でも少ない回数で完了します。
方法6:抜歯を行わない八重歯の部分矯正
この方は、上下に八重歯がある状態でしたが、できるだけ抜歯をせずに治療したいとご希望されました。
オールセラミッククラウン6本

オールセラミッククラウン法による歯並び治療の症例
[非抜歯での八重歯矯正 / オールセラミッククラウン6本]
八重歯の状態によっては、抜歯せずにセラミックの被せ物だけで整えることも可能です。この症例では上下の犬歯を活かしつつ、アーチを整えることでガタつきを解消しました。外側に強く生えている場合は抜歯が推奨されることもありますが、患者様のご要望に合わせた最適なプランをご提案します。
下の歯の矯正・症例セクション
下の歯並びは、噛み合わせや口元のバランスに影響しやすく、見えにくい部分だからこそ丁寧な治療が求められます。当院では、セラミック治療によって下の歯の歯並びを整えた症例をご紹介しています。治療前後の変化をご覧ください。
症例写真1:下の歯の部分矯正が可能なケース
この方は、下の歯のガタつきをピンポイントで治したいとご来院されました。
オールセラミッククラウン6本

オールセラミッククラウン法による下の歯の部分矯正症例
[下の歯の部分矯正・選択的治療 / オールセラミッククラウン6本 / モニター]
セラミック法は、ワイヤー矯正と異なり「気になる部分だけ」を治療できるのが大きなメリットです。この症例では上下のバランスを整えるために両方を治療していますが、上の歯が綺麗な方の場合は、下の歯だけを治療することも可能です。1回目の治療時に仮歯を入れますので、当日から下の歯の並びが整い、お食事や会話もスムーズになります。
症例写真2:噛み合わせを考慮した上下同時矯正のケース
この方は、下の歯並びの悪さと、それに伴う噛み合わせの違和感を解消したいとご来院されました。
スタンダードジルコニア 12本

セラミック法による上下全体の歯並び・咬合改善症例
[上下咬合調整・同時歯並び治療 / スタンダードジルコニア12本 / モニター]
下の歯並びを治療する際、上下の噛み合わせの関係から、上の歯も同時に整える必要がある場合がございます。この症例では、長期的な歯の健康と機能性を重視し、上下をセットで治療しました。1回目の治療で上下ともに仮歯へ置き換えるため、見た目と噛み合わせの改善を同時に実感いただけます。治療回数は5〜6回程度で、理想的なお口元が完成します。
少回数治療・症例セクション
当院のセラミック治療では、治療計画により一度に複数の歯を進めることが可能なため、通院回数を抑えた治療が行える場合があります。忙しい方や短期間での改善を希望される方にとって参考となる症例をご紹介しています。
症例1:2番目の歯の入り込みと全体ホワイトニング
この方は、前から2番目の歯が内側に入り込み、前歯が重なっている状態を短期間で治したいとご来院されました。
オールセラミッククラウン4本

オールセラミッククラウン法による歯並び治療の症例
[2番目の歯の入り込み・ホワイトニング併用 / オールセラミッククラウン4本]
2番目の歯が下の歯よりも奥に入り込んでいる重度の重なりのため、対象の2本を抜歯し、セラミック法で整えました。同時に歯の黄ばみを改善するホワイトニングも行い、理想的な白さと並びを数回で実現しています。1回目の治療で仮歯が入るため、初日から劇的な変化を実感いただけます。
症例2:片側の入り込みに対するブリッジ治療
この方は、向かって右側の2番目の歯が奥に入り込んでいることを気にされていました。
スタンダードジルコニア 3本

セラミック法による歯並び治療の症例
[片側の入り込み・ブリッジ対応 / スタンダードジルコニア3本]
奥に入り込みすぎた歯を抜歯し、両隣の歯を支えとしたセラミックのブリッジで治療しました。気になる部分だけをピンポイントで治せるため、治療回数を抑えながら美しいアーチを形成できます。
症例3:重度の重なり(叢生)と抜歯ブリッジ
この方は、2番目の歯が奥に引っ込み、両隣と大きく重なっている歯並びを早期に改善したいとご希望されました。
スタンダードジルコニア 6本

セラミック法による歯並び治療の症例
[重度の重なり・抜歯ブリッジ矯正 / スタンダードジルコニア6本]
2番目の歯を抜歯し、前歯6本のセラミックブリッジで治療を行いました。このようにガタつきが強いケースでも、セラミック法ならわずか数回の通院で完了します。抜歯後の隙間も1回目の仮歯ですぐに埋まるため、日常生活に支障はありません。
症例4:非抜歯での前歯6本矯正
この方は、2番目の歯が引っ込み、前歯全体が重なり合っている状態を改善したいとご来院されました。
オールセラミッククラウン6本

オールセラミッククラウン法による歯並び治療の症例
[非抜歯での前歯6本矯正 / オールセラミッククラウン6本]
2番目の歯が引っ込んでいても、下の歯より前方にある場合は抜歯せずに整えられることがあります。前歯6本を同時にセラミック法で治療することで、歯を抜かずに整った歯列を構築しました。
症例5:上下の重度のガタつきとねじれの即日改善
この方は、上下の前歯がガタガタで、特に前2本がねじれて突出していることに悩まれていました。
オールセラミッククラウン6本

セラミック法による上下の歯並び治療の症例
[上下のねじれ・ガタつき(非抜歯) / スタンダードジルコニア12本]
上下ともに激しいねじれと重なりがありましたが、1回目の治療時にすべての歯を仮歯に変え、その場で美しく整えました。抜歯を行わず、歯の角度と軸を調整することで、短期間でお口元全体の印象を変えることが可能です。
症例6:突出した前歯のサイズ調整と色補正
この方は、前歯2本が大きく目立ち、外側に開いている状態をコンパクトにしたいとご来院されました。
オールセラミッククラウン2本

セラミック法による上下の歯並び治療の症例
[前歯のサイズダウン・内方移動 / オールセラミッククラウン2本]
突出した前歯を内側へ入れ込み、一回り小さくしたセラミックを被せることで、すっきりとした見た目に仕上げました。患者様のご希望に合わせ、地歯よりも一段明るい色調を選択しています。短期間で「形・サイズ・色」のすべてを改善できるのがメリットです。
症例7:長く広がった前歯を小さく整える
この方は、前歯2本が長く、外に広がって隣の歯に重なっている状態を気にされていました。
オールセラミッククラウン4本

オールセラミッククラウン法による歯並び治療の症例
[前歯の長さ・広がり修正 / オールセラミッククラウン4本]
前歯4本を対象に、長く広がった部分を小さく整えたセラミックでカバーしました。内側に入れ込むように設計することで、横顔のシルエットも美しく整います。数回の治療で「出っ歯」の印象を解消しました。
症例8:ワイヤー併用による重度欠損・歯周病ケース
この方は、全体的な歯のずれや傾きに加え、先天欠損や歯周病による歯のぐらつきを抱えてご来院されました。
スタンダードジルコニア+部分矯正

部分矯正・セラミック法併用による総合的な歯並び治療症例
[重度歯周病・欠損を伴う歯並び治療 / 素材:スタンダードジルコニア]
重度のずれやぐらつきがある場合、部分的なワイヤー矯正とセラミック法を併用します。保存が難しいぐらついた歯を抜歯し、欠損部分はセラミックのブリッジで補いました。お口全体の健康と審美性を同時に回復させる、総合的な短期集中治療です。
症例写真一覧
治療1回目から見た目は改善、少回数でOK!
歯並び ビフォーアフター症例写真を更新中!
-
-
症例写真
[スタンダードジルコニア23本] - この方は歯並びと奥歯の虫歯治療を希望されご来院されました。
詳細はコチラ
-
セラミック法による歯並び治療の症例
[No.D-0313 / スタンダードジルコニア23本 / モニター] -
-
この方は歯並びと奥歯の虫歯治療を希望されご来院されました。 セラミック法で歯並びも虫歯も同時に治しました。 奥歯の大きな虫歯は抜歯になりましたが、セラミックのブリッジをして治しました。 歯の色もご自身のお好みの白さにする事が可能です。
-
-
症例写真
[オールセラミッククラウン4本] - この方は前歯の1本が出っ歯の状態でした。
詳細はコチラ
-
オールセラミッククラウン法による歯並び治療の症例
[No.D-0312 / オールセラミッククラウン4本 / モニター] -
-
この方は前歯の1本が出っ歯の状態でした。 前歯4本をセラミック法で歯並び治療しました。 1回目の治療時に仮歯を入れますのですぐに見た目が気にならなくなります。 治療回数は5回でした。
-
-
症例写真
[オールセラミッククラウン12本、スタンダードジルコニア7本] - この方は前歯の歯並びと虫歯、奥歯の欠損と虫歯の治療を一気に行いたいとご来院されました。
詳細はコチラ
-
オールセラミッククラウン法、セラミック法による歯並び治療の症例
[No.D-0311 / オールセラミッククラウン12本、スタンダードジルコニア7本 / モニター] -
-
この方は前歯の歯並びと虫歯、奥歯の欠損と虫歯の治療を一気に行いたいとご来院されました。 当院ではこのように様々なお悩みがあってもセラミック法で同時に治す事が可能です。 奥歯の欠損はブリッジで治しています。
-
-
症例写真
[スタンダードジルコニア5本] - この方は奥歯に大小の虫歯がありました。
詳細はコチラ
-
セラミック法による歯並び治療の症例
[No.D-0310 / スタンダードジルコニア5本 / モニター] -
-
この方は奥歯に大小の虫歯がありました。 大きな虫歯は抜歯となりましたがブリッジで治療しました。 小さな虫歯は白い詰め物で治しました。 治療回数は5回でした。
-
-
症例写真
[オールセラミッククラウン4本、スタンダードジルコニア2本] - この方は前歯の歯並びと黒ずみを治したいとご来院されました。
詳細はコチラ
-
オールセラミッククラウン法、セラミック法による歯並び治療の症例
[No.D-0309 / オールセラミッククラウン4本、スタンダードジルコニア2本 / モニター] -
-
この方は前歯の歯並びと黒ずみを治したいとご来院されました。 前歯には歯と歯の間に虫歯があるために黒ずんでいました。 歯の長さも長いので短く整えました。 治療回数は4回でした。
-
-
症例写真
[オールセラミッククラウン6本] - この方は上の前歯の歯並びを治したいとご来院されました。
詳細はコチラ
-
オールセラミッククラウン法による歯並び治療の症例
[No.D-0308 / オールセラミッククラウン6本 / モニター] -
-
この方は上の前歯の歯並びを治したいとご来院されました。 受け口気味でしたが、セラミック法で歯並びやすきっ歯と一緒に受け口も治しました。 1回目の治療時に仮歯を入れますのですぐに歯並びがきれいになります。 最終的なセラミックを被せるまでは4回でした。 セラミックは1回仮着けをして、日常生活を送って頂きます。 問題がなければ5回目のご来院時に本着けをして終了です。
-
-
症例写真
[スタンダードジルコニア13本] - この方は前歯が重度の歯列不正でした。
詳細はコチラ
-
セラミック法による歯並び治療の症例
[No.D-0307 / スタンダードジルコニア13本 / モニター] -
-
この方は前歯が重度の歯列不正でした。 内側に引っ込んでしまっている2番目の歯は抜歯し、ブリッジを入れて治しています。 1回目の治療時に仮歯を入れますのですぐに歯並びが整います。 術後はまるで別人のようになりました。 セラミック法は気になる部分だけの治療が可能です。 治療回数は5回でした。
-
-
症例写真
[オールセラミッククラウン6本] - この方は上前歯の歯並び治療を希望されました。
詳細はコチラ
-
オールセラミッククラウン法による歯並び治療の症例
[No.D-0306 / オールセラミッククラウン6本 / モニター] -
-
この方は上前歯の歯並び治療を希望されました。 早く治したいという事でしたのでセラミック法で歯並び治療しました。 内側に引っ込んでしまっている2番目の歯は抜歯し、セラミックのブリッジで治療しました。 1回目の治療時に仮歯にしますのですぐに歯並びが気にならなくなります。 治療回数は5回でした。
-
-
症例写真
[オールセラミッククラウン6本] - この方は上の前歯の歯並び治療を希望されました。
詳細はコチラ
-
オールセラミッククラウン法による歯並び治療の症例
[No.D-0305 / オールセラミッククラウン6本 / モニター] -
-
この方は上の前歯の歯並び治療を希望されました。 引っ込んでしまっている2番目の歯は抜歯し、前歯6本をブリッジで治しています。 ブリッジになっていますが、自然な仕上がりです。 治療回数は5回でした。
-
-
症例写真
[オールセラミッククラウン3本] - この方は下の前歯3本の歯並びを整えたいとの事でした。
詳細はコチラ
-
オールセラミッククラウン法による歯並び治療の症例
[No.D-0304 / オールセラミッククラウン3本 / モニター] -
-
この方は下の前歯3本の歯並びを整えたいとの事でした。 部分的な治療をご希望でしたのでセラミック法で3本だけ治しました。 治療回数は4回でした。
-
-
症例写真
[スタンダードジルコニア1本] - この方は前歯の歯並びと下の歯の奥歯の虫歯治療を希望し、ご来院されました。
詳細はコチラ
-
セラミック法による歯並び治療の症例
[No.D-0303 / スタンダードジルコニア1本 / モニター] -
-
この方は前歯の歯並びと下の歯の奥歯の虫歯治療を希望し、ご来院されました。 セラミック法は歯並び治療と同時に虫歯治療も可能です。 1回目の治療時に仮歯を入れますので 歯並びがすぐに整いますし、虫歯で空いた穴も無くなります。 治療回数は5回でした。
-
-
症例写真
[オールセラミッククラウン3本] - この方は前歯1本が内側に引っ込んでいました。
詳細はコチラ
-
オールセラミッククラウン法による歯並び治療の症例
[No.D-0302 / オールセラミッククラウン3本 / モニター] -
-
この方は前歯1本が内側に引っ込んでいました。
その歯だけセラミック法で歯並び治療しました。
奥歯には虫歯や治療途中の歯がありましたので前歯の歯並び治療と一緒に虫歯治療も行いました。
治療回数は5回でした。
-
-
症例写真
[オールセラミッククラウン4本、スタンダードジルコニア5本] - この方は上下前歯の歯並びを治したとの事でご来院されました。
詳細はコチラ
-
オールセラミッククラウン法、セラミック法による歯並び治療の症例
[No.D-0301 / オールセラミッククラウン4本、スタンダードジルコニア5本 / モニター] -
-
この方は上下前歯の歯並びを治したとの事でご来院されました。
1回目の治療時に上下前歯を仮歯にします。
その時には歯並びが整います。
仮歯でセラミックの歯のデザインをしますのでお好みの歯の形や歯の長さに出来ます。
治療回数は5回でした。
-
-
症例写真
[スタンダードジルコニア6本] - この方は前歯の歯並びと歯の色を白くしたいとご来院されました。
詳細はコチラ
-
セラミック法による歯並び治療の症例
[No.D-0300 / スタンダードジルコニア6本 / モニター] -
-
この方は前歯の歯並びと歯の色を白くしたいとご来院されました。
八重歯は気に入っているとの事ですので八重歯は治療せずに残したまま、前歯4本の歯並び治療を行いました。
セラミック法はこの様に部分的な治療が可能です。
治療回数は4回でした。
-
-
症例写真
[スタンダードジルコニア17本] - この方は前歯の歯並び、歯の色、奥歯の虫歯治療をしたいとの事でご来院されました。
詳細はコチラ
-
セラミック法による歯並び治療の症例
[No.D-0299 / スタンダードジルコニア17本 / モニター] -
-
この方は前歯の歯並び、歯の色、奥歯の虫歯治療をしたいとの事でご来院されました。
当院ではこの方の様に重度の虫歯がたくさんある状態でも歯並び治療が可能です。
虫歯があるとマウスピース矯正やワイヤー矯正ができませんし、治療完了までにかなりの長期間が必要です。
当院のセラミック法は虫歯も歯並びも同時進行で治療しますので
少ない治療回数できれいにすることが可能です。
-
-
症例写真
[オールセラミッククラウン10本] - この方は上下前歯の歯並びをきれいにしたいとご来院されました。
詳細はコチラ
-
オールセラミッククラウン法による歯並び治療の症例
[No.D-0298 / オールセラミッククラウン10本 / モニター] -
-
この方は上下前歯の歯並びをきれいにしたいとご来院されました。
下の歯の1本は虫歯で神経が死んでしまって変色していました。
1回目の治療時に仮歯を入れますのですぐに歯並びが整います。それと同時に根の治療を行いました。
根が化膿していましたが、しっかり消毒して防腐剤を詰める治療を行いました。
最終的にお好みの白さのセラミックの歯を入れました。
治療回数は6回でした。
-
-
症例写真
[スタンダードジルコニア4本] - この方は前歯4本の歯並びが悪い状態でした。
詳細はコチラ
-
セラミック法による歯並び治療の症例
[No.D-0297 / スタンダードジルコニア4本 / モニター] -
-
この方は前歯4本の歯並びが悪い状態でした。
部分的な治療をご希望でしたので前歯4本をセラミック法で治しました。
1回の治療時に仮歯を入れますのでその時点で出ている歯は引っ込み
歯並びが整います。
治療回数は5回でした。
-
-
症例写真
[スタンダードジルコニア3本] - この方は向かって左側の歯が内側に引っ込んでいました。
詳細はコチラ
-
セラミック法による歯並び治療の症例
[No.D-0296 / スタンダードジルコニア3本 / モニター] -
-
この方は向かって左側の歯が内側に引っ込んでいました。
患者様はこの引っ込んだ歯だけで治したいという事でしたので
セラミック法で歯並び治療をしました。
引っ込んだ歯は抜歯し、最終的に両隣の歯を用いてセラミックのブリッジを接着しました。
1回目の治療時に抜歯をして仮歯を入れます。この時に歯並びは整います。セラミック法は部分的に早く治したい方にお勧めです。
-
-
症例写真
[スタンダードジルコニア6本] - この方は上前歯の八重歯が気になるとご来院されました。
詳細はコチラ
-
セラミック法による歯並び治療の症例
[No.D-0295 / スタンダードジルコニア6本 / モニター] -
-
この方は上前歯の八重歯が気になるとご来院されました。
下の歯並びも悪いのですが
上顎だけの治療を希望されました。
八重歯は抜歯し前歯6本をセラミック法で治しました。
1回目の治療時に仮歯を入れますのですぐに歯並びが整います。
八重歯が無くなると唇のゆがみが無くなり
すっきりとしたお口元になります。
この方は5回の治療で終わりました。
-
-
症例写真
[オールセラミッククラウン10本] - この方は上下前歯に八重歯がある状態でした。
詳細はコチラ
-
オールセラミッククラウン法による歯並び治療の症例
[No.D-0294 / オールセラミッククラウン10本 / モニター] -
-
この方は上下前歯に八重歯がある状態でした。
上下の八重歯は抜歯し、セラミック法で歯並び治療をしました。
1回目の治療時に八重歯を抜歯し、仮歯を入れますのですぐに歯並びがきれいになります。
1回で上下の歯の治療をしますので少ない回数で治療できます。
この方は5回でセラミックの歯が入りました。
-
-
症例写真
[オールセラミッククラウン2本] - この方は上前歯の2番目の歯がもともと細い、矮小歯という状態でした。
詳細はコチラ
-
オールセラミッククラウン法による歯並び治療の症例
[No.D-0293 / オールセラミッククラウン2本 / モニター] -
-
この方は上前歯の2番目の歯がもともと細い、矮小歯という状態でした。
虫歯になっている部分もありましたので、セラミックの歯を被せる治療を行いました。
治療は2回で終了しました。
-
-
症例写真
[オールセラミッククラウン2本] - この方は上の2番目の前歯が矮小歯という元々細い歯の状態でした。
詳細はコチラ
-
オールセラミッククラウン法による歯並び治療の症例
[No.D-0292 / オールセラミッククラウン2本 / モニター] -
-
この方は上の2番目の前歯が矮小歯という元々細い歯の状態でした。
この様な小さい歯の場合、ほぼ削らずにセラミックの歯を被せて治せます。
治療回数は2回です。
-
-
症例写真
[スタンダードジルコニア6本] - この方は八重歯など上の歯の歯並びを治したいとご来院されました。
詳細はコチラ
-
セラミック法による歯並び治療の症例
[No.D-0291 / スタンダードジルコニア6本 / モニター] -
-
この方は八重歯など上の歯の歯並びを治したいとご来院されました。
八重歯は抜歯し、前歯6本のセラミック法で歯並び治療しました。
1回目の治療時に仮歯を入れますのですぐに歯並びが整います。
治療回数は5回でした。
-
-
症例写真
[スタンダードジルコニア4本] - この方は、前歯の差し歯の変色、歯並び治療を希望されご来院されました。
詳細はコチラ
-
セラミック法による歯並び治療の症例
[No.D-0290 / スタンダードジルコニア4本 / モニター] -
-
この方は、前歯の差し歯の変色、歯並び治療を希望されご来院されました。 セラミック法で歯並びも変色も治しました。 1回目の治療時に仮歯を入れますのですぐに見た目が気にならなくなります。 治療回数は5回でした。
-
-
症例写真
[オールセラミッククラウン9本、スタンダードジルコニア2本] - この方は上下前歯の歯並びと下の奥歯の虫歯治療を希望されご来院されました。
詳細はコチラ
-
オールセラミッククラウン法、セラミック法による歯並び治療の症例
[No.D-0289 / オールセラミッククラウン9本、スタンダードジルコニア2本 / モニター] -
-
この方は上下前歯の歯並びと下の奥歯の虫歯治療を希望されご来院されました。 差し歯の変色も目立ってしまっていました。 1回目の治療時に八重歯を抜歯し、仮歯を入れますのですぐに歯並びが整います。 セラミック法は歯並びと虫歯治療を同時に行う事が可能です。 治療回数は6回でした。
-
-
症例写真
[オールセラミッククラウン2本] - この方は前歯2本がねじれていました。
詳細はコチラ
-
オールセラミッククラウン法による歯並び治療の症例
[No.D-0288 / オールセラミッククラウン2本 / モニター] -
-
この方は前歯2本がねじれていました。
この2本だけのセラミック治療で歯並びを治しました。
治療後はすっきりとしたお口元になりました。
治療回数は4回でした。
-
-
症例写真
[オールセラミッククラウン10本] - この方は八重歯がかなり外側に生えてしまっていました。
詳細はコチラ
-
オールセラミッククラウン法による歯並び治療の症例
[No.D-0287 / オールセラミッククラウン10本 / モニター] -
-
この方は八重歯がかなり外側に生えてしまっていました。
この八重歯は抜歯し、セラミック法で歯並び治療しました。
1回目の治療時に仮歯を入れますのですぐに歯並びが整います。
セラミックの色は患者様のお好みに合わせてお作り致します。
治療回数は5回でした。
-
-
症例写真
[スタンダードジルコニア16本] - この方は前歯の歯並び、歯の色、奥歯の欠損の治療を希望されてご来院されました。
詳細はコチラ
-
セラミック法による歯並び治療の症例
[No.D-0286 / スタンダードジルコニア16本 / モニター] -
-
この方は前歯の歯並び、歯の色、奥歯の欠損の治療を希望されてご来院されました。
セラミック法はこれらのお悩みをすべて同時進行で解決できます。
1回目の治療時に仮歯を入れますのですぐに歯並びがきれいに整い、欠損部分にも歯が入ります。
最終的にお作りするセラミックの歯はご自身のお好みの白さにすることが可能です。
-
-
症例写真
[オールセラミッククラウン3本] - この方は上顎2番目、3番目の歯の虫歯と歯並びを部分的に治したいとの事でした。
詳細はコチラ
-
オールセラミッククラウン法による歯並び治療の症例
[No.D-0285 / オールセラミッククラウン3本 / モニター] -
-
この方は上顎2番目、3番目の歯の虫歯と歯並びを部分的に治したいとの事でした。
上顎前歯3本だけの治療ですが、整った歯並びになりました。
セラミック法は虫歯があっても歯並びと一緒に治す事が可能です。治療回数は4回でした。
-
-
症例写真
[スタンダードジルコニア4本] - この方は上の前歯が全体的に歯並びが悪い状態でしたが、向かって左側だけの治療をご希望されまし
詳細はコチラ
-
セラミック法による歯並び治療の症例
[No.D-0284 / スタンダードジルコニア4本 / モニター] -
-
この方は上の前歯が全体的に歯並びが悪い状態でしたが、向かって左側だけの治療をご希望されました。
かなり上から生えてしまっている八重歯は抜歯し、セラミック法で歯並びを整えました。
治療回数は5回でした。
セラミック法はこの様に気になる部分だけの治療が可能です。
-
-
症例写真
[オールセラミッククラウン5本] - この方は上下前歯の歯並びが気になるとご来院されました。
詳細はコチラ
-
オールセラミッククラウン法による歯並び治療の症例
[No.D-0283 / オールセラミッククラウン5本 / モニター] -
-
この方は上下前歯の歯並びが気になるとご来院されました。
1回目の治療時に仮歯を入れますのですぐに歯並びが気にならなくなります。
治療回数は5回でした。
-
-
症例写真
[スタンダードジルコニア12本] - この方は上下前歯の歯並びが気になるとの事でご来院されました。
詳細はコチラ
-
セラミック法による歯並び治療の症例
[No.D-0282 / スタンダードジルコニア12本 / モニター] -
-
この方は上下前歯の歯並びが気になるとの事でご来院されました。
歯茎が下がって、歯の黄ばみも白くしたいという事でしたのでセラミック法での治療
を行いました。セラミック法はご自身のお好みの白さにすることが出来ます。
-
-
症例写真
[オールセラミッククラウン6本] - この方は八重歯が目立っている状態でした。
詳細はコチラ
-
オールセラミッククラウン法による歯並び治療の症例
[No.D-0281 / オールセラミッククラウン6本 / モニター] -
-
この方は八重歯が目立っている状態でした。 また、虫歯もありました。 八重歯は抜歯し、セラミック法で虫歯、歯並び治療を同時に行いました。 1回目の治療時に仮歯を入れますのですぐに歯並びが整います。 治療回数は5回でした。
-
-
症例写真
[フルコルジニア6本] - この方は前歯が欠けてしまって大きさが不ぞろいになっていました。
詳細はコチラ
-
フルコルジニアによる歯並び治療の症例
[No.D-0280 / フルコルジニア6本 / モニター] -
-
この方は前歯が欠けてしまって大きさが不ぞろいになっていました。 1回目の治療時に仮歯を入れますのですぐに歯並びが整います。 セラミックの歯が入るまでは3回でした。
-
-
症例写真
[オールセラミッククラウン1本] - この方は上の八重歯がかなり目立ってしまっていました。
詳細はコチラ
-
オールセラミッククラウン法による歯並び治療の症例
[No.D-0279 / オールセラミッククラウン1本 / モニター] -
-
この方は上の八重歯がかなり目立ってしまっていました。 ご予算の関係で、向かって左側だけの八重歯治療をしました。 八重歯は抜歯し、引っ込んでいる2番目の歯にセラミックの歯を被せて 歯列を整えました。 セラミック法はこの様にご予算に応じて気になる部分だけの治療も可能です。
-
-
症例写真
[オールセラミッククラウン6本] - この方は前歯の歯並びと歯の大きさの不ぞろいを整えたいとご来院されました。
詳細はコチラ
-
オールセラミッククラウン法による歯並び治療の症例
[No.D-0278 / オールセラミッククラウン6本 / モニター] -
-
この方は前歯の歯並びと歯の大きさの不ぞろいを整えたいとご来院されました。 セラミック法は歯並びだけでなく歯の大きさもそろえる事が可能です。 1回目の治療時に仮歯を入れますのですぐに見た目が気にならなくなります。 セラミックの歯を入れるまでの治療回数は4回でした。
-
-
症例写真
[オールセラミッククラウン4本] - この方は前歯に虫歯があり、歯並びも治したいとの事でした。
詳細はコチラ
-
オールセラミッククラウン法による歯並び治療の症例
[No.D-0277 / オールセラミッククラウン4本 / モニター] -
-
この方は前歯に虫歯があり、歯並びも治したいとの事でした。
セラミック法で前歯4本の歯並び治療と虫歯治療を行いました。
1回目の治療時に仮歯を入れますのですぐに見た目が気にならなくなります。
治療回数は4回でした。
-
-
症例写真
[オールセラミッククラウン5本] - この方は前歯の歯並びを治したいとご来院されました。
詳細はコチラ
-
オールセラミッククラウン法による歯並び治療の症例
[No.D-0276 / オールセラミッククラウン5本 / モニター] -
-
この方は前歯の歯並びを治したいとご来院されました。
かなり奥に引っ込んだ歯がありますが、1回目の治療時にすぐに歯並びが整います。
セラミックの歯は変色や着色しませんので長期間きれいな状態を保てます。
治療回数は5回でした。
-
-
症例写真
[スタンダードジルコニア10本] - この方は上下前歯の歯並び治療を希望されてご来院されました。
詳細はコチラ
-
セラミック法による歯並び治療の症例
[No.D-0275 / スタンダードジルコニア10本 / モニター] -
-
この方は上下前歯の歯並び治療を希望されてご来院されました。
かみ合わせが少し受け口でしたので
上下のセラミック治療で歯並びと受け口を治しました。
セラミック法は1回目の治療時に仮歯を入れますのですぐに歯並び、かみ合わせが治せます。
治療回数は5回でした。
-
-
症例写真
[オールセラミッククラウン4本] - この方は八重歯が気になるとご来院されました。
詳細はコチラ
-
オールセラミッククラウン法による歯並び治療の症例
[No.D-0274 / オールセラミッククラウン4本 / モニター] -
-
この方は八重歯が気になるとご来院されました。
セラミック法で八重歯の部分だけの治療を行いまた。
治療回数は4回でした。






































































































































































































































































