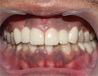
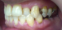
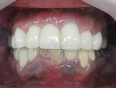
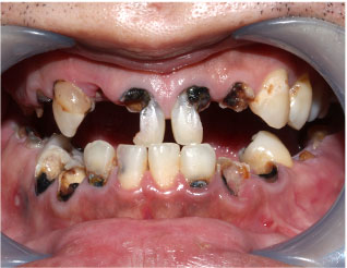
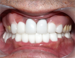
虫歯 症例写真
治療1回目から見た目は改善、少回数でOK!
虫歯 ビフォーアフター症例写真を更新中!
-
-
症例写真
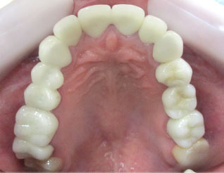
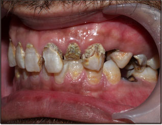
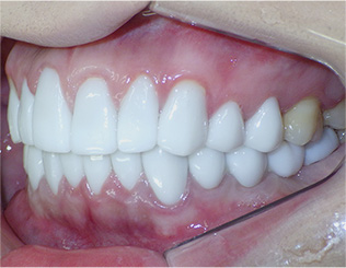
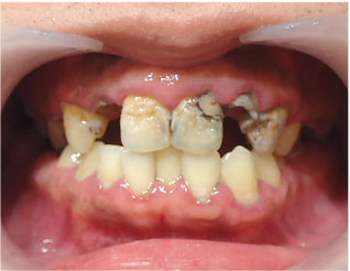
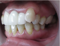
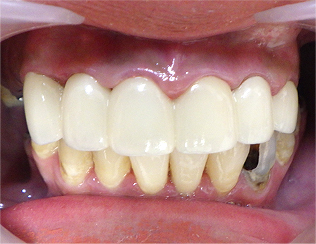
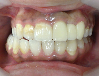
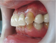
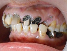
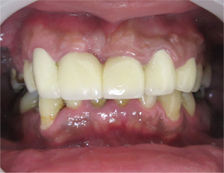
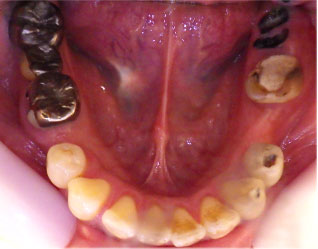
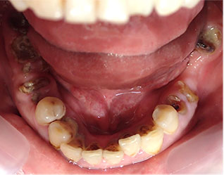
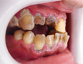
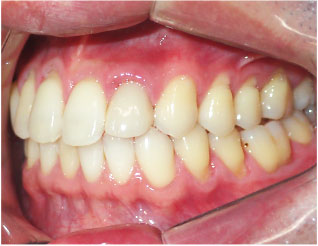
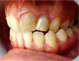
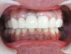
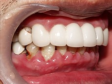
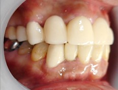
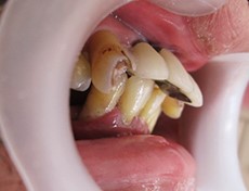
[フルジルコニア4本] - この方は奥歯に大きな虫歯がありました。
詳細はコチラ
-
フルジルコニアによる虫歯治療の症例
[No.C-0274 / フルジルコニア4本 / 20代モニター] -
-
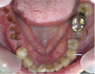
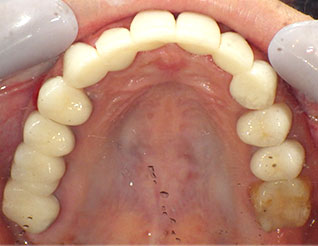
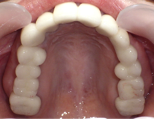
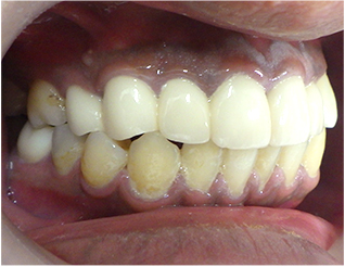
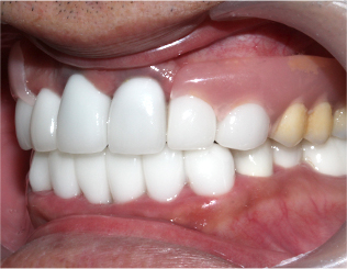
この方は奥歯に大きな虫歯がありました。 向かって左の大きな虫歯は抜歯になりましたが、両隣の歯を用いてフルジルコニアのブリッジで治療しました。 大きな虫歯は根の治療をした後、土台を入れてジルコニアセラミックで治しました。 当院では1回目の治療時に仮歯を入れますので、すぐに虫歯の穴や歯の欠損はなくなります。 両側の虫歯治療は同時進行で行いますので少ない回数での治療が可能です。
-
-
症例写真
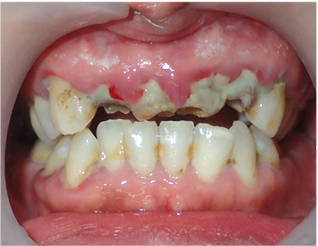
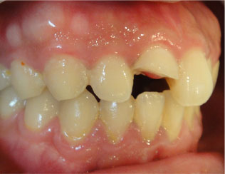
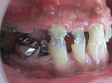
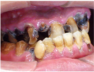
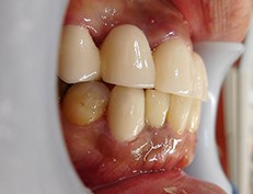
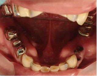
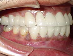
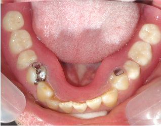
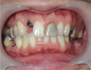
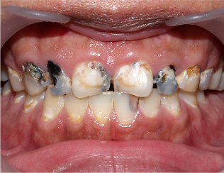
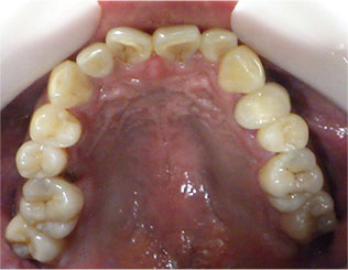
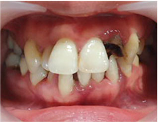
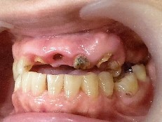
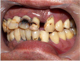
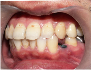
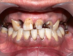
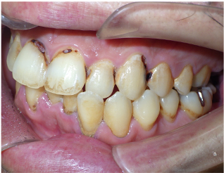
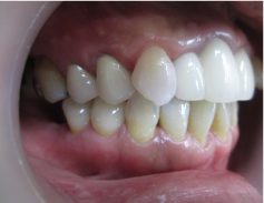
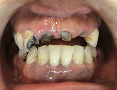
[ジルコニア6本 部分入れ歯1個] - この方は 歯がなくなってしまっている部分が多数ありました。
詳細はコチラ
-
ジルコニアによる虫歯治療の症例
[No.C-0273 / ジルコニア6本 部分入れ歯1個 / 20代モニター] -
-
この方は 歯がなくなってしまっている部分が多数ありました。 1回目の治療時に仮歯を入れますので、すぐに見た目が気にならなくなります。 虫歯治療をしたのち、セラミックの歯を被せて治しました。 当院では1回に何本もまとめて治療しますので少ない回数で治療可能です。
-
-
症例写真
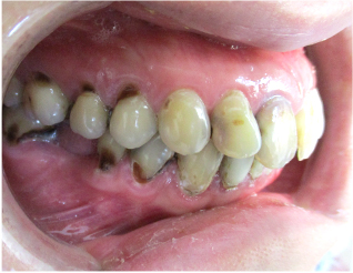
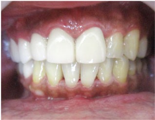
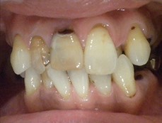
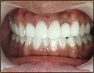
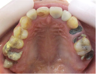
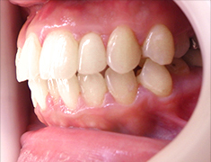
[スタンダードジルコニア1本] - この方は奥歯に大きな虫歯がありました。
詳細はコチラ
-
セラミック法による虫歯治療の症例
[No.C-0272 / スタンダードジルコニア1本 / 20代モニター] -
-
この方は奥歯に大きな虫歯がありました。 虫歯をとって、根の治療を行い、最終的にセラミックの歯を被せて治しました。 治療回数は5回でした。
-
-
症例写真
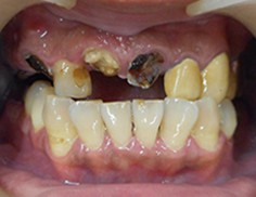
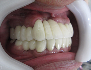
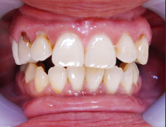
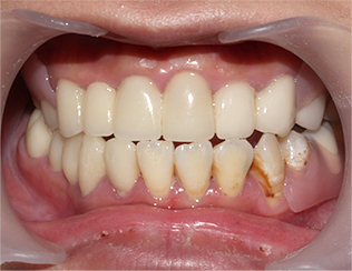
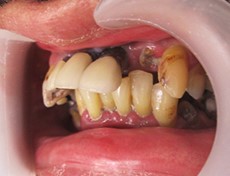
[スタンダードジルコニア3本] - この方は事故で歯が欠けてしまっていました。
詳細はコチラ
-
セラミック法による虫歯治療の症例
[No.C-0271 / スタンダードジルコニア3本 / 40代モニター] -
-
この方は事故で歯が欠けてしまっていました。 向かって左の前歯2本をセラミックで治しました。 1回目の治療時に仮歯を入れますので、すぐに見た目が気にならなくなります。 治療回数は4回でした。
-
-
症例写真
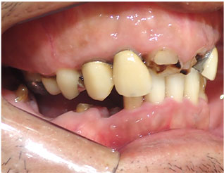
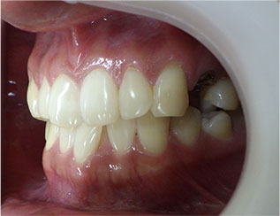
[スタンダードジルコニア13本] - この方は奥歯に重度の虫歯が多数ありました。
詳細はコチラ
-
セラミック法による虫歯治療の症例
[No.C-0270 / スタンダードジルコニア13本 / 30代モニター] -
-
この方は奥歯に重度の虫歯が多数ありました。 前歯から小臼歯部はブリッジで治し、奥歯の連続して欠損している部分はスマイルデンチャー(金具の目立たない入れ歯)で治しました。
-
-
症例写真
[スタンダードジルコニア19本] - この方は上下ともにほとんどの歯が虫歯でした。
詳細はコチラ
-
セラミック法による虫歯治療の症例
[No.C-0269 / スタンダードジルコニア19本 / 30代モニター] -
-
この方は上下ともにほとんどの歯が虫歯でした。 このような状態でも1回目の治療時に仮歯を入れますので、すぐに見た目が気にならなくなります。 根の治療を行い、土台を入れ、最終的にセラミックの歯をかぶせて治しました。 1回に10本以上の歯をまとめて治療できますので、保険診療よりも少ない回数での治療が可能です。
-
-
症例写真
[FZC6本] - この方は、前歯が虫歯で折れてしまっていました。
詳細はコチラ
-
フルジルコニアクラウンによる虫歯治療の症例
[No.C-0268 / FZC6本 / 30代モニター] -
-
この方は、前歯が虫歯で折れてしまっていました。 歯並びも一緒に治したいとのことでしたので前歯6本をセラミック法で歯並び治療、虫歯治療を同時に行いました。 治療回数は5回でした。
-
-
症例写真
[オールセラミッククラウン15本] - この方は黒い虫歯が目立つ状態でした。
詳細はコチラ
-
オールセラミッククラウン法による虫歯治療の症例
[No.C-0267 / オールセラミッククラウン15本 / 30代モニター] -
-
この方は黒い虫歯が目立つ状態でした。 抜歯しなくてはいけない状態の歯もありましたし、すでに抜けてしまった部分もありました。 奥歯はブリッジで治しました。 1回に複数本の虫歯治療ができますので保険診療の歯科医院よりも少ない回数で治療が可能です。
-
-
症例写真
[スタンダードジルコニア6本] - この方は、上の歯には小さい虫歯があり、下の歯には大きな虫歯がありました。
詳細はコチラ
-
セラミック法による虫歯治療の症例
[No.C-0266 / スタンダードジルコニア6本 / 20代モニター] -
-
この方は、上の歯には小さい虫歯があり、下の歯には大きな虫歯がありました。 下の歯は2本抜歯しなくてはいけない状態でしたがブリッジで治しました。 小さい虫歯は白い樹脂を詰める方法で治しました。 1回にまとめて治療しますので、保険診療よりも少ない回数で治療可能です。 この方の治療回数は5回でした。
-
-
症例写真
[スタンダードジルコニア9本] - この方は上の歯が酷い虫歯でかみ合わせも反対になってしまっていました。
詳細はコチラ
-
セラミック法による虫歯治療の症例
[No.C-0264 / スタンダードジルコニア9本 / 50代モニター] -
-
この方は上の歯が酷い虫歯でかみ合わせも反対になってしまっていました。 歯が抜けたまま放置していた状態です。 上の歯は2本だけしか残せませんので、スマイルデンチャーという金具の見えない部分入れ歯で治しました。 下の歯は歯周病で抜歯になる歯がありました。 虫歯もありましたのでセラミックブリッジを入れて治しました。 当院ではこのような重度の方でもきれいに治しきる事が可能です。
-
-
症例写真
[オールセラミッククラウン6本、スタンダードジルコニア3本] - この方は前歯、奥歯に大きな虫歯がありました。
詳細はコチラ
-
オールセラミッククラウン法、セラミック法による虫歯治療の症例
[No.C-0265 / オールセラミッククラウン6本、スタンダードジルコニア3本 / 30代モニター] -
-
この方は前歯、奥歯に大きな虫歯がありました。 また、歯並びも治したいとの事でした。 上の奥歯は抜歯しなくてはいけない歯もありましたが、セラミックのブリッジで治しました。 下の奥歯は2本連続で欠損しましたのでスマイルデンチャーという目立たない部分入れ歯で治しました。 治療後には清潔感のある美しいお口元になりました。
-
-
症例写真
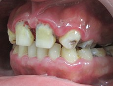
[スタンダードジルコニア5本] - この方は上の歯1本と下の歯2本が大きな虫歯でした。
詳細はコチラ
-
セラミック法による虫歯治療の症例
[No.C-0264 / スタンダードジルコニア5本 / 20代モニター] -
-
この方は上の歯1本と下の歯2本が大きな虫歯でした。 下の歯1本は虫歯が酷く抜歯になりましたので、両隣の歯を用いてブリッジで治しました。 この様に何本も虫歯があってもまとめて治療しますので少ない回数で治療できます。 この方は根の治療をして、土台を立てた後セラミックの歯を被せました。 治療回数は7回でした。
-
-
症例写真
[オールセラミッククラウン8本] - この方は前歯や奥歯に大きな虫歯がありました。
詳細はコチラ
-
オールセラミッククラウン法による虫歯治療の症例
[No.C-0263 / オールセラミッククラウン8本 / 10代モニター] -
-
この方は前歯や奥歯に大きな虫歯がありました。 また、歯が大きいのも治したいという事でした。 1回目の治療時に仮歯を入れてどの程度の歯の大きさが良いかデザインします。 虫歯治療や根の治療をしてから、最終的に患者様のお好みの大きさのセラミックの歯を被せて治しました。
-
-
症例写真
[スタンダードジルコニア9本] - この方は重度の虫歯と欠損がありました。
詳細はコチラ
-
セラミック法による虫歯治療の症例
[No.C-0262 / スタンダードジルコニア9本 / 40代モニター] -
-
この方は重度の虫歯と欠損がありました。 虫歯はセラミック法で治し、欠損部分はスマイルデンチャーという金具の見えない部分入れ歯で治しました。 1回目の治療時に仮歯を入れますので、歯が抜けた状態はすぐに治ります。 1回に何本も同時に治しますので保険診療よりも少ない回数で治療可能です。
-
-
症例写真
[スタンダードジルコニア16本] - この方は歯科治療が怖くてなかなか治療に行けなかったそうです。
詳細はコチラ
-
セラミック法による虫歯治療の症例
[No.C-0261 / スタンダードジルコニア16本 / 50代モニター] -
-
この方は歯科治療が怖くてなかなか治療に行けなかったそうです。 静脈内鎮静法で抜歯をしたり、虫歯治療をする事で ここまで改善する事ができました。 1回目の治療時に仮歯を入れますのですぐに見た目が気にならなくなります。 奥歯は欠損が多いのでスマイルデンチャーという目立たない入れ歯で治しました。
-
-
症例写真
[スタンダードジルコニア13本] - この方は奥歯に抜歯が必要な大きな虫歯が多数ありました。
詳細はコチラ
-
セラミック法による虫歯治療の症例
[No.C-0260 / スタンダードジルコニア13本 / 20代モニター] -
-
この方は奥歯に抜歯が必要な大きな虫歯が多数ありました。 前歯の歯並びもきれいにしたいとの事でした。 1回目の治療時に抜歯をし、仮歯を入れました。 虫歯治療をした後、セラミックの歯を被せて治しています。 奥歯の欠損が多い部分はスマイルデンチャーという金具の見えない部分入れ歯で治しました。
-
-
症例写真
[フルジルコニア4本] - この方は前歯に大きな虫歯がありました。
詳細はコチラ
-
フルジルコニアによる虫歯治療の症例
[No.C-0259 / フルジルコニア4本 / 30代モニター] -
-
この方は前歯に大きな虫歯がありました。 大きな穴が開いていて、神経の治療まで必要でしたのでセラミック法でなおしました。 1回目の治療時に仮歯を入れますのですぐに見た目が気にならなくなります。 治療回数は5回でした。
-
-
症例写真
[オールセラミッククラウン21本] - この方は重度の虫歯が多い方でした。
詳細はコチラ
-
オールセラミッククラウン法による虫歯治療の症例
[No.C-0258 / オールセラミッククラウン21本 / 30代モニター] -
-
この方は重度の虫歯が多い方でした。 歯科治療が怖くてなかなか治療に行けなかったそうです。 1回目の治療時に仮歯を入れますのですぐに見た目が気にならなくなります。 ほとんどの歯の治療が必要でしたので1年程度かかりましたが 全部の歯をきれいに治す事ができました。
-
-
症例写真
[スタンダードジルコニア19本] - この方は全体的に虫歯が多く、受け口の状態でした。
詳細はコチラ
-
セラミック法による虫歯治療の症例
[No.C-0257 / スタンダードジルコニア19本 / 50代モニター] -
-
この方は全体的に虫歯が多く、受け口の状態でした。
1回目の治療時に仮歯を入れますのですぐに虫歯で黒ずんだ部分や抜けている部分が見えなくなります。
当院では1回に何本もの治療ができますので少ない回数で虫歯治療が可能です。
-
-
症例写真
[スタンダードジルコニア6本] - この方は奥歯に大きな虫歯がありました。
詳細はコチラ
-
セラミック法による虫歯治療の症例
[No.C-0256 / スタンダードジルコニア6本 / 50代モニター] -
-
この方は奥歯に大きな虫歯がありました。 抜歯になる歯もありましたが ブリッジで治す事ができました。 1回目の治療時に仮歯を入れますのですぐに歯の欠損は無くなります。 治療回数は6回でした。
-
-
症例写真
[スタンダードジルコニア17本] - この方は虫歯と歯並び治療を希望してご来院されました。
詳細はコチラ
-
セラミック法による虫歯治療の症例
[No.C-0255 / スタンダードジルコニア17本 / 20代モニター] -
-
この方は虫歯と歯並び治療を希望してご来院されました。 上の歯の重度の虫歯は抜歯となりましたがブリッジで治療しました。 セラミック法は虫歯治療と一緒に歯並びも治せます。 歯の色も黄色かったので、セラミックの歯はお好みの白さの歯にしました。 下の奥歯は目立たない部分入れ歯(スマイルデンチャー)で治しました。 1回目の治療時に仮歯を入れますのですぐに見た目が気にならなくなります。
-
-
症例写真
[スタンダードジルコニア11本] - この方は前歯や奥歯に虫歯が出来ていました。
詳細はコチラ
-
セラミック法による虫歯治療の症例
[No.C-0254 / スタンダードジルコニア11本 / 30代モニター] -
-
この方は前歯や奥歯に虫歯が出来ていました。 虫歯がかなり進行している歯は抜歯となりましたがブリッジで治しました。 1回目の治療時に仮歯を入れますので虫歯で黒ずんでいたり、歯が欠損している部分はなくなります。 治療回数は7回でした。
-
-
症例写真
[スタンダードジルコニア13本] - この方は虫歯、歯の色、歯並び治療をご希望されました。
詳細はコチラ
-
セラミック法による虫歯治療の症例
[No.C-0253 / スタンダードジルコニア13本 / 20代モニター] -
-
この方は虫歯、歯の色、歯並び治療をご希望されました。
セラミック法で上の歯全部を治しました。
奥歯の虫歯は重度で抜歯になりましたが、セラミックのブリッジで治しました。
前歯が大きく少し出ていた状態も治しました。
歯の色は患者様のお好みの色でお作り出来ます。
-
-
症例写真
[スタンダードジルコニア4本] - この方は前歯が治療途中のままになっていました。
詳細はコチラ
-
セラミック法による虫歯治療の症例
[No.C-0252 / スタンダードジルコニア4本 / 40代モニター] -
-
この方は前歯が治療途中のままになっていました。
仮歯が入っていましたが、歯に全くあっていないために隙間ができて虫歯がさらに悪化していました。
仮歯がすぐに外れてしまう状態なので、きれいにしたいという事でご来院されました。
まず1回目の治療時に虫歯を取って、隙間がなく、形の良い仮歯を入れます。
根の治療などしてから土台を入れ、最終的にセラミックの歯を被せて治療完了です。
この方は他にも治療が必要な歯がありましたがまずは目立つ部分だけの治療を希望されました。
当院ではご希望に応じて部分的な治療が可能です。
-
-
症例写真
[オールセラミッククラウン5本、スタンダードジルコニア9本] - この方は前歯と奥歯に重度の虫歯が何本もありました。
詳細はコチラ
-
オールセラミッククラウン法、セラミック法による虫歯治療の症例
[No.C-0251 / オールセラミッククラウン5本、スタンダードジルコニア9本 / 40代モニター] -
-
この方は前歯と奥歯に重度の虫歯が何本もありました。
奥歯は残念ながら抜歯しなくてはいけない状態でしたので金具の見えないスマイルデンチャーという入れ歯を入れました。
前歯も重度の虫歯でしたが根を残す事が出来ましたのでセラミックの歯を被せて治しました。
治療回数は7回でした。
-
-
症例写真
[オールセラミッククラウン9本] - この方は前歯や奥歯に重度の虫歯が多発していました。
詳細はコチラ
-
オールセラミッククラウン法による虫歯治療の症例
[No.C-0250 / オールセラミッククラウン9本 / 20代モニター] -
-
この方は前歯や奥歯に重度の虫歯が多発していました。
当院は何本も治療する歯があっても1回でまとめて治療できます。
1回目の治療時に仮歯を入れますのですぐに見た目が気にならなくなります。
奥歯は2本とも抜歯になりましたのでスマイルデンチャーという金具の見えない部分入れ歯を入れて治しました。
治療回数は7回でした。
-
-
症例写真
[スタンダードジルコニア4本] - この方は前歯の虫歯を治したいとご来院されました。
詳細はコチラ
-
セラミック法による虫歯治療の症例
[No.C-0249 / スタンダードジルコニア4本 / 50代モニター] -
-
この方は前歯の虫歯を治したいとご来院されました。
奥歯にも虫歯があり、欠損もありましたが
とりあえず早く見た目だけを治したいとの事でした。
当院では患者様が治療を希望する歯だけの治療も可能です。
1回目の治療時に白い仮歯を入れますのですぐに見た目が気にならなくなります。
下の歯に着色汚れと歯石がついていましたので
デンタルエステで歯石、着色除去を行いました。
治療回数は5回でした。
-
-
症例写真
[オールセラミッククラウン3本] - この方は前歯4本に虫歯がありました。
詳細はコチラ
-
オールセラミッククラウン法による虫歯治療の症例
[No.C-0248 / オールセラミッククラウン3本 / 20代モニター] -
-
この方は前歯4本に虫歯がありました。
前歯2本がかなり大きく、目立ってしまっていましたので
虫歯治療と一緒に歯の大きさを小さくしました。
1回目の治療時に白い仮歯を入れますので虫歯の黒ずみ、かけた部分がなくなりますのですぐに見た目が気にならなくなります。
1回に4本まとめて治療しますので治療回数が少なく済みます。
治療回数は5回でした。
-
-
症例写真
[スタンダードジルコニア13本] - この方はかなり重度の虫歯が多数ある方でした。
詳細はコチラ
-
セラミック法による虫歯治療の症例
[No.C-0247 / スタンダードジルコニア13本 / 40代モニター] -
-
この方はかなり重度の虫歯が多数ある方でした。
奥歯は部分入れ歯(スマイルデンチャー)で治し、前歯はセラミックの歯を被せて虫歯治療しました。
スマイルデンチャーは裏側を小さく、薄くするために金属になっています。見える部分に金属のバネがかかりませんので入れ歯を入れている事は気づかれません。
治療後のお口元はまるで別人のように健康的なお口元になりました。
-
-
症例写真
[オールセラミッククラウン2本] - この方は前歯2本の虫歯が目立ってきたので治したいとご来院されました。
詳細はコチラ
-
オールセラミッククラウン法による虫歯治療の症例
[No.C-0246 / オールセラミッククラウン2本 / 20代モニター] -
-
この方は前歯2本の虫歯が目立ってきたので治したいとご来院されました。
1回目の治療時に白い仮歯を入れますのですぐに見た目が気にならなくなります。また、歯が出ていた部分も引っ込めたセラミックを入れました。
治療回数は4回でした。
-
-
症例写真
[スタンダードジルコニア2本] - この方は小さい虫歯がたくさんありました。
詳細はコチラ
-
セラミック法による虫歯治療の症例
[No.C-0245 / スタンダードジルコニア2本 / 40代モニター] -
-
この方は小さい虫歯がたくさんありました。
小さい虫歯はレジン充填という方法で治す事が出来ました。
この方法は1回で治療完了します。
本数が多いので2回に分けて治療しました。
大きな虫歯はセラミックの歯を被せて治しました。
まだ治療しなくてはいけない状態の虫歯がありますが
ご予算の関係上、残りの虫歯はまた後日治療するという事でした。
当院ではご予算内での治療も可能です。
-
-
症例写真
[オールセラミッククラウン9本、スタンダードジルコニア3本] - この方は前歯や奥歯に虫歯がたくさんありました。
詳細はコチラ
-
オールセラミッククラウン法、セラミック法による虫歯治療の症例
[No.C-0244 / オールセラミッククラウン9本、スタンダードジルコニア3本 / 20代モニター] -
-
この方は前歯や奥歯に虫歯がたくさんありました。
奥歯の重度の虫歯は抜歯となったぶぶんもあります。
小さい虫歯はレジン充填という方法でなおし、
大きな虫歯はセラミックの歯を被せる方法で治しました。
この様にたくさんの虫歯があっても同時進行で治しますので少ない回数で治療が可能です。
-
-
症例写真
[スタンダードジルコニア5本] - この方は前歯や奥歯に大きな虫歯がありました。
詳細はコチラ
-
セラミック法による虫歯治療の症例
[No.C-0243 / スタンダードジルコニア5本 / 20代モニター] -
-
この方は前歯や奥歯に大きな虫歯がありました。抜歯が必要な歯もありましたが、セラミックのブリッジを入れて治しました。
当院では沢山虫歯があっても同時進行でまとめて治療しますので
少ない回数で治す事が可能です。
-
-
症例写真
[スタンダードジルコニア3本] - この方は上の歯が虫歯で、すでに根だけになった状態の部分が目立っていました。
詳細はコチラ
-
セラミック法による虫歯治療の症例
[No.C-0242 / スタンダードジルコニア3本 / 30代モニター] -
-
この方は上の歯が虫歯で、すでに根だけになった状態の部分が目立っていました。1回目の治療時に虫歯を取り、抜歯をし、きれいな仮歯を入れますのですぐに見た目が気にならなくなります。
当院ではこのように全体的に虫歯があっても同時進行で治療する事が可能です。
-
-
症例写真
[スタンダードジルコニア8本] - この方はかなり進行した虫歯が多数ありました。
詳細はコチラ
-
セラミック法による虫歯治療の症例
[No.C-0241 / スタンダードジルコニア8本 / 30代モニター] -
-
この方はかなり進行した虫歯が多数ありました。
幸い、残せる歯がありましたのでブリッジで治す事が出来ました。
当院ではこのような多数歯虫歯も同時進行で治療可能です。
-
-
症例写真
[スタンダードジルコニア13本] - この方は前歯や奥歯に重度の虫歯があり、歯が無くなっている部分もありました。
詳細はコチラ
-
セラミック法による虫歯治療の症例
[No.C-0240 / スタンダードジルコニア13本 / 40代モニター] -
-
この方は前歯や奥歯に重度の虫歯があり、歯が無くなっている部分もありました。 セラミック法で全部の虫歯治療を行いました。 1回目の治療時に仮歯を入れますのですぐに黒ずんだ部分や歯が無い部分が無くなり ます。 奥歯の欠損には今後部分入れ歯を入れる予定です。
-
-
症例写真
[スタンダードジルコニア7本] - この方は奥歯に重度の虫歯がありました。
詳細はコチラ
-
セラミック法による虫歯治療の症例
[No.C-0239 / スタンダードジルコニア7本 / 20代モニター] -
-
この方は奥歯に重度の虫歯がありました。
抜歯となった部分はブリッジで治しました。
大きな穴が開いた歯は虫歯治療、根の治療をした後にセラミックの歯を被せて治しま
した。
また、歯石もたくさん付いていて歯茎も腫れていましたが
歯石除去や歯磨き練習をしましたので、歯茎が引き締まってきれいな状態になりまし
た。
-
-
症例写真
[オールセラミッククラウン3本、スタンダードジルコニア2本] - この方は大きな虫歯があり、抜歯も必要でした。
詳細はコチラ
-
オールセラミッククラウン法、セラミック法による虫歯治療の症例
[No.C-0238 / オールセラミッククラウン3本、スタンダードジルコニア2本 / 30代モニター] -
-
この方は大きな虫歯があり、抜歯も必要でした。
抜歯した部分は白いブリッジで治しました。
前歯などはセラミックの歯を被せました。
この方の様にあちこちに虫歯があっても同時進行で治療しますので
保険診療よりも少ない回数で治療可能です。
-
-
症例写真
[スタンダードジルコニア15本] - この方は前歯も奥歯も虫歯で黒ずんでいました。
詳細はコチラ
-
セラミック法による虫歯治療の症例
[No.C-0237 / スタンダードジルコニア15本 / 30代モニター] -
-
この方は前歯も奥歯も虫歯で黒ずんでいました。
すでに歯が無い部分はブリッジで治しました。
この方は左右に大きな虫歯がありますので前歯と右側の治療を先に行い、元のかみ合わせがくるわない様に治療を進めました。
前歯と右側にセラミックの歯を入れたのちに左奥歯の治療を進めました。
全体的に大きな虫歯や欠損がある場合はかみ合わせが悪くならないように慎重な治療が必要とされます。
治療回数は8回でした。
-
-
症例写真
[スタンダードジルコニア1本、スタンダードジルコニア6本] - この方は気になる2本だけ虫歯治療しました。
詳細はコチラ
-
セラミック法による虫歯治療の症例
[No.C-0236 / スタンダードジルコニア1本、スタンダードジルコニア6本 / 20代モニター] -
-
この方は気になる2本だけ虫歯治療しました。
他の歯にも虫歯があり、治療をした方が良いのですがご予算の関係で
2本だけ治療しました。
1回目の治療時に仮歯を入れますのですぐに虫歯の穴も無くなります。
虫歯が大きく、根が炎症を起こしていましたので
治療回数は6回でした。

















































































































































































































































































