歯周病 症例写真
治療1回目から見た目は改善、少回数でOK!
歯周病 ビフォーアフター症例写真を更新中!
-
-
症例写真
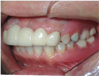
[スタンダードジルコニア6本] - この方は向かって左側の上の2,3番目の歯が歯周病でぐらぐらでした。
詳細はコチラ
-
セラミック法による歯周病治療の症例
[No.P-0019 / スタンダードジルコニア6本 / モニター] -
-
この方は向かって左側の上の2,3番目の歯が歯周病でぐらぐらでした。 ボンドで辛うじて留めてある状態でした。 当院ではこのような場合は、治療する前に仮歯をご用意しておきます。 そして、抜歯と同時に仮歯を入れます。 ですから、見た目に支障が出ることはありません。 抜歯した部分の両隣の歯を用いてブリッジで治しました。 治療回数は5回でした。
-
-
症例写真
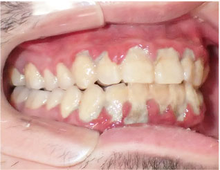
[オールセラミッククラウン6本、スタンダードジルコニア6本] - この方は前歯が歯周病で抜けていたり、グラグラしてしまっている部分がありました。
詳細はコチラ
-
オールセラミッククラウン法、セラミック法による歯周病治療の症例
[No.P-0018 / オールセラミッククラウン6本、スタンダードジルコニア6本 / モニター] -
-
この方は前歯が歯周病で抜けていたり、グラグラしてしまっている部分がありました。
欠損部分の両隣の歯を使って、ブリッジで治しました。
ご自身の歯が元々グレーなのでそれに合わせた色のセラミックの歯をお作り致しました。
1回目の治療時に仮歯を入れますのですぐに見た目が気にならなくなります。
治療回数は6回でした。
-
-
症例写真
[スタンダードジルコニア9本、スマイルデンチャー2床] - この方は歯周病で前歯が抜けそうな状態でした。
詳細はコチラ
-
セラミック法、スマイルデンチャーによる歯周病治療の症例
[No.P-0017 / スタンダードジルコニア9本、スマイルデンチャー2床 / モニター] -
-
この方は歯周病で前歯が抜けそうな状態でした。
1本抜歯し、前歯はブリッジで治しました。
奥歯はすでに無い状態でしたので、スマイルデンチャーで治しました。
治療後は別人のようになりました。
-
-
症例写真
[スタンダードジルコニア8本] - この方は前歯が歯周病で動いて、飛び出した状態でした。
詳細はコチラ
-
セラミック法による歯周病治療の症例
[No.P-0016 / スタンダードジルコニア8本 / モニター] -
-
この方は前歯が歯周病で動いて、飛び出した状態でした。
前歯2本はぐらつきが大きいため抜歯となりました。
抜歯と同時に周囲の歯を利用してブリッジの仮歯をいれますので
治療期間中に見た目が気になることはありません。
治療回数は5回でした。
治療後は清潔感のあるお口元になりました。
-
-
症例写真
[スタンダードジルコニア2本] - この方はご来院時、歯磨きが出来ていない状態でした。
詳細はコチラ
-
セラミック法による歯周病治療の症例
[No.P-0015 / スタンダードジルコニア2本 / モニター] -
-
この方はご来院時、歯磨きが出来ていない状態でした。
歯垢がたくさんたまって、歯茎が赤くはれていました。
歯肉炎から歯周病に進行しかけている状態でした。
歯石除去や歯垢を取り、歯磨き練習をする事で
きれいな引き締まった歯茎になりました。
-
-
症例写真
[スタンダードジルコニア3本] - この方は歯磨きが出来ておらず、歯石が大量にたまっている状態でした。
詳細はコチラ
-
セラミック法による歯周病治療の症例
[No.P-0014 / スタンダードジルコニア3本 / モニター] -
-
この方は歯磨きが出来ておらず、歯石が大量にたまっている状態でした。
1回目の治療時に全部の歯の歯石を徹底的に除去しました。
その後は正しい歯磨きを続けて頂き、引き締まった歯茎になりました。
-
-
症例写真
[スタンダードジルコニア6本] - この方は黒い歯石が歯周ポケット内部に大量についていました。
詳細はコチラ
-
セラミック法による歯周病治療の症例
[No.P-0013 / スタンダードジルコニア6本 / モニター] -
-
この方は黒い歯石が歯周ポケット内部に大量についていました。
そのため、30代と若い方ですが歯周病がかなり進行してしまっていました。
まず、1回目の治療で全部の歯の歯石除去を行いました。
歯茎が急性炎症を起こして腫れていましたので、抗生物質や消炎鎮痛剤の処方もしました。
次に歯磨き練習を徹底し、毎日正しい歯磨きを続けて頂きました。
3か月後にはかなり歯肉の炎症が引き、引き締まった良い状態になりました。
虫歯の部分は抜歯してブリッジで治しています。
今後は半年に1回の定期検診で良い状態が保てているかチェックしていきます。
-
-
症例写真
[オールセラミッククラウン2本] - この方は下の歯や上の歯に黒い歯石がかなり沈着していました。
詳細はコチラ
-
オールセラミッククラウン法による歯周病治療の症例
[No.P-0012 / オールセラミッククラウン2本 / モニター] -
-
この方は下の歯や上の歯に黒い歯石がかなり沈着していました。
1回目の治療時にデンタルエステを行いました。
デンタルエステは見える歯石だけでなく歯周ポケットに入り込んでいる歯石も取り去ります。
1回で全部の歯の歯石を除去します。
歯石を取った後は、正しい歯磨きの練習を行います。
治療前と比較すると歯茎の腫れが改善しています。
また、前歯2本の歯並びが気になるとの事でしたのでセラミック法で歯並び治療も行いました。
-
-
症例写真
[スタンダードジルコニア6本] - この方は歯周病で歯が動いてしまっていました。
詳細はコチラ
-
セラミック法による歯周病治療の症例
[No.P-0011 / スタンダードジルコニア6本 / モニター] -
-
この方は歯周病で歯が動いてしまっていました。
前歯の1本はグラグラして、隙間があいてしまっていました。
グラグラしすぎている歯は抜歯し、ブリッジという方法で治しました。
-
-
症例写真
[スタンダードジルコニア6本] - この方は歯周病で歯茎が下がり、差し歯の付け根が黒ずんでいる部分が また、歯磨きができてお
詳細はコチラ
-
セラミック法による歯周病治療の症例
[No.P-0010 / スタンダードジルコニア6本 / モニター] -
-
この方は歯周病で歯茎が下がり、差し歯の付け根が黒ずんでいる部分が
また、歯磨きができておらず、治療前は歯垢だらけでした。
歯石、歯垢除去、をして歯磨き練習を行う事で
治療後はきれいな歯茎になりました。
-
-
症例写真
[オールセラミッククラウン9本] - この方は前歯に差し歯が入っていましたが、歯茎が下がって隙間が目立っていました。
詳細はコチラ
-
オールセラミッククラウン法による歯周病治療の症例
[No.P-0009 / オールセラミッククラウン9本 / モニター] -
-
この方は前歯に差し歯が入っていましたが、歯茎が下がって隙間が目立っていました。
この様な場合は、お口の中を全体的にクリーニングし、
歯肉の炎症を解消しながら歯茎の隙間をなくすようにセラミックの歯を被せます。
セラミックの歯は滑沢ですので歯茎に優しく、歯周病の方にお勧めな材質です。
1回目の治療時に仮歯を入れますのですぐに歯茎と歯の隙間がなくせます。
-
-
症例写真
[スタンダードジルコニア6本・デンタルエステ] - この方は歯磨きが正しくできていない上に前歯に不適合(歯にあっていない)な差し歯が入っていた
詳細はコチラ
-
セラミック法、デンタルエステによる歯周病治療の症例
[No.P-0008 / スタンダードジルコニア6本・デンタルエステ / モニター] -
-
この方は歯磨きが正しくできていない上に前歯に不適合(歯にあっていない)な差し歯が入っていたため歯茎がかなり腫れて、ぶよぶよとした状態でした。
まず不適合な差し歯を除去し、仮歯にします。その後、デンタルエステを行います。デンタルエステは歯垢、歯石を徹底的に除去し、歯磨き練習を行います。
歯茎が引き締まってきたら、適合の良いセラミックの歯を被せて治療をいったん終了します。
ただ、歯周病の方は治療後の定期検診が最も重要です。
定期検診は半年に1回程度ご来院頂きます。
定期検診では歯石除去などのクリーニング、歯磨きが出来ているかの確認などを行います。
-
-
症例写真
[スタンダードジルコニア15本・スマイルデンチャー1床] - この方は歯周病で歯茎が下がり、出っ歯になってきていました。
詳細はコチラ
-
セラミック法、スマイルデンチャーによる歯周病治療の症例
[No.P-0007 / スタンダードジルコニア15本・スマイルデンチャー1床 / モニター] -
-
この方は歯周病で歯茎が下がり、出っ歯になってきていました。
歯周病でぐらついている歯は抜歯になりました。
前歯の歯茎が下がって隙間ができている部分はセラミック法で治しました。
奥歯の欠損部はスマイルデンチャーという目立たない入れ歯で治しました。
治療後は白くきれいな口元になりました。
-
-
症例写真
[オールセラミッククラウン9本、セラミック法1本] - この方は 虫歯と歯周病で歯が出たり、黒ずんでしまい 見た目が悪化していました。
詳細はコチラ
-
オールセラミッククラウン法、セラミック法による歯周病治療の症例
[No.P-0006 / オールセラミッククラウン9本、セラミック法1本 / モニター] -
-
この方は
虫歯と歯周病で歯が出たり、黒ずんでしまい
見た目が悪化していました。
前歯1本は歯周病で抜歯となりました。
抜歯と同時に仮歯のブリッジを入れますので
見た目や機能に支障が出る期間がありません。
-
-
症例写真
[オールセラミッククラウン5本] - 歯周病がある程度進むと歯が徐々に移動して歯並びが悪くなってくる事がよくあります。
詳細はコチラ
-
オールセラミッククラウン法による歯周病治療の症例
[No.P-0005 / オールセラミッククラウン5本 / モニター] -
-
歯周病がある程度進むと歯が徐々に移動して歯並びが悪くなってくる事がよくあります。
この方も前歯が1本ぐらついてしまって抜歯となりました。
しかし当院では抜歯と同時に仮歯をいれますので見た目をきれいにしながら
歯周病治療をすることができます。
歯周病で歯茎が下がり、歯と歯茎の隙間が大きくなり
気になっているとの事でした。
セラミック法でしたら歯と歯茎の間の隙間も埋める事ができます。
-
-
症例写真
[セラミック法8本] - この方は前歯が歯周病ででてしまい、左側の1本はぐらぐらでした。
詳細はコチラ
-
セラミック法による歯周病治療の症例
[No.P-0004 / セラミック法8本 / モニター] -
-
この方は前歯が歯周病ででてしまい、左側の1本はぐらぐらでした。
残念ながらその歯は抜歯となりましたが、ブリッジ治療でこんなにきれいな
お口元になりました。
-
-
症例写真
[スタンダードジルコニアクラウン] - この方は歯周病のために歯がぐらついたり、歯が伸びてきてしまったためご来院されました。
詳細はコチラ
-
スタンダードジルコニアクラウン法による歯周病治療、歯列矯正の症例写真
[No.P-0003 / スタンダードジルコニアクラウン / モニター] -
-
この方は歯周病のために歯がぐらついたり、歯が伸びてきてしまったためご来院されました。
向かって右上の前歯はかなり骨が吸収してしまっているため抜歯となりました。
前歯6本はブリッジになっています。
治療の際には歯周病治療として全部の歯の歯垢除去、
歯石除去と同時に歯磨き練習を毎回行いました。
歯茎が引き締まり、治療前と比較して歯茎がピンク色になっているのがわかるかと思います。
歯周病治療と見た目の回復を同時に行うことができました。
治療回数は5回で終了しました。
治療後は歯周病が再発しないように6か月に1回の定期検診を継続しています。
-
-
症例写真
[スタンダードジルコニアクラウン 上6本のブリッジ] - この方は歯周病のために歯がぐらついて移動してしまっていた方です。
詳細はコチラ
-
スタンダードジルコニアクラウン法による歯周病治療、歯列矯正の症例写真
[No.P-0002 / スタンダードジルコニアクラウン 上6本のブリッジ / モニター] -
-
この方は歯周病のために歯がぐらついて移動してしまっていた方です。
歯がグラグラしてくると、かみ合わせの際に押されてすきっ歯になったり、
出っ歯になったりして歯並びが乱れてきます。
向かって右側の前歯は1本抜歯になりました。
歯周病治療として、歯磨き練習や歯石除去などと並行してセラミックでの審美治療も行いました。
歯茎が下がってしまって歯が伸びてしまったり、歯並びが乱れた前歯の部分は
セラミックをかぶせてきれいにしています。
セラミックでの治療は1回目に仮歯にして、
すきっ歯や歯並びをきれいにしてから歯周病治療をしますので治療中の見た目も気になりません。
歯周病で歯が動いて口元が気になる方にはおすすめです。
-
-
症例写真
[スタンダードジルコニアクラウン] - この方は歯周病で歯茎が下がってしまっています。
詳細はコチラ
-
スタンダードジルコニアクラウン法による歯周病治療の症例写真
[No.P-0001 / スタンダードジルコニアクラウン / モニター] -
-
この方は歯周病で歯茎が下がってしまっています。
向かって右側の歯はグラグラと歯が動いてしまっていましたので 残念ながら抜歯となりました。
下の歯の歯と歯の間には黒い歯石がこびりついています。
また、歯茎もぶよぶよとして腫れています。
治療の度に歯磨き練習と、歯石除去を行いました。
治療後は歯茎が引き締まり、ピンク色になりました。
虫歯や下がった歯茎の部分はセラミックの歯をかぶせることで見た目を回復しました。
歯周病治療は治療後も定期検診を継続して、治療後のきれいな状態を保つ事がとても重要です。
定期検診では歯磨きができているかのチェックと歯石除去、かみ合わせのチェックなどを行います。




















































































































