インプラント 症例写真
治療1回目から見た目は改善、少回数でOK!
インプラント ビフォーアフター症例写真を更新中!
-
-
症例写真
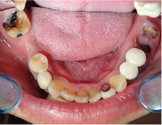
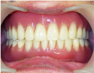
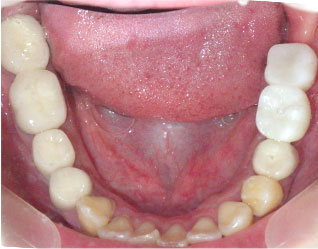
[スタンダードジルコニア5本] - この方は下の奥歯に虫歯で抜歯しないといけない歯がありました。
-
-
症例写真
[オールセラミッククラウン4本、スタンダードジルコニア7本] - この方は虫歯や歯の欠損が多い方でした。
-
-
症例写真
[オールセラミッククラウン11本、インプラント4本] - この方は前歯や奥歯に大きな虫歯が多く、 また、歯の欠損もありました。
-
-
症例写真
[スタンダードジルコニア16本] - この方は全体的に虫歯や欠損が多く、抜歯が必要な部分もありました。
-
-
症例写真
[スタンダードジルコニア5本] - この方は奥歯の虫歯治療を希望し、ご来院されました。
-
-
症例写真
[オールセラミッククラウン7本、インプラント2本] - この方は奥歯が重度の虫歯で抜歯となりました。
-
-
症例写真
[インプラント×4、インプラントオーバーデンチャー2床] - この方は総入れ歯の状態です。
詳細はコチラ
-
インプラントオーバーデンチャーによるインプラント治療の症例
[No.I-0014 / インプラント×4、インプラントオーバーデンチャー2床 / モニター] -
-
この方は総入れ歯の状態です。
そう入れ歯が外れやすいため、インプラントを支えにした
インプラントオーバーデンチャーという種類の入れ歯治療を行いました。
インプラントに引っ掛けるタイプの入れ歯ですので
しっかり固定され、食事や会話がしやすくなります。
また、上顎の入れ歯の大きさを小さく出来ます。
インプラントオーバーデンチャーに関しては
こちらのページを参照ください。
https://www.biyou-dental.com/about/implant/
-
-
症例写真
[インプラント] - この方は、 小臼歯が1本欠損しており、部分入れ歯を入れている状態でした。
-
-
症例写真
[スタンダードジルコニア5本] - この方はご来院時に奥歯は1本無い状態でした。
-
-
症例写真
[スタンダードジルコニア2本] - この方は下の歯の奥歯が酷い虫歯で抜歯となりました。
-
-
症例写真
[オールセラミッククラウン1本、スタンダードジルコニア1本、スマイルデンチャー1床] - この方は下の奥歯が虫歯で抜歯になったり すでに欠損している状態でした。
-
-
症例写真
[スタンダードジルコニア6本] - この方は奥の虫歯が酷く、抜歯しなくてはいけない状態でした。
-
-
症例写真
[スタンダードジルコニア7本] - この方は奥歯に虫歯があり、抜歯になった部分もありました。
-
-
症例写真
[スタンダードジルコニア8本] - この方は向かって左上の虫歯の状態が悪く 抜歯する事になりました。
-
-
症例写真
[インプラント4本、オールセラミッククラウン1本] - この方は奥歯の歯が無い所に歯を入れたいというご希望でご来院されました。
-
-
症例写真
[インプラント(4本)、上部構造(6本)、セラミック(5本)] - この方は向かって右側の上のブリッジが虫歯で外れかけていました。
詳細はコチラ
-
インプラント治療の症例写真
[No.I-0005 / インプラント(4本)、上部構造(6本)、セラミック(5本) / モニター] -
-
この方は向かって右側の上のブリッジが虫歯で外れかけていました。
また、右下と左上の奥歯が欠損していました。
まず右上のブリッジを外し、虫歯治療などしました。
それと並行してインプラントを骨に入れる手術を行いました。
インプラントが骨とくっつくまで3か月程度待つ期間がありますので
その間に虫歯治療や根の治療を完了させます。
インプラントが骨とついたら歯型を採って、インプラントに歯を被せます。
当院ではインプラント治療以外にも治療する部位がある場合、
インプラントと骨がつくために待つ期間を利用して他の歯の治療を進めますので
無駄な期間が無く、より短期間での治療が可能です。
-
-
症例写真
[インプラント治療(4本)スタンダードジルコニアクラウン法(1本)] - この方は奥歯が欠損した状態でご来院されました。
詳細はコチラ
-
インプラント治療・スタンダードジルコニアクラウン法の症例写真
[No.I-0004 / インプラント治療(4本)スタンダードジルコニアクラウン法(1本) / モニター] -
-
この方は奥歯が欠損した状態でご来院されました。
入れ歯は入れたくないというご希望でしたのでインプラントをお勧め致しました。
インプラント治療の他に、下の歯の銀歯も白くしたいという事でしたので
銀歯を白いセラミッククラウンにする治療も一緒に行いました。
ご予算をなるべく抑えて治療したいという事でしたので
右は2本のインプラントを入れて3本分の歯を入れて治しています。
この様にインプラントは欠損している歯の本数分が必要なわけでは無く、
インプラントでブリッジをして治す事が多々あります。
当院では患者様のご予算に応じた治療プランのご提案を行っております。
-
-
症例写真
[インプラント法] - 入れ歯のお悩みで来院された患者様の症例写真です。
-
-
症例写真
[インプラント法・スマイルデンチャー ] - 入れ歯でお悩みの方です。
-
-
症例写真
[インプラント法上顎・セラミッククラウン法下顎] - 上の歯がほとんど無く、下の歯も歯周病によりぐらぐらしている方です。



















































































































