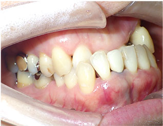
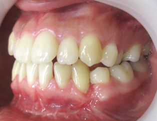
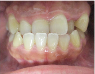
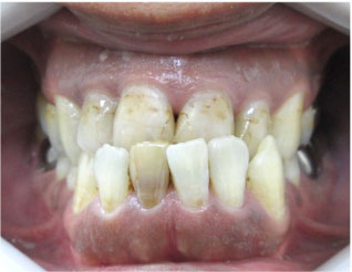
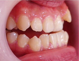
受け口 症例写真
治療1回目から見た目は改善、少回数でOK!
受け口 ビフォーアフター症例写真を更新中!
-
-
症例写真
[オールセラミッククラウン6本] - この方は骨格的な受け口でしたので 下顎骨切り手術で受け口を治した後にセラミック法で歯並び
詳細はコチラ
-
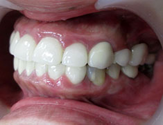
オールセラミッククラウン法による受け口治療の症例
[No.LJ-0057 / オールセラミッククラウン6本 / モニター] -
-
この方は骨格的な受け口でしたので 下顎骨切り手術で受け口を治した後にセラミック法で歯並び治療を行いました。 受け口の時には全く見えなかった前歯が笑った時に見える様になったと 大変喜ばれました。
-
-
症例写真
[オールセラミッククラウン12本] - この方は前歯が受け口の状態でした。
詳細はコチラ
-
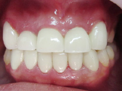
オールセラミッククラウン法による受け口治療の症例
[No.LJ-0056 / オールセラミッククラウン12本 / モニター] -
-
この方は前歯が受け口の状態でした。 上下の歯をセラミック法で受け口治療しました。 1回目の治療時に仮歯を入れますのですぐに受け口ではなくなります。 治療回数は5回でした。
-
-
症例写真
[下顎骨切り] - この方はかみ合わせが受け口で開咬という、上下前歯がかみ合わない状態でした。
詳細はコチラ
-
下顎骨切りによる受け口治療の症例
[No.LJ-0055 / 下顎骨切り / モニター] -
-
この方はかみ合わせが受け口で開咬という、上下前歯がかみ合わない状態でした。
骨格的に下顎が大きいせいで受け口になっている方ですので
下顎骨切り手術で治しました。
また、顎が長いので顎中抜き手術をして顎を短くしています。
下顎骨切り手術や顎中抜き手術は
1回の手術でかみ合わせも顎の長さも治せますので、患者様に大変喜んで頂ける治療です。
-
-
症例写真
[スタンダードジルコニア4本] - この方は上の歯並びが悪く、受け口の状態でした。
詳細はコチラ
-
セラミック法による受け口治療の症例
[No.LJ-0054 / スタンダードジルコニア4本 / モニター] -
-
この方は上の歯並びが悪く、受け口の状態でした。
本来であればこの様な状態の場合、下の歯の治療も必要ですが
出来る限り費用を抑えた治療を希望されたため
上前歯4本だけの治療で受け口と歯並びを治療しました。
セラミック法での治療は1回目の治療時に仮歯を入れますのですぐに歯並びや受け口が治ります。
治療回数は5回でした。
-
-
症例写真
[オールセラミッククラウン9本、スタンダードジルコニア5本] - この方は、受け口と奥歯の黒ずんだ銀歯を治したいとご来院されました。
詳細はコチラ
-
オールセラミッククラウン法、セラミック法による受け口治療の症例
[No.LJ-0053 / オールセラミッククラウン9本、スタンダードジルコニア5本 / モニター] -
-
この方は、受け口と奥歯の黒ずんだ銀歯を治したいとご来院されました。
歯並びも悪かったのでセラミック法でかみ合わせと歯並び、銀歯を治しました。
セラミック法は受け口、歯並び、銀歯、虫歯治療を同時進行で行えますので通院回数が少なく済みます。
-
-
症例写真
[スタンダードジルコニア18本] - この方は、過去に治療した部分が黄ばんだり、歯茎が下がってしまっている部分をき れいにした
詳細はコチラ
-
セラミック法による受け口治療の症例
[No.LJ-0052 / スタンダードジルコニア18本 / モニター] -
-
この方は、過去に治療した部分が黄ばんだり、歯茎が下がってしまっている部分をき
れいにしたいとご来院されました。
また、かみ合わせが逆になっている状態も治したいとの事でした。
1回目の治療時に差し歯を外して、変色部分も全て仮歯にしますのですぐに見た目が
きれいになります。また、仮歯の時点で受け口も改善させる事が可能です。
-
-
症例写真
[スタンダードジルコニア13本] - この方は前歯のかみ合わせが受け口になっている点を治したいとご来院されました。
詳細はコチラ
-
セラミック法による受け口治療の症例
[No.LJ-0051 / スタンダードジルコニア13本 / モニター] -
-
この方は前歯のかみ合わせが受け口になっている点を治したいとご来院されました。
骨格的な要因もありますので、骨切り手術をお勧め致しましたが
手術はしたくないという事で、セラミック法で歯のかみ合わせだけを治す事になりました。
セラミック法は1回目の治療時に仮歯を入れますのですぐにかみ合わせが改善します。
治療回数は6回でした。
-
-
症例写真
[オールセラミッククラウン2本] - この方は前歯のかみ合わせが受け口になっていました。
詳細はコチラ
-
オールセラミッククラウン法による受け口治療の症例
[No.LJ-0050 / オールセラミッククラウン2本 / モニター] -
-
この方は前歯のかみ合わせが受け口になっていました。
歯並びが原因の受け口でしたので、セラミック法で治療しました。
1回目の治療時に仮歯を入れます。その時点で受け口ではなくなります。
治療回数は5回でした。
-
-
症例写真
[オールセラミッククラウン6本、スタンダードジルコニア6本] - この方は、前歯の歯並びが悪く、更に受け口の状態でした。
詳細はコチラ
-
オールセラミッククラウン法、セラミック法による受け口治療の症例
[No.LJ-0049 / オールセラミッククラウン6本、スタンダードジルコニア6本 / モニター] -
-
この方は、前歯の歯並びが悪く、更に受け口の状態でした。
セラミック法は1回目の治療時に仮歯をいれますのですぐに受け口ではなくなりますし、歯並びも整います。
セラミック法は歯並びも受け口も治す事が可能です。
-
-
症例写真
[スタンダードジルコニア6本] - この方は上の前歯のセラミック治療のみで受け口を改善しました。
詳細はコチラ
-
セラミック法による受け口治療の症例
[No.LJ-0048 / スタンダードジルコニア6本 / モニター] -
-
この方は上の前歯のセラミック治療のみで受け口を改善しました。
比較的軽度な受け口でしたので上の歯だけの治療で改善する事が出来ました。
セラミック法は1回目の治療時に仮歯をいれますのですぐに受け口ではなくなります。
治療回数は5回でした。
-
-
症例写真
[スタンダードジルコニア10本 ] - この方は前歯のかみ合わせが受け口で、さらに八重歯があるなど、重度の歯列不正でした。
詳細はコチラ
-
セラミック法による受け口治療の症例
[No.LJ-0047 / スタンダードジルコニア10本 / モニター] -
-
この方は前歯のかみ合わせが受け口で、さらに八重歯があるなど、重度の歯列不正でした。
下の歯並びも悪いのですが、ご予算に限りがあるため上の歯だけの治療を希望されました。
セラミック法はご予算に応じて治療本数をお決め頂く事も可能です。
治療後は受け口も治り、八重歯も無くなりましたので
まるで別人の様なお口元になりました。
-
-
症例写真
[スタンダードジルコニア11本] - この方は歯並びが悪く、受け口の状態でした。
詳細はコチラ
-
セラミック法による受け口治療の症例
[No.LJ-0046 / スタンダードジルコニア11本 / モニター] -
-
この方は歯並びが悪く、受け口の状態でした。
また、歯の色も白くしたいとの事でした。
セラミック法は歯並びも受け口も同時に治せます。
1回目の治療時に仮歯をいれますのですぐに受け口ではなくなります。
セラミックの色はご自身のお好みの色にすることが出来ます。
-
-
症例写真
[スタンダードジルコニア9本] - この方は受け口を治したいという事でご来院されました。
詳細はコチラ
-
セラミック法による受け口治療の症例
[No.LJ-0045 / スタンダードジルコニア9本 / モニター] -
-
この方は受け口を治したいという事でご来院されました。
骨格的な原因による受け口でしたので
下顎骨切り手術をお勧め致しましたが
歯の治療だけで治したいという事でしたので
セラミック法で治療しました。
セラミック法でもかみ合わせだけ受け口ではない状態にすることが出来ます。
-
-
症例写真
[スタンダードジルコニア12本] - この方は前歯のかみ合わせ治療で受け口を治したいとの事でした。
詳細はコチラ
-
セラミック法による受け口治療の症例
[No.LJ-0044 / スタンダードジルコニア12本 / モニター] -
-
この方は前歯のかみ合わせ治療で受け口を治したいとの事でした。
上下の前歯12本治療する事で、かみ合わせが逆になっている部分を治しました。
セラミック法は1回目の治療時に仮歯をいれますのですぐに受け口ではなくなります。
治療回数は5回でした。
-
-
症例写真
[オールセラミッククラウン12本、スタンダードジルコニア1本] - この方は前歯のかみ合わせが受け口になっているのを治したいとの事でした。
詳細はコチラ
-
オールセラミッククラウン法、セラミック法による受け口治療の症例
[No.LJ-0043 / オールセラミッククラウン12本、スタンダードジルコニア1本 / モニター] -
-
この方は前歯のかみ合わせが受け口になっているのを治したいとの事でした。
上下前歯6本ずつ治療する事でかみ合わせを治しました。
歯の大きさも不揃いだったのも治しました。
-
-
症例写真
[下顎骨切り・中抜き・オトガイ手術] - この方は骨格的な受け口でした。
詳細はコチラ
-
下顎骨切り・中抜き・オトガイ手術による受け口治療の症例
[No.LJ-0042 / 下顎骨切り・中抜き・オトガイ手術 / モニター] -
-
この方は骨格的な受け口でした。
当院では下顎骨切り手術で1回の手術で受け口を治しています。
下顎骨切り手術は受け口になったかみ合わせも、輪郭も同時に治せます。
-
-
症例写真
[下顎骨切り・中抜き・オトガイ] - この方は長年気になっていた受け口を治したいとご来院されました。
詳細はコチラ
-
下顎骨切り・中抜き・オトガイ手術による受け口治療の症例
[No.LJ-0041 / 下顎骨切り・中抜き・オトガイ / モニター] -
-
この方は長年気になっていた受け口を治したいとご来院されました。
骨格的な受け口でしたので下顎骨切り手術を行いました。
この治療は1回の手術で受け口が治りますので、骨格的な受け口でお悩みの方に大変喜ばれる手術です。
-
-
症例写真
[下顎骨切り・中抜き] - この方は骨格的な受け口でしたので 下顎骨切り手術で受け口治療しました。
詳細はコチラ
-
下顎骨切り、中抜き手術による受け口治療の症例
[No.LJ-0040 / 下顎骨切り・中抜き / モニター] -
-
この方は骨格的な受け口でしたので
下顎骨切り手術で受け口治療しました。
1回の手術で受け口が治ります。
しゃくれた感じの輪郭も治せますので
受け口だけでなく輪郭でお悩みの方に最適な治療です。
-
-
症例写真
[スタンダードジルコニア13本] - この方は歯のかみ合わせが受け口で、上下前歯が咬んでいない状態でした。
詳細はコチラ
-
セラミック法による受け口治療の症例
[No.LJ-0039 / スタンダードジルコニア13本 / モニター] -
-
この方は歯のかみ合わせが受け口で、上下前歯が咬んでいない状態でした。
セラミック法で上下13本の歯を治して、受け口とかみ合わせを治しました。
-
-
症例写真
[スタンダードジルコニア12本] - この方は歯のかみ合わせが受け口の状態でした。
詳細はコチラ
-
セラミック法による受け口治療の症例
[No.LJ-0038 / スタンダードジルコニア12本 / モニター] -
-
この方は歯のかみ合わせが受け口の状態でした。
セラミック法で上下12本の歯を治療しました。
1回目の治療時に仮歯を入れますのですぐに受け口ではなくなります。
-
-
症例写真
[オールセラミッククラウン12本] - この方は骨格的な受け口でした。
詳細はコチラ
-
オールセラミッククラウン法による受け口治療の症例
[No.LJ-0037 / オールセラミッククラウン12本 / モニター] -
-
この方は骨格的な受け口でした。
下顎骨切り手術で骨格を治し、セラミック法で歯並び治療をしました。
左右の八重歯は抜歯しました。
1回の手術で受け口を治してから歯並び治療を行いました。
-
-
症例写真
[スタンダードジルコニア7本、骨切り・中抜き手術] - この方は骨格的な受け口でしたので 下顎骨切り手術でかみ合わせを治しました。
詳細はコチラ
-
セラミック法、骨切り・中抜き手術による受け口治療の症例
[No.LJ-0036 / スタンダードジルコニア7本、骨切り・中抜き手術 / モニター] -
-
この方は骨格的な受け口でしたので
下顎骨切り手術でかみ合わせを治しました。
1回の手術でかみ合わせも輪郭も治ります。
-
-
症例写真
[セラミック法4本] - この方は前歯のかみ合わせが一部分だけ逆になってしまっていました。
詳細はコチラ
-
セラミック法による受け口治療の症例
[No.LJ-0035 / セラミック法4本 / モニター] -
-
この方は前歯のかみ合わせが一部分だけ逆になってしまっていました。
本来は下の歯も一緒に治したほうが良いのですが
ご予算の関係上、上の歯だけで治しました。
切端で咬んでいる部分もありますが術前よりは上顎の前歯を前方に出す事ができました。
-
-
症例写真
[オールセラミッククラウン法12本] - この方は前歯のかみ合わせが上下が逆になった状態でした。
詳細はコチラ
-
オールセラミッククラウン法による受け口治療の症例
[No.LJ-0034 / オールセラミッククラウン法12本 / モニター] -
-
この方は前歯のかみ合わせが上下が逆になった状態でした。
セラミック法は前歯の部分だけ治療する事で
かみ合わせを治す事ができます。
1回目の治療時に仮歯を入れますのですぐに受け口ではなくなります。
治療回数は5回でした。
-
-
症例写真
[スタンダードジルコニア16本、骨切り・中抜き手術] - この方は受け口、歯周病、虫歯の治療をセラミック法で同時に治しました。
詳細はコチラ
-
セラミック法、骨切り・中抜き手術による受け口治療の症例
[No.LJ-0033 / スタンダードジルコニア16本、骨切り・中抜き手術 / モニター] -
-
この方は受け口、歯周病、虫歯の治療をセラミック法で同時に治しました。
歯周病で歯茎が下がってしまっている歯や、差し歯の下が虫歯になっている部分、
ブリッジが外れたままになっている部分など問題のある歯が多数ありました。
当院では全部の歯を一気に治しますので色々な問題が一気に解決します。
-
-
症例写真
[スタンダードジルコニア4本] - この方は前歯のかみ合わせが受け口になっていました。
詳細はコチラ
-
セラミック法による受け口治療の症例
[No.LJ-0032 / スタンダードジルコニア4本 / モニター] -
-
この方は前歯のかみ合わせが受け口になっていました。
八重歯もあり、歯並びも悪いのですが八重歯はそのままでいたいというご希望でした。
そのため上前歯4本のみ治療して受け口を改善しました。
セラミック法はこの様に患者様のご要望によって本数を少なく抑えることも可能です。
-
-
症例写真
[セラミック法8本] - この方は前歯のかみ合わせが逆になっていました。
詳細はコチラ
-
セラミック法による受け口治療の症例
[No.LJ-0031 / セラミック法8本 / モニター] -
-
この方は前歯のかみ合わせが逆になっていました。
上の歯4本と下の歯4本をセラミック法でかみ合わせを治しました。
1回目の治療時に仮歯を入れますのですぐに受け口でなくなります。
治療回数は5回でした。
-
-
症例写真
[下顎骨切り、中抜き、オトガイ形成、オールセラミッククラウン7本] - この方は骨格的な受け口でした。
詳細はコチラ
-
下顎骨切り、中抜き、オトガイ形成、オールセラミッククラウン法による受け口治療の症例
[No.LJ-0030 / 下顎骨切り、中抜き、オトガイ形成、オールセラミッククラウン7本 / モニター] -
-
この方は骨格的な受け口でした。
まず下顎骨切り手術で骨格を治し、
その後セラミック法で歯並び治療しました。
顎も短くなり、輪郭もきれいに整いました。
-
-
症例写真
[下顎骨切り、スタンダードジルコニア3本] - この方は骨格的な受け口でした。
詳細はコチラ
-
下顎骨切り、セラミック法による受け口治療の症例
[No.LJ-0029 / 下顎骨切り、スタンダードジルコニア3本 / モニター] -
-
この方は骨格的な受け口でした。
まず下顎骨切り手術をして骨格を治してから、上の歯の歯並びが気になる部分だけを
セラミック法で歯並び治療しました。
-
-
症例写真
[オールセラミッククラウン14本] - この方は前歯のかみ合わせが受け口になっていました。
詳細はコチラ
-
オールセラミッククラウン法による受け口治療の症例
[No.LJ-0028 / オールセラミッククラウン14本 / モニター] -
-
この方は前歯のかみ合わせが受け口になっていました。
上下前歯12本をセラミック法で治しています。
上前歯を前に出したことで別人の様なお口元になりました。
-
-
症例写真
[セラミック法5本] - この方は前歯の虫歯と受け口治療を同時に行いました。
詳細はコチラ
-
セラミック法による受け口治療の症例
[No.LJ-0027 / セラミック法5本 / モニター] -
-
この方は前歯の虫歯と受け口治療を同時に行いました。
1回目の治療時に虫歯を取り、根の治療をして仮歯を入れます。
仮歯になった時点で受け口でもなくなります。
セラミック法はこのように受け口も虫歯も同時に治す事ができます。
-
-
症例写真
[セラミック法7本] - この方は骨格的な受け口でしたので 下顎骨切り手術を行ってから前歯の歯並びをセラミック法で
詳細はコチラ
-
セラミック法による受け口治療の症例
[No.LJ-0026 / セラミック法7本 / モニター] -
-
この方は骨格的な受け口でしたので
下顎骨切り手術を行ってから前歯の歯並びをセラミック法で整えました。
まず初めに下顎骨切り手術を行い骨格を矯正してから歯並びを治すので
気になる輪郭が早期に治ります。
-
-
症例写真
[セラミック法15本] - この方は前歯のかみ合わせが逆になった受け口の状態でした。
詳細はコチラ
-
セラミック法による受け口治療の症例
[No.LJ-0025 / セラミック法15本 / モニター] -
-
この方は前歯のかみ合わせが逆になった受け口の状態でした。
また下の前歯は歯周病で歯茎が下がってしまっています。
セラミック法で歯のかみ合わせを正常にして、歯周病治療も行いました。
-
-
症例写真
[オールセラミッククラウン11本] - この方は受け口になった前歯のかみ合わせを治したいという事でご来院されました。
詳細はコチラ
-
オールセラミッククラウン法による受け口治療の症例
[No.LJ-0024 / オールセラミッククラウン11本 / モニター] -
-
この方は受け口になった前歯のかみ合わせを治したいという事でご来院されました。
1回目の治療時に仮歯を入れますのでその時点で受け口になったかみ合わせが治ります。
仮歯をデザインして最終的に被せるセラミックの形をデザインします。
治療回数は5回でした。
-
-
症例写真
[オールセラミッククラウン法13本] - この方は受け口になった部分と歯並びの治療を希望されてご来院されました。
詳細はコチラ
-
セラミック法による受け口治療の症例写真
[No.LJ-0023 / オールセラミッククラウン法13本 / モニター] -
-
この方は受け口になった部分と歯並びの治療を希望されてご来院されました。
八重歯も目立っていましたが、1回目の治療時に八重歯を抜歯しました。
その際に他の歯も仮歯にしますのでその時点で受け口ではなくなります。
2回目の治療時に患者様のご希望に応じて仮歯の形をデザインします。
最終的にセラミックの歯を被せて治療完了までは5回でした。
-
-
症例写真
[オールセラミッククラウン法 13本] - この方は受け口治療を希望してご来院されました。
詳細はコチラ
-
セラミック法による受け口治療の症例写真
[No.LJ-0022 / オールセラミッククラウン法 13本 / モニター] -
-
この方は受け口治療を希望してご来院されました。
歯並びも悪く、引っ込みすぎている上の2番目の歯は抜歯しました。
その部分はセラミックをつなげてブリッジという方法で治しています。
1回目の治療時に仮歯が入りますのでその時点で咬み合わせは受け口でなくなります。
治療回数は6回、期間は4か月でした。
-
-
症例写真
[セラミック法 12本] - この方は受け口と歯並び治療をご希望されてご来院された方です。
詳細はコチラ
-
セラミック法による受け口治療の症例写真
[No.LJ-0021 / セラミック法 12本 / モニター] -
-
この方は受け口と歯並び治療をご希望されてご来院された方です。 セラミック法は咬み合わせが上下逆になっている部分だけの治療です。この方は上下 6本ずつ、合計12本の治療をしました。 1回目の治療時に仮歯を入れますのでその時点で受け口ではなくなり、術後に近い咬 み合わせになります。 以前は会話したり笑ったときに上の前歯が見えませんでしたが、治療後は上の歯が見 えるようになり、長年のコンプレックスが解消できたと喜んで頂けました。
-
-
症例写真
[セラミック法(セラミッククラウン 上前歯6本)] - この方は前歯が受け口になっている方です。
詳細はコチラ
-
セラミック法による受け口治療の症例
[No.LJ-0020 / セラミック法(セラミッククラウン 上前歯6本) / モニター] -
-
この方は前歯が受け口になっている方です。 咬みこみが深いですので一番お勧めなのは下顎骨切り手術という手術ですが 手術は避けたい、というご希望がありましたのでセラミック法で治療しました。 上の前歯で引っ込んでいる部分は抜歯しています。 最終的には上前歯6本にセラミックのブリッジをかぶせて治しています。
-
-
症例写真
[セラミック法・歯冠延長術] - この方は左側だけ受け口になっていた方です。
詳細はコチラ
-
セラミック法による受け口治療の症例
[No.LJ-0019 / セラミック法・歯冠延長術 / モニター] -
-
この方は左側だけ受け口になっていた方です。 上の歯と下半分、受け口になっている部分は保険の差し歯が入っていますが、黄ばん でしまっています。 咬み合わせと歯の色をできるだけ少ない回数で きれいしたいというご希望でした。 当院ではセラミック法で受け口も差し歯の変色も同時に治します。 1回目の治療時には受け口ではなくなります。 術後のお口元は別人のようにきれいになりました。
-
-
症例写真
[セラミック17本・スマイルデンチャー(下顎)] - この方は奥歯のかみ合わせがなくなってしまって、前歯が動いて受け口になってしまった方です。
詳細はコチラ
-
セラミック法・スマイルデンチャーによる受け口治療の症例写真
[No.LJ-0018 / セラミック17本・スマイルデンチャー(下顎) / モニター] -
-
この方は奥歯のかみ合わせがなくなってしまって、前歯が動いて受け口になってしまった方です。
もともと受け口傾向のかみ合わせだったとは思いますが、
奥歯がなくなったことによって前歯に負担がかかり、徐々に歯が内側に押し込められてしまった感じです。
口元のお写真を見ると輪郭まで曲がってしまっています。
仮歯を入れて低くなったかみ合わせを高くすることで受け口を改善しました。
治療後は輪郭も正常になり、かみ合わせも受け口でなくなっています。
失われた奥歯はスマイルデンチャー(金具のない入れ歯)を装着しています。
治療回数は9回でした。
-
-
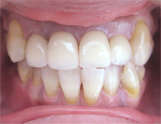
症例写真
[スタンダードジルコニアクラウン法 上5本 下6本] - この方は上の1番目の前歯が生まれつき無く、受け口になっています。
詳細はコチラ
-
スタンダードジルコニアクラウン法による受け口治療の症例写真
[No.LJ-0017 / スタンダードジルコニアクラウン法 上5本 下6本 / モニター] -
-
この方は上の1番目の前歯が生まれつき無く、受け口になっています。
そのため上の2番目の歯を1番目の形に、3番目の犬歯を2番目の歯の形にして
前歯の大きさのバランスを治しました。
それと同時に受け口になった噛み合わせも治しています。
1回目の治療時には仮歯を入れますのでその時点で治療後に近い状態になります。
治療回数は5回でした。
-
-
症例写真
[セラミッククラウン法 上5本 下6本] - この方は反対咬合になっている前歯の治療を希望してご来院されました。
詳細はコチラ
-
セラミッククラウン法による受け口治療の症例写真
[No.LJ-0016 / セラミッククラウン法 上5本 下6本 / モニター] -
-
この方は反対咬合になっている前歯の治療を希望してご来院されました。
当院ではセラミック法で反対咬合(受け口)治療をしております。
セラミック法は1回目の治療時に仮歯を入れますのでその時点で受け口ではなくなります。
また、この方の様に歯並びが悪い部分があっても受け口と歯並びを同時に治す事が可能です。
治療回数は5回でした。
-
-
症例写真
[下顎骨切り手術 中抜き手術] - この方は受け口になった噛み合わせと しゃくれた輪郭の治療をご希望された方です。
詳細はコチラ
-
下顎骨切り手術・中抜き手術による受け口・輪郭形成治療の症例写真
[No.LJ-0015 / 下顎骨切り手術 中抜き手術 / モニター] -
-
この方は受け口になった噛み合わせと
しゃくれた輪郭の治療をご希望された方です。
受け口の中でも輪郭も治す場合は下顎骨切り手術が最適です。
この手術は1回で輪郭がきれいになりますし、
噛み合わせも同時に治せる手術です。
下顎が引っ込むことで下唇の形も自然になり、
美しいとされるE-ラインが保てています。
-
-
症例写真
[下顎骨切り手術 中抜き手術 上顎:オールセラミッククラウン法 ホワイトニング] - この方は受け口とすきっ歯の治療を希望されてご来院した方です。
詳細はコチラ
-
下顎骨切り手術・中抜き手術による受け口・すきっ歯治療の症例写真
[No.LJ-0014 / 下顎骨切り手術 中抜き手術 上顎:オールセラミッククラウン法 ホワイトニング / モニター] -
-
この方は受け口とすきっ歯の治療を希望されてご来院した方です。
骨格的な受け口のため、まず下顎骨切り手術で輪郭を治してから
セラミック法で上の歯4本のすきっ歯を治しました。
術前は下顎が出ているために、
下唇がめくれてしまってしゃくれた感じが強いですが
術後は下唇が自然に閉じてすっきりとした口元になりました。
-
-
症例写真
[下顎骨切り手術・中抜き手術] - この方は受け口で出ている顎の治療を希望してご来院した方です。
詳細はコチラ
-
下顎骨切り手術・中抜き手術による受け口治療の症例写真
[No.LJ-0013 / 下顎骨切り手術・中抜き手術 / モニター] -
-
この方は受け口で出ている顎の治療を希望してご来院した方です。
受け口になっているのはもちろん、
輪郭もしゃくれた感じでしたので下顎骨切り手術をお勧め致しました。
1回の手術で輪郭が整うのはもちろん、
受け口になったかみ合わせも同時に治ります。
元々かなり開咬状態でしたので
術後もがっちり噛み合わせが出来ませんが、
今後もっとしっかりかむように歯の矯正をしていきます。
-
-
症例写真
[下顎骨切り手術・中抜き手術] - この方は受け口治療を希望されてご来院されました。
詳細はコチラ
-
下顎骨切り手術・中抜き手術による受け口治療の症例写真
[No.LJ-0012 / 下顎骨切り手術・中抜き手術 / モニター] -
-
この方は受け口治療を希望されてご来院されました。
骨格的な受け口でしたので、下顎骨切り手術をお勧め致しました。
下顎骨切り手術は1回の手術で受け口になっている噛み合わせも
しゃくれた輪郭も同時に治せます。
この方は下顎が出ているために下唇がめくれてしまっていましたが、
術後は口元が入りましたので自然な唇になっています。
下唇の下のふくらみも無くなり、しゃくれた雰囲気も無くなりました。
-
-
症例写真
[オールセラミッククラウン法 上6本 下6本] - この方は受け口矯正を希望してご来院されました。
詳細はコチラ
-
オールセラミッククラウン法による受け口治療の症例写真
[No.LJ-0011 / オールセラミッククラウン法 上6本 下6本 / モニター] -
-
この方は受け口矯正を希望してご来院されました。
受け口に加え、歯並びも悪いのでセラミック法で短期間治療を行いました。
治療前の写真の様に完全に下の歯が上の歯よりも前に出ている場合は、
上下前歯の全体な治療が必要です。
下の歯を内側に入れ込み、
上の歯を外に出した状態のセラミックを被せて治しました。
治療後のお口元は受け口であったとは思えない様なお口元になりました。
-
-
症例写真
[下顎骨切り手術・中抜き手術] - この方は受け口と顎の長さ、輪郭を気にされてご来院されました。
詳細はコチラ
-
下顎骨切り手術・中抜き手術による受け口治療の症例写真
[No.LJ-0010 / 下顎骨切り手術・中抜き手術 / モニター] -
-
この方は受け口と顎の長さ、輪郭を気にされてご来院されました。
受け口になったかみ合わせと輪郭を治すのであれば下顎骨切り手術が最適です。
下顎骨切り手術はかみ合わせとしゃくれた輪郭を一緒に治せる治療法です。
術前の正面の写真では下顎が出ている事で下唇がめくれてしまって唇が厚く見えています。
下顎を内側に入れ込むことで唇を自然に閉じる事が出来ますので、
唇がめくれずにしゃくれた感じがよりなくなりました。
-
-
症例写真
[下顎骨切り手術・中抜き手術] - この方は受け口を気にされてご来院されました。
詳細はコチラ
-
下顎骨切り手術・中抜き手術による受け口治療の症例写真
[No.LJ-0009 / 下顎骨切り手術・中抜き手術 / モニター] -
-
この方は受け口を気にされてご来院されました。
カウンセリングにて唇を閉じると顎先にしわが寄る(梅干しが出来る)という事と
しゃくれた輪郭も気になるという点も改善したいという事でしたので
下顎骨切り手術と顎を短くする下顎中抜き手術の併用をお勧めしました。
下顎骨切り手術は1回の手術で受け口としゃくれた輪郭が治ります。
下顎の部分のふくらみが無くなり、
唇を自然に閉じる事が出来るようになりました。
-
-
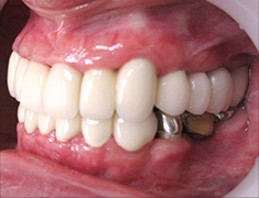
症例写真
[オールセラミッククラン法 上6本 下9本] - この方は受け口と歯の色を気にされてご来院されました。
詳細はコチラ
-
オールセラミッククラウン法による受け口治療の症例写真
[No.LJ-0008 / オールセラミッククラン法 上6本 下9本 / モニター] -
-
この方は受け口と歯の色を気にされてご来院されました。
元々の歯の色が黄色いのもありますが、歯茎の付近は虫歯で茶色く変色しています。
また、喫煙されますのでより黄ばんだ色になっています。
オールセラミッククラン法での受け口治療は1回目の治療時に仮歯を入れます。
仮歯を入れた時点で受け口ではなくなります。
何回か仮歯を調整し、歯のデザインをした後オールセラミッククラウンの歯を製作しました。
次にセラミックの歯を仮付けして色を見て頂きます。
セラミックの色の調整を希望されましたので、
外して技工士がその場で修正しました。
再度仮付けし問題なかったため、本付けして治療終了しました。
これだけ本数が多いと、つなげて作る審美歯科クリニックが多いのですが、
どんなに手間がかかっても当院ではつなげて作る事はしません。
出来るだけ1本ずつにした方が自然な仕上がりだからです。
※セラミックをつなげて作るクリニックにはご注意下さい。
-
-
症例写真
[下顎骨切り手術・中抜き手術] - この方は受け口治療を希望してご来院されました。
詳細はコチラ
-
下顎骨切り手術、中抜き手術による受け口治療の症例写真
[No.LJ-0007 / 下顎骨切り手術・中抜き手術 / モニター] -
-
この方は受け口治療を希望してご来院されました。
カウンセリングの際に受け口になっているかみ合わせと
しゃくれた感じの輪郭が気になるという事でしたので、
受け口も輪郭も同時に治せる下顎骨切り手術と顎を短くする中抜き手術をお勧めしました。
術前後のお写真を見て頂ければわかる様に
かみ合わせも輪郭もきれいに治っていますので患者様にはとても満足頂けました。
1回の手術で受け口になったかみ合わせと輪郭を当時に治せるのは
下顎骨切り手術の最大のメリットです。
当院は外科医と歯科医師がチームとなって治療しますので
かみ合わせがくるったりする事がありません。
-
-
症例写真
[下顎骨切り手術・中抜き手術] - この方は下顎の輪郭とかみ合わせの治療を希望されてご来院されました。
詳細はコチラ
-
下顎骨切り手術、中抜き手術による受け口治療の症例写真
[No.LJ-0006 / 下顎骨切り手術・中抜き手術 / モニター] -
-
この方は下顎の輪郭とかみ合わせの治療を希望されてご来院されました。
下顎骨切り手術は術後のお写真を見て頂ければわかる様に輪郭とかみ合わせを同時に治す事が可能です。
下顎骨切り手術は下の歯の前から数えて4番目の歯を抜いてそのスペースを利用して骨ごと歯をひっこめる治療です。
この患者様の様に受け口でも輪郭も気になるという方にお勧めな受け口治療法です。
-
-
症例写真
[スタンダードジルコニアクラウン 上下12本] - この方は受け口と歯並び治療をご希望の患者さんです。
詳細はコチラ
-
スタンダードジルコニアクラウン法による受け口、歯並び治療の症例写真
[No.LJ-0005 / スタンダードジルコニアクラウン 上下12本 / モニター] -
-
この方は受け口と歯並び治療をご希望の患者さんです。
上の2番目の歯は外から見えないほど、内側に生えています。
また、歯磨きが出来ていないため、虫歯や歯周病もありました。
この方はまず歯石取りや歯磨き指導を行い、歯茎の状態を改善してから治療開始となりました。
歯茎の状態は1ヶ月程度でかなりの改善がみられました。
抜歯をして最終的なスタンダードジルコニアクラウンをかぶせるまでに3ヶ月程度でした。 通院は6回でした。
もともと犬歯だった歯を2番目の歯として見えるように作っていますので2番目の歯が長い感じがしますが、
通常の生活をしている分には歯茎の上の方までは見えませんので、問題ありません。
歯並び治療術後写真のお口元のお写真を見て頂ければわかるかと思います。
スタンダードジルコニアクラウンでの歯並び、受け口治療が終わった後も、定期健診にいらして頂き、歯石を取ったり、
歯磨きが出来ているかのチェックを継続して行っています。
歯周病がある方はこの先また歯周病にならないために毎日の歯磨きを怠らず、予防が非常に重要です。
-
-
症例写真
[スタンダードジルコニアクラウン法12本] - この方は受け口、歯並びをきにされてご来院された患者様です。
詳細はコチラ
-
スタンダードジルコニアクラウン法による受け口、歯並び治療の症例写真
[No.LJ-0004 / スタンダードジルコニアクラウン法12本 / モニター] -
-
この方は受け口、歯並びをきにされてご来院された患者様です。
虫歯もありますので茶色く変色している歯もありました。
この様な方で短期間に一気にお口元を美しくしたい場合はスタンダードジルコニアクラウン法がお勧めです。
この方法は1回目には仮歯をいれますので1回目に歯並びも、受け口も同時に治せるのです。
かみ合わせを改善した状態に慣れたらスタンダードジルコニアクラウンの歯を被せて完了です。
スタンダードジルコニアクラウン法は受け口も歯並びも虫歯治療も全部同時にできますので非常に短時間、短期間で治療を終了することが可能です。
-
-
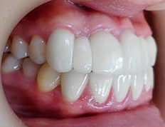
症例写真
[オールセラミッククラウン 上4本 下6本] - 受け口を気にされてご来院されました。
詳細はコチラ
-
オールセラミッククラウン法による受け口の症例写真
[No.LJ-0003 / オールセラミッククラウン 上4本 下6本 / モニター] -
-
受け口を気にされてご来院されました。
元々の歯並びは良いのですが、かみ合わせた時に前歯の部分が受け口になってしまっている状態です。
上の歯4本、下の歯6本をオールセラミッククラウン法で受け口を通常のかみ合わせに治しました。
ワイヤー矯正などの受け口治療は3年程度かかりますし、奥歯まで全部装置をつけたりしますが、
セラミック法での受け口治療は前歯の部分だけの治療で短期間、少ない回数で治療完了します。
ちなみにこの方は5回で治療終了しました。
1回目の治療時には受け口状態ではなくなっています。
-
-
症例写真
[オールセラミッククラウン] - この方は受け口のかみ合わせ治療をご希望の方です。
詳細はコチラ
-
オールセラミッククラウン法による受け口の症例写真
[No.LJ-0002 / オールセラミッククラウン / モニター] -
-
この方は受け口のかみ合わせ治療をご希望の方です。
セラミック法での受け口治療は1回目からかみ合わせを通常に戻す事が可能です。
その後、患者さんがご希望の歯の形や長さにデザインしていきます。受け口治療完了までは4回でした。
-
-
症例写真
[オールセラミッククラウン上7本 下6本] - 歯並びと受け口でお悩みの方です。
詳細はコチラ
-
オールセラミッククラウン法による受け口の症例写真
[No.LJ-0001 / オールセラミッククラウン上7本 下6本 / モニター] -
-
歯並びと受け口でお悩みの方です。八重歯もあり、なおかつかみ合わせると受け口です。
この様な歯並びと受け口を治したい方にはセラミック法が大変お勧めです。
セラミック法は歯並びと受け口を同時に治せるのです。この方は上の歯7本、下の歯6本で治しています。
八重歯の部分はあまりに外側に生えていますので、抜歯しています。
1回目の治療時には歯並びと受け口が改善され、全部で5回の治療で受け口治療が完了しました。




































































































































































































































































































































