公開日: | 最終更新:
監修:顧問指導医: 永山 幸
どんなご相談でも丁寧に対応いたします!
電話受付時間
AM9:00~PM8:00

土日・祝日も
診察しています
AM10:00~PM7:00
目次
歯並びを美しく、健康的にする方法です。乱ぐい歯、八重歯、出っ歯、受け口、交叉咬合(こうさこうごう)などの症状を、噛み合わせ見た目とも美しく、健康的に改善する治療法です。
治療方法には、セラミック法・メタルボンド法・セラミック法とワイヤー装置を部分的に組み合わせる治療方法とがあります。
ワイヤー装置を組み合わせる場合は、歯の裏側に装着し目立たなくすることも可能です。
歯並びがデコボコになっていると、歯が磨きにくく虫歯や歯周病になりやすいだけでなく、噛み合わせが悪いため身体に不調をきたしたり顎関節症の原因になることもあります。
八重歯も不正咬合のひとつで、治療する場合には、八重歯自体は抜かずに別の歯を抜歯して治療します。ワイヤー装置を組み合わせる場合は、ワイヤー装置を歯の裏側に装着し目立たなくすることも可能です。
遺伝的要素もありますが、子供の頃の癖(指しゃぶり・唇を噛む)や常に口呼吸することが原因になることもあります。骨格的な問題の場合、外科手術と矯正手術を組み合わせる治療を行う場合もあります。
不正咬合の一種で、奥歯の噛み合わせが左右にずれている状態をいいます。奥歯の中心もずれていることが多く、片側の歯だけで噛む癖や頬づえ、左右どちらか一方を下にして寝る癖などが原因になります。
放っておくと顎が一方に歪んだり、顎関節症になることもあります。
カウンセリングを行い、レントゲン撮りや歯型取りなど、口腔内チェックを行います。
治療する歯の形成をし、仮歯を装着します。
型取りをおこないます。
出来上がったセラミックをセットし、完了です。
メタルボンドは金属がかぶせの中にあり、その上にオーダーメイドのセラミックが焼き付けられて作製されます。
保険治療のレジン(プラスティック)のような収縮や変色もなく、寿命も半永久的で、金属と陶材の接着という難しい技術もクリアした、美しさと強さを合わせ持った技術です。
ブリッジや連結冠などいかなるケースにおいても使用できるという利点があります。
デメリットとしては、透明感が出にくいことと金属アレルギーの方にはおすすめできない点があります、そういった方にはオールセラミックをお勧めします。
八重歯が気になる方に

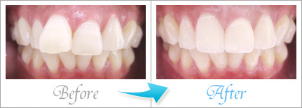
メタルボンド法による歯並び治療の症例
メタルボンド法6本 / 20代女性モニター
前述のメタルボンドは内側に金属を使い、その金属色を一度遮断してその上にセラミックスを盛り上げるため、どうしても透明感が出にくい場所があります。
オールセラミック法は、金属を一切使わないセラミックを使用していますので、歯の明るさ・透明感・質感をとても綺麗にすることが可能です。歯並びはもちろん、歯の大きさや形、目立つ歯茎や受け口なども治療できます。
従来のワイヤーは使わず、通院も2〜3回で済み、少回数で歯並びを治療したいという方にお勧めです。
金属は一切使わないため、歯肉や歯が金属で黒ずんだりすることもなく、大きな歯のねじれや乱れた歯並びまで治療できます。さらに色や形も選べるため審美的にも優れていて強度や歯触り、また機能的にも天然歯と変わらず、変色や摩耗しにくいのが特徴です。

セラミックは高品質の陶材を調合し、より自然な色や形を患者様に合わせて全てオーダメイドで作ります。天然のエナメル質と同じくらいの硬さなのですり減りにく、変色しにくくなっています。
また、金属類も使用していないので、透明感があり、口をあけた状態でも天然の歯と変わらず、より自然な仕上がりとなります。その為、金属アレルギーの方にもご使用いただけますので、来院される患者様の多くがこちらの方法で治療をお受けになっております。
出っ歯が気になる方に

セラミッククラウン法による出っ歯治療の症例
セラミッククラウン法2本 / 30代女性モニター